Воспалительный тип мазка на цитологию причины

Цитологическое исследование в гинекологии является важным диагностическим методом, позволяющим установить ряд отклонений от нормы, в число которых входит и воспалительный процесс.
Цитограмма представляет собой результат анализа мазка, полученного из шейки матки.
Кроме воспаления, она позволяет выявить онкологические заболевания, поскольку в мазке могут присутствовать клетки с признаками атипии.
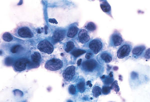
В случае патологий цервикса воспалительного характера в заключении цитологического исследования будет дана такая формулировка: “Цитограмма воспаления с реактивными или дегенеративными изменениями эпителия”. Это означает, что анализ соответствует 2 типу мазка по Папаниколау, и в биоматериале присутствуют воспалительные элементы.
После получения результатов лабораторного анализа, в которых зафиксировано воспаление, врач должен назначить пациентке соответствующее лечение. После курса терапии повторно берется мазок для подтверждения эффективности предпринятых мер и излечения.
Цитологическая картина воспалительного характера может проявиться по следующим причинам:
- Заболевания инфекционной природы, среди которых трихомониаз, хламидиоз, актиномикоз, кандидоз, генитальный герпес и др.
- инфекция, спровоцированная вирусом папилломы человека.
- Атрофическое воспаление.
- Период вынашивания ребенка.
- Лекарственное воздействие.
- Прохождение лучевой терапии.
- Использование внутриматочной спирали в качестве средства контрацепции.
Обратите внимание, воспалительный тип мазка может быть зафиксирован и в случае легкой степени дисплазии. В этой ситуации требуется врачебное наблюдение и периодический повтор цитологического анализа.
Анализ
Цитограмма воспаления – результат цитологического исследования цервикального мазка, позволяющая выявить такое заболевание, как цервицит. Тактики лечения этой болезни могут отличаться в зависимости от этиологического фактора, поэтому пациентке назначается не только мазок на цитологию, но и ряд дополнительных диагностических манипуляций.
Чтобы мазок на цитологию помог выявить воспалительный процесс, к процедуре необходимо подготовиться. С этой целью женщине рекомендуют:
- Отказаться от половых актов в течение 3 суток перед процедурой.
- Не использовать вагинальные свечи, крема, гели.
- Не проводить спринцевание перед анализом.
- Не мочиться 2-3 часа перед сдачей анализа.
Обычно мазок на цитологию сдают на 5-10 день цикла, то есть после окончания менструального кровотечения.
Если женщина не выполнила всех рекомендацией, результат анализа может быть не достоверным. В таком случае цитология воспаления не будет выявлена и врач может назначить неверное лечение.
Сам анализ представляет собой процедуру, при которой врач берет соскоб из влагалища и цервикального канала. Манипуляция осуществляется на гинекологическом кресле и занимает всего несколько секунд. После изъятия биологического материала его отправляют на анализ в лабораторию.
Интерпретация
Некоторые термины, встречающиеся в лабораторных заключениях, представлены ниже:
- Койлоциты. Клетки плоского эпителия, структура ядра которых изменена. Встречаются в случае папилломавирусной инфекции.
- Лейкоциты. Обнаружение этих клеток в значительном количестве говорит о наличии воспаления.
- Нейтрофилы. Разновидность лейкоцитарных клеток, представлены в мазке в случае активации патологического процесса воспалительного генеза.
- Экзоцервикс. Слизистая выстилка влагалищной порции шейки матки.
- Эндоцервикс. Слизистая выстилка шеечного канала.
- Гиперкератоз. Явление ороговения цервикального эпителия. При выявлении гиперкератоза дополнительно проводится кольпоскопия, при помощи прицельной биопсии берется материал для изучения. В случае активного воспаления все эти манипуляции проводятся после курса лечения.
- Эритроциты. Клетки крови. Встречаются в мазке в случае повреждения слизистой во время взятия биоматериала.
- Эктопия (псевдоэрозия). Расположение цилиндрического эпителия, какой в норме выстилает шеечный канал, во влагалищной порции шейки матки.
- Атипия. Изменения в структуре клеток. Атипичные клетки могут быть обнаружены и при активном воспалении, и при онкопатологиях.
- Эндоцервицит. Воспаление слизистой выстилки шеечного канала.
- Эстрогенный тип мазка. Тип мазка, который в норме характерен для пациенток, находящихся в детородном возрасте.
- Атрофический тип мазка. Тип мазка при недостаточной концентрации эстрогенов. Чаще выявляется в менопаузальном периоде.
В любом случае, расшифровку анализа должен проводить врач. Даже если анализ показывает цитограмму воспаления, все равно необходим осмотр и дальнейшее обследование.
Рекомендации
Цитограмма воспаления — что это значит и как лечить интересует пациенток. Такой результат анализа чаще всего свидетельствует о развитие воспалительного заболевания цервикального канала. Если этот диагноз подтвердится, то женщине назначат комплексную противовоспалительную терапию:
- прием антибиотиков, противогрибковых препаратов;
- прием нестероидных противовоспалительных средств;
- использование вагинальных свечей.
Препараты назначаются в индивидуальном порядке, все зависит от того, какой возбудитель спровоцировал возникновение цервицита.
