Мрт при рассеянном склерозе. виден ли рс на магнитно-резонансной томографии

Магнитно-резонансная томография (МРТ) – неинвазивный метод исследования головного, спинного мозга или других участков тела. В настоящее время это самый чувствительный метод визуализации, наиболее подходящий для диагностики рассеянного склероза и контроля течения болезни. МРТ помогает много узнать о причинах, лежащих в основе патологии заболевания.
Как это работает, виден ли на мрт рассеянный склероз
В отличие от компьютерной томографии (КТ) или обычного рентгена, в МРТ-исследовании не используется излучение. Вместо него — магнитные поля и радиоволны, которые измеряют относительное содержание воды в тканях — как нормальных, так и повреждённых — в организме.
МРТ работает следующим образом:
- Очень сильное магнитное поле заставляет небольшой процент протонов водорода в молекулах воды выстраиваться в направлении магнитного поля. Процент этих протонов сам по себе мал, но этого оказывается достаточно, чтобы дать сильный сигнал, позволяющий начать работу с изображением.
- После того, как протоны водорода выстроились, радиоволны и некоторые дополнительные, но более слабые магнитные поля выбивают их из линии.
- Когда прекращается воздействие радиоволн, протоны снова выстраиваются в линию. Как только это происходит, резонансные сигналы протонов регистрируются техникой.
Виды МРТ-сканирования
Существует несколько видов МРТ-сканирования, чаще всего используются Т1-и Т2-взвешенные сканирования – различие между ними заключается в длительности воздействия радиоволн. Компьютерные программы преобразуют полученные во время сканирования данные в изображение ткани тела в каком-либо сечении.
Показывает ли мрт рассеянный склероз Поскольку слой миелина, защищающего волокна нервных клеток, является жировым, он отталкивает воду.
В тех местах, где этот слой повреждён из-за рассеянного склероза, разрушаются жировые клетки. Из-за их исчезновения ткань содержит больше воды, чем должна.
Она отображается на скане МРТ или в виде яркого белого пятна, или затемненной области в зависимости от используемого типа сканирования.
Применение МРТ для диагностирования рассеянного склероза
Диагностика МРТ оказывает огромную помощь в постановке диагноза «рассеянный склероз», т.к. аппарат особенно хорошо справляется с выявлением демиелинизации центральной нервной системы.
Тем не менее, примерно у 5% людей с клинически установленным диагнозом «рассеянный склероз» в результатах МРТ сканирования отсутствуют повреждения в момент постановки диагноза.
Если повторные исследования покажут отсутствие поражений, диагноз следует пересмотреть.
- Многие поражения, видимые на картине мрт при рассеянном склерозе, могут находиться в так называемых «тихих» участках мозга и не проявляться в виде привычных симптомов. Не всегда возможно проследить соотношение между тем, что видно на МРТ и клиническими признаками и симптомами, заметными у пациента.
- Кроме того, чем старше человек (вероятно, от 50 лет), тем чаще в результатах исследования у здоровых людей встречаются небольшие участки, похожие на повреждённые. На самом деле это связано не с заболеванием, а является следствием процесса старения.
Что означает дебют рассеянного склероза МРТ особенно необходимо пациентам, уже однажды столкнувшимся с демиелинизацией, поскольку данное явление наводит на мысль о рассеянном склерозе и называется «дебют рассеянного склероза».
- Количество поражений, зарегистрированное во время проведения первого МРТ головного мозга (или спинного) может помочь врачу оценить риск повторной демиелинизации у пациента. Как следствие, понять развитие рассеянного склероза до такой степени, что его можно будет диагностировать клинически в будущем. Некоторые из методов лечения рассеянного склероза могут задержать начало повторной демиелинизации у людей, уже однажды её переживших.
- МРТ также позволяет обнаружить повторное возникновение явления демиелинизации в организме даже при отсутствии дополнительных симптомов – и тем самым помочь подтвердить диагноз как можно раньше.
Контроль развития заболевания
После того, как поставлен диагноз, не нужно никаких дополнительных МРТ исследований в диагностических целях. Однако последующие сканирования имеют важное значение для отслеживания хода заболевания и принятия решений, касающихся лечения.
Например, невролог может определить скорость развития заболевания по данным МРТ, а также узнать о клинических симптомах и наличии рецидивов заболевания у человека.
Это поможет выяснить, насколько эффективно текущее лечение или нет ли необходимости его корректировать.
Совет:
Разные методы сканирования позволяют диагностировать различные заболевания
Т1-взвешенное сканирование головного мозга, усиленное с помощью гадолиния (вводится внутривенно для повышения чувствительности сканирования) позволяет получить сведения о заболевании путем выделения воспалённых областей.
