Что такое временная пломба и для чего она ставится? Зубная боль при временной пломбе

— Для чего необходима временная пломба? — Диагностика — Необходимость убить нерв — Лечение периодонтита — При протезировании зубов — Из каких материалов изготовлена — На какой срок устанавливают? — Зубная боль при временной пломбе
Временная пломба
Лечение зубов — процесс длительный, требующий внимательности и профессионализма врача-стоматолога. Существует много тонкостей в лечении того или другого стоматологического заболевания. Очень часто специалист ставит временную пломбу. Но каждый второй пациент не знает, для чего она нужна, и каково ее воздействие на больной зуб.
Для чего необходима временная пломба?
Такая мера необходима в ряде случаев. Разберем самые распространенные.
• Диагностика
Когда пациент обращается за помощью с уже запущенным кариесом, специалисту трудно определить, насколько далеко зашел патологический процесс и затронуты ли нервные окончания. В таких случаях врач принимает решение установить временную пломбу.
Через несколько дней назначают повторный прием, во время которого принимается решение о дальнейшем лечении. Если за это время болевые ощущения полностью прошли — ставят постоянную пломбу.
При обратной ситуации, ставят диагноз пульпит и назначают соответствующее лечение.
Диагностика
• Необходимость убить нерв
При глубоких кариозных процессах происходит поражение пульпы. В этом случае не обойтись без удаления нерва. Перед этим необходимо его убить. Для этого в очищенную от кариозных тканей полость зуба помещают пасту с мышьяком, которая нейтрализует нервные окончания.
Пока длится данный процесс, пульповая камера должна быть герметична. Именно для этого и ставят временную пломбу. Сколько предстоит носить лекарство и временную пломбу решает лечащий стоматолог. Это может занять от двух дней до трех недель. Но в любом случае, на прием необходимо явиться строго в назначенный срок.
Ведь мышьяк по истечении срока начинает действовать отравляюще.
Удаление нерва
• Лечение периодонтита
Периодонтит — серьезное заболевание, при котором воспаление поражает и корень зуба и область вокруг него. Причиной может стать запущенный пульпит или некачественно выполненное пломбирование корневых каналов. Травма также иногда приводит к возникновению воспаления.
Лечение заключается в удалении пораженных воспалением участков. Проводится он в несколько этапов, при этом не обойтись без временных пломб, под которые помещаются лекарственные и антисептические препараты. Кроме функции герметизации они выполняют диагностическую роль.
• При протезировании зубов
Материалы
Состав их различен, но все они отвечают ряду требований:
- пластичность и удобство в использовании;
- способность выдерживать нагрузки от пережевывания пищи;
- безопасность для здоровья человека;
- хорошее сцепление со стенками зуба.
Всем этим требованиям отвечают следующие составы: Искусственный дентин и дентин паста. Наиболее распространены. По составу идентичны. Первый выпускается в форме порошка, и в отличие от пасты не содержит масел. В состав входят оксид цинка, сульфата цинка и белой глины. Необходимая консистенция достигается с помощью воды. Затвердевает быстро — от 1 до 3 минут.
Процесс отверждения пасты
Паста затвердевает в течение 2 часов под воздействием температуры тела и ротовой жидкости. Не используют в сочетании с ядовитыми веществами, например, мышьяком, т.ак как длительный процесс затвердевания допускает пропускание отравляющих веществ в полость рта.
Цементы. Отличаются высокой прочностью. Часто применяются при лечении жевательных зубов, которые наиболее подвержены нагрузке. Полимеры или полимеризующиеся под воздействием света пасты. Характеризуются удобством в применении и моментальным застыванием. Последнее позволяет использовать их в сочетании со многими лекарствами.
Временная пломба. На какой срок устанавливают?
Срок определяется индивидуально, в зависимости от поставленного диагноза и варьируется от двух дней до полугода.
Если поводом стало заложенное в зуб лекарство, временную пломбу устанавливают на срок до одного месяца и извлекают сразу после окончания действия медикамента. Если материал слишком мягкий или начал крошиться, пломбу приходится переустанавливать.
Пломбы с мышьяком не используются дольше семи дней, в противном случае, это может нанести вред.
При протезировании используются пломбы из специального состава и при необходимости служат несколько месяцев.
Зубная боль при временной пломбе
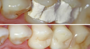
Зубная боль под пломбой
Случается, что после процедуры по установке временной пломбы, появляется острая или ноющая боль. Как правило, это норма, ведь лекарство еще не подействовало в полной мере, и больной зуб время от времени будет давать о себе знать. В такой ситуации помогают обезболивающие средства.
Иногда пломбирующий материал вызывает аллергию. Признаком служит периодически возникающая ноющая боль. В этом случае необходимо обратиться к врачу.
Как правило, стоматолог предупреждает об этих явлениях.
Так или иначе, но все временные пломбы должны быть удалены. И если это случилось без участия специалиста, необходимо немедленно обратиться в поликлинику. Врач, в зависимости от результата осмотра, примет решение — поставить новый временный материал, либо поставить постоянную пломбу. Но перед этим обязательно проведет санацию ротовой полости.
В любом случае, независимо от того, какая установлена пломба и по какой причине, необходимо строго придерживаться указаний стоматолога.
