Что показывает МРТ простаты у мужчины

Иногда мужчина, обратившийся к урологу с жалобами на плохое мочеиспускание и болезненность в промежности, может получить направление на МРТ простаты. Это стандартный способ обследования, который широко применяется в диагностике разных заболеваний, в том числе и проявляющихся в предстательной железе.
Рассмотрим, кому показана магнитно-резонансная томография и как ее делают. Поделимся сведениями о том. что показывает прибор и как подготовиться к исследованию правильно.
Что такое МРТ и чем оно лучше УЗИ
Магнитно-резонансная томография или МРТ — это методика исследования органов, в основе которой лежит способность ядер атомов продуцировать электромагнитные волны, которые могут быть зафиксированы прибором. По сути МРТ позволяет сканировать орган послойно, не нарушая целостности тканей и не воздействуя негативно на обследуемого.
Томограф делает снимки в трех направлениях:
- спереди назад;
- сверху вниз;
- справа налево.
Полученная информация обрабатывается в процессоре и выводится на экран компьютера. При необходимости на основе снимков можно создать трехмерную модель органа, в данном случае простаты.
УЗИ, в отличие от МРТ, такими возможностями не обладает. Врач может с помощью этого метода обнаружить патологический процесс, но просканировать орган удается в одной или двух плоскостях. Поэтому точность ультразвукового исследования ниже и не всегда удается правильно распознать патологический процесс.
В сомнительных случаях при обследовании предстательной железы с помощью УЗИ мужчину направляют на МРТ.
Показания к проведению МРТ
МРТ является сравнительно дорогостоящие методом, поэтому в большинстве случаев врач обходится ТРУЗИ или абдоминальным УЗИ. Однако часто без МРТ не обойтись.
Показаниями к магнитно-резонансной томографии являются:
- подозрение на онкологический процесс в предстательной железе;
- подозрение на метастазирование в органах;
- жалобы на длительные боли в области крестца, нижней части живота, промежности и в гениталиях;
- боли в области тазобедренного сустава, являющиеся одним из проявлений СХТБ;
- подозрение на разрыв кисты или абсцесса.
В некоторых клиниках МРТ применяется в комплексной диагностики простатита и везикулита, а также других воспалительных процессов в органах малого таза. Направление на обследование выдает врач уролог, онколог, андролог.
В современных условиях магнитно-резонансная томография предстательной железы может применяться при осложнениях аденомы простаты и хронического простатита.
Противопоказания к МРТ простаты
К исследованию простаты с помощью МРТ есть несколько абсолютных и относительных противопоказаний. К первым относятся те ситуации и заболевания, при которых проведение сканирования с помощью магнитного излучения невозможно совсем. К ним относятся:
- установленный аппарат Илизарова (конструкция, собираемая на конечности при переломе костей для их правильной фиксации);
- непереносимость контрастного вещества;
- вес больного более 130 кг;
- охват тела больше диаметра аппарата;
- хроническая почечная недостаточность.
Также противопоказанием являются установленные кардиостимуляторы, имплантаты, коронарные стенты, катушки, протезы и другие устройства. Правда в этом случае противопоказание может считаться не абсолютным, а относительным. Все зависит от материала деталей, используемых в устройстве.
Если производитель уверяет, что имплантат обладает низкими магнитными качествами и совместим с МРТ, обследование может быть проведено после консультации с врачом и под внимательным контролем со стороны медицинского персонала. В противном случае МРТ простаты будет запрещена.
Относительными противопоказаниями являются клаустрофобия и гиперкинез (повышенная подвижность). Эти нарушения приводят к тому, что пациент не может спокойно лежать в аппарате, проявляет беспокойство, двигается, а значит и результат не будет четким. Потому МРТ делают лишь в экстренных случаях.
Если необходимо, больного могут ввести в медицинский сон на время обследования. Делается это в крайних случаях.
МРТ любых органов, включая предстательную железу, требует подготовки обследуемого. Что-то сделает врач, например, проведет обследование на чувствительность к контрастному веществу и проверит состояние почек. Но и самому мужчине предстоит приложить усилие:
- за 2 дня до назначенной даты убрать из рациона любые продукты, которые могут вызвать вздутие кишечника — молочные продукты, газировку, бобовые и крестоцветные овощи;
- в день исследования не кушать (если МРТ будет без контрастирования, то легкий завтрак не повредит);
- за час до поездки к врачу сделать очистительную клизму.
Если планируется только проверка простаты, то мочевой пузырь должен быть наполнен. Для этого нужно выпить литр-полтора воды без газа, но в туалет не ходить. Если врач считает, что нужно проверить и другие органы малого таза, то мочевой пузырь нужно будет опорожнить. Эти нюансы желательно уточнить заранее.