Так как молекулы гадолиния достаточно велики, они, как правило, не могут пройти гематоэнцефалический барьер (клеточный слой вокруг кровеносных сосудов в головном и спинном мозге, который предотвращает попадание веществ из кровотока в центральную нервную систему).
Тем не менее, при наличии воспаления, гематоэнцефалический барьер нарушается и гадолиний может попасть внутрь и выделить воспаленные участки.
- Эти области воспаления проявляются в качестве активных поражений, а это означает, что они являются новыми или увеличиваются в размерах.
- T1-взвешенные изображения также показывают темные области, которые, как полагают, являются индикатором мест повреждения нерва.
T2-взвешенные изображения предоставляют информацию о тяжести заболевания и о имеющихся повреждениях тканей (имеется в виду общая площадь поражения, т.е. старые, и новые повреждения).
Технология FLAIR (режим инверсии-восстановления с редукцией сигнала от свободной жидкости) подходит для более точного исследования поражений головного мозга, связанных с рассеянным склерозом.
МРТ спинного мозга помогает выявить патологии в мозге, а также диагностировать рассеянный склероз. С помощью картины мрт можно понять, что повреждение произошло в разных частях центральной нервной системы (распространение очагов в пространстве) в разные моменты времени (распространение во времени).
Хотя есть и другие типы сканирования, которые применяются в целях диагностики, выше описаны те из них, что наиболее часто используются в клинической практике.
Проблемы, с которыми можно столкнуться при применении контрастного вещества (гадолиний)
Контрастный агент, содержащий гадолиний, часто вводят в вену перед проведением процедуры МРТ. Гадолиний используется для выявления областей активного воспаления, которые могут быть связаны с рассеянным склерозом.
Существует несколько видов агентов на основе гадолиния. При исследовании органов людей с рассеянным склерозом или вероятностью его наличия агенты используются часто.
Это помогает точнее определить активное воспаление в головном мозге.
В сентябре 2015 года Агентство Министерства Здравоохранения и социальных служб США сообщило, что небольшое количество контрастного вещества может сохраняться в мозге у некоторых людей, получивших несколько доз.
Необходимы дополнительные исследования, которые позволят установить, не склонны ли одни контрастные вещества к образованию остаточных явлений более, чем другие.
И хотя в настоящее время нет никаких данных о том, что остатки вещества могут каким-либо образом навредить, Агенство заявило о своем намерении изучить этот вопрос для предотвращения возможных рисков.
Безопасности контрастных веществ
Национальное общество больных рассеянным склерозом созвало рабочую группу. Она состоит из исследователей, специалистов по лечению рассеянного склероза, радиологов, людей с данным заболеванием и других заинтересованных сторон.
Целью работы является рассмотреть вопросы, касающиеся безопасности контрастных веществ. Основная задача – дать страдающим заболеванием и поставщикам медицинских услуг более полную информацию и руководство к действию.
Этим же вопросом озаботились не только в Агентстве, но в других организациях, например, Консорциум центров лечения рассеянного склероза.
Министерство здравоохранения призывает воздержаться
Агентство Министерства здравоохранения и социальных служб США рекомендует поставщикам медицинских услуг и пациентам воздержаться от использования гадолиния для обычных МРТ.
Воздержаться в случаях, когда в применении контрастного вещества нет необходимости.
Средства по-прежнему необходимы для диагностики и чтобы прояснить такие ситуации, как, например, возникновение аномальной активности болезни или быстрое ухудшение.
Вопросы:
Что я должен сделать, если врач дал направление на МРТ? Ответ: Спросите у своего врача, осведомлён ли он о предписании Агентства, касающемся гадолиния, и действительно ли гадолиний необходим в исследовании, которое вам назначено.
Что произойдёт, если я сделаю несколько МРТ с применением контрастного вещества? Ответ: На данный момент нет никакой информации о возможном риске для здоровья. Рабочая группа исследователей занимается этим вопросом и пытается выяснить причины сохранения остатков гадолиния и понять, могут ли они причинить вред здоровью.
Использование различных видов магнитов позволяет получить разную информацию
Сила магнита, используемого в аппарате МРТ, имеет важное значение для качества изображений. Сила магнитного поля измеряется в Теслах (Т).
- У большинства обычных аппаратов МРТ этот показатель составляет 1.5 T или 2.0 Т.
- У аппаратов МРТ открытого типа сила магнитного поля меньше 1,5 Т, из-за чего получаемые изображения не лучшим образом подходят для диагностирования рассеянного склероза, но эти аппараты могут пригодиться тем, кто плохо переносит исследование в устройствах закрытого типа.
- Аппараты МРТ, используемые для научно-исследовательских целей, имеют гораздо более высокий показатель Т.
Рассеянный склероз на МРТ (с контрастом и без): как выглядят признаки болезни на снимке головного мозга?