Ссылка на
- Лечебная прокладка при глубоком кариесе
- Лечение зубов под наркозом
- Лечение зубов прополисом
- Лечение зубов полосканием
- Расшатывание зубов — лечение
- Вывих зуба — лечение
- Флюс после лечения зуба
- Сильно болит зуб после лечения
- Болит укол после лечения зуба
- Лечение зубов под анестезией
- Делают ли наркоз при лечении зубов
«Имеются противопоказания. Необходима консультация врача.» Данный сайт носит информационный характер и не является публичной офертой, определяемой положениями Статьи 437 (2) ГК РФ.
Что делать, если выпала временная или постоянная пломба?

» Стоматологические процедуры
Одна из распространенных, но довольно неприятных ситуаций, когда выпала пломба из зуба. Сколько можно ходить без нее, и что делать при этом расскажем далее.
Подобная неприятность может произойти в результате использования некачественного материала или неправильных действий врача. А в некоторых случаях виноват сам пациент. В каждом из вариантов нужно отреагировать и что-либо предпринять. Самым же важным действием будет посещение стоматолога в ближайшее время.
Почему выпадают пломбы из зубов?
Не всегда нужно винить врача в том, что выпала пломба. Хотя на нем лежит большая ответственность. Причинами такого происшествия могут быть самые разные ситуации:
- Недостаточно просушенная полость зуба. Если во время пломбирования попадала слюна или другая жидкость, то материал не смог должным образом прикрепиться к поверхности.
- Некомпетентность врача могла проявиться в том, что он не полностью очистил кариозную полость, оставив частицу инфицированной ткани. В результате кариес продолжил разрушать зуб под пломбой.
- Если обработка зубной поверхности была проведена не полностью, могли остаться частицы эмали, которые повреждают пломбу, периодически откалываясь.
- При установке пломбы в смежной области между жевательной и боковой частью случается ее расшатывание. Это происходит из-за неравномерного и разнонаправленного давления на поверхность.
- Когда пломба была установлена на депульпированный зуб, то она также может быстро вылететь. Это происходит потому, что по каналам раньше поступали питательные вещества, укрепляющие зуб. А без нерва эмаль подвергается разрушению. В результате пломба не способна удержаться на хрупкой поверхности мертвого зуба.
- При неправильном диагнозе врач может ошибиться и провести только частичное лечение. После установки пломбы болит зуб, и пациент испытывает неприятные ощущения. Когда она вылетает, а под ней чернота, это говорит как раз о том, что лечение было проведено неполноценно, и стоматолог что-то упустил. Так, он мог вылечить кариес, но не заметить скрытого периодонтита.
- Использование материала, у которого уже истек срок годности или же его качество изначально было не на высоте. В этом случае пломба также не будет долго держаться.
- Некомпетентный врач может постоянно нарушать технологический процесс. И если после посещения такого стоматолога все пломбы вылетают, то лучше сменить врача.
- Слишком большая кариозная полость предполагает установку объемной пломбы. В некоторых случаях может даже наблюдаться разрушение боковой поверхности зуба. При этом давление на материал будет слишком сильным, а опора почти отсутствует. В результате – пломба выпадает. Возможно в таком случае имеет смысл выбрать другой способ коррекции зуба.
- При наличии хоть малейшего зазора между пломбировочным материалом и поверхностью зуба, туда будет постоянно попадать слюна и частички пищи. Рано или поздно такая пломба вылетит. Если же обнаружена внутри чернота, то это значит, что попавшие в щель части еды спровоцировали новое инфицирование зубной полости.
- Сильное воздействие на поверхность зуба с пломбой может повлечь за собой ее выпадение. Употребление липких конфет (ирисок), откусывание нити или раскусывание орехов часто приводит к тому, что выпадает пломба или даже сломался зуб.
- Недостаточная гигиена полости рта приводит к заболеваниям зубов. В случае установки пломбы несоблюдение простых правил чистки и полоскания также провоцирует распространение кариеса, который негативным образом воздействует и на химический материал. Вследствие чего пломба вылетает.
Сколько можно ходить без нее?
Отсутствие пломбы проявляется неприятными, а иногда болезненными ощущениями, а потому ходить без нее вы долго не сможете. Если же выпала временная пломба и каналы запломбированы, то зуб не болит. Но оставлять подобную полость во рту открытой надолго не рекомендуется.
Поэтому, если у вас выпала постоянная или же временная пломба следует тут же записаться на ближайший возможный прием к врачу. Если же встреча уже запланирована, то лучше сделать контрольный звонок стоматологу, чтобы уточнить у него рекомендации по поводу ваших экстренных действий.
Бывает так, что пломба вылетает на отдыхе, где стоматолог недоступен. Многие пациенты сразу пытаются найти способ, чем можно залепить ее или закладывают вату. Этого делать не рекомендуют, ведь тем самым вы спровоцируете инфицирование открывшейся полости.
Что делать до приема врача?
Какие действия предпринимать в случае потери пломбы во многом зависит от конкретной ситуации:
- При выпадении временной пломбы особо беспокоиться не стоит. Ведь ее и так рано или поздно должны были удалить, а на это место поставить постоянную. Вам остается только прополоскать полость рта содовым раствором и стараться все время до посещения врача не есть той стороной, где образовалась полость.
- В случае когда временная пломба закладывалась с мышьяком, необходимо срочно провести меры обезвреживания. То есть, тщательно вымыть зуб и вычистить его поверхность. Чаще всего мышьяк окрашивают в яркий цвет, чтобы он был заметным. После того как вы очистили полость зуба и рта от лекарства, дополнительно сделайте полоскания содовым раствором.