Медикаментозная подготовка заключается в приеме за час до обследования Но-шпы, Дротаверина или другого спазмолитика. Также может быть проведена внутривенная инъекция гиосцина бутилбромида для уменьшения перистальтики кишечника.
Как делают МРТ простаты
Перед тем, как начать обследование, врач беседует с мужчиной. Сначала собирается информация о том, есть ли аллергия на препараты, какие установлены имплантаты. Также спрашивают о татуировках и времени их нанесения — более 20 лет назад использовались чернила с высоким содержанием металлов, потому такие татуировки могут нагреваться во время обследования.
Также врач рассказывает о порядке мероприятия и дает инструкции по действиям в случае появившегося страха или ухудшения самочувствия.
Дальнейшее обследование проводится примерно в следующем порядке:
- Мужчина заходит в кабинет МРТ, раздевается и снимает с себя все металлические вещи, включая нательный крестик, часы, обручальное кольцо и т.д.
- Ложится на специальный стол аппарата, врач фиксирует его руки и ноги — это нужно, чтобы случайные движения не мешали исследованию.
- Убедившись, что мужчина чувствует себя нормально, задвигает стол вместе с ним в тоннель томографа.
- Начинается сканирование. Мужчина может это определить по ритмичным щелчкам и различным звукам, а в области обследуемой зоны возможно появление чувства легкого жара.
- Если делают МРТ простаты с контрастированием — предварительно в вену будет установлен катетер, через который вещество будет поступать в автоматическом режиме. В этом случае возможно периодическое чувство холода или тепла.
МРТ предстательной железы длится не более 45 минут, иногда требуется и меньше времени. МРТ с контрастированием может длиться до часа или чуть больше. Если мужчина опасается, что звуки будут раздражать — можно попросить у медсестры специальные шумопоглощающие наушники. В них некоторые больные даже могут уснуть, что не воспрещается регламентом обследования.
Результаты будут готовы примерно через час после окончания обследования. Их выдадут лично больному или направляют лечащему врачу.
Последствия МРТ для мужчины
Опасаться каких-либо негативных последствий для здоровья или потенции не стоит — процедура магнитно-резонансной томографии абсолютно безвредна для больного. У некоторых мужчин возможны аллергические реакции на контрастное вещество, выраженные в следующих симптомах:
- высыпание на коже;
- чувство жжения в области введения препарата;
- зуд на коже.
В особо тяжелых случаях возможны нарушения дыхания, кашель, одышка и чувства сдавленности в груди. Это признаки аллергической реакции на контрастное вещество.
Чтобы избежать неприятностей, нужно оповещать врача о возможных проблемах и правдиво отвечать на его вопросы.
Заключение
МРТ простаты — это безопасная, но действенная методика обнаружения проблем в органах. Томограф позволяет получить снимки предстательной железы в трех плоскостях, эти изображения могут быть преобразованы в 3D модель.
Такие возможности делают МРТ незаменимым в диагностике рака простаты, аденомы железы или особенностей хронического течения простатита. Обследование длится около 45 минут, а результат будет готов уже через час.
Такая скорость выполнения обследования, а также незначительное число подготовительных процедур позволяют использовать МРТ даже в экстренных случаях.
Возможно вас заинтересует

Магнитно-резонансная томография (МРТ) простаты – это диагностический метод подтверждения или опровержения простатита, аденомы, абсцессов, рака.
При сканировании определяются структура, размеры, положение органа, выявляются абсцессы, воспаления, доброкачественные и злокачественные опухоли.
Точность постановки диагноза составляет более 89%, что выше, чем при УЗИ или КТ. Если совмещать МРТ с биопсией, то показатель достигает 100%.
Что показывает МРТ предстательной железыКак подготовиться к исследованиюКак делают МРТ предстательной железыМРТ при раке простатыРасшифровка результатовСколько стоит процедураОтзывы
Что показывает МРТ предстательной железы
Метод МРТ предстательной железы представляет собой перевод в картинку резонирующей реакции водорода из тканей на магнитное поле. Излучаемая энергия улавливается в радиочастотном диапазоне и показывается на экране.
Получившийся снимок дает подробную информацию о дискретности, топографии, размерах, очертаниях простаты.
Эти параметры нужны для определения урологических патологий: МРТ может показать воспалительные, пролиферативные, онкологические заболевания простаты.
Мужчину направляют на МРТ только после проведения простых процедур (это связано со сложностью и дороговизной услуги). К примеру, диагностика хронического простатита начинается со сбора анамнеза, ректального обследования, лабораторных анализов крови и мочи. Если проведенные мероприятия не позволили точно установить заболевание – пациенту дают направление на магнитно-резонансную томографию.