Магнитно-резонансную томографию активно используют в неврологии. При подозрениях на рассеянный склероз невропатолог назначает этот диагностический метод.
Неинвазивное исследование позволяет выявить заболевание даже на начальных этапах развития.
Почему используется этот метод?
Принцип работы метода заключается в воздействии на водородные атомы в головном и спинном мозге пациента. Частицы изменяют свое положение и выстраиваются под влиянием магнитного поля.
Атомы способствуют колебанию импульсов. Аппарат считывает информацию, которая преобразуется в трехмерную черно-белую картинку.
МРТ подходит для выявления демиелинизирующих заболеваний, поскольку лучше визуализирует мягкие ткани, хрящи и сосуды. Компьютерная томография применяется для исследования костной системы и свежих повреждений в головном мозге.
Особенность МРТ – отсутствие радиоактивного излучения. Это значит, что исследование безопасно. Если возникнет необходимость, его возможно проводить много раз за короткий промежуток времени.
В отличие от магнитно-резонансного сканирования КТ дает большую лучевую нагрузку на организм.
Показания и противопоказания для процедуры
Врач назначает МРТ при наличии таких симптомов болезни:
- эпизодическое головокружение;
- шаткость походки и потеря равновесия;
- резкое снижение зрения на один глаз;
- уменьшение полей зрения;
- невосприятие какого-либо цвета;
- ощущение онемения в конечностях;
- развитие тазовых расстройств (учащение или задержка мочеиспускания, импотенция);
- двигательные нарушения – мышечная слабость, неловкость движений.
Однако в некоторых случаях магнитно-резонансная томография запрещается. Она может навредить здоровью исследуемого или даст искаженные данные сканирования. Врачи делят противопоказания на абсолютные и относительные.
В первую группу входят:
- Предметы из металла, которые вставлено в тело больного.
- Наличие кардио- или нейростимулятора.
- Кохлеарный имплант.
- Протезы или металлические конструкции.
- Несъемная брекет-система.
- Вес исследуемого превышает 120 кг.
Ко второй группе относят такие противопоказания, связанные с временными нарушениями здоровья пациента на время выполнения МРТ. Когда он получит лечение или пройдет определенный период, диагностику можно будет провести.
К ним относятся:
- Сердечная недостаточность в стадии декомпенсации.
- Вынашивание ребенка (1 триместр).
- Обострение тяжелых хронических заболеваний.
Описание способов проведения
Пациент может проходить сканирование без контрастирования или с красящим веществом. Врач, опираясь на жалобы больного, клиническую картину и методы исследования, выбирает наиболее подходящий метод.
Без контраста
Применяется для выявления патологических очагов в ткани мозга. Преимущества метода по сравнению с контрастным исследованием:
- Возможность использования при тяжелых почечных нарушениях и аллергических реакциях на компоненты красящего вещества.
- Отсутствие специальной подготовки перед сканированием.
- Занимает меньше времени для осмотра.
- Рекомендуется использовать во 2 и 3 триместре гестации, поскольку контраст запрещен на любом сроке беременности.
- Стоимость исследования ниже.
С солями гадолиния
Для проведения диагностики используют соли гадолиния. Его относят к лантаноидным металлам. Вещество обладает важным свойством: накапливаться в областях повышенного кровоснабжения.
Среди солей гадолиния применяются:
- линейные соединения (Оптимарк, Омнискан);
- макроциклические (Гадовист, Дотарем).
Объем контраста рассчитывают индивидуально. Он зависит от массы исследуемого.
Вещество попадает в кровоток и быстро достигает ткани мозга. Магнитно-резонансная томография с контрастированием распознает в этих органах области разрушения нервных волокон.
Перед сканированием врач-диагност рассказывает, как нужно себя вести во время осмотра. Он предупреждает, что аппарат довольно сильно шумит, и предлагает надеть наушники. Доктор показывает тревожную кнопку, которую исследуемый нажимает при ухудшении самочувствия.
Описание процедуры МРТ головного мозга при рассеянном склерозе:
- Пациент укладывается на томографическое ложе.
- Грудную клетку с конечностями фиксируют ремешками, чтобы обеспечить неподвижность исследуемого.
- Когда выполняется сканирование с контрастом, врач вводит его в вену. Катетер должен находиться на руке в течение всего обследования.
- Пациента помещают в томограф. Проводится осмотр.
- По окончании процедуры доктор убирает ремни. Затем он читает томограмму, делая заключение.
Томография не требует от пациента особой подготовки. Перед сканированием необходимо снять предметы из металла: часы, ювелирные украшения. Также потребуется оставить электронные карточки с ключами, смартфон.
Перед магнитно-резонансной томографией с контрастом врач делает пробу на развитие аллергической реакции. Некоторые пациенты страдают непереносимостью к компонентам красящего вещества.