- Если же временная пломба вылетела почти сразу после посещения врача, то необходимо связаться с ним для срочной консультации, ведь ее закладывали с определенной целью. Что делать в таком случае скажет врач.
- При выпадении постоянной пломбы следует сразу же записаться на прием к стоматологу. Также старайтесь не есть той стороной, где образовалась дырка и тщательно полощите ее после каждого приема еды.
- Если вы ощущаете повышенную чувствительность в том месте, где была пломба, то может временно помочь раствор с использованием соды и соли. На стакан воды достаточно дать по чайной ложке каждого ингредиента и полоскать рот так часто, как возникает боль. Такой раствор снимает воспаление, устраняет болевые ощущения и частично дезинфицирует полость зуба.
Как будут лечить у стоматолога, если выпала пломба?
В зависимости от причины ее выпадения, а также от состояния открывшейся полости, будут проведены определенные лечебные процедуры:
- Если пломба вылетела из-за того, что кариозная область слишком большая, то второй раз ставить такую же не имеет смысла – она также не будет долго держаться. Врач, скорее всего, предложит поставить коронку.
- В случае обнаружения пульпита, периодонтита, повторного кариеса или других серьезных заболеваний, нужно будет обязательно провести качественное лечение. Только после всех процедур можно установить новую пломбу. Если же вовремя не вмешаться, то это приведет к полному удалению единицы.
- Когда пломба выпала из депульпированного зуба, то для лучшей фиксации стоматолог предложит установить надежный искусственный заменитель – штифт. Это металлический стержень, на который пломба закрепится на постоянной основе. Выпасть или расшататься у нее уже не будет возможности.
При явных ошибках стоматолога, когда вина за выпадение пломбы лежит на нем, следует уточнить цену повторной работы. Ведь профессиональные врачи дают гарантию и в подобных ситуациях производят замену совершенно бесплатно. Если же вам стоматолог поставил некачественную пломбу и желает повторной оплаты, то имеет смысл поменять клинику или врача.
Особенности временных пломб
Они отличаются более слабым материалом, легко крошатся и их можно снять даже самостоятельно дома в случае необходимости. Это делают только тогда, когда зуб болит очень сильно и причиной может быть реакция на заложенное лекарство или же слишком тесную пломбу.
Если она вылетела сразу после установки, то нужно вернуться к врачу и сделать повторное пломбирование. А в случае ее потери через несколько дней, не стоит беспокоиться, просто дождитесь назначенного приема у стоматолога. Важно при этом проследить, чтобы не осталось лекарство или мышьяк в полости зуба или рта, его нужно тщательно вымыть.
Выпала пломба из молочного зуба у ребенка
Если ситуация произошла на детских зубах, не стоит игнорировать проблему. Даже учитывая, что у ребенка они молочные, и скоро сами по себе сменятся, лучше все же обратиться к врачу. Ведь при запущенном кариесе могут возникнуть проблемы в будущем и с постоянными зубами. А потому данная ситуация требует незамедлительного обращения к детскому стоматологу.
Пока у ребенка открыта полость от пломбы, нужно следить, чтобы он чистил зубы два раза в день и после каждого приема пищи полоскал рот. Только после чистки можно быть уверенным, что открывшийся зуб не инфицируется заново.
Статья по теме: как научить ребенка чистить зубки?
Что делать в такой ситуации при беременности?
Во время беременности из-за гормонального фона, а также сильной нехватки кальция в организме женщины, могут резко выпадать пломбы. Не важно, на переднем зубе или дальнем случилось подобное, нужно обратиться к стоматологу.
Некоторые считают, что во время беременности лечить зубы опасно, но на самом деле намного хуже, если оставить их как есть. Больной зуб может негативным образом отразиться на протекании беременности и даже сказаться во время родов. Ведь в инфицированной полости развивается множество бактерий – стрептококки, стафилококки, различные грибки и даже кишечная палочка.
Сегодня стоматологическая практика обладает множеством способов и лекарств, которые можно использовать при лечении зуба в столь деликатном положении. Нужно только предупредить врача об этом.
Профилактические меры
Любую болезнь лучше предотвратить. И для того чтобы ваши зубы были целыми и здоровыми, а также для предотвращения выпадения установленных пломб, следует:
- Посещать стоматолога раз в полгода, даже если вас ничто не беспокоит. Врач вовремя сможет обнаружить проблему еще до того, как боль проявит себя. Ведь ее появление свидетельствует уже о запущенном процессе.
- Постоянная тщательная гигиена полости рта поможет предотвратить множество стоматологических проблем.
- Старайтесь избегать твердой пищи и вредных привычек, которые способны повредить здоровые зубы и установленные пломбы.
- При любых заболеваниях полости рта лучше вовремя начать их лечение, пока разрушительный процесс не закончился полным удалением зубов.
- В ежедневном рационе желательно увеличить потребление продуктов с повышенным содержанием кальция.
- Если же вы заметили, что ваш врач некомпетентен, лучше его поменять на более профессионального.
: как часто и почему надо обновлять пломбы?
Дополнительные вопросы
► Как доказать стоматологу, что выпала пломба по его вине?
Доказать ошибку стоматолога при лечении зубов можно двумя способами. Сначала поговорить с ним и указать на его некачественную работу. Если это не подействует, то придется повозиться: сделать экспертизу и после нее подавать в суд на клинику и взыскать за материальный и моральный вред.
► Временная пломба выпала, а мышьяк остался – что делать?