Помимо дифференциальной диагностики показанием для МРТ является изучение простаты в предоперационном периоде. Исследование покажет степень поражения органа и вовлечения в патологический процесс соседних структур (тканных, костных, кровеносных, нервных). По снимкам врач получит точное представление, что именно во время операции надо удалить у мужчины.
Австралийские ученые из Института Весли провели большую научную работу по сравнению эффективности четырех видов инструментального обследования: УЗИ, ТРУЗИ, традиционной томографии и биопсии под контролем МРТ яичек, мочевого пузыря и предстательной железы. Были исследованы 489 пациентов с повышенным уровнем ПСА. Испытуемым с их согласия провели все четыре вида диагностики. Рак простаты был обнаружен у 234 человек.
Самая большая неточность по результатам исследования оказалась у ультразвукового обследования – раковые образования выявлены только в 62%. ТРУЗИ точнее – оно помогло обнаружить онкологические образования в 77 %. Точность МРТ без биопсии – 89%, с биопсией – 100%.
Парадокс в том, что несмотря на минимальную вероятность ложного диагноза при МРТ гораздо чаще делают УЗИ и ТРУЗИ. Причина – в большом числе противопоказаний и высокой стоимости томографии.
Перед магнитной томографией необходимо на 24 часа воздержаться от продуктов с высоким содержанием грубой клетчатки (волокнистые овощи, фрукты, хлеба из муки грубого помола). Исключается еда, повышающая газообразование (минералка, бобы, фасоль, кефир). Обязательное условие – совсем не есть в течение 4 часов перед МРТ.
МРТ простаты всегда выполняется при опорожненной прямой кишке. Пациент готовится к процедуре самостоятельно: за 12 часов до процедуры рекомендуется очистить кишечник (выпить слабительное или сделать клизму).
Психологическая подготовка к исследованию основывается на том, что пациенту следует настроиться на неподвижность в положении лежа более получаса. Никакого дискомфорта (болей, жжения) обследование не вызывает.
По медицинским стандартам магнитно-резонансная томография проводится до проведения трансректального иссечения тканей простаты (перерыв между процедурами не играет роли – может делаться в течение одного часа). Такой метод называется fusion (фьюжен) биопсия предстательной железы – она делается под контролем МРТ.
Плюс «двойной» процедуры – материал врачи берут не «вслепую» (из случайных участков простаты), а прицельно (из тех областей, которые магнитно-резонансный томограф показывает как подозрительные).
В результате сокращается количество точек взятия образцов тканей, что существенно снижает риски осложнений.
Для сравнения: во время стандартного забора ткани выполняется через 30–40 проколов, при совмещении с МРТ – 10–12.
Если порядок нарушен, забор тканевого материала был осуществлен до инструментальной диагностики, то можно делать МРТ не ранее чем через 25 суток после биопсии простаты. За этой время ранка, оставшаяся после введения иглы в железу, успеет полностью зажить.
Как делают МРТ предстательной железы
Проводится исследование внутри длинной трубы приблизительно 60 см в диаметре. Мужчина может использовать пижаму, которую выдают в клинике, или находиться во время процедуры в своей одежде, если она не перетягивает тело и не имеет металлических элементов.
При простатите, раке, абсцессе простаты или гиперплазии предстательной железы надо обследовать только зону малого таза, поэтому человек помещается в аппарат не полностью – голова, плечи, руки остаются вне томографа. Это позволяет пациенту держать глаза открытыми, слушать музыку, читать книгу (главное, во время излучения не двигать нижней частью тела).
Для МРТ простаты мужчина помещается в аппарат не полностью – голова, плечи, руки остаются вне томографа.
Длительность МРТ – от 30 до 70 минут. Во время процедуры осуществляется 10–20 съемок. Когда делается сканирование, пациенту нужно лежать максимально неподвижно. В периоды между ними (перерывы длятся не более 2–3 минут) можно немного пошевелить ногами, о чем врач сообщит дополнительно.
Традиционный метод
Самый простой вид МРТ – исследование без использования контрастирующего материала. Применяется редко из-за высокой вероятности пропустить рак. Единственный случай, когда его делают – наличие противопоказаний для использования контраста:
- Аллергия на состав контрастирующего препарата.
- Хроническая почечная недостаточность.
- Недавно перенесенный инфаркт.
- Флеботромбоз и патологии свертываемости крови.
Плюсы бесконтрастного МРТ – сниженная стоимость услуги, исключение вероятности аллергической реакции. Минус – без контраста труднее распознать участки онкообразований. Например, в случае малых размеров раковых опухолей в простате вероятность их обнаружения составляет 78 %, так как отсутствуют изменения окружающих ее структур.
С контрастированием
МРТ с контрастным веществом проводится для определения параметров простаты и выявления опухолей любых размеров. В качестве контраста используют:
- Gadovist,
- Magnevist,
- Omniscan,
- Dotarem.