Цитограмма выраженного воспаления — это не страшный диагноз, а повод снова обратиться к врачу гинекологу и обследоваться. Своевременная диагностика и лечение воспалительных заболеваний помогут избежать множество осложнений, среди которых бесплодие, образование опухолей, гормональные сбои.
uterus2.ru
Что являет собой мазок на цитологию
Цитологический мазок (анализ Папаниколау, ПАП-тест) – это лабораторное микроскопическое исследование верхнего шара шейки матки, предназначенное для своевременной диагностики рака. Этот метод является самым безболезненным, простым и быстрым среди всех известных способов обследования.
Предназначение анализа
С целью профилактики и предупреждения развития опасных заболеваний цитология мазка из цервикального канала делается каждой женщине.
Этот анализ позволяет выявить нарушения в клеточной структуре шейки матки, которые вызывают развитие раковых болезней. Чтобы избежать возможных патологий, все женщины должны регулярно посещать гинеколога.
Если изменения происходят, они фиксируются на ранней стадии, когда болезнь поддается лечению, и еще возможно полное выздоровление.
Кроме клеточных патологий, мазок на цитологию позволяет оценить слизистую оболочку и определяет наличие во влагалище вредных микроорганизмов. ПАП-тест не определяет точные данные этих параметров, поэтому в таких случаях необходимо использовать дополнительные способы анализа.
Показания для ПАП-теста
Мазок на цитологию шейки матки назначается всем женщинам после 18 лет при плановом осмотре гинеколога раз в год.
Также показаниями для проведения анализа служат: нарушение менструации, наличие вируса папилломы и генитального герпеса, свободные половые связи, бесплодие, использование гормональных контрацептивов, установление внутриматочной спирали, планирование беременности.
Инфекционные заболевания часто также служат поводом для того, чтобы взять мазок на цитологию. Что показывает результат, может определить только специалист.
Группа риска
Независимо от возраста, существуют определенные факторы, воздействие которых повышает риск развития онкологии. При продолжительном действии на женский организм они ослабляют иммунную систему.
В такую группу риска попадают женщины, которые имеют много сексуальных партнеров, курят, имеют слабый иммунитет, являются носителями вирусов, начали половую жизнь в раннем возрасте, перенесли в прошлом раковые болезни половой системы.
Как делается мазок
Для получения достоверных результатов женщине за неделю до анализа необходимо прекратить прием антибиотиков. За день до исследования нужно перестать спринцеваться и ставить вагинальные свечи и вступать в половые связи.
Забор мазка делается на кресле во время осмотра гинекологом. Врач берет 3 мазка: со стенок влагалища, из канала шейки матки (цервикальный канал) и из устья парауретральных ходов.
Эта процедура совсем безболезненна. Для взятия мазка используется гинекологическое зеркало и шпатель.
Чтобы предметы не были холодными и не создавали неприятных ощущений, перед использованием их можно нагреть горячей водой.
На следующем этапе врач наносит исследуемый материал на специальное стекло, на котором уже будет проходить под микроскопом лабораторный анализ мазка на цитологию.
Трактование результатов исследования
Последним и самым важным этапом исследования является расшифровка мазка на цитологию. По данным анализа врач может получить информацию о состоянии эпителия, о наличии воспалений и составе микрофлоры. В современной медицинской практике для расшифровки результатов мазка широко используется методика Папаниколау, согласно которой выделяют 5 стадий развития патологий.
1 стадия – отсутствуют какие-либо отклонения, цитология в норме. Эта стадия свидетельствует о здоровье женщины.
2 стадия – при плановом осмотре или по наличию жалоб женщина сдает мазок на цитологию, что показывает небольшое изменение в строении клеток. Оно обусловлено воспалением внутренних половых органов. Эта стадия также считается нормой, но все же требуется более тщательного исследования для установления причин заболевания.
3 стадия – обнаружено небольшое количество клеток с аномалиями в строении ядер. В таком случае необходимо взять повторный мазок и провести гистологическое обследование ткани.
4 стадия – во время анализа можно выявить клетки со злокачественными изменениями. Например, увеличенная масса ядер, изменения в цитоплазме и хромосомах. Полученный результат не является окончательным диагнозом, а служит поводом для дальнейшего обследования.
5 стадия – в мазках присутствуют раковые клетки в большом количестве.
Расшифровка мазка на цитологию может занять некоторое время. Обычно требуется несколько дней, но бывают случаи, когда результатов нужно ждать неделю.
Достоверность результатов метода Папаниколау очень высока, особенно когда исследуется мазок на цитологию шейки матки. Но о состоянии самой матки, яичников и маточных труб этот анализ никакой информации не дает. Бывают случаи, когда ПАП-тест дает ложные данные. Поэтому для точной интерпретации результатов необходимо пройти комплексное обследование.
Положительные результаты: виды патологий
Если полученные данные исследования соответствуют нормам, значит никаких отклонений не выявлено, и женщина здорова. В случае положительных результатов имеет место развитие патологии.
Выявление аномальных клеток не всегда свидетельствует о наличии рака. Часто во время ПАП-теста обнаруживаются опасные инфекционные заболевания.
1. Папилломавирусная инфекция – образование генитальных бородавок во влагалище и на шейке матки. Этот вирус является очень опасным для женского здоровья.
2. Хламидиоз – самая распространенная инфекция, передающаяся половым путем. В основном это заболевание протекает без выраженных симптомов. Кроме того, его трудно диагностировать лабораторным путем. Это затрудняет лечение, а его отсутствие грозит серьезными осложнениями.
