Исследование беременности на раннем сроке

Увидев на тесте желанные — или внезапные — «две полоски», многие из нас впадают в панику. Жизнь мгновенно разделяется на «до» и «после».
Кто-то лихорадочно вспоминает три бокала шампанского, кто-то в фертильном цикле принимал антибиотики, кто-то не понимает, как это могло произойти, ведь «мы же были так аккуратны».
Семнадцать позитивных тестов на беременность — вовсе не экзотическое исключение, а вполне обычная реакция женщины на открывшееся обстоятельство.
Самый первый анализ
Достоверно подтвердить или исключить беременность позволяет определение уровня гормона β-ХГЧ — хорионического гонадотропина. Уже через 6–10 дней после оплодотворения яйцеклетки β-ХГЧ может быть обнаружен в сыворотке крови или моче женщины.
Я отношусь к принципиальным противникам сверхраннего изучения β-ХГЧ. Как не каждое посаженное в землю зернышко дает росток, так и не каждая зигота (оплодотворенная яйцеклетка) становится эмбрионом и плодом. Разумно начинать делать такие тесты при небольшой задержке менструации, во всяком случае, после 28–30-го дня цикла.
Определение уровня общего β-ХГЧ в сыворотке крови существенно более информативно, чем мочевые тесты, но однократное исследование не принесет никакой информации. При хорошо и правильно прогрессирующей беременности ранних сроков уровень β-ХГЧ примерно удваивается каждые 48 часов. Такая динамика роста — хороший прогностический фактор. При этом:
- недостаточный прирост показателя — возможна внематочная или неразвивающаяся беременность;
- удвоение ХГЧ происходит очень высокими темпами — возможна многоплодная беременность или пузырный занос;
- снижение уровня ХГЧ — регрессирующая беременность;
- уровень ХГЧ не повышается и не снижается — неразвивающаяся беременность.
Когда уровень β-ХГЧ достигает 1200 мЕд/мл, темпы роста замедляются — на удвоение требуется примерно 72–96 часов. А после 9–11 недель концентрация β-ХГЧ естественным образом начинает снижаться.
Важно! Проводите исследование в одной и той же лаборатории, чтобы лечащему врачу не пришлось сравнивать несравнимое.
Когда нужно УЗИ?
Необходимость проведения УЗ-диагностики на сверхранних сроках беременности остается одним из дискуссионных вопросов современного акушерства. С одной стороны, визуализация плодного яйца в полости матки позволяет исключить возможность внематочной беременности (за исключением тех редких случаев, когда пациентке «повезло» иметь одно плодное яйцо в матке, а другое — в маточной трубе).
С другой стороны, ультразвуковое исследование в раннем эмбриональном периоде нельзя считать полностью безопасным. Эмбрион пока слишком мал, а скорость деления его клеток и вероятность «поломки» очень высока.
Хорошо известно, что ультразвук способен вызывать тепловые и нетепловые (механические) биоэффекты, поэтому для минимизации риска рекомендовано проводить исследование для 1-го триместра только в защищенном режиме — не выходя за рамки диапазона 3–4 мГц, продолжительность исследования должна быть минимально возможной, использование энергетического доплера нежелательно.
Именно поэтому, принимая решение о проведении УЗ-диагностики на ранних сроках, врач обязательно оценивает соотношение предполагаемого риска и ожидаемой пользы.
УЗИ делают обязательно даже на очень ранних сроках, если:
- появились кровянистые выделения или боли внизу живота;
- существуют серьезные сопутствующие заболевания (сахарный диабет, ревматические болезни, сердечно-сосудистые патологии и т. д.);
- в фертильном цикле или на ранних сроках беременности пациентка подверглась воздействию тератогенных факторов (ОРВИ или другие инфекции, прием лекарственных средств, облучение);
- беременность наступила на фоне внутриматочной контрацепции;
- есть подозрения на многоплодную беременность;
- беременность наступила благодаря вспомогательным репродуктивным технологиям (ЭКО);
- есть подозрения на пузырный занос;
- высокий риск развития аномалий плода, ранее рождались дети с пороками развития или хромосомными аномалиями;
- беременность у пациенток с миомой матки или образованиями в яичниках;
- есть подозрения на неразвивающуюся или внематочную беременность.
Внематочная беременность вполне может стать угрожающим жизни состоянием, особенно если прерывается по типу разрыва маточной трубы. Причем единственным симптомом начавшегося внутрибрюшного кровотечения может быть внезапная резкая слабость с потерей сознания. Насколько быстро придут на помощь прохожие? Когда приедет скорая? Как скоро будет поставлен диагноз и оказана помощь?
Можно ли делать трансвагинальное УЗИ беременным или нет: когда можно, до какой недели, как часто и отличаются ли результаты

Первое УЗИ относится к списку обязательных исследований, при котором, чаще всего, врачи используют трансвагинальный датчик. Многие женщины не уверены в безопасность исследования, но так ли это?
Реальности и мифы о трансвагинальном УЗИ
Прежде чем отправиться на процедуру трансвагинального исследования, стоит изучить особенности ее проведения, необходимость и возможные опасности.