Перечисленные средства содержат соли гадолиния. Это металл, имеющий серебристый оттенок и отчетливо различаемый при проведении МРТ простаты с контрастированием.
Вводят препарат инъекционно (делается укол шприцом в вену). За 2–3 минуты кровь с контрастом достигает простаты, можно проводить магнитно-резонансную томографию.
Спустя сутки после процедуры контрастное вещество выводится из организма вместе с мочой.
Мультипараметрическая МРТ
Для повышения точности постановки диагнозов разработан алгоритм многопараметрического анализа данных томографии. Другое название системы – PIRADS (Prostate Imaging Reporting and Data System). Само исследование проходит на стандартном оборудовании (сейчас часто применяется прицельная МРТ, представляющая собой обследование простаты на сверхвысокопольном томографе).
Мультипараметрическая МРТ простаты делается дольше, чем стандартная томография (на 20–30 минут). Время на анализ полученной информации тоже продлевается.
Плюсами мультипараметрической МРТ является возможность проведения процедуры без биопсии. Вероятность «проглядеть» опухоль по сравнению с традиционной магнитно-резонансной томографией снижается на 12 %.
МРТ при раке простаты
Показанием для проведения МРТ служит повышенное ПСА в крови. Увеличение уровня антигена происходит при аденоме простаты, гнойном простатите, абсцессе мочевого пузыря и раке. Магнитно-резонансная томография позволит определить точную патологию.
При диагностике рак простаты подтверждается, если на снимке выявляются плотные сгустки, которые не должны тут присутствовать согласно анатомии железы. МРТ позволяет определить форму онкологии: является ли опухоль аденоидной, муцинозной или фиброзной.
Например, слабый резонирующий сигнал характерен для рака простаты, образованного клетками с муцином (эта информация помогает определить подходящий вид лечения онкобольного).
Чтобы понять характер опухоли (злокачественный или доброкачественный), после магнитно-резонансной томографии делается биопсия.
Расшифровка результатов
Анализ данных МРТ – задача диагноста и уролога. При желании можно воспользоваться медицинскими стандартами, позволяющими самостоятельно проанализировать снимки.
- Здоровая простата. Размеры железы, ее капсулы, семенников, окружающих тканей, сосудов, нервов — все в норме. Опухоли отсутствуют.
- Доброкачественная гиперплазия. На снимке МРТ видно симметричное или ассиметричное разрастание железы с сохранением равномерных контуров.
- Простатит. На МРТ видно, что железа становится крупнее, но ее контуры, в отличие от аденомы, нечеткие (из-за ослабления кровонаполнения от венозного сплетения).
- Рак на МРТ характеризуется единичными или множественными новообразованиями. Они локализуются точечно или распространяются за капсулу простаты.
Следует обязательно спросить интерпретацию результатов МРТ у специалиста (точный диагноз ставится по результатам МРТ, ПСА, УЗИ и пр.). Самим можно неправильно расшифровать данные снимков и начать неправильное лечение (или посчитать себя здоровым, ничего не предпринимать и запустить болезнь).
Сколько стоит процедура
Основной минус томографии в том, что она не входит в перечень услуг, которые делают бесплатно по страховому полису. Цена на МРТ достаточно высокая (в сравнении с другими методами диагностики) – это оправдано сложностью процедуры, дорогим оборудованием, высокой квалификацией персонала.
| Вид МРТ простаты | Средняя стоимость в руб. |
| Без контраста | 5500 |
| С контрастным веществом | 6500 |
| с биопсией | 9500 |
| С параллельным изучением всех органов малого таза | 12000 |
Для сравнения, КТ простаты обойдется в 2600–4000 руб. Ультразвуковое исследование стоит от 900 руб.; чтобы сделать ТРУЗИ, надо отдать около 1200 руб.
Бесплатно магнитно-резонансную томографию тоже можно сделать. В городских поликлиниках выделяют квоты на несколько льготных процедур в месяц.
Эти квоты медицинское учреждение распределяет между пациентами, кому такое исследование важнее остальных. Так как предложений мало, то порой бесплатного МРТ пациенты ожидают по полгода и дольше.
Если обследование требуется срочно – придется воспользоваться платными услугами.
Отзывы
«МРТ назначили после пальпации простаты, анализа на ПСА, СОЭ и УЗИ. Было подозрение на рак. Процедуру проходил в Кирове, в частном диагностическом центре. Отдал примерно 6 500 руб.
Из минусов – ужасно шумный аппарат, за полчаса голова разболелась из-за монотонного жужжания и треска. Почему-то мне не дали наушники с музыкой, хотя читал, что их всегда выдают.
Кстати, онкология не подтвердилась, чему безумно рад».