Статистика локализации очагов заболевания в головном мозге
При рассеянном склерозе патологические изменения имеют симметричное распределение и обычно затрагивают одни и те же структуры.
Их типичное расположение, выявленное на МР-снимках:
- перивентрикулярная область;
- мозолистое тело;
- изолированные очажки в белом веществе;
- мозжечок;
- ствол мозга;
- кора больших полушарий.
Признаки и картина болезни на снимке
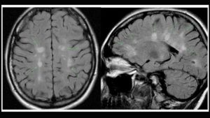
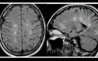
Характерное проявление рассеянного склероза на снимках – это выявление множественных мелких очагов в веществе головного и спинного мозга. Они выглядят как участки просветления на снимке.
Кроме того, на томограммах врач видит такие изменения:
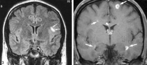
- «Пальцы Доусона». Это демиелинизация (разрушение миелиновых волокон) белого вещества ГМ. Патологические образования имеют продолговатую форму и располагаются вдоль малых мозговых вен перпендикулярно к боковым желудочкам.
- Усиление сигнала от очагов после введения красящего вещества.
- Множественность поражений и их локализация в перивентрикулярной области.
Если пациент сделает МРТ через 3 месяца после клинического дебюта, врач выявит такие изменения:
- Множественные очаги, которые накапливают контраст.
- Участки просветления плотно прилегают к коре головного мозга, поражая дугообразные волокна.
Как выглядят очаги рассеянного склероза на МРТ-снимке:
Как выглядит заключение?
В протоколе исследования специалист подробно описывает структуры головного мозга, указывая патологические изменения при их обнаружении. При рассеянном склерозе врач укажет в заключении следующее: МР-признаки очаговых изменений в белом веществе (очаги демиелинизации или глиоза).
Возможны ли какие-то осложнения после обследования?
Как и любая другая медицинская процедура, магнитно-резонансная томография не исключает развитие негативных последствий. Однако нужно понимать, что они возникают редко.
Осложнения могут возникнуть, если пациент не сообщил врачу об имеющихся в его теле металлических предметах. В противном случае он рискует получить серьезные повреждения органов и конструкций на месте прилегания объектов.
Если у исследуемого вставлен кардиостимулятор, томограф может нарушить работу аппарата, что тоже может закончиться плачевно. При введении контраста может развиться аллергия вплоть до анафилактического шока.
Чтобы избежать таких последствий, необходимо в точности соблюдать правила подготовки к процедуре. Обязательно следует сообщить доктору о металлических предметах, вставленных в тело.
МРТ – это неинвазивная диагностика, которая широко применяется для подтверждения рассеянного склероза. Часто специалисты проводят сканирование с контрастированием. Метод информативен, надежен и безопасен для исследуемого.
Рассеянный склероз на МРТ: признаки отклонения исходя из причины

Рассеянный склероз встречается не так часто: 3-7 случаев на 10 тыс. населения. Этиология, причины возникновения этой болезни до конца не изучены, и, несмотря на то, что о ней уже известно 150 лет, лечить ее до конца, пока не научились.
Если раньше диагноз ставили на основании рентгенологических исследований и пункции, то есть получения межпозвоночной жидкости, то теперь сведения о состоянии позвоночника дают МРТ, электронейромиография и другие диагностические методы.
Рассеянный склероз на МРТ подтверждает выводы, сделанные ранее: в основе этого заболевания лежит разрушение миелиновых оболочек нервных волокон в головном и спинном мозге. Вот только что становится причиной подобного разрушения, пока не известно.
Рассеянный склероз – серьезное заболевание
Что такое рассеянный склероз
Рассеянный склероз – иммунное заболевание, для которого является типичным воспалительный процесс, ведущий к разрушению электроизолирующей оболочки нервных волокон головного и (или) спинного мозга.
Эти оболочки состоят из миелина и покрывают аксоны нейронов. Разрушенный миелин на МРТ и других снимках выглядит в форме бляшек.
На основе зоны распространения миелиновых бляшек рассматриваются спинальная и головная формы РС.
Коварство этой болезни заключается в том, что она поражает молодых людей, в короткие сроки – в течение 1-3 лет способна превратить здорового человека в инвалида.
Динамика ее развития зависит от образа жизни больного, наличия в ней стрессов. Глубокие стрессы, вызванные болезнью, смертью близких, разводами и иными стрессообразующими причинами, способны послужить толчком к развитию болезни, ухудшают состояния больного.
Обнаружил склероз Жан-Мартен Шарко
Впервые эту патологию описал врач-психиатр Жан-Мартен Шарко в 1868 году. В художественной литературе о рассеянном склерозе написала Этель-Лилиан Войнич в своей книге «Оливия Лэтам».