Мышьяк – ядовитое токсическое вещество, поэтому его срочно следует оттуда удалить. Обычно мышьяк окрашивают в синий цвет, чтобы его легко можно было заметить. Постарайтесь полностью очистить зубную полость от него, а затем ополоснуть рот содовым раствором для очищения слизистой. Не забудьте сообщить врачу об этом и как можно раньше его посетить.
► Пломба шатается, но не выпадает.
При нарушении целостности пломбы появляется высокий риск инфицирования зуба, поэтому следует незамедлительно посетить врача и восстановить ее. Затягивание ситуации может привести к ухудшению состояния, а в результате придется удалять весь зуб и заниматься его протезированием.
Загрузка …
Стоматологический справочник
Строение зуба
Выпала пломба из зуба: что делать, сколько можно ходить с дыркой?

Выпала пломба из зуба или откололся ее кусочек — самая распространенная стоматологическая проблема. Лучшее, что можно сделать — в краткие сроки обратиться к врачу, даже если поврежденный зуб не болит.
Вне зависимости от того, остался ли в зубе живой нерв или зуб мертвый, и все каналы запломбированы, игнорировать проблему нельзя.
В образовавшуюся дыру попадает слюна, частицы пищи, болезнетворные бактерии, в результате возникает воспаление пульпы или вторичный кариес.
Почему пломбы иногда выпадают?
Вылететь временная или постоянная пломба может по различным причинам. В том, что пломба выпала, не всегда виноват врач. Пломба может отколоться или полностью выпасть по следующим причинам:
- Некачественная обработка пораженной кариесом полости, в которую устанавливалась пломба. Иногда стоматолог оставляет под пломбой зубной камень, острые сколы эмали или кариес, который продолжает разрушать зуб изнутри, развиваясь незаметно и без боли.
- Расшатывание и смещение пломбы под воздействием неравномерного распределения давления на жевательную поверхность зуба или механическое вмешательство. Происходит в случаях, когда выпала пломба, установленная между жевательной и боковой частью зуба.
- Неправильное диагностирование болезни и, соответственно, частичное проведение лечения также могут стать причиной выпадения пломбы. Развивающийся скрытый периодонтит и другие воспалительные процессы постепенно приводят к выраженному болевому синдрому и вылету пломбы.
- Использование некачественного и просроченного материала для пломбирования.
- Нарушение технологии лечения зуба.
- Образование зазора между зубом и пломбой из-за невысушенной полости зуба перед пломбированием.
- Систематическое нарушение гигиены или неосторожное обращение с пломбой — употребление в пищу ирисок, раскусывание ореховой скорлупы и откусывание нити, точечное давление на пломбу.
- Депульпация зуба — пломба не может удержаться на непрочной поверхности зуба без нерва, так как стенки эмали становятся хрупкими (не снабжаются питательными веществами).
Все перечисленные факторы могут привести к откалыванию кусочка пломбы или к ее полному выпадению. Зубы с пломбами требуют от пациента внимательного ухода и различных профилактических мер (см. также: что делать, если зуб болит после того, как поставили пломбу?).
Сколько времени можно ходить без пломбы?
Откол или выпадение из полости зуба пломбы, даже если она временная, характеризуется достаточно неприятными и болезненными ощущениями. Категорически не рекомендуется игнорировать возникшую проблему. Если нет возможности обратиться к стоматологу сразу, нужно определиться с профилактическими мерами, которые уменьшат риск возникновения осложнений в будущем.
На сколько можно отложить визит к стоматологу каждый решает самостоятельно, в зависимости от индивидуальной ситуации — выпала вся пломба или отвалился кусочек зуба без внутреннего повреждения эмали.
Чаще всего этот срок не превышает неделю и в основном связан с периодом отпуска или командировками по работе.
Но только специалист сможет ответить на вопрос «Сколько именно разрешается ходить без пломбы и что можно делать в домашних условиях с профилактической целью?»
Если выпала постоянная пломба, визит к врачу нельзя затягивать, так как зуб продолжает разрушаться. В таком случае нужно обязательно полоскать рот после каждого приема пищи и не нагружать зубной ряд на проблемной стороне. Пациент должен понимать: чем дольше откладывается визит к врачу, тем больше вероятность возникновения негативных последствий.
Что делать до визита к стоматологу?
Временные действия, которые можно предпринять в связи с потерей пломбы, зависят от конкретной ситуации.
Если выпала постоянная пломба, которую недавно поставили, необходимо как можно скорее обратиться к врачу. Основная причина — нарушение технологии установки.
Для устранения болезненных ощущений в зубе и частичной дезинфекции после выпадения пломбы нужно полоскать рот раствором с солью и содой (по чайной ложке на стакан воды). Обязательно необходимо соблюдать все условия проведения гигиенических процедур ротовой полости.
Для снятия воспаления открытой дырки зуба можно использовать настои лекарственных трав — шалфей или ромашку.
Ни в коем случае нельзя закрывать дырку в зубе ватой — это способствует сохранению и размножению бактерий. В качестве обезболивающих можно использовать Ибупрофен и Парацетамол. Если боль достаточно сильная и острая — Нимесил (не более одного пакетика в сутки).
ЧИТАЕМ ТАКЖЕ: что делать, если в зубе образовалась дырка и чем это опасно?
Что будет делать врач?
В зависимости от конкретного случая, врач предпримет комплекс мер, направленных на восстановление зуба. Чем раньше пациент обратится за медицинской помощью, тем меньше вероятность возникновения дополнительных осложнений. Возможный перечень лечебных процедур:
- Очищение и выравнивание стенок полости, при необходимости — устранение кариозных образования и зубного камня.