Андрей, 36 лет
«Живу с раком простаты 2-й степени уже 10 лет. Оперировался 6 лет назад и 3 года назад, так как были рецидивы. Делаю магнитную томографию каждые 7–10 месяцев. Процедура лучше КТ, так как нет лучевой нагрузки. Никакого дискомфорта в процессе – просто лежишь и думаешь о своем. Перед введением контраста обязательно проверяют на креатинин, если он не в норме, то процедура отменяется».
Геннадий, 48 лет
Мрт при раке предстательной железы
МРТ простаты — диагностическая методика, позволяющая подтвердить или опровергнуть простатит, аденому, абсцесс или онкологию.
При проведении обследования оценивается структура органа, его размерные характеристики, производится оценка параметров новообразований.
Точность метода приближена к 90%, что существенно выше, чем в случае УЗИ и компьютерной томографии. Если совместить сканирование с биопсией, то эта цифра достигает 100%.
Что демонстрирует МРТ-обследование
Методика заключается в переводе в изображение резонирующей реакции атомов водорода из тканей.
Стимулирующее действие при этом оказывает магнитное поле. В результате исследования предоставляются данные о томографии, дискретности и прочих параметрах простаты.
Эти показатели крайне важны при раке предстательной железы, воспалительных процессах, пролиферативных патологиях.
Кроме дифференциальной диагностики, поводом к МРТ может стать необходимость в изучении органа перед проведением операции.
МРТ
Снимок продемонстрирует степень поражения предстательной железы и вовлечение в патологию сторонних кровеносных, костных, нервных и прочих структур.
Благодаря томографии специалист может точно определить, что предстоит делать в процессе оперативного вмешательства.
В ходе научных исследований было выяснено, что вероятность определения развивающейся злокачественной опухоли при проведении УЗИ составляет 62%.
ТРУЗИ несколько точнее — способно диагностировать рак в 77%. Точность магнитной томографии без биопсии составляет 89%, при комбинированной диагностике — 100%.
ТРУЗИ
Несмотря на факт невысокой точности диагностик, гораздо чаще прибегают к назначению УЗИ и ТРУЗИ. Причина тому — наличие противопоказаний и высокая стоимость МРТ.
По медицинским показаниям МРТ осуществляется до биопсии предстательной железы. Продолжительность перерыва между манипуляциями неважна. Процедура осуществляется под контролем магнитной томографии.
Преимущество такого «двойного» исследования состоит в том, что специалисты берут ткань не «вслепую», а в определённых областях.
Результат — повышается вероятность постановки точного диагноза, сокращаются риски развития осложнений.
Биопсия
Если порядок проведения процедур был нарушен — ткань была взята до МРТ, то проводить томографию можно не ранее, чем через 25 дней после забора. В этот период травмированная простата успеет восстановиться.
Перед проведением МРТ-диагностики предстательной железы мужчине предстоит провести ряд подготовительных мероприятий:
- Подготовить документацию: направление, результаты предыдущих исследований, в том числе лабораторных (анализы мочи, крови).
- За сутки до томографии отказаться от употребления продуктов, стимулирующих газообразование: бобовые, чёрный хлеб, блюда из капусты и пр. Во избежание дискомфорта принять «Эспумизан».
- Перед диагностикой опорожнить кишечник. Если необходимо, воспользоваться очистительной клизмой (особенно актуально при использовании ректальной катушки).
- За 4 часа до МРТ не есть.
- За 60 минут до сканирования выпить 1 л воды, чтобы наполнить мочевой пузырь.
- Перед процедурой выпить спазмолитик, например, «Но-шпу».
- При выраженном волнении можно воспользоваться успокоительным средством.
Ход проведения МРТ-исследования простаты
Обследование предстательной железы методом МРТ-диагностики осуществляется по следующей схеме:
- Пациент сдаёт металлические предметы (украшения, очки, часы, предметы одежды) и переодевается в одноразовую одежду.
- Больной помещается в томограф. При простатите, раке простаты, абсцессах или гипертензии обследованию подвергается только область малого таза. По этой причине человек оказывается внутри тоннеля томографа не полностью — голова, верхние конечности остаются за пределами аппарата. Обследуемый может не закрывать глаза, читать книгу или слушать музыку, важно лишь соблюдать неподвижность нижней части тела.
- Кольцо томографа начинает движение. Больной не испытывает неудобство. Время проведения процедуры — 30-70 минут. За это время производится до 20 снимков.
- По окончании диагностики больной встаёт, переодевается и покидает диагностический кабинет.
Традиционный способ
Обычная магнитно-резонансная томография предстательной железы — это самая простая процедура.
Она назначается крайне редко, поскольку в этом случае велика вероятность «пропустить» онкологию.