Причины зарождения болезни до конца не выяснены. Замечено, что в северных широтах болезнь поражает людей чаще, чем в южных. Также ученые обратили внимание, что миграция населения также влияет на поражение миелиновых оболочек нервных волокон.
К примеру, у человека, родившегося в южных широтах и переехавшего жить на север, шансов заболеть больше, чем у коренного жителя этих широт.
Возможно, именно миграция населения оказала влияние на тот факт, что процент больных за последнее столетие возрос.
Как проводится МРТ
Для осуществления МРТ-диагностики рассеянного склероза какой-то специальной подготовки не требуется. Правда, необходимо отказаться от приема пищи и напитков за 6-8 часов до томографии.
Для проведения процедуры желательно надеть одежду, не сковывающую движения, и без металлосодержащей фурнитуры.
Женщинам в этот день необходимо снять все украшения, а на голову надеваются специальные наушники или беруши.
МРТ-диагностика рассеянного склероза является очень важной и информативной
Не надо забывать, что основная часть больных РС – инвалиды с нарушениями функций опорно-двигательного аппарата. Им, для того, чтобы уложить на стол МРТ, потребуется помощь санитаров. Перед первым МРТ-сканированием врач консультирует пациента о ходе процедуры, делает тест на аллергию к контрастному веществу.
Перед выполнением МР-томографии на рассеянный склероз в кровь пациента вводится контрастное вещество.
Особенности процедуры
Одной из главных особенностей процедуры является то, что магнитно-резонансная томография при рассеянном склерозе должна выполняться для головного и для спинного мозга. Если в установленном диагнозе преобладает только одна форма РС, тогда допускается томография только головного, или только спинного мозга.
Согласно критериям Макдональда подтверждением диагноза РС является наличие нарушений в белом мозговом веществе в виде миелиновых бляшек, наблюдаемая во времени динамика изменения их размеров и расположения в мозге.
При рассеянном склерозе на МРТ хорошо видно поврежденные участки
Из всех существующих видов диагностики МР-томография дает максимально верный результат. При рассеянном склерозе МРТ показывает миелиновые бляшки размером до 1 мм. Детальные, послойные снимки позволяют отличить РС от сходных по симптоматике заболеваний, установить верный диагноз и назначить оптимальное лечение.
Как применяется и что обнаруживает контрастирование
Обнаружение рассеянного склероза в начальной стадии проводится с применением контрастов. Дело в том, что контрастирующее вещество на основе Гадолиния при РС сохраняется в организме в течение месяца, и этот факт служит косвенным подтверждением диагноза рассеянный склероз.
Контрастное вещество на снимке выделяет миелиновые бляшки, делает их выраженными и контрастно четкими. Концентрируясь в пораженных бляшках, контрастное вещество также помогает отличать новые зоны поражения нервных волокон от образовавшихся ранее.
Тем самым, оно демонстрирует прогрессирование или ремиссию болезни.
Как выглядит рассеянный склероз на МРТ
Симптомы отклонения в снимках отличаются от механизма развития.
Если врач увидел деформацию миелиновых оболочек, можно говорить о склерозе
Распределение участков демиелинизации в головном мозге
Признаки рассеянного склероза на МРТ головного мозга, отраженные зонами деформации миелиновых оболочек, распределяются иначе, чем участки сосудистых изменений.
Воспаление охватывает дугообразные нервные волокна, исходящие от клеток тонкого и клиновидного ядер к мозжечку, сплетение нервных волокон в головном мозге, получившее название мозолистого тела, височные доли.
Такое распределение участков воспаления не характерно для других болезней.
Для обоснования диагностического заключения потребуются добавочные МРТ- обследования. Подтверждению или опровержению диагноза поможет Гадолиний, который ведет себя в организме при РС обособленно, не так, как при других заболеваниях.
Для демиелинизации характерны очаги овальной формы, прозванные «пальцами Доусона». Пальцы Доусона характеризуют потерю миелина, оберегающего отростки нейронов в белом веществе мозга вдоль малых мозговых сосудов. Овальные бляшки служат одним из самых ярких признаков множественного склерозирования миелина, и возникают вследствие воспаления тканей, окружающих венулы.
Это видео расскажет о первых признаках рассеянного склероза:
Воспаление спинного мозга при РС
На МР-томографии относительно небольшие очаги деформации спинного мозга располагаются на внешней его части.
Для очагов РС свойственно сосредоточение в шейных позвонках, их длина немного меньше протяженности двух позвонков.
Возникновение миелиновых бляшек в отделах позвоночника одновременным наличием их в мозжечке, является характерным для РС и существенно помогают в ранней диагностике воспаления спинного мозга.