3. Трихомониаз – популярное венерическое заболевание. Основные симптомы недуга: зуд, желто-зеленые выделения, дискомфорт при мочеиспускании и при половых контактах. Своевременное диагностирование патологии позволяет полностью вылечить болезнь.
4. Гонорея – инфекционная болезнь мочеполовой системы. Хроническая форма заболевания часто является причиной бесплодия у женщин.
5. Дрожжевая инфекция представляет собой разрастание живущего во влагалище грибка. По некоторым причинам его размножение выходит из-под контроля, и происходит воспаление. Оно сопровождается раздражением и зудом, белыми выделениями с характерным запахом.
Если итог исследования мазка дал положительный результат по причине наличия инфекции, следует лечить выявленные заболевания. Очень часто определить рак трудно именно из-за вирусов. Поэтому после курса терапии необходимо повторить анализ, чтобы получить более точные данные.
В зависимости от патологии иногда нужно брать повторно мазок на цитологию, что показывает динамику изменений в строении клеток за определенный период.
Забор мазка во время беременности
При малейших подозрениях на наличие вредных для плода инфекций и грибков часто используется цитология.
Воспалительный тип мазка позволяет диагностировать патологические процессы, если женщина жалуется на жжение и зуд наружных половых органов, изменения цвета и запаха выделений.
Для анализа состояния микрофлоры влагалища у беременных мазок на цитологию делают минимум три раза. При потребности врач может назначить дополнительные ПАП-тесты.
Проведение ПАП-теста беременным происходит по обычной технологии.
Возможные осложнения после забора мазка
Взятие мазка на цитологию должен делать врач-специалист, который владеет техникой этого процесса. После выполнения ПАП-теста возможны некоторые осложнения.
Наиболее часто они проявляются выраженной болезненностью после манипуляций и кровянистыми выделениями в течение суток или немного дольше. Такие симптомы считаются вполне нормальными и не требуют лечения.
Если после исследования наблюдаются сильные боли в животе, повышенная температура и озноб, нужно обратиться к врачу.
Цитология мазка из цервикального канала при неправильном заборе тоже иногда имеет опасные последствия. При грубом вмешательстве может развиваться стеноз, спровоцированный спайками. По этой причине не принято проводить профилактическое взятие мазка в глубоких местах цервикального канала.
В течение недели после ПАП-теста следует отказаться от интимных отношений, спринцевания и использования тампонов.
Цитологический мазок считается лучшим методом выявления рака шейки матки еще на первых этапах развития. Но даже лучшие лаборатории иногда не могут выявить клеточные изменения. Поэтому для большей вероятности обнаружения патологии нужно сдавать мазок ежегодно.
.ru
МАЗОК НА ЦИТОЛОГИЮ — МЕТОД МИКРОСКОПИЧЕСКОГО ИССЛЕДОВАНИЯ ЦЕРВИКАЛЬНОГО ЭПИТЕЛИЯ С ЦЕЛЬЮ ПРЕДУПРЕЖДЕНИЯ И РАННЕЙ ДИАГНОСТИКИ РАКА ШЕЙКИ МАТКИ.
- Что показывает мазок на цитологию? Общая информация
- Жидкостная и классическая цитология, сколько делается тест?
- Цитограмма без особенностей — что это значит?
- Атрофический тип мазка
- Термины, встречающиеся в цитограмме
- Расшифровка цитограммы (NILM, ASCUS, LSIL, HSIL)
Мазок на цитологию (Пап-тест) — что показывает цитограмма?

МАЗОК НА ЦИТОЛОГИЮ — МЕТОД МИКРОСКОПИЧЕСКОГО ИССЛЕДОВАНИЯ ЦЕРВИКАЛЬНОГО ЭПИТЕЛИЯ С ЦЕЛЬЮ ПРЕДУПРЕЖДЕНИЯ И РАННЕЙ ДИАГНОСТИКИ РАКА ШЕЙКИ МАТКИ.
Мазок на цитологию в первую очередь проводится для обнаружения атипичных клеток, что позволяет на ранних этапах диагностировать дисплазию (CIN, LSIL, HSIL) или рак шейки матки.
Это недорогой и удобный метод для профилактического охвата большого количества женщин.
Конечно, чувствительность однократного исследования невысокая, однако ежегодный массовый скрининг в развитых странах позволил значительно снизить смертность женщин от рака шейки матки.
В связи с тем, что атипичные клетки могут располагаться на относительно небольшом участке слизистой, очень важно, чтобы материал был получен со всей поверхности шейки матки, особенно из цервикального канала! Для этого созданы специальные щеточки, позволяющие получать материал из недоступных для осмотра областей.
Особое внимание придается зоне трансформации, клетки которой чаще всего подвергаются опухолевому перерождению. Именно в зоне трансформации развивается до 80-90% рака шейки матки, остальные 10-20% приходятся на цервикальный канал.
Когда сдавать мазок на цитологию? Взятие мазка на цитологию следует проводить начиная с 5-го дня менструального цикла и за 5 дней до предполагаемого начала менструаций.
Нельзя проводить анализ в течение двух суток после полового сношения либо введения во влагалище свечей. Несоблюдение этих правил может привести к ошибочной трактовке результатов.
Так же наличие выраженного воспалительного процесса в шейке матки и влагалище серьезно осложняют диагностику.
Следует отметить, что забор материала — это достаточно неприятная процедура. Гинеколог должен соскоблить эпителий с поверхности шейки и зайти в цервикальный канал. Чем больше попадет эпителия из различных зон — тем качественнее диагностика. Иногда после цитологии могут оставаться кровоподтеки, это считается нормальным.