Бесконтрастное МРТ проводится при наличии противопоказаний к применению альтернативной методики и имеет ряд преимуществ.
Речь идёт о сниженной цене услуг и отсутствии риска развития аллергии на контраст. Из минусов стоит отметить невысокую информативность исследования в случае подозрения на развитие опухоли. Показатель точности МРТ при подобных условиях составляет 78%.
Диагностика с применением контраста
МРТ простаты с контрастом осуществляется для оценки параметров органа и выявления опухолевых процессов на начальной стадии развития.
В роли контрастного препарата выступают вещества на базе гадолиния. Этот состав представляет собой металл с серебристым оттенком, который отчётливо визуализируется при проведении магнитной томографии.
Вводят контраст инъекционным методом перед тем, как поместить пациента внутрь томографа.
В течение последующих 3 минут контрастное вещество в составе крови достигает железы — можно начинать сканирование.
Через 24 часа после окончания диагностики контраст покидает организм больного вместе с мочой.
В числе противопоказаний к проведению исследования с применением контрастного препарата:
- аллергическая реакция на компонент;
- печёночная недостаточность;
- недавний инфаркт;
- заболевания крови.
МРТ с динамическим контрастом
Процедура помогает исследовать скорость и характер прохождения контраста после его введения.
В новообразованиях злокачественного характера наблюдается быстрое поглощение препарата и такое же оперативное его «вымывание», в сравнении с неизменёнными структурами.
Диагностика с использованием жироподавления
Речь идёт об ДВИ или диффузно-взвешенном изображении. Этот тип МРТ помогает визуализировать «картинку» обменных процессов, имеющих место на молекулярном уровне.
Базой исследования становится определение диффузий молекул воды. В повреждённых областях этот процесс протекает иначе. Это даёт возможность дифференцировать диагноз.
В злокачественных опухолях клеточная плотность более высокая, следовательно, диффузия уменьшена. Изображение оценивается визуальным и количественным методом.
МРТ при онкологии
Поводом для назначения диагностики становится высокое ПСА в крови. Завышенное содержание антигена указывает на аденому, гнойный простатит, абсцесс, онкологию. Магнитная томография помогает поставить точный диагноз.
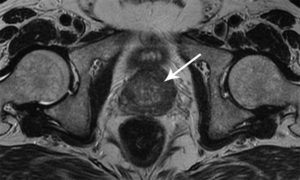
При раке простаты на МРТ-снимке визуализируются плотные скопления, которые отсутствуют при здоровом органе.
В ходе сканирования появляется возможность выявления формы онкологии. Например, слабый резонанс «говорит» о развитии опухоли, образованной клетками с муцином.
Для определения характера опухоли (злокачественной или доброкачественной) проводится биопсия.
Расшифровка результатов МРТ-диагностики
Расшифровкой полученных данных занимается диагност.
При анализе снимков специалист формирует заключение, на базе которого уролог ставит один из вероятных диагнозов, представленных в таблице ниже:
| Патологии отсутствуют | Размерные характеристики органа, её капсула, семенники, окружающая ткань, сосудистая система и нервы — в норме. Опухолевые процессы не визуализируются |
| Доброкачественная гипертензия | Разрастание органа (асимметрично или симметрично). Контуры железы равномерны |
| Простатит | Размеры железы увеличены, контур нечёткий (по причине ослабленной кровонаполненности) |
| Злокачественное новообразование (РПЖ) | Одиночное или множественное образование. Имеет точечную локализацию или «селится» за капсулой железы |
МРТ снимок простаты (рак)
Точный диагноз ставится с учётом результатов прочих обследований — УЗИ, ПСА и пр.
Стоимость МРТ-обследования
Цена МРТ-диагностики простаты высока, если сравнивать со стоимостью прочих процедур.
Такой ценник объясняется применением дорогостоящего оборудования и сложностью диагностики.
Средняя стоимость МРТ без контраста по стране составляет 5500 рублей. Контрастное обследование обойдётся на 1000 рублей дороже.
Если предстоит провести магнитную томографию с забором тканей, нужно заплатить около 9500 рублей.
В некоторых медицинских центрах возможно параллельное обследование органов малого таза. Такая процедура стоит около 12000 рублей.
МРТ предстательной железы с высокой степенью вероятности диагностирует онкологию, особенно, если предусмотрено сочетание магнитной томографии с биопсией.
Помимо подозрений на рак, в числе показаний к проведению сканирования оказываются симптомы аденомы, воспалительных процессов, простатита, а также предоперационный период.
Процедура предусматривает проведение подготовительных мероприятий. Диагностика продолжается от 30 до 70 минут.
В ходе исследований может использоваться контраст. В некоторых случаях оправдано проведение МРТ с динамическим контрастированием, жироподавлением, мультипараметрической томографией.