Чем отличается трансвагинальное УЗИ от обычного?
Отличается процессом проведения процедуры, подразумевающим введение ультразвукового датчика во влагалище.
Точность исследования позволяет определить беременность еще на 5-6 неделе. При трансабдоминальном способе датчик водится по поверхности живота. Вот только точных данных при таком исследовании никто гарантировать не может. К нему необходима предварительная подготовка, с учетом наполнения мочевого пузыря.
Можно ли делать трансвагинальное исследование при беременности?Трансвагинальное исследование осуществляется на любом этапе беременности. Но более эффективным все же считается 1 триместр.
Для этого проведения никакой подготовки не требуется. Многие женщины опасаются такого способа исследования, но оно продуктивно и необходимо в случае серьезных отклонений.
Позволяет обследовать не только процесс развития плода, но и состояние яичников, маточных труб и шейки матки.
1 триместр
Исследование может быть назначено при наличии у пациентки нерегулярных месячных, что позволяет установить беременность на ранних сроках. До 12 недель беременности назначается именно этот метод анализа. Врачи уверяют, что никаких осложнений после процедуры для женщины и плода не прослеживается. Исследование назначается также в следующих случаях:
- Наличие кровянистых выделений, болей внизу живота, что может быть предвестником выкидыша.
- Подозрение на внематочную беременность.
- Для определения замершей беременности (на УЗИ определяют двигательную активность, наличие сердцебиения).
- Осложнения, связанных с отслойкой хориона.
- Для оценки около маточного пространства.
- Проявление аномалии развития половых органов или опухолей, миомы матки.
Своевременное определение проблемы позволяет решить все на ранних сроках и избежать тяжелых осложнений в будущем. На трансвагинальном исследовании возможно определить многоплодную беременность, гинеколог же при осмотре может не заметить этого сразу. Врачи стараются не злоупотреблять УЗИ и даже для установления факта беременности предпочитают анализ на ХГЧ.
2 триместр
Для определения возможных пороков развития второе УЗИ запланировано на 23-25 неделе. Женщины предпочитают трансабдоминальный способ, который по их ощущениям безопаснее.
В действительности он не настолько информативен. Чтобы рассмотреть диаметр головы, состояние органов и конечностей может врач направить на трасвагинальное УЗИ. Связано это с плохой видимостью.
Во втором триместре такое исследование назначают для оценки состояния шейки матки, особенно при наличии рубца после КС, диагностики предлежания плаценты и прочих патологических состояний.
Назначается при проблемах с кишечником, связанных с метеоризмами. При вздутии живота газы «раздувают» петли кишечника, что мешает увидеть полную картину при применении абдоминального датчика.
Для полных женщин рекомендуется трансвагинальное исследование, ведь избыток жировой ткани затрудняет прохождение волн ультразвука, на чем и основывается процедура.
3 триместр
Задачи УЗИ:
- оценка состояния околоплодных вод;
- определение расположения ребенка в утробе;
- оценка готовности матки и путей к родовой деятельности.
Но чаще всего на поздних сроках даже врачи предпочитают использовать абдоминальный датчик.
Чем может быть опасно трасвагинальное исследование на ранних или поздних сроках?
Без явных симптомов и отклонений врач не назначит УЗИ. Чтобы установить факт беременности анализом крови определяют уровень ХГЧ. При показателях выше 2 000 мЕд/мл гинеколог дает направление на дополнительное исследование – УЗИ.
Врачи отрицательно относятся к УЗИ на ранних сроках, поскольку в этот период матки необходим полный покой.
Связано это с периодом закрепления плодного яйца к стенке матки. Вмешательство в виде введения влагалищного датчика может негативно отразиться на процессе имплантации, что чревато прерыванием беременности. При отсутствии серьезных показаний, проводить трансвагинальное исследование не стоит.
Воздействие УЗ-волн на большой плод не опасно, в сравнении с воздействием на эмбрион, поэтому на поздних сроках его проводят уже без опаски.
Что касается защиты ребенка от самого датчика, то волноваться не стоит, так как не достанет до него.
Ограничений по количеству проведения УЗИ не установлено, ведь считается, что пользы от исследования больше, чем возможных рисков.
Процедура может быть неприятной и даже болезненной из-за физического и психоэмоционального напряжения пациентки. Чтобы все прошло быстро и успешно, стоит расслабиться и довериться опытным врачам.
Трансвагинальное УЗИ считается самым информативным и точным исследованием, которое позволяет установить беременность на ранних сроках.
Для проведения процедуры не требуется специальная подготовка – наполнения мочевого пузыря водой.
Такой подход позволяет держать ситуацию под контролем и при малейших отклонениях устранить проблему на ранних сроках, избежав серьезных проблем в будущем.
Благодаря УЗИ беременным становиться спокойнее, ведь они знают, как развивается малыш в утробе. Исследование считается быстрым, экономичным и комфортным.
На каком сроке узи показывает беременность?