- Если выпала временная пломба содержала мышьяк, возможно будет установлена повторная временная пломба с новой порцией мышьяка.
- Если нет необходимости в проведении депульпации, после выравнивания полости стоматолог ставит новую пломбу.
- Если после выпадения прошло длительное время, врач может назначить рентген.
- Полное удаление зуба и замена имплантом, так как после потери пломбы зубная эмаль может начать осыпаться.
Выпадение временной пломбы
Выпадение временной пломбы перед назначенным визитом к врачу, практически не представляет никакой опасности. Тем не менее следует избегать попадания в открытое отверстие частичек пищи, желательно провести полоскание раствором соды и связаться с лечащим стоматологом по телефону.
Если под пломбой находился мышьяк для умерщвления нерва и дальнейшего пломбирования каналов и дырки, необходимо аккуратно удалить мышьяк из зуба и хорошо прополоскать ротовую полость.
Чаще всего мышьяк окрашен в яркий цвет, его удаление будет не сложным (см. также: как выглядит мышьяк, поставленный в зуб?).
После проведенной процедуры обязательно нужно прополоскать рот повторно содовым раствором.
Если временная пломба выпала сразу после установки, нужно незамедлительно обратиться к стоматологу. Врач изменит состав и устранит свежие повреждения вокруг раны для исключения вероятности попадания инфекции.
Выпадение пломбы у ребенка из молочного зуба
Что делать, если пломба выпала из молочного зуба у ребенка? В первую очередь, не стоит относиться к этому легкомысленно! Многие родители придерживаются мнения, что молочные зубы не нужно лечить. Это достаточно частое заблуждение, которое в итоге приводит к инфицированию будущего постоянного зуба и десны.
Если вылетела постоянная пломба, до посещения стоматолога родителям нужно будет обязательно контролировать соблюдение ребенком гигиены полости рта. Кроме этого, следует полоскать рот содовым раствором каждый раз после приема пищи и не жевать на стороне больного зуба. Для облечения боли можно дать ребенку безопасные лекарства — Ибупрофен и Парацетамол.
Если пломба вылетела у беременной
Беременность не преграда для лечения больного зуба. Более того, наоборот необходимо сделать все возможные лечебные процедуры по рекомендациям врача — из-за развития инфекции пораженный зуб может негативно отразиться на беременности. Современные методы обезболивания позволяют справиться с проблемой выпавшей пломбы и абсолютно не опасные для ребенка.
ЧИТАЕМ ТАКЖЕ: что делать, если во время беременности выпал зуб?
Изменение гормонального фона, обмена веществ, возможный недостаток кальция и витаминов — основные причины выпадения пломб во время беременности.
Иногда создается впечатление, что она вывалилась без видимой причины.
Почему? Это происходит из-за того, что в период беременности в организме будущей мамы есть недостаток кальция, соответственно зубы становятся очень хрупкими, прочные до этого пломбы расшатываются и выпадают.
Меры профилактики
Регулярный стоматологический осмотр зубов, соблюдение гигиены полости рта, ответственный подход к выбору рациона, отказ от курения позволит вам исключить или минимизировать установку пломб. К тому же, нужно помнить, что общее состояние организма, обмен веществ и заболевания ЖКТ тоже влияют на состояние зубов.
Если избежать процедуры пломбирования не удалось, необходимо осторожно ухаживать за запломбированными зубами и беречь их. Современные пломбы по твердости максимально приближены к эмали, но при этом остаются инородными, поэтому всегда существует риск скола или полного выпадения пломбировочного материала.
Своевременное и регулярное посещение стоматолога — самый эффективная профилактическая мера для сохранения здоровых зубов и исключения дополнительных проблем с запломбированными зубами.
Что делать, если выпала временная пломба: советы дантистов

Временные пломбы ставятся перед постоянными, чтобы удалить нерв, устранить инфекцию и в других целях. Иногда эти материалы выпадают из отверстия в зубе, у пациентов начинаются проблемы.
Квалифицированный дантист помогает с ними справиться. Ниже предоставляются советы о том, что делать, если выпала временная пломба.
Если нет возможности нанести визит стоматологу, придется воспользоваться пломбировочными пастами.
Что представляет собой временная пломба?
Когда возникают сомнения в устойчивости, лучше установить временную пломбу повторно. Иногда специалисты отговаривают пациентов от подобных мер, поскольку в состав временной пломбы входят сильнодействующие компоненты. Если после установки в течение нескольких дней под временной пломбой болит зуб, об этом нужно сказать своему стоматологу.
Есть вероятность возникновения трудностей и продления курса лечения. Если такая пломба выпала раньше установленного времени, нужно немедленно посетить своего врача, иначе обязательно возникнут неприятные последствия.
Термин “временная пломба” относится к условным обозначениям. Под этим названием подразумевается установление на зуб специального состава, который нейтрализует нерв. Чтобы смесь оказала положительное влияние, придется подождать.
Временная пломба предотвращает попадание в зуб остатков пищи, бактерий защищает от внешних повреждений. Перед походом в клинику после выпадения временной пломбы нужно свести к минимуму нагрузку на больной зуб. Придется пережевывать пищу другой стороной и после каждого употребления еды полоскать рот.
Почему выпадают временные пломбы?
Временные пломбы не всегда выпадают по вине дантиста. Рассмотрим основные причины.