Таким образом, основное значение мазка на цитологию — это определение качественных изменений клеток. Для определения инфекционного агента, вызвавшего воспаление, лучше использовать мазок на флору или бактериологический посев.
Однако при цитологическом исследовании врач может отметить присутствие каких либо микроогранизмов. К нормальной микрофлоре относятся палочки (лактобациллы), единичные кокки, в небольшом количестве может быть условно-патогенная флора.
Наличие специфических инфекционных агентов (трихомонады, амебы, грибы, гонококки, гарднереллы, лептотрикс, хламидии, обилие кокков) считается патологией, которую необходимо лечить.
Обработка мазков. Сроки выполнения цитологии
После забора материала, образец переносится на предметное стекло, фиксируется и окрашивается. При прямом переносе мазка со щеточки возможна частичная потеря материала и деформация клеток, что ведет к снижению чувствительности метода и большому числу ложных результатов. На смену классическому методу пришла жидкостная цитология, что значительно повысило точность и качество исследования.
Жидкостная цитология — это новая технология обработки мазков, которая заключается в помещении проб в контейнер со специальным стабилизирующим раствором. При этом в раствор попадает весь полученный эпителий, который затем центрифугируется и очищается от нежелательных примесей (слизи и др).
На сегодняшний момент жидкостная цитология становится «золотым стандартом» для исследования мазков со слизистой шейки матки. Но и в этом случае чувствительность однократного исследования не превышает 60-70%. В репродуктивном возрасте часты ложноотрицательные результаты, а у женщин в менопаузе — ложноположительные.
Только трехкратное цитологическое исследование позволяет приблизиться к 100%.
Существуют различные методы окраски препаратов: по Papanicolau (Пап-тест), по Романовскому, по Wright-Diemsa, по Граму.
Все методы направлены на окрашивание определенных клеточных структур, что позволяет дифференцировать различные типы эпителия, отличать клетки с ороговением и опухолевой трансформацией.
Тест Папаниколау широко признан и сейчас используется как основной стандартизированный метод.
Сколько времени делается тест? В зависимости от организации процесса результат можно получить в течение 2-3 дней.
Цитограмма без особенностей — что это значит?
Варианты цитологического заключения широко варьируют.
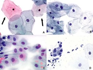
Как вариант нормы, могут употребляться следующие заключения: «цитограмма без особенностей«, «цитограмма в пределах нормы«, «цитограмма без интраэпителиальных поражений«, «цитограмма соответствует возрасту — атрофический тип мазка«, «NILM — Negative for intraepithelial lesion or malignancy«, «пролиферативный тип мазка«. Все это — НОРМА!
Слизистая шейки матки в норме гладкая, блестящая, влажная. Плоский эпителий бледно-розовый, железистый эпителий — ярко красный. Клеточный состав, который можно встретить в нормальной цитологии представлен в таблице.
| Цитограмма без особенностей (NILM) у женщин репродуктивного возраста | |
| Экзоцервикс | Хорошо сохранившиеся клетки плоского эпителия, преимущественно поверхностного, промежуточного слоев. |
| Эндоцервикс | Клетки железистого (цилиндрического) эпителия. |
| Зона трансформации | Клетки плоского эпителия, единичные клетки или мелкие скопления метаплазированного плоского эпителия, небольшие скопления железистого эпителия. |
Атрофический тип мазка — что это значит?
У женщин в переменопаузе и менопаузе за счет снижения общего уровня эстрогенов замедляются многие метаболические процессы, что приводит в результате к атрофии плоского эпителия. Эти изменения можно увидеть в цитограмме.
Атрофический тип мазка относится к варианту нормальной цитограммы. Часто можно встретить в заключении фразу «цитограмма соответствует возрасту» или «возрастные изменения nilm«.
Все это — варианты нормы!
Нужно понимать, что у женщин в менопаузе очень часты ложноположительные результаты цитограммы — тот случай, когда цитологу сложно отличить атрофичный плоский эпителий от дисплазии.
Это нужно понимать, поскольку при последующей биопсии шейки матки патологии обычно не находят.
Кроме того у пожилых женщин может быть склонность к кератинизации эпителия с формированием гиперкератоза (лейкоплакии).
| Цитограмма без особенностей (NILM) у женщин в пере- и менопаузе (атрофический тип мазка) | |
| Экзоцервикс | Хорошо сохранившиеся клетки плоского эпителия, преимущественно парабазального и базального слоев. Чаще бывают мазки атрофического типа, но могут быть и пролиферативного или смешанного типов. |
| Эндоцервикс | Отсутствие клеток цилиндрического (железистого) эпителия не является показателем плохого качества мазка, поскольку в этот период зона трансформации смещается глубоко в канал и для получения железистого эпителия щеточку нужно вводить на глубину более 2-2,5 см. |
| Зона трансформации | Клетки плоского, метаплазированного эпителия. |
Слизистая шейки матки в менопаузе истончена, легко травмируется и подкравливает, что является следствием снижения эстрогенов.
Терминология
Мазок на цитологию- норма
Дискариоз и дискариоциты — аномальные клетки с гиперхромными (плотными и темными) ядрами и нерегулярным ядерным хроматином. За дискариозом последует развитие злокачественного новообразования. Используется как синоним дисплазии, но как более общий термин.