«На каком сроке УЗИ показывает беременность?» — это самый главный и волнующий вопрос для женщин. Возникает он в случае задержки менструации или симптомов, которые заставляют задуматься о беременности.
Но не стоит сразу бежать после первого дня задержки на УЗИ, так как оно все равно на таком сроке еще ничего вам не сможет показать. Тест тоже не будет информативным. Вам остается только немного подождать, чтобы узнать точно свое положение.
Но чтобы точно быть уверенной, что беременность наступила необходимо запомнить день зачатия. Оно может наступить через пару дней после полового акта. Вероятность зачатия становится меньше, если половой акт произошел позже предполагаемых сроков овуляции.
Время предполагаемого оплодотворения должно быть рассчитано. Для этого можно использовать калькулятор.
КОГДА УЗИ ПОКАЖЕТ БЕРЕМЕННОСТЬ
Оплодотворение яйцеклетки может осуществиться в день овуляции. Этот день наступает в середине цикла или сразу в течение нескольких суток после данного процесса. Яйцеклетка проникает в матку через маточные трубы. Происходит оплодотворение яйцеклетки только в том случае, если сперматозоиды смогут достичь цели.
В матке происходит внедрение этого слияние в слизистый слой. Зачатия не произойдет, если у женщины наблюдается непроходимость маточных труб. После зачатия может появится тянущее ощущение внизу живота, как перед месячными. Теперь можно считать, что вы мама и в вашем животе живет плод или даже двойня.
Чтобы ультразвуковое исследование показало точные результаты беременности, необходимо придерживаться некоторых условий:
- Достаточный срок. На маленьком сроке УЗИ не сможет увидеть плодное яйцо. Также на таком сроке нельзя определить, сколько у вас малышей – один или двойня. Это можно будет увидеть только с 10 недели с точностью до 90%.
- Воспалительный процесс слизистой оболочки в матке должен отсутствовать. Если он есть, то плодное яйцо должно иметь значительные размеры. Аппарат видит только размеры больше 0,3 см. Количество обследований будет зависеть от состояния.
- Выбор правильного метода диагностики. От него будет зависеть насколько обследование эффективное, также может ли оно определить – один плод и двойня. Чтобы определить с точностью до тысячных нужно делать УЗИ на 10-12 недели. Двойню рассмотреть можно без труда. Вероятность зачатия двойни практически нельзя вычислить, только если у вас есть генетическая предрасположенность. Если врач не на ранней неделе не смог определить беременность, это говорит о его отсутствии акушерского опыта. Врач видит беременность, начиная с 5-7 недели. Если есть сомнения, назначает через несколько дней после осмотра УЗИ.
НА КАКОЙ ДЕНЬ ЗАДЕРЖКИ ИССЛЕДОВАНИЕ ПОКАЖЕТ БЕРЕМЕННОСТЬ
Беременность можно увидеть, если задержка будет 5-7 дней. При условии, что УЗИ будет делать квалифицированный специалист на качественном оборудовании. Приблизительно срок беременности будет 3 недели. Самым информативным УЗИ считается на 9-11 день задержки.
В такой ситуации будет использоваться вагинальный датчик. На таких ранних сроках нельзя поставить диагноз – внематочная беременность, и определить, сколько плодов находится в матке.
Во время проведения исследования при помощи вагинального датчика врач должен быть осторожен, чтобы не повредить плодное яйцо.
Когда женщина хочет забеременеть, то использует калькулятор помогающий рассчитать день овуляции.
Через несколько дней после зачатия можно сделать тест на беременность, но вероятность увидеть положительный результат в такой ситуации меньше всего.
Насколько известно, также есть и тест на овуляцию, который послужит хорошим помощниками в данной ситуации. С ним вероятность забеременеть становиться больше. Они обладают точностью 100%.
ВИДЫ УЗИ ДЛЯ ОПРЕДЕЛЕНИЯ БЕРЕМЕННОСТИ
Существует несколько видов УЗИ, которые помогают определить беременность на ранних сроках (с точностью до 95%):
- Трансвагинальное УЗИ. При таком исследовании используется датчик, который вводится во влагалище. Поможет определить беременность уже с третьей недели иногда еще на более ранних сроках.
- Абдоминальное УЗИ. Датчик располагают на передней стенке живота. Результат сможет показать только на пятой недели беременности.
Чтобы диагностирование беременности было эффективным, женщине рекомендуется предварительно подготовиться. За несколько дней до УЗИ необходимо исключить из рациона продукты, которые могут вызвать газообразование в кишечнике. Наличие газов мешает рассмотреть структуру матки и маточных труб.
Такая подготовка относится к любому виду исследования.
Когда вам было назначено трансабдоминальное УЗИ, в день обследования нужно наполнить мочевой пузырь за три часа, после чего нельзя ходить в туалет.
Когда женщина не может выдержать столько времени, то за час выпивается определенное количество воды, но не меньше, чем 0,5-1 литр негазированной жидкости. Во время обследования может возникнуть дискомфорт, чем больше будет выпито воды, и женщина будет терпеть, тем больше дискомфорт.