Полость зуба после предварительной обработки недостаточно просушена. Пломбировочный материал не может надежно прикрепиться к поверхности, если во время лечения туда попадала слюна или другая жидкость. Врач оставил частицу инфицированной ткани при очищении кариозной полости. Из-за допущенной халатности зуб станет разрушаться и приведет к выпадению пломбы.
Поверхность обработали не полностью, оставшиеся частицы эмали разрушают пломбировочный материал.
Временная пломба поставлена на депульпированный зуб, что способствует ее скорейшему выпадению. После удаления нерва прекращается поступление питательных веществ, необходимых для укрепления эмали. Поэтому пломба хуже удерживается на хрупкой поверхности мертвого зуба.
Врач провел только частичное или неполноценное лечение. Это происходит часто после ошибок в диагностике, когда дантист мог не заметить скрытый периодонтит и лечил только от кариеса. В результате зуб под пломбой начинает болеть и ее приходится удалять. Подобные ошибки выявляются, когда зубная ткань чернеет в месте соприкосновения с пломбой.
Расшатывание смежной области между жевательной и боковой частью ротовой полости.
При установке пломбы это происходит из-за разнонаправленного и неравномерного давления на поверхность. Низкокачественные материалы применяются при пломбировании.
Важно проверять их срок годности и использовать при лечении высококачественные материалы. В противном случае пломба долго не продержится.
Несоблюдение дантистом технологического процесса. Если у вас после лечения зуба часто стали вылетать пломбы, придется подыскать нового специалиста. Установка объемной пломбы в слишком большие полости с кариозными образованиями.
Иногда при обработке врачом обширной зараженной кариесом поверхности происходит разрушение боковой стороны зуба. При установке пломбы давление на ткани усиливается, а должная опора отсутствует.
В такой ситуации требуется иной способ восстановления зуба.
Зазор между пломбой и поверхностью зуба, куда будет попадать слюна и остатки от принимаемой пищи. Со временем такая пломба выпадет, появится инфекция. Усиленное воздействие на зуб. У вас может выпасть пломба во время употребления различных липких сладостей, твердой пищи, при раскусывании орехов и в других ситуациях.
Несоблюдение рекомендаций гигиены полости рта. После установки пломбы необходимо следовать советам дантиста по чистке зубов и полосканию, чтобы не допустить распространение кариеса.
Что делать в подобной ситуации?
Поставленная дантистом временная пломба может выпадать у каждого. Нельзя пробовать запихнуть кусок пломбы обратно в зуб, нужно сохранять спокойствие и нанести визит специалисту.
Если пломба была временной и вылетела сразу, придется проводить повторную установку. Если прошло много времени и лекарство сработало, можно приступить к окончательному лечению зуба и поставить постоянную пломбу без замены на временную.
Разберемся что делать, когда нет возможности обратиться к врачу:
- В первую очередь необходимо закрыть отверстие в зубе.
- В аптеке купить дентин-пасту или ее аналоги. Во избежание различных осложнений постарайтесь максимально очистить дырку в зубе и заполнить ее купленной пастой. По своей структуре она схожа с пластилином, поэтому трудностей с ее закреплением не будет.
- Подобные пломбировочные средства будут эффективны недолго. Поэтому в кратчайшие сроки нужно отправиться к дантисту. При самостоятельном очищении зуба нельзя устранить все бактерии, существует вероятность быстрого развития кариеса. Если не лечить зуб долго, придется его вырвать.
Если нет возможности приобрести такую пасту, нужно соблюдать правила гигиены ротовой полости. Зубы нужно чистить каждый раз после еды, ополаскивать ротовую полость водой или специальным средством.
Временная пломба с мышьяком
Одним из составляющих компонентов пломбирующей смеси является мышьяк. Данный способ нейтрализации зубного нерва, применяется в том случае, когда другие методики невозможны. Ядовитое вещество оказывает пагубное влияние на нервную ткань и пульпу, способствует ее разрушению. Такая процедура безболезненна, в состав пасты входят обезболивающие, нейтрализующие боль.
Важным правилом установления пломбы с мышьяком, является соблюдение сроков ее ношения. С момента установки не должно пройти более 3-х суток. Если продержать временную пломбу дольше, мышьяк может навредить зубу и близлежащим тканям. Если временная пломба выпала раньше срока, нужно обратится к стоматологу и изъять ее остатки, если такие имеются.
Для полоскания рта можно использовать содовый раствор. Для приготовления взять стакан кипяченой воды, добавить одну чайную ложку соды и несколько капель йода. После полоскания взять стерильный тампон и закрыть им больной зуб, на котором стояла временная пломба. Затем можно отправляться к дантисту.
Если есть вероятность того, что фрагмент пломбы с мышьяком проглочен, после полоскания раствором, необходимо выпить стакан молока, нейтрализовать яд.
Временная пломба при запломбированных каналах
Иногда выпадает временная пломба, но каналы уже закрыты. Не нужно впадать в панику, а просто не теряя времени посетить дантиста. Специалист проведет осмотр, закончит лечение, а вместо времянки поставит постоянную пломбу.
Вскрывать обработанные каналы после выпавшей временной пломбы не нужно, бактерии не смогут проникнуть в канал и навредить зубу. Когда выпадает временная пломба и каналы открыты, стоматолог проводит их промывание и чистку.
Выпавшая пломба не создает серьезных проблем, врач поможет повторно устанавливать и осуществлять дополнительное лечение.