Наличие признаков РС на МРТ в спинном мозге не свойственно другим патологиям. Исключение составляют следующие:
- демиелинизирующий энцефаломиелит;
- клещевой боррелиоз;
- СКВ (волчанка);
- саркоидоз
Отклик от спинного мозга однородно интенсивный, поэтому склерозированные участки выделяются на фоне ликвора и спинного мозга, что и дает возможность заметить РС на МР-томографии.
Имеет ли процедура противопоказания
Непосредственно для больных РС, как болезнь противопоказаний не имеет. Она противопоказана для тех, кто:
- имеет встроенный кардиостимулятор, иные электронные устройства жизнеобеспечения;
При наличии встроенного кардиостимулятора МРТ не делают
- имеет внутренние металлосодержащие протезы или имплантаты;
- беременные женщины;
- люди с повышенной психоэмоциональной возбудимостью, склонные к эпилепсии и страдающие некоторыми формами нервных расстройств.
Больные, кому противопоказано контрастное вещество на основе гадолиния, могут пройти МРТ, но без контраста. Информативность такой процедуры окажется недостаточно высокой. Светлые пятна можно легко спутать с другими патологиями, и поэтому потребуется проведение другого диагностического метода.
Помогла статья? Оцените её Загрузка…
Магнитно-резонансная томография при рассеянном склерозе

Рассеянный склероз (РС) – тяжелое, неизлечимое заболевание нервной системы, поражающее молодых людей, чаще женского пола, имеет тенденцию к росту преимущественно в европейских странах. При прогрессирующем течении быстро приводит к инвалидизации.
Современная диагностика рассеянного склероза основана на жалобах и данных инструментальных исследований, заболевание трудно диагностируется на начальном этапе, когда есть возможность вовремя начать лечение.
Основную информацию на ранних стадиях рассеянного склероза предоставляют данные МРТ, позволяющие определить малейшие признаки заболевания и выявить очаги поражения, которые еще не проявляются на клиническом уровне.
Симптомы и признаки заболевания
Рассеянный склероз (или множественный склероз, sclerosis disseminata) сопровождается хроническим аутоиммунным воспалительным процессом в белом веществе центральной и периферической нервной системы, повреждением миелиновых оболочек нервных волокон в виде склеротических бляшек.
Одновременно с демиелинизацией происходит гибель нервных клеток. Рассеянный склероз характеризуется хроническим прогрессирующим течением, приводящим пациентов к инвалидности. Причины аутоиммунных заболеваний до конца не изучены, нет единого возбудителя или повреждающего фактора, вызывающего эти процессы.
Считают, что вирусные агенты могут являться пусковым моментом в развитии РС – стимулируют воспалительно-аутоиммунные реакции, разрушения миелина и повреждения нервных волокон, что выражается в разнообразных симптомах заболевания:
- Снижение остроты зрения, четкости изображения.
- Преходящая слепота (на один или оба глаза), пелена перед глазами.
- Расстройства движения глазных яблок, головокружения.
- Пирамидные симптомы – центральные парезы с высокими сухожильными рефлексами, клонусы стоп, патологические пирамидные рефлексы, отсутствие брюшных кожных рефлексов.
- Пошатывание при ходьбе, расстройство координации движений, чувствительности.
- Асимметрия сухожильных рефлексов.
- Повышенная утомляемость, перепады настроения, нарушения памяти.
- Интенсивные боли по ходу позвоночника, усиливающиеся при сгибании шеи.
- Нарушение функции тазовых органов.
- Психотические расстройства при поражении гиппокампа.
- Прогрессирующая утрата мышечной массы (амиотрофия).
Рассеянный склероз может начинаться с ретробульбарного неврита (воспаления зрительного нерва) и чувствительных расстройств, поражения пирамидных путей и мозжечка.
По мере прогрессирования заболевания присоединяются новые проявления в виде полинейропатии, происходит атрофия клеток головного и спинного мозга.
У одного пациента могут сочетаться признаки поражения нескольких проводящих путей на разных уровнях нервной системы.
Характерным для РС является ухудшение состояния при перегревании — так называемый синдром горячей ванны, феномен Ухтоффа.
Такая разнообразная симптоматика, отсутствие специфических рентгенологических, электрофизиологических, лабораторных критериев, однозначно говорящих в пользу рассеянного склероза (выявление в цереброспинальной жидкости олигоклонального IgG не абсолютно специфично), вызывает трудности в диагностике на ранних этапах заболевания.
Диагностические критерии рассеянного склероза
Для обследования пациентов с подозрением на РС разработаны специальные диагностические протоколы, которые принимают во внимание клиническую картину, неврологический осмотр, офтальмологическое обследование, лабораторные и инструментальные методы диагностики, характер течения заболевания.