После УЗИ можно сходить в туалет. На пустой пузырь с большой точностью выяснить беременность не получится.
Перед трансвагинальным УЗИ рекомендуется опорожняться. За несколько дней перед процедурой лучше воздержаться от полового акта.
КОГДА НЕОБХОДИМО СДЕЛАТЬ УЗИ НА БЕРЕМЕННОСТЬ?
В первые дни задержки можно сделать предварительно тест на беременность и если появилась слабая полоска, то можно обратиться за консультацией к врачу и посетить УЗИ. Но перед УЗИ гинеколог назначает анализ ХГЧ. Если его уровень будет повышен, то вероятность беременности повышается в несколько раз (в таблице ниже представлены уровни ХГЧ на разных сроках).
Срок беременности с момента первого дня последнего менструального цикла (недели)Примерный уровень ХГч, мМЕ/мл250-3003-41500-50004-510000-300005-620000-1000006-750000-2000007-840000-2000008-935000-1400009-1035000-13000010-1130000-12000011-1227500-11000013-1425000-10000015-1620000-8000017-2115000-60000
Если у вас 8-15 дней задержки, наблюдаются боли и появились кровяные выделения, то необходимо пройти ультразвуковое исследование, которое может показать, что плодное яйцо отслаивается.
КАК ПРОВОДЯТ ИССЛЕДОВАНИЕ
Процесс проведения исследования будет зависеть от вида назначенного обследования.
- Во время вагинального исследования пузырь должен быть пустым. Женщине необходимо оголиться ниже пояса. Принять положение лежа. Ноги сгибаются в коленях. Датчик вводится во влагалище, предварительно на него надевается презерватив. Помогает определить беременность с пятого дня задержки.
- Во время абдоминального исследования датчик водится на поверхности низа живота. На кожные покровы наносится специальный гель, помогающий скользить по поверхности и не проникать воздуху под датчик. Воздух может делать помехи. Данный вид исследования используется дальше в течение всей беременности. Этим способом можно воспользоваться с седьмого дня задержки.
РАСШИФРОВКА ДАННЫХ
Расшифровкой данных ультразвукового исследования должен заниматься только квалифицированный специалист. На первом УЗИ специалист определяет:
- Наличие каплевидного или округлого гипоэхогенного образования, диаметр которого составляет 0,3-0,5 см. От срока зависит и размер.
- Образование должно быть окружено тонкой оболочкой. Данное образование и есть плодное яйцо.
- Наличие желтого тела.
УЗИ уже на более поздних неделях помогает определить, как развивается плод и есть ли него какие-либо пороки. Далее будут представлены таблицы с нормативными показателями.
Нормативные показатели копчиково-теменного размера эмбриона/плода в зависимости от срока беременности
Нормативные показатели ЧСС плода в зависимости от срока беременности
Срок беременности в неделяхЧастота сердечных сокращений, уд/мин10170(161-179)11165(153-177)12162(150-174)13159(147-171)14157(146-168)
Нормативные показатели толщины воротникового пространства эмбриона/плода в зависимости от срока беременности
Срок беременности в неделяхТолщина воротникового пространства в мм5-й процентиль50-й процентиль95-й процентиль10-110,81,52,211-120,81,62,412-130,71,62,513-140,71,72,7
Развитие плода в зависимости от срока
Таблица средних размеров плода по УЗИ
ОШИБАЕТСЯ ЛИ ДИАГНОСТИКА?
Первое УЗИ на ранних сроках помогает узнать, если ли плод в матке и правильно он развивается или нет. Но бывают и такие случаи, когда данное исследование может ошибиться. Это может произойти, если на стенке матке образовалась гематома. Также может произойти ошибка с определение срока и пола ребенка, что очень часто случается.
Причины ошибок
В большинстве случаев причинами ошибок могут быть:
- Если срок слишком маленький.
- Если есть гематомы или иные образования в матке.
- Устаревшее оборудование.
- Неквалифицированный специалист.
Но стоит понимать, что вероятность ошибки составляет 1:10. В основном всегда можно при помощи ультразвукового исследования определить беременность и ее срок. Чтобы можно было наблюдать за развитием плода, протеканием беременности, во время всего периода лучше использовать калькулятор, который с точностью до недели и дня может определить, когда вам рожать.
источник http://uzilife.ru/uzi-pri-beremennosti/na-kakom-sroke-uzi-pokazyivaet-beremennost.html
Первое УЗИ: на каком сроке делать и что можно узнать

После зачатия в течение нескольких недель размеры плода настолько малы, что даже специализированная аппаратура не способна определить, состоялось ли оплодотворение яйцеклетки или нет. На каком же сроке УЗИ показывает беременность?
Когда УЗИ покажет беременность?
Ультразвуковое исследование во время беременности – важная процедура, с помощью которой можно определить, состоялось ли зачатие, точный срок, и есть ли какие-либо отклонения в развитии эмбриона.