Чтобы защититься от несвоевременного выпадения пломбы, рекомендуется следующее:
- При чистке зубов использовать только щетку с мягким ворсом. Область на которой расположена времянка, чистить с максимальной осторожностью.
- Стараться свести к минимуму нагрузки на больной зуб, пережевывая пищу на другой стороне рта.
- Не допускать температурных перепадов, не пить после холодного горячий чай. Лучше избегать резких изменений температурного воздействия.
- Нельзя трогать временную пломбу посторонними предметами или языком.
Установка таких материалов является одним из этапов в лечении больного зуба. В случае учащенного выпадения временных и постоянных пломб лучше внимательно присмотреться к лечащему врачу и клинике, рекомендуется обратиться за помощью в другое отделение, изучив перед этим отзывы о ней.
Какие могут быть проблемы
В краевой области зубной эмали часто возникает кариес. Уязвимость объясняется такими причинами:
- Между зубной тканью и пломбой образуется небольшая щель, куда попадает инфекций.
- Когда проводится препарирование, фрагмент эмали разрушается, появляются микроскопические трещины, эмаль может откалываться.
Технологию пломбирования нужно соблюдать правильно. В блюдцеобразных полостях материалы не будут так хорошо удерживаться. Дантисту нужно следить за тем, чтобы полость оставалась чистой перед пломбированием, чтобы туда не попадала инфекция.
Решить проблему с выпадением временной пломбы поможет дантист, у которого проводилась установка. Если у пациента возникают сомнения относительно уровня его квалификации, придется искать нового врача. Стоматологическая клиника должна быть лицензированная. Только в таких учреждениях можно получить гарантию на свои новые зубы.
Что делать, если выпала пломба

Причины, почему выпадают пломбы из зубов, есть самые разные. Чаще всего в этом вина самого пациента.
Существенная нагрузка на зуб, продукты, разрушающие материал и эмаль, пренебрежение гигиеной полости рта приводит к вылетанию пломб. Также имеет влияние качество материала и профессионализм доктора.
В некоторых ситуациях также неправильно проведенные манипуляции приводят к таким негативным последствиям.
Если после лечения и пломбировки кусочки пломбы выпадают, нужно незамедлительно обратиться к стоматологу. Иначе пломба может выпасть полностью. Ее отсутствие — момент неприятный, но не критичный. Некоторое время можно обойтись и без пломбировки, но это может привести к разрушению зуба полностью, после чего его придется удалить.
Важно! Затягивать с посещением врача не стоит. Независимо от того, какая была причина выпадения пломбы, нужно провести лечение.
При каких случаях чаще всего разрушаются пломбы:
- полость зуба была недостаточно просушена;
- в зубе остались частицы кариозной ткани;
- неправильно проведена обработка зуба;
- использование некачественных материалов;
- кариозная поверхность слишком большая и у установленной пломбы отсутствует опора;
- большая нагрузка на запломбированный зуб.
Все эти факторы приводят к выпадению пломбы или сразу после лечения, или через некоторое время.
Признаки скорого выпадения пломбы
Как понять, что выпала пломба? Это достаточно просто — на месте ее установки отсутствует материал, при помощи которого была выполнена пломбировка, и есть дырка. Поэтому такое явление лучше не допускать и обратиться к специалисту заблаговременно, еще до полного выпадения.
Определить, что пломба не держится в зубе и скоро выпадет, тоже достаточно просто.
Между поверхностью зуба и пломбировочным материалом появляются зазоры, которые вначале практически незаметны, но со временем становятся все больше. Сам же материал расшатывается.
Это ощущается при нажатии на пломбу языком. Если наблюдаются такие явления — нужно сразу обращаться к врачу, чтобы потом не досадовать, что вылетела пломба.
Необходимые действия при выпадении пломбы
Важно знать, что делать, если выпала пломба. Желательно сразу записаться к стоматологу, но в некоторых случаях срочно посетить врача нет возможности. Когда пломба вылетела из зуба, можно недолго обойтись без нее, но только определенное время.
Если с лечением затянуть, зуб может инфицироваться, что приведет к острой боли и постепенному разрушению. Важно своевременное посещение специалиста независимо от того, постоянная пломба или временная.
Но лучше не допускать такой ситуации и посетить дантиста еще на этапе расшатывания. Любая щель или хоть минимальный зазор между зубом и пломбой является местом проникновения бактерий.
И если вовремя не обратить внимания на такую проблему, потом не стоит удивляться, что между зубами вылетела пломба.
Чаще всего подобные неприятности возникают с коренными зубами. Они испытывают большую нагрузку и пломбировочный материал может разрушаться, если часто употреблять твердую пищу. На переднем зубе пломбы выпадают гораздо реже.
Боли после выпадения пломбы и другие неприятные последствия
Простые рекомендации пациентам, что делать, когда выпала пломба и болит зуб:
- Нужно сделать полоскание раствором соды и соли.
- Можно принять обезболивающее, это может быть Кетанов или Анальгин.
- При воспалительном процессе может подняться температура. Сбивать ее нужно после превышения значения 38. 5° С. Для этого используются жаропонижающие средства.
- Если идет кровь из зуба, нужно срочно обратиться к врачу. Причин этому явлению может быть множество и точно определить возможную проблему получится только после соответствующего обследования.
Можно найти множество советов, как обезболить зуб в домашних условиях, но наиболее эффективным вариантом будет полоскание и прием соответствующих препаратов.
Когда выпала пломба с мышьяком, нужно аккуратно удалить остатки лекарства ватной палочкой и прополоскать полость зуба содовым раствором.