Атипия — любое отличие структуры клетки от нормы. Смысл зачастую зависит от контекста. Но чаще все же используется для описания предопухолевых и опухолевых изменений.
Воспалительная атипия — сочетание дегенеративных, реактивных, пролиферативных изменений клеток при воспалении. Эти изменения могут стать причиной ложно-положительного диагноза дисплазии или рака.
Дисплазия — процесс нарушения созревания плоского эпителия. Является истинным предопухолевым процессом. Имеет 3 степени. К первой обычно относят вирусное поражение, ко второй и третьей — поражение с опухолевым потенциалом.
Дисплазия эпителия тяжелой степени
ASCUS — атипичные клетки, которые трудно дифференцировать с реактивной атипией и собственно предопухолевым процессом. Атипия неясного значения.
Дискератоз — нарушение кератинизации отдельных клеток плоского эпителия. Является признаком ВПЧ.
Паракератоз — нарушение кератинизации эпителиального пласта. Поверхностные клетки плоского эпителия всегда имеют некоторую степень кератинизации — это защитный механизм. Паракератоз может наблюдаться в норме, при раздражении слизистой любой причины, или при ВПЧ-поражении.
Койлоцитоз (койлоцитарная атипия, койлоцит) — специфические изменения ядер, характерные для вируса папилломы человека.
Койлоциты, многоядерная клетка
Гиперкератоз (лейкоплакия) — выраженная кератинизация эпителиального пласта с появлением защитного бесструктурного слоя из кератогиалина. Это нормальный процесс для кожи, но в слизистых оболочках считается патологией. Наблюдается при ВПЧ-инфекции, а также при раздражении слизистой, особенно при опущении органов малого таза, выпадении матки.
Плоскоклеточная метаплазия — защитный механизм, физиологический процесс замещения нежного железистого эпителия более устойчивым плоским эпителием. Метаплазированный эпителий часто становится источником дисплазии и рака, так как легко поражается вирусом папилломы человека.
Железистая гиперплазия — пролиферация, активный рост железистого эпителия. Является реактивным процессом при воспалении, эрозии шейки матки. Часто встречается при использовании гормональных препаратов.
Классификация Bethesda (США) — расшифровка цитограммы
| Оценка качества мазка | |
| Материал полноценный | Содержит клетки плоского и цилиндрического эпителия в достаточном количестве. |
| Неудовлетворительный для оценки (неинформативный) материал | Скудное количество клеток или их отсутствие. |
| Цитограмма в пределах нормы (NILM) | Содержит клетки поверхностного и промежуточного слоев многослойного плоского эпителия, клетки метаплазированного эпителия, лейкоциты, клетки цилиндрического эпителия, клетки эпителия эндометрия. |
| Метаплазия (норма) | Клетки плоского метаплазированного эпителия свидетельствуют о том, что материал забран из зоны трансформации. |
| Реактивные изменения | |
| Цитограмма воспаления | Дегенеративные и реактивные изменения клеток, воспалительная атипия, плоскоклеточная метаплазия, гиперкератоз, паракератоз, койлоцитоз и другие признаки вирусного поражения. |
| Атрофия | Клетки базального и парабазального типов -мелкие клетки с гиперхромным ядром и скудной цитоплазмой. Часто могут ошибочно трактоваться как клетки с атипией, давая ложноположительный результат цитологии. |
| Патологические изменения эпителия | |
| ASCUS (atypical squmous cells of undetermined significance) | Изменения, которые трудно дифференцировать между реактивными изменениями эпителия и дисплазией. При ASCUS определяются клетки, трактовка которых затруднена — клетки с дискариозом, укрупненными и гиперхромными ядрами. Рекомендуется динамическое наблюдение и дообследование, а именно повторное цитологическое исследование через 6 месяцев и ВПЧ-тестирование. В случае подтверждении ASCUS и наличии вируса папилломы человека высокого онкогенного риска — проводится кольпоскопия. Исследования показывают, что 20% женщин с ASC имеют дисплазию после более тщательного обследования. |
| Предопухолевые изменения | |
| LSIL (CIN I) | Слабовыраженное интраэпителиальное поражение, включающее папилломавирусную инфекцию. Рекомендуется наблюдение без активной терапии. У большинства женщин LSIL самостоятельно регрессирует в течение нескольких лет. В эту группу объеденены все изменения с низким злокачественным потенциалом, поскольку цитолог зачастую не может отличить изменения при ВПЧ инфекции и собственно CIN 1. |
| HSIL (CIN I-II) | Умеренно выраженное и тяжелое интраэпителиальное поражение. Рекомендуется удаление всех пораженных тканей методом (конизация) с последующим морфологическим исследованием. В эту группу объеденены все изменения с высоким злокачественным потенциалом. |
| AGC (atypical glandular cells) | Атипические клетки цилиндрического эпителия. Рекомендуется выскабливание цервикального канала для гистологического исследования. |
| Опухолевые изменения | |
| Плоскоклеточный рак | Злокачественная опухоль из плоского эпителия. |
| Железистый рак | Злокачественная опухоль из железистого эпителия эндоцервикального типа. |
| Эндометриальный рак | Злокачественная опухоль, развивающаяся из слизистой оболочки матки и прорастающая в цервикальный канал. |
Классификация цитологических изменений по Папаниколау несколько проще, чем Bethesda. Однако, посыл остается тем же. Имеется раздел доброкачественных реактивных изменений, которые не угрожают здоровью, класс предопухолевой патологии и собственно рак шейки матки. Каждый класс выделен на основании прогноза, риска злокачественной трансформации и необходимого медицинского вмешательства.