Существует несколько видов УЗИ-мониторинга, которые используются докторами в зависимости от целей и функций, требуемых от процедуры. На раннем сроке беременности исследование проводится двумя методами:
- Трансвагинальное. Самая точная методика обследования, используемая на ранних сроках вынашивания ребенка. С помощью этой методики определить беременность можно уже спустя 3 недели со дня предполагаемого зачатия. Наряду с обследованием необходимо сдать анализ крови на определение уровня ХГЧ. И если наблюдается динамика роста гормона, но во время УЗИ не было обнаружено плодное яйцо, то речь может идти о внематочной беременности.
- Трансабдоминальное исследование. Процедура проводится путем размещения датчиков на передней стенки брюшной полости. При этом точность обследования на порядок ниже, нежели в случае трансвагинальной диагностики. В этом случае беременность можно зафиксировать только на 4-5 неделе после оплодотворения яйцеклетки и успешной имплантации эмбриона к стенке матки.
А можно ли делать узи так рано?
Практически каждая женщина, находящаяся в «интересном положении», осведомлена, что на протяжении всего периода вынашивания ребенка ей необходимо пройти 3 плановых процедуры. Цель — определение динамики развития плода и исключение рисков патологических отклонений у будущего ребенка.
Первый скрининг-УЗИ, после которого производится забор крови на анализ динамики роста ХГЧ, назначается на 10-12 недели беременности. Но, как правило, большинство женщин, хотят узнать о наличии развивающегося плода как можно раньше. И тогда становится актуальным вопрос, а не отразится ли негативно эта процедура на развитии малыша?
На самом деле, ультразвук, используемый во время обследования, представляет собой обыкновенные и безопасные звуковые волны высокой частоты, которые не воспринимаются нашими органами слуха.
Единственное, на что оказывает воздействие УЗИ-мониторинг, — это матка, которая после проведения процедуры может прийти в тонус.
Поэтому если матка находится в гипертонусе или же есть риск выкидыша, то проведение трансвагинального УЗИ лучше отложить.
Совет! Вопрос о том, когда можно делать первое УЗИ, лучше решать со своим консультирующим врачом. Доктора не рекомендуют внеплановые трансвагинальные УЗИ, если имеет место быть ноющая боль внизу живота, спазмы и кровянистые выделения.
Тут же стоит сказать, что проведение УЗ исследования на ранних сроках беременности имеет ряд преимуществ:
- подтверждение результата теста на наличие беременности;
- определение внематочной беременности на ранней стадии, что позволяет избежать угрозы репродуктивному здоровью женщины;
- возможность определения одноплодной или многоплодной беременности;
- оценка степени риска выкидыша по причине повышенного тонуса матки;
- определение максимально точного срока зачатия.
Когда назначают ультразвук?
Когда идти на первое УЗИ? Если после задержки женщина сделала тест на беременность, и он показал 2 полоски, то необходимо отправиться к врачу-гинекологу, который точно скажет, когда провести первое УЗ исследование. Подобная процедура назначается сугубо в индивидуальном порядке, учитывая все риски и необходимость проведения обследования.
Если после визуального осмотра выяснилось, что беременность протекает без осложнений, то первое УЗИ назначается на 10-12 неделе. Правда, иногда тестирование назначается и гораздо раньше – на 4-6 неделе уже видно, наступила ли беременность или нет.
Показания к раннему исследованию
УЗ исследование уже через 10 дней после задержки способно показать, наступила ли беременность или нет. Но это не означает, что абсолютно всем женщина показана такая ранняя диагностика. Существует ряд показаний, согласно которым врач может порекомендовать раннее исследование:
- Задержка менструации сопровождается болями внизу живота и кровянистыми выделениями, не характерными для месячных.
- Если в анамнезе у женщины уже имеются случаи с выкидышами на раннем сроке.
- Когда задержка менструации, тест положительный, но при этом, ни визуальный осмотр, ни пальпация не подтверждает факт зачатия.
- При ранее проводимых операций на матке, в том числе и кесарево сечение.
- Когда нет точных данных о последних месячных.
УЗИ-диагностика в данном случае позволит не только определить срок беременности, но и правильность прикрепления плода, есть ли риск ВБ, а также возможные патологии в развитии эмбриона.
В случае, если ранее на матке проводилось оперативное вмешательство, то с помощью диагностического УЗ обследования удастся определить, в каком состоянии находится послеоперационный рубец и не закрепился ли эмбрион в данной области.
Как проводится процедура?
Как было сказано ранее, существует два метода проведения исследования: трансвагинальный и трансабдоминальный. Чаще всего для раннего диагностирования врачи обращаются к первому методу, поскольку он более точный.
Суть методики заключается в следующем: во влагалище женщины вводиться специальное приспособление, на которого предварительно надевается презерватив, что исключает возможность попадания инфекции внутрь детородного органа.
На конце этого устройства находится камера-датчик, которая фиксирует состояние внутренней полости матки и передает данные на аппаратуру. В итоге, на экране мы можем наблюдать все то, что происходит внутри матки.
Если же все-таки было назначено трансабдоминальное обследование, то следует знать, что оно проводится с наполненным мочевым пузырем.