Можно ли самостоятельно закрыть дырку в зубе
Зачастую возникает вопрос, чем можно залепить временно открывшуюся полость, если выпала пломба.
Люди для этих целей используют самые разнообразные материалы — от ваты до жвачки, в общем — все то, чем можно залепить дома дырку. Делать этого ни в коем случае нельзя.
Прежде чем заклеить зуб, стоит подумать о последствиях. Полость не будет закрыта герметично, а значит, в нее попадут остатки пищи и бактерии.
Перед тем, как подумать — чем заткнуть зуб можно дома, стоит учитывать, что любой материал создаст исключительно благоприятные условия для размножения микробов и возникновению инфицирования или воспаления. Поэтому вопроса — чем закрыть зуб, возникать не должно. Во избежание скопления в полости остатков еды, ее нужно регулярно полоскать не менее 6-7 раз в день.
Какое время можно обойтись без посещения врача
Также часто возникает вопрос — выпала пломба и сколько можно ходить без нее. Лучше посетить стоматолога как можно быстрее, до возникновения болей в зубе и воспалительного процесса.
Если выпала пломба, нужно позвонить стоматологу, обрисовать возникшую ситуацию и получить компетентный совет.
Только врач, в зависимости от обстоятельств, может определить, сколько можно проходить с выпавшей пломбой без последствий.
Процесс лечения
Людей, столкнувшихся с такой проблемой, интересует, как будут лечить зуб, когда выпала пломба. Все зависит от индивидуальных особенностей, поэтому стоит рассмотреть самые распространенные ситуации.
При слишком большой кариозной полости пломбировать ее повторно не имеет смысла. Материал не будет держаться и снова выпадет через короткое время. Поэтому врач предложит альтернативные виды устранения дефекта, скорее всего — установку коронки.
Если возник повторный кариес, развился пульпит или другие заболевания, их вначале нужно вылечить. Врач назначает и проводит все необходимые мероприятия и после полного выздоровления ставит новую пломбу. В случае выпадения пломбировочного материала из депульпированного зуба, повторное пломбирование часто тоже неэффективно. В таком случае специалист порекомендует ставить штифт.
Методы восстановления целостности зуба зависят от его состояния, поэтому предположить схему лечения без предварительного обследования сложно.
Выпадение пломб у детей
Когда выпала пломба у ребенка, не стоит оставлять проблему без внимания, даже если зубы молочные. Кариес и другие заболевания могут спровоцировать возникновение сильных болевых ощущений и развитие воспалительного процесса.
Что делать в случае, если выпала временная пломба из молочного зуба:
- Позвонить врачу, проконсультироваться и записаться на прием в ближайшее время.
- Следить, чтобы ребенок тщательно соблюдал гигиену полости рта.
- Проводить регулярные полоскания зуба для удаления остатков пищи.
Важно! Пломбы на молочные зубы выпадают по различным причинам и определить, чем вызвано такое явление, может только специалист. Так что без посещения стоматолога не обойтись в любом случае.
Выпадение пломбы при беременности
Когда выпадает временная пломба при беременности — это повод срочно обратиться к стоматологу. Многие женщины переживают, что лечение может негативно сказаться на течении беременности.
Женщины, вынашивающие ребенка, безусловно, входят в группу риска, но и врачи прекрасно знают о допустимых рамках воздействия.
При необходимости, врач подберет оптимальный способ вмешательства, чтобы не нанести вред организму.
Лечить зубы нужно в любом случае. Кариозные поражения являются идеальной средой для развития болезнетворных организмов, которые могут причинить беременной гораздо больше вреда, чем процесс восстановления больного зуба.
Если выпала пломба в конце беременности — на 3 триместре, врач может отложить лечение, если для восстановления зуба необходимо серьезное вмешательство. В большей части случаев специалист обойдется минимальным временным лечением, а сложные мероприятия, осуществляемые под обезболиванием, произведет уже после родов.
Разрушение пломбы
Откололась пломба? Это свидетельство ее постепенного разрушения. Возникнуть такое явление может по разным причинам. Основные из них:
- Слишком большое усердие при проведении гигиенических процедур. Частое применение жесткой щетки может стать причиной повреждения пломбировочного материала или эмали.
- Большие нагрузки на зуб. Возникают при употреблении твердой пищи, семечек, орехов и тому подобного.
- Некачественный пломбировочный материал.
- Несоблюдение специалистом технологического процесса.
Что делать, если откололся кусочек пломбы и болит зуб? Это говорит о том, что материал неплотно прилегает к поверхности и между пломбой и зубом возник зазор. Боль же является следствием возникновения воспалительного процесса. Если патологию не устранить, она будет развиваться и станет причиной появления различных заболеваний.
Если пломба разрушается на мертвом зубе, в любом случае придется ставить коронку. При возникновении проблемы на переднем зубе, который еще живой, врач предложит его депульпировать, а затем тоже установить коронку.
Разрушение зуба
Когда выпала пломба и откололся зуб, нужно принять срочные меры по его реставрации, иначе процесс будет продолжаться. Способы восстановления зависят от причин выпадения пломбировочного материала, а также состояния зуба. Оптимальные способы лечения врач подбирает после тщательного обследования и проведения диагностических мероприятий.
Нет существенной разницы, зуб откололся под пломбой снизу, или откололся от пломбы в боковой части. В любом случае причиной этого является разрушение эмали, что требует немедленного вмешательства, иначе зуб можно полностью потерять.