К характерным клиническим симптомам относят отсутствие брюшных рефлексов, наличие тазовых нарушений, побледнение височных половин диска зрительного нерва, пентада Марбурга, триада Шарко. Заболевание имеет несколько вариантов развития, к ним относятся:
- Реммитирующее течение – обострения сменяются полным отсутствием жалоб и прогрессирования заболевания. Спокойные периоды могут длиться на протяжении десяти лет.
- Первично-прогрессирующее – постоянное ухудшение течения с нарастанием симптоматики, ухудшением состояния пациента.
- Вторично-прогрессирующее – после периода мнимого улучшения наступает период прогрессивного ухудшения, приводящий к инвалидности.
- Доброкачественное течение – минимальное количество симптомов на протяжении многих лет, заболевания как бы замораживается на одном уровне.
- Злокачественное – рассеянный склероз убивает пациентов в течение года.
Неврологи выделяют несколько характерных стадий развития болезни — дебют, обострение (экзацербацию), ремиссию (затихание), хроническое прогрессирование, стабилизацию, декомпенсацию. При осмотре врач может заподозрить заболевание нервной системы на основании жалоб, изменений в неврологическом статусе, но для уточнения диагноза проводят дополнительные методы обследования.
Среди лабораторных методов исследования в диагностике рассеянного склероза имеют ценность только показатели цереброспинальной жидкости. Наиболее информативны — индекс IgG, олигоклональные полосы IgG, содержание и индекс свободных легких цепей иммуноглобулинов к-типа. В дополнение к пункции проводят исследования вызванных потенциалов мозга.
Все перечисленные методы обследования не всегда позволяют точно установить распределение очагов демиелинизации в головном и спинном мозге, это стало возможным благодаря магнитно-резонансной томографии (МРТ) головного мозга. Информативность метода в диагностике рассеянного склероза при сканировании головного мозга достигает 90-95%, поражения спинного мозга выявляют реже.
С 2001 г. для подтверждения диагноза рассеянного склероза используют диагностические критерии МакДональда с учетом результатов МРТ головного и спинного мозга, как доказательства распространения патологического процесса в месте (локализация и количество) и во времени (возраст очагов), которых достаточно для достоверной диагностики заболевания. В 2010 году они были упрощены.
- Распространение в месте подтверждается наличием более одного T2-очага (накопление контраста не обязательно) в двух из четырех отделов мозга:
- Перивентрикулярно(вблизи желудочков головного мозга).
- Юкстакортикально(вблизи коры головного мозга).
- Инфратенториально(в мозговых структурах, расположенных под наметом мозжечка).
- Спинном мозге(если у пациента имеются симптомы поражения ствола мозга или спинного мозга, эти очаги исключаются из подсчета).
- Распространение во времени:
- Появлениеновых Т2-очагов, накапливающих парамагнитный контраст на повторных томограммах, в сравнении с предыдущими, независимо от того, когда они были сделаны.
- Одновременное выявление накапливающих и не накапливающих парамагнитный контраст очаговна томограммах, независимо от времени, когда они были сделаны.
В соответствии с этими критериями диагноз рассеянного склероза может быть установлен лишь на основании данных МРТ, если выявляют одновременно накапливающие и не накапливающие контраст очаги в областях мозга, поражаемых рассеянным склерозом. Диагноз может быть установлен даже при отсутствии симптомов болезни.
Проведение томографии для диагностики рассеянного склероза
С помощью МРТ при рассеянном склерозе выявляют распределение очагов демиелинизации в пространстве и определяют их возраст. Исследование проводят в трех плоскостях при толщине срезов 1-3мм.
Сканирование рекомендуют проводить на аппаратах с силой магнитного поля более 0.
5 Тл, сочетая исследования в аксиальной (поперечный срез) и сагиттальной плоскостях (вид сбоку) – для МРТ головного мозга.
В настоящее время принято выделять несколько МРТ-проявлений рассеянного склероза в виде синдромов:
- Хронической воспалительной демиелинизации.
- Острой воспалительной демиелинизации.
- Мультифокально-дегенеративной лейкоэнцефалопатии.
- Мультифокально-диффузной лейкоэнцефалопатии.
Наиболее информативны для МРТ спинного мозга при рассеянном склерозе корональные (вид спереди) и сагиттальные срезы на томографах с силой поля 1-2Тл. Исследование проводят в горизонтальном положении, головой к магниту, без предварительной подготовки, соблюдая рекомендации радиологов.
Режимы сканирования
Обычно используют Т1 и Т2 взвешенные последовательности, они предназначены для использования различий тканей по Т1 и Т2 с целью создания максимального контраста между ними в норме и патологии, что позволяет получать большое количество типов изображений при МРТ диагностике рассеянного склероза.
| Взвешенные последовательности | Время эхо (ТЕ) | Время повторения (ТR) |
| Т1 | 15-30мс | 300-500мс |
| Т2 | 60-120мс | 1600-2500мс |
Обязательно используют методику турбо-спин-эхо, последовательность FLAIR (Т2 с подавлением сигнала от жидкости), а также трехмерную ангиографию – 3D TOF. По показаниям дополнительно проводят трехмерные градиентные последовательности с тонкими срезами, диффузионно-взвешенные (DWI).