| Классификация цитологических изменений по Папаниколау | |
| I класс | норма |
| II класс | доброкачественная атипия (реактивные изменения) |
| III класс | дисплазия (предопухолевые изменения) |
| IV класс | cancer in situ |
| V класс | инвазивный плоскоклеточный рак |
Атипичные клетки: что это такое в мазке на цитологию в гинекологии

Атипические клетки – «диагноз», который боится услышать каждый из нас. Точнее, это не диагноз, и даже не отдельное заболевание, а отклонение, которое может говорить о таком. Конечно, сразу сказать, что у пациента рак, нельзя, но мутировавшие клетки не должны остаться без внимания. В противном случае последствия могут быть самыми серьезными.
к оглавлению ↑
Что такое АК?
Атипичные клетки – что это такое? Об атипии говорят тогда, когда во время цитологического исследования в образце забранной ткани были выявлены клеточные структуры, отличающиеся от здоровых клеток. Другими словами, они мутированы. Их опасность заключается в том, что они могут «жить» в организме человека в течение долгого периода времени, ничем себя не выдавая.
Так, атипия – это рак или нет? АК не обязательно являются признаком злокачественной онкологии, но они вполне могут перейти в таковую. В течение долгого времени они способны находиться в скрытом состоянии, но когда иммунитет человека ослабнет, они перейдут в «наступление», и начнут бесконтрольно делиться. В этом случае ситуация ожжет развиваться по одному из двух сценариев:
- появится опухоль доброкачественного характера;
- сформируется злокачественное, раковое новообразование.
Доброкачественная атипия клеток – что это? Обычно такая мутация происходит при наличии вялотекущих воспалительных процессов или других заболеваний, преимущественно инфекционного характера. В этой ситуации образуются опухоли доброкачественного характера, которые обычно успешно поддаются лечению.
Признаки злокачественной атипии – что это? В данном случае ситуация менее благоприятна, и на это есть свои причины. Прежде всего, это приводит к формированию злокачественных, раковых, опухолей.
Конечно, данный процесс не всегда имеет место, но он требует особо пристального внимания, поскольку на ранних стадиях его не всегда удается выявить.
Обычно новообразование диагностируется уже на поздних этапах, к тому же часто оно оказывается неоперабельным, и плохо поддается лучевой и химиотерапии.
На заметку. Клетки с признаками атипии не всегда приводят к онкологии. Если иммунитет довольно сильный, то он вполне может уничтожить их без последствий для здоровья человека. Наличие хронических очагов воспаления мешает этому процессу, поэтому все острые заболевания необходимо лечить вовремя, и обязательно излечивать полностью.
к оглавлению ↑
Атипические клетки в гинекологии
Атипия – что это такое в гинекологии? В гинекологической практике огромное значение имеет такая диагностическая манипуляция, как мазок на цитологию. То, что это за процедура, когда и зачем она проводится, мы рассмотрим далее, а сейчас вкратце рассмотрим вопрос, что это такое атипичные клетки в гинекологии.
АК – это структуры, которые могут быть обнаружены в образце ткани, взятой с шейки матки для дальнейшего микроскопического исследования. Как и в предыдущем случае, такие элементы не всегда говорят о раке. Более того, они могут не быть признаком опухоли, но являться тревожным знаком.
Важно! Атипичные клетки шейки матки в цитологии требуют особо пристального внимания со стороны врача, поскольку могут наблюдаться при дисплазии – предраковом заболевании, отсутствие лечения которого, вполне может закончиться перерождением клеток в раковую опухоль.
к оглавлению ↑
Мазок на цитологию: что это, зачем и как проводится?
Так, разобравшись в том, что такое клеточная атипия, перейдем к рассмотрению вопроса о том, как они выявляются, и когда необходимо провести диагностику. Чтобы выявить такие структуры, проводится Пап-тест. Данное исследование еще называется мазком на атипию, мазком на цитологию или пробой Папаниколау.
Обычно особых оснований для выполнения манипуляции нет – гинекологи всегда делают ее для подстраховки. Но есть некоторые ситуации, когда проба крайне необходимо и обязательна. Это:
- ведение женщиной беспорядочной половой жизни;
- курение;
- наличие в крови пациентки папилломавируса, проявляющегося появлением на теле папиллом, либо остроконечных кондилом на половых органах;
- ранее начало сексуальной жизни;
- отсутствие родов или осложненный родовой процесс;
- аборты, выкидыши в анамнезе.
Мазок на атипичные клетки также необходим в том случае, если у женщины есть генетическая предрасположенность к раку шейки матки. То есть, если у мамы, тети, сестры или бабушки пациентки были выявлены раковые клетки, пробу необходимо проводить регулярно. И даже если они не переросли в полноценную раковую опухоль, мазок на АК с шейки матки крайне необходим.
к оглавлению ↑
Как проводится забор материала?
Процедура проводится в кабинете врача, женщина при этом находится на гинекологическом кресле. С помощью специального инструмента врач расширяет цервикальный канал, чтобы получить доступ до шейки матки. Перед забором мазка на раковые клетки гинеколог тщательно изучает шейку детородного органа визуально.
При наличии подозрений на развитие патологических процессов в тканях маточной шейки ее поверхность обрабатывается уксусным раствором. После этого, при помощи кольпоскопа, гинеколог рассматривает обработанные участки. Если они побелеют, значит, есть необходимость в проведении цитологического исследования на атипичные клетки.