Если беременность не подтверждена
Итак, с какого срока УЗИ показывает беременность, мы уже выяснили. Теперь попробуем разобраться, а возможно ли, что в процессе обследования не был обнаружен эмбрион внутри матки?
Этому есть несколько объяснений:
- Очень малый срок беременности.
- Устаревшее оборудование
- Низкая квалификация узиста.
- Имплантация произошла в другом месте: фаллопиевых трубах, придатках, брюшине.
- Беременности нет, а результат теста – ложноположительный.
- Ошибка врача. Все мы люди и каждый имеет право на ошибку.
Если в ходе исследования беременность не подтвердилась, то, в первую очередь, необходимо показать результаты обследования своему консультирующему врачу.
Когда факт наличия ВБ будет исключен, через некоторое время можно повторить тест и посетить гинеколога.
Важно! Внематочную беременность, развивающуюся в трубе, на ранних сроках довольно ложно увидеть, поэтому следует обращать внимание еще и на косвенные признаки.
Итог
В завершении этой публикации, хотелось бы добавить: в подавляющем большинстве случаев УЗИ на раннем сроке проводится исключительно из праздного интереса.
Если нет никаких тревожных симптомов, то это вполне возможно, но в случае, когда имеет место быть тянущая боль внизу живота и нехарактерные выделения, то лучше перед ультразвуковым исследованием проконсультироваться с врачом-гинекологом.
А вы или ваши знакомые проходили УЗИ-диагностику только положенные 3 раза за всю беременность или же были назначены дополнительные обследования?
Как объяснить расхождение сроков беременности по УЗИ и по месячным?

Доступность ультразвуковой диагностики позволяет женщине, которая только-только узнала о наступившей беременности не строить догадок относительно срока, а узнать точно, как развивается ее малыш. Естественно, при посещении кабинета УЗИ женщина примерно предполагает, какой срок назовет врач, но случается, что ее ожидания не оправдываются.
Насколько часто это происходит, чем объяснить ситуацию, когда срок по УЗИ отличается от срока по месячным, или размеры плода отличаются от стандартных на конкретном сроке?
Насколько можно доверять ультразвуку?
Дамы, сильно желающие забеременеть, хотят узнать о свершении чуда в своей жизни как можно раньше, буквально в первые дни задержки. Конечно, всегда можно купить тест на беременность.
Но даже сверхчувствительные тесты способны лишь точно дать конкретный ответ на вопрос «наступила ли беременность?».
Они способны ответить да или нет, но чтобы установить срок, потребуются более точные способы.
Положительный тест на беременность
При ручном осмотре беременной, врач акушер-гинеколог может заметить, что матка рыхлая и чуть увеличена. Но такое явление наблюдается и перед месячными. Чтобы точно прояснить ситуацию, понадобиться ультразвуковое исследование.
Ультразвук способен точно определить беременность тогда, когда уровень ХГЧ (хорионического гонадотропина) в крови женщины превысит тысячу единиц.
В этом случае врач уже способен увидеть в полости матки плодное яйцо (при многоплодной беременности – два или три плодных яйца).
Чем больше срок, тем более полную картину показывает исследование – врач констатирует наличие не только плодного яйца, но и желточного мешочка в нем, или же даже увидит эмбрион и его сердцебиение, и сможет померить КТР эмбриона (расстояние от копчика до темечка).
Если ваш менструальный цикл составляет больше 30 дней, срок беременности по УЗИ и по менструации может существенно отличаться.
Нередко складывается такая ситуация: женщина приходит на УЗИ, врач интересуется датой последних месячных, проводит исследование, а после объявляет, что беременность, скорее всего, точно оказалась замершей – эмбрион и его сердцебиение не визуализируются, видно плодное яйцо, размеры которого меньше, чем должны быть.
Врач может ошибаться в случае, если у женщины была поздняя овуляция. У значительной части женщин менструальный цикл составляет не стандартные 28 дней, а 33, или даже 35-40.
Это значит, что зачатие произошло не на 14-16 день цикла, а на неделю или две позже, и женщина просто пришла на УЗИ слишком рано, поэтому плод не увидели. Скорее всего беременность не окажется замершей и плод развивается нормально, просто исследование стоит повторить через пару недель, чтобы точно не ошибиться.
Также можно объяснить ситуацию, когда на УЗИ и вовсе не видно беременность: вероятно, уровень ХГЧ в крови меньше того, при котором можно увидеть беременность.
Различия сроков беременности по месячным и по УЗИ
Акушерский срок беременности рассчитывается по неделям
Все акушеры-гинекологи при установлении срока беременности используют термин «акушерский срок». Это позволяет всем гинекологам мира разговаривать на одном языке.
Он ведется в неделях, отсчет которых начинается от первого дня последних месячных.
Первая и вторая акушерские недели – это те недели, в течение которых в организме еще только зреет яйцеклетка, которая впоследствии выйдет из яичника во время овуляции и встретиться со сперматозоидом.