Расшифровкой полученных данных занимается диагност. Этот процесс занимает не более часа.
Заключение специалиста передаётся лечащему врачу для постановки диагноза. Стоимость магнитной томографии высокая и колеблется в пределах 5500-12000 рублей по стране в зависимости от типа диагностики.

Предстательная железа подвержена различным патологиям: острое и хроническое воспаление, абсцессы, разрастание тканей (гиперплазия), рак. Для диагностики применяют широкий спектр методов, самым точным и безопасным из которых является магнитно-резонансная томография.
МРТ простаты позволяет выявить мельчайшие патологические изменения тканей благодаря многообразию режимов аппарата. Только МРТ может показать отечность и инфильтрацию, что особенно важно при диагностике воспалений железы.
Выбирая клинику для проведения процедуры, важно учитывать, что информативность снимков зависит от типа томографа.
Общие сведения об МРТ простаты: какой аппарат лучше, как читать снимки
Большую часть тела человека составляют биологические жидкости, то есть, по сути, вода, которая в свою очередь состоит из частиц − протонов. Они реагируют на воздействие магнитного поля излучением радиоволн различных частот и интенсивности в зависимости от расположения. Компьютер трансформирует эти сигналы и компонует их в изображение.
МРТ позволяет рассмотреть различные структуры мягких тканей со всех ракурсов. Сканирование происходит в нескольких плоскостях (проекциях):
- Аксиальная (поперечная, Ax) – показывает поперечные срезы органа (параллельно пяткам).
- Сагиттальная (продольная, Cag) – делит орган на левую и правую часть, это срез сбоку.
- Коронарная (фронтальная, Cor) – проходит вдоль передне-задней оси, перпендикулярно саггитальной. Исследуемая область при этом делится на заднюю и переднюю части.
Для каждого органа наиболее информативна одна из вышеперечисленных проекций, а остальные уточняют изображение. Для простаты важны сагиттальная и аксиальная плоскости. При исследовании визуализируются следующие области:
- Анатомия простаты и ее капсула.
- Семенные пузырьки.
- Окружающие ткани.
- Основание члена.
- Прямая кишка.
- Тазовые кости.
- Регионарные лимфоузлы.
Основная характеристика аппарата для МРТ – напряженность магнитного поля, измеряемая в Тесла (Т). Снимки низко- и среднепольных томографов (менее 1 Т) клинически значимой информации о состоянии простаты не дадут. Для качественной диагностики данного органа подойдут аппараты с напряженностью не менее 3 Т.
О разновидностях магнитно-резонансных аппаратов рассказывает врач-рентгенолог Халиков Азиз Джауланович
Для характеристики оттенков тканей на снимках МРТ используют два основных понятия: гипоинтенсивный (темный) и гиперинтенсивный (белый, яркий). Буквами Т1 и Т2 обозначают время возвращения взволнованных магнитным полем протонов в свое равновесное состояние. Для различных тканей характерно свое время релаксации. Например, отеки хорошо визуализируются на Т2-изображениях. Типы режимов:
- Т1 ВИ (взвешенное изображение) – стандартный режим, при котором свободная жидкость выглядит темной, ткани окрашены в различные оттенки серого, а жир очень яркий, белый.
- Т2 ВИ – режим, в котором патологические процессы фиксируются лучше всего. Предпочтителен для исследования зональной структуры простаты (на срезе это центральная и периферическая части, капсула).
Оптимальную четкость изображений простаты обеспечит эндоректальный датчик. С его помощью можно зафиксировать малейшие патологические изменения в тканях железы.
Хорошо просматривается капсула, сосудистые пучки, кистозные образования в миллеровом и семявыбрасывающих протоках, простатической маточке.
Можно выявить очаги ракового поражения в передней периферической зоне простаты, что невозможно при ТРУЗИ.
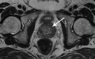
МР-анатомия простаты (с эндоректальным датчиком)МРТ простаты: аксимальная и саггитальная проекции: Ax Т2-ВИ и Sag Т2-ВИМРТ аксиальная проекция (во время проведения биопсии)
Минус МРТ-диагностики простаты в том, что аппарат не видит метастатическое поражение лимфоузлов, если они не увеличены. Также плохо визуализируются камни простаты и кальцинаты.
Режимы МРТ
Для более точной диагностики опухолей и воспалений железы используют контрастирование – предварительное введение в вену препарата с парамагнетическими веществами (соли или ионы гадолиния), который делает изображение сосудов и тканей более четким. Если есть злокачественная опухоль, то она быстро (интенсивность поглощения также важна) накопит препарат и будет явно видна на снимках. Препарат не токсичен, не содержит йода, аллергическую реакцию обычно не вызывает.