Как это происходит? Скажем сразу: процедура совершенно безболезненная, но может быть неприятной, немного дискомфортной. Длится она буквально несколько секунд – гинеколог, с помощью стерильного инструмента, проводит по поверхности пораженных участков эпителия.
Затем образец ткани помещается в стерильную капсулу и плотно закрывается. Вот и все – процедура взятия мазка на атипические клетки с шейки матки завершена. Остальное сделают работники лаборатории, которые детально изучать полученный биоматериал под микроскопом.
Приблизительное время подготовки результатов исследования – 1 месяц. Хотя, конечно, все зависит от того, где проводится процедура, и каким именно методом.
к оглавлению ↑
Мазок на цитологию: как трактовать результаты?
Расшифровка мазка на атипичные клетки проводится гинекологом в присутствии самой пациентки. Важно учитывать, что не всегда результаты получаются достоверными – иногда женщине приходится проходить манипуляцию повторно. В этом случае забор образца проводится спустя 2 – 3 месяца после первой процедуры.
На заметку. Даже если в мазке были обнаружены атипичные клетки, это не обязательно подразумевает рак. Подобное наблюдается при миоме матки или эндометриозе.
Но если в первом случае бояться нечего (миома – доброкачественная опухоль, которая успешно лечится), то во втором бояться есть чего.
При отсутствии лечения эндометриоз вполне может перейти в рак, и это является самым опасным его осложнением.
Так, как проводится расшифровка результатов мазка на атипические клетки? Есть только 2 варианта:
- результат положительный;
- результат отрицательный.
В принципе, некоторые клиники имеют свою схему трактовки данных теста. Она заключается в том, что при отрицательных результатах теста клиника просто не выдает никаких заключений. Иными словами, отсутствие результата приравнивается к тому, что признаков атипии нет.
Теперь остановимся более подробно на том, как трактуются данные исследования.
- Атипичные клетки в мазке на цитологию присутствуют. Это значит, что результат положительный. Помимо этого, лаборантом обязательно указывается степень дисплазии матки, а вот дальнейшие рекомендации относительно лечения и прочих мероприятий дает уже гинеколог.
- Отсутствие АК в образце материала. Атипические клетки не обнаружены – что это значит? Если пациентка получила такой результат анализа мазка на цитологию, значит, она может быть полностью спокойна: у нее нет предпосылки к развитию онкологического процесса на данный момент. Но поскольку поведение таких структур непредсказуемо, и они вполне могут появиться в будущем, то контролировать состояние матки нужно постоянно.
Есть еще один вариант результата теста на цитологию – атипические клетки плоского эпителия неясного значения.
Это значит, что выявленные структуры не являются типичными для шейки матки, но при этом, не указывают на наличие онкологического или диспластического процесса на данный момент.
Однако стоит принять во внимание подобное отклонение, поскольку ни один врач не сможет дать гарантий относительно того, что рано или поздно выявленные клетки не переродятся в злокачественные, а из них не сформируется раковая опухоль.
Таким образом, можно сделать вывод из того, что это значит, если изученный материал оказался без признаков атипии. Это самый благоприятный для женщины «вердикт, поскольку он прямо указывает на отсутствие риска развития онкологии матки или ее шейки.
Но это не значит, что можно на годы забыть о визите к гинекологу. Напротив, нужно регулярно, каждые полгода, проходить гинекологическое обследование с обязательным проведением цитологического исследования.
Выявление атипичных клеток – не приговор, особенно на ранних стадиях. В этом случае прогноз будет максимально благоприятным.
А вот при позднем обнаружении таких структур прогнозы резко ухудшаются, причем, не только на выздоровление, но даже на жизнь.
Цитограмма воспаления — что это значит, причины, разъяснение терминов и лечение

Цитограмма в гинекологии — это цитологическое исследование цервикального мазка, а если сказать проще — анализ «отпечатка» с шейки матки для определения состояния клеток ее поверхностного слоя — эпителия.
Другое название анализа — онкоцитология или цитология. Выполняется с целью выявления предрака и рака шейки матки.
Для справки: существует около 80 признаков атипичной (раковой) клетки, но в основном цитологами используется 10 из них.
Но иногда результат звучит для пациентки не совсем понятно — «цитограмма воспаления с реактивными или дегенеративными изменениями эпителия»… Что это значит и как лечится? Это 2 тип мазка по Папаниколау (Пап-тест), 2 класс — ASCUS — atypical squamous cell undetermined significance.
Если говорить по-русски, то обнаружены клетки неопределенного значения, наиболее характерные для воспалительного процесса. Обычно при такой расшифровке еще встречается упоминание о значительном количестве лейкоцитов. То есть все что требуется от женщины — пройти противовоспалительное лечение, только не народными средствами.
Какое именно? Зависит от инфекционных возбудителей и симптоматики.
Иногда одной цитограммы не достаточно, чтобы назначить лечение. И тогда врач берет мазок для культурального исследования. Это когда в лабораторных условиях «выращивают» микроорганизмы, находящиеся в мазке. Это занимает несколько дней.
Как лечить воспаленную шейку
Если это вагинальный кандидоз (молочница), то потребуется местное лечение противогрибковыми препаратами, например, «Клотримазолом». Также против молочницы используются лекарственные средства с действующими веществами: изоконазол, миконазол, натамицин, нистатин.