Таким образом, женщине, имеющей стандартный менструальный цикл в 28 дней и пришедшей к врачу с задержкой в одну неделю, будет установлена беременность точно в пять акушерских недель. Одновременно при ультразвуковом исследовании может быть установлен срок немного меньше — в три, в четыре недели.
Насколько это оправданно и почему срок не совпадает? Эта ситуация нормальна, поскольку УЗИ ставит своей целью не определить точный срок в неделях, а определить, на сколько недель от зачатия по своим параметрам развит плод (его гестационный возраст). Понимать разницу между двумя этими понятиями важно. Поэтому расхождение в 1-2 недели между сроком по месячным и по УЗИ в пользу месячных (т.
е. срок по месячным больше, а по УЗИ меньше) – обычное явление, в нем нет ничего страшного.
Как установить срок беременности при нерегулярном цикле?
Некоторые женщины страдают от гормональных нарушений и, как следствие, нерегулярного цикла.
При таких патологиях как поликистоз, мультифолликулярные яичники, избыточное количество мужских половых гормонов менструации могут не приходить по нескольку месяцев.
Тем не менее, овуляция при таких нарушениях время от времени все же происходит, а значит, шансов забеременеть у таких женщин почти столько же, сколько у остальных.
Девушка вспоминает дату последней менструации
Если беременность для вас нежелательна, использование средств контрацепции обязательно, даже если вы страдаете от нерегулярного цикла и месячные отсутствуют по нескольку месяцев.
Нередко женщины с нерегулярным циклом не считают нужным предохраняться, полагая, что забеременеть им точно не удастся. В этом случае можно обнаружить беременность на третьем, а то и четвертом месяце, ведь отсутствие месячных по нескольку месяцев становится своеобразной нормой.
Верный расчет акушерского срока в такой ситуации практически невозможен, поэтому при определении срока врач может опираться исключительно на данные ультразвукового исследования. Если плод не является слишком крупным или слишком мелким, УЗИ может установить гестационный возраст плода с точностью до 2-3 недель.
Дата родов также будет установлена нетрадиционным методом – отсчитав 40 недель от первого дня последних месячных, а опираясь на данные УЗИ.
В каких случаях срок по узи опережает акушерский?
В настоящее время в России всем беременным предоставляется право три раза пройти бесплатное ультразвуковое исследование. Обычно их назначают между 11 и 14 неделями, между 18 и 22, и между 32 и 34.
Каждое из этих УЗИ преследует свои цели (первое – определить, увидели ли грубые пороки развития плода и генетические аномалии, второе – контроль за развитием внутренних органов, третье – определение состояния плаценты, положения плода и его примерного веса).
Тем не менее, при каждом исследовании врач определяет, на сколько недель развит плод. И нередко этот срок опережает акушерский. К примеру, женщина точно знает, что ее беременность составляет 20 недель, а врач указал в заключении, что размеры плода соответствуют 22 неделям.
Почему складывается такая ситуация? Никакой ошибки в ней нет. Это можно объяснить следующим образом:
- Плод крупный. Крупные размеры плода, опережающие его гестационный возраст, не являются патологией. Точно так же, как и все люди, плод уже в утробе имеет свои индивидуальные особенности.
- Размеры плода чуть меньше, чем должны быть. Это вполне может быть вариантом нормы, возможно, малыш просто небольшой, особенно если его родители не отличаются высоким ростом и внушительным весом.
- Неверно определены акушерские недели. Бывают случаи, когда кровотечение, которое женщина принимает за очередные месячные, на самом деле является угрозой выкидыша при уже наступившей в предыдущем цикле беременности. В народе такое явление носит название «омывание плода». Получается, что женщина называет врачу одну дату последних месячных, полагая что зачатие произошло в этом цикле, тогда как на самом деле это случилось в предыдущем, и соответственно, акушерский срок будет больше.
Как часто ошибается УЗИ?
Всегда существует вероятность ошибки как в большую, так и в меньшую сторону при определении срока по УЗИ.
Почему так происходит и сколько факторов виновны в этом? Их несколько: устаревшая аппаратура, недостаточная квалификация врача функциональной диагностики, путаница с датой последних месячных, не сразу увидели плод, индивидуальные особенности плода (слишком крупный или слишком мелкий). Можно свести к минимуму риск возникновения ошибки.
Достаточно посещать проверенные медицинские центры, в которых уровень квалификации врачей и качество аппаратуры не вызывает сомнений, а также внимательно следить за своим циклом и точно знать дату последней менструации.
Что показывает УЗИ малого таза у женщин при беременности, можно ли его делать и на каком сроке

УЗИ малого таза делают при беременности несколько раз. Эта процедура нужна для подтверждения факта беременности, выявления возможных патологий. УЗИ безопасно для женщины и плода, в отличие от других методов визуализации — рентгенографии, компьютерной томографии. Безопасность и точность исследования позволяет применять его многократно на протяжении всей беременности.
Показания к обследованию
УЗИ малого таза проводится у женщин при беременности минимум три раза. С помощью ультразвука определяют факт наличия беременности, когда женщина приходит к гинекологу для постановки на учет.