Во время сканирования используют пульсовые последовательности с различными интервалами — «инверсию восстановления» (IR) и «спиновое эхо» (SE). Патологические изменения при МРТ проявляются по-разному, в зависимости от типа пульсовой последовательности:
- очаги демиелинизации при режиме IR выглядят черными;
- очаги демиелинизации при режиме SE выглядят белыми.
Нормальное белое вещество мозга визуализируется:
- на Т1 взвешенных изображениях светлым;
- на Т2 ВИ – темным.
Очаги демиелинизации за счет увеличения содержания воды имеют сигнал:
- пониженной интенсивности на Т1-ВИ;
- повышенной на Т2-взвешенных изображениях.
Перспективной является методика переноса намагниченности, основанная на обмене магнитными полями между несвязанными протонами воды и связанными протонами миелина, что значительно повышает контрастность изображения, позволяет лучше выявлять нервные волокна, лишенные миелина.
Особенно показана МРТ переноса намагниченности в ситуациях, когда имеются более двух атак заболевания, но клинически выявляют лишь один очаг в центральной нервной системе. Визуализация нескольких очагов в белом веществе головного мозга в этом случае помогает поставить точный диагноз.
Сомнение могут вызвать гигантские, похожие на опухоль участки, сопровождающиеся масс-эффектом (повреждающий эффект окружающих тканей от образования). Магнитно-резонансную томографию используют для контроля эффективности лечения РС — очаги демиелинизации изменяются в размерах с разной скоростью.
Некоторые из них полностью исчезают, в то время как другие возникают на новом месте. При динамическом сканировании видны обострения процесса на доклиническом уровне. Эффективность исследования повышается при применении методики контрастирования.
Применение контраста
Для усиления структур мозга с отсутствующим или поврежденным гематоэнцефалическим барьером применяют контрастирование. С этой целью используют водорастворимые парамагнитные вещества на основе гадолиния, они проявляют эффект с первой до пятнадцатой минуты после внутривенного введения.
Способность накапливать контраст связана с активностью воспалительного процесса в нервном волокне, он проникает в зону воспаления и отека, вызывает усиление сигнала на Т1-ВИ в виде кольца вокруг появившихся новых или растущих участков склероза.
Чем выраженней поражение нервного волокна – тем ярче изображение. Этот процесс происходит в старых очагах, патологических участках, локализующихся в коре и подкорковом сером веществе, где они обычно не видны на стандартных Т2-изображениях.
Применение Магневиста (парамагнитное контрастное вещество на основе гадолиниума) повышает процент выявляемых бляшек, что позволяет определять тяжесть заболевания, назначать адекватную терапию. Рассеянный склероз на МРТ выявляют в десять раз чаще по сравнению с клиническими проявлениями заболевания.
Как выглядят очаги рассеянного склероза на снимках?
В белом веществе спинного мозга и в глубинных отделах головного выявляют бляшки РС различного количества и размеров. Характерным является их расположение по краям мозолистого тела, в ножках, стволе, мозжечке.
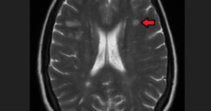
В типичных случаях в структурах головного мозга в режиме Т2-взвешенных изображений выявляют очаги повышенной интенсивности овальной формы от 2 до 20 мм вдоль тел и рогов желудочков, в мозолистом теле, реже — в белом веществе полушарий головного мозга, стволе, мозжечке. Свежие очаги хорошо визуализируются при контрастировании.
Типичные МР-признаки склеротических бляшек в спинном мозге – располагаются на уровне первого-второго сегментов, диаметром не менее 3 мм, чаще в области задних и боковых столбов, без отечности спинного мозга.
Противопоказания для томографии
Магнитно-резонансная томография является безопасным методом диагностики, но существуют ограничения для ее проведения. Абсолютно противопоказана МРТ обладателям искусственного водителя ритма, эндопротезов с ферросплавами, металлических клипс на сосудах головного мозга, металлических осколков и пуль, дозаторов лекарств.
Исследование может быть сделано беременным женщинам в первые шесть месяцев беременности, людям, страдающим тяжелыми сердечно сосудистыми заболеваниями, клаустрофобией в том случае, если польза от полученной информации превысит риск.
МРТ диагностика рассеянного склероза – единственный метод, визуализирующий очаги поражения до клинических проявлений заболевания. Исследование позволяет определить точные размеры, локализацию, возраст патологического участка. В сомнительных случаях позволяет подтвердить диагноз, проследить динамику развития заболевания и эффективность проводимого лечения.