Для улучшения четкости (обычно при раке) используют так называемый режим подавления жира (специальные радиочастотные импульсы), при котором блокируются сигналы от жировой ткани.
Мультипараметрическое МРТ – сочетание сразу нескольких методов оптимизации. Можно оценить плотность тканей, их молекулярный состав, температуру, происхождение новообразований (позволяет избежать биопсии).
Показания
Показания к МРТ простаты:
- Увеличение уровня ПСА при отсутствии оснований по итогам ТРУЗИ (о том, каким должен быть уровень ПСА у мужчин).
- Подтверждение рака простаты, определение характера роста опухоли и границ распространения метастазов.
- Оценка динамики эффективности лечения.
- Нарушение репродуктивной функции (бесплодие).
- Навигация для проведения биопсии.
К противопоказаниям относится наличие нейростимулятора, ферромагнитных инородных тел, имплантатов среднего и внутреннего уха, инсулиновых насосов.
Большинство устанавливаемых в тело приспособлений совместимо с МРТ. Этот вопрос нужно согласовывать со специалистом. Эндоректальная МРТ противопоказана пациентам с повреждениями прямой кишки.
После биопсии такую процедуру можно проводить только спустя 2-3 недели.
Особенности подготовки к МРТ простаты:
- За двое суток прекратить употребление газообразующих продуктов: свежих овощей, фруктов, бобовых, молочных изделий, газированной воды, хлеба, маринадов, солений.
- В день процедуры очистить прямую кишку при помощи клизмы или глицериновой свечи. Усиленную перистальтику (сокращение кишечника, бурление) подавляют введением в вену глюкагона или бускопана (непосредственно перед процедурой).
- За 4-6 часов нельзя принимать пищу.
- Мочевой пузырь должен быть полным.
Особой подготовки к МРТ с контрастированием не требуется, актуальны вышеперечисленные меры.
Ход процедуры
Пациента укладывают на спину на специальный стол, который задвигают в аппарат. МРТ простаты выполняется с использованием двух магнитных катушек: наружной (тазовой) и ректальной. Ректальная катушка представляет собой датчик в баллоне, который после введения в прямую кишку наполняют воздухом.
Первым этапом аппарат тестирует местоположение катушек, затем начинает сканирование тела. При необходимости вводят контраст (в начале или в ходе процедуры), который начнет появляться в зоне обследования уже через 25 секунд. Задерживать дыхание не нужно.
Для оценки общей анатомии малого таза делают снимки Т2 в сагиттальной плоскости, затем для определения поражения лимфоузлов и выявления крови в простате выполняют снимки Т1 в аксиальной плоскости. Жироподавляющий режим используют вместе с контрастированием. Общая длительность процедуры составляет 25-30 минут.
Методика проведения магнитно-резонансной томографии (для увеличения нажмите на изображение)
Цены
Выбирать клинику для прохождения лучше по отзывам, причем не по тем, которые описывают персонал и обстановку. Акцентировать внимание следует на качестве снимков и грамотности заключений.
Примеры клиник и цен:
- ЦМРТ «Петроградский» (СПб): МРТ с контрастированием 9700 руб.
- Медцентр Елены Малышевой (Москва): без контрастирования 6000 руб.
- Круглосуточный центр «МРТ 24» на Ленинском, на Комсомольской (Москва): без контраста 6900 руб.
Существуют удобные сервисы онлайн-записи на процедуру, например, https://onedoc.ru/diagnostics/mrt/mrt-predstatelnoy-zhelezy/ или https://medcentr.online/diagnostics/service/21/sub/267/order/reviews.
Для жителей Москвы можно выбрать диагностический центр из представленных ниже:
Ответы на частые вопросы
- Что лучше МРТ или УЗИ, ТРУЗИ, КТ? По качеству диагностики заболеваний простаты МРТ с контрастом (динамическая магнитно-резонансная простатовезикулография) превосходит УЗИ, ТРУЗИ и КТ. Последний метод предпочтительнее в том случае, если нужно визуализировать твердые образования (камни).
- Может ли МРТ точно показать объем простаты? Во время МРТ можно точно рассчитать объем простаты и другие ее параметры. Для этого компьютер делает замеры и подставляет значения в формулу.
Что лучше и чем отличается исследование КТ от МРТ рассказывает врач-рентгенолог Наталья Игоревна Петровская
Отзывы мужчин
Евгений, 43 года: «Благодаря МРТ удалось избежать ненужной биопсии, которую настоятельно рекомендовал лечащий врач. Хорошо, что сам записался и не пожалел денег на обследование».
Константин, 39 лет: «Делал МРТ простаты с эндоректальным датчиком. Дискомфортно, но не критично, потерпеть можно. Зато результат выдали исчерпывающий. Главное – выбирать диагностический центр не с громким названием, а с хорошим оборудованием».