Следующее обследование рекомендовано на сроке 21 неделя, чтобы определить возможные пороки развития плода. Последнее УЗИ делают незадолго до родов — на 33 неделе.
Оно дает оценку состояния плода, готовности его к рождению.
Если обнаруживаются отклонения в состоянии здоровья женщины или плода, назначают дополнительные обследования. Ультразвук выявляет следующие заболевания органов малого таза:
До 12 недели УЗИ делают с целью исключения внематочной беременности. Рекомендовано пройти обследование при планировании зачатия, чтобы выявить и своевременно пролечить имеющиеся заболевания.
Противопоказания
Ультразвуковые волны безопасны для женщины и развивающегося плода. Это единственный метод обследования, который применяют многократно без риска развития нежелательных последствий. Относительным противопоказанием служит ожирение, когда ультразвуковые волны не могут пройти через подкожную клетчатку. В таких случаях результат диагностики окажется искаженным.
УЗИ малого таза беременным делают двумя способами:
- трансабдоминальный — через брюшную стенку;
- трансвагинальный — через влагалище.
Трансвагинальный метод используется для осмотра органов малого таза только на раннем сроке — до 10-11 недели. Специальной подготовки к нему не требуется, достаточно тщательно подмыться.
Трансабдоминальный метод используют на любом сроке. Помешать исследованию могут газы и пища, находящиеся в кишечнике. Поэтому за три дня до исследования рекомендуют придерживаться диеты. Из питания исключают:
- черный хлеб;
- горох и бобы;
- молоко;
- капусту.
Можно кушать перед исследованием гречневую кашу, отварное мясо, некрепкий чай. Последний прием пищи разрешается не позднее 12 часов до процедуры.
Техника обследования
Трансвагинальный осмотр малого таза осуществляется специальным датчиком, на который надевают презерватив. Датчик вводят во влагалище, продвигают до матки. Осматривают все внутренние органы поочередно. Затем датчик извлекают, на этом исследование заканчивается.
При трансабдоминальном УЗИ органов малого таза женщине при беременности смотрят обычно матку и маточные трубы, по необходимости осматривают почки и мочевой пузырь. Кожу живота смазывают звукопроводящим гелем. Датчиком водят по животу, изучая необходимые органы.
В дополнение смотрите видео об ультразвуковой диагностике при беременности:
Возможные результаты
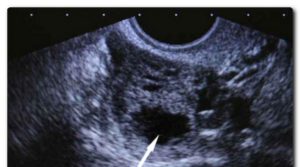
На раннем сроке, до 12 недель, УЗИ таза показывает только факт беременности — наличие плодного яйца внутри матки. Снимок показывает плодное яйцо как темное пятно округлой формы, имеющее светлый ободок и неоднородную структуру.
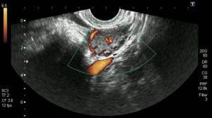
Яйцо может обнаруживаться и внутри маточной трубы. Так диагностируют внематочную беременность. Очень редко зародыш выходит в брюшную полость, где способен прикрепиться к внутренним органам.
На каком сроке видно плод, не зависит от телосложения женщины, количества предыдущих беременностей. Отчетливо различить конечности, увидеть сердцебиение возможно после 12 недели. Внутренние органы плода, половая принадлежность, черты лица видны после 22 недели.
При обследовании подсчитывают частоту сердцебиения, количество движений эмбриона за минуту. Измеряют длину и ширину головы, толщину шейной складки. Эти показатели помогают выявить врожденные генетические нарушения.
Смотрите видеозапись с монитора УЗИ малого таза беременной:
Ошибки диагностики
Ультразвуковое исследование таза отличается высокой точностью. Процент ошибок очень мал. Возникают они вследствие недостаточной подготовки к исследованию, из-за избыточной массы тела пациентки, наличия кист или опухолей внутри матки или труб.
Основная ошибка — принятие кисты или опухоли за плодное яйцо. Случается это, если патологическое образование имеет небольшие размеры, неоднородную структуру. Тогда на УЗИ они выглядят как темные пятна со светлым ободком — так же, как плодное яйцо.
Отличием патологического образования от эмбриона является наличие у последнего сердцебиения. К 12 неделе определяются очертания зародыша, конечности.
Стоимость
УЗИ таза делают в женской консультации по месту жительства. Обследование производится бесплатно. Также УЗИ таза можно сделать в частном центре. Стоимость процедуры относительно небольшая.
| Город | Стоимость, рубли |
| Москва | 300-800 |
| Санкт-Петербург | 350-900 |
| Екатеринбург | 250-800 |
| Новосибирск | 300-900 |
| Средняя цена | 300-850 |
УЗИ таза при беременности используется для обнаружения плодного яйца, оценки состояния плода, выявления заболеваний у женщины. Процедура проводится в каждом триместре беременности по одному разу. При необходимости назначают дополнительные исследования.
Оставляйте комментарии к статье, делитесь своим опытом прохождения процедуры. Поделитесь прочитанной информацией с друзьями в социальных сетях.