Если это бактериальный вагиноз, в мазках из цервикального канала обнаружены ключевые клетки, кокковая флора, то назначат антисептические средства вроде «Гексикона» (хлоргексидина), метронидазол или препарат комплексного действия — «Тержинан».
Если обнаружен урогенитальный трихомониаз назначаются препараты группы нитроимидазолов: Метронидазол, Тернидазол, Неомицин, Нистатин.
При хламидийном цервиците принимают тетрациклин, доксициклин и или эритромицин внутрь.
При актиномикозе, спровоцированном ношением внутриматочной спирали (ВМС), необходимо сначала удалить внутриматочный контрацептив. А далее, есть варианты. Это могут быть антибиотики пенициллинового ряда:
- тетрациклины;
- цефалоспорины (цефаклор, цефалексин);
- аминогликозиды (амикацин, гентамицин, тобрамицин).
Антибактериальные препараты широкого действия:
- метронидазол (метрогил, трихопол, эфлоран);
- клиндамицин (далацин, климицин, клиндамицин).
Отлично помогают следующие лекарственные средства:
- ко-тримоксазол;
- сульфадиметоксин;
- сульфакарбамид.
В случае обострения генитального герпеса, врачи рекомендуют провести местную терапию препаратами:
- «Ацикловир»;
- Фамцикловир;
- Валацикловир.
Если рецидивы заболевания частые, эти же лекарства назначаются в виде таблеток для приема внутрь.
Если в соскобе был обнаружен ВПЧ (вирус папилломы человека), особенно если это онкогенные типы (HPV 16, 18, 31, 33, 39, 50, 59, 64, 68, 70), женщине рекомендуют сдавать цитограмму раз в 3-6 месяцев.
К сожалению, лечения ВПЧ не существует. Но в течение 1-2 лет после манифестации заболевания иммунитет перебарывает вирус, и тот перестает негативно влиять на шейку. Главное, продержаться эти несколько месяцев.
При атрофическом кольпите (атрофический тип мазка, АТМ) лечение проводится антибактериальными средствами, обычно комплексного действия, а в дальнейшем женщине назначают заместительную гормональную терапию (ЗГТ) при необходимости и в случае отсутствия для нее противопоказаний.
Причины воспалительного типа мазка (ВТМ)
- Инфекции и грибковые заболевания:
- трихомониаз;
- кандидоз;
- хламидиоз;
- актиномикоз;
- генитальный герпес;
- ВПЧ.
- Атрофический вагинит.
- Лучевая терапия (поражение радиацией).
- Беременность.
- Воздействие некоторых медикаментов.
- Внутриматочная спираль (ВМС).
Может ли быть причиной отклонений не инфекционный процесс, а предрак или рак? Как мы уже ранее говорили, при таком виде заключения врачи называют клетки «неопределенными».
Пока не совсем понятно — пройдет это самостоятельно после лечения или это все-таки предрак и необходимо удаление патологических участков шейки матки.
Если цитологическое исследование, соскоб выявил у вас ВТМ, необходимо проконсультироваться у врача относительно санации (лечения инфекции) шейки. После этого, примерно через 3 месяца нужно повторить онкоцитологию (лучше жидкостную цитологию) и если мазок вновь не будет в норме (не nilm), назначается кольпоскопия и дальнейшее обследование.
Расшифровка терминов из цитограммы
Вы можете прочитать в своем заключении следующие термины.
Койлоциты — измененные клетки, характерны для ПВИ или ВПЧ (вируса папилломы человека), подробно о них мы писали здесь.
Нейтрофилы — разновидность лейкоцитов.
Дискератоциты — как и койлоциты являются признаком ПВИ.
Экзоцервикс — слизистая вагинальной части шейки матки.
Эндоцервикс — ткань (слизистая) непосредственно цервикального канала.
Гиперкератоз — ороговение эпителия шейки матки. Многие считают это предраковым состоянием, однако это не так.
Если такое слово присутствует в вашей цитограмме, необходимо сделать кольпоскопию, и если врач найдет участок на шейке с предположительно атипичными клетками, то возьмет оттуда прицельную биопсию.
Далее, лечение патологии проводится в зависимости от гистологического результата. В случае имеющегося воспалительного процесса, все это необходимо делать после лечения.
Лейкоциты — клетки в большом количестве указывающие на воспаление. В идеале, сначала врачи должны брать мазок на степень чистоты из влагалища и только потом цитологический, так как последний информативен именно при здоровой флоре.
Эритроциты — клетки крови. Если они есть в результатах вашего мазка, то это значит, при заборе материала был поврежден маленький сосудик. Когда слизистая шейки воспалена, такое нередко бывает.
Элементы воспаления — признаки воспаления.
Смешанная флора — в микрофлоре влагалища присутствуют как безобидные микроорганизмы, так и болезнетворные и условно-патогенные. При большом количестве лейкоцитов требуется лечение.
Палочковая флора — это абсолютная норма. Микрофлора влагалища в порядке.
Реактивный генез — бояться слова «реактивный» не стоит. Это не значит «быстрый», «скорый» и подобное. Это не рак и не предрак. Это синоним слова «реакция». То есть реакция клеток на инфекцию.
Эктопия — еще ее называют эрозией (что не верно), псевдоэрозией, эндоцервикозом, границей или зоной трансформации. Это стык двух видов эпителия — многослойного, расположенного на вагинальной части шейки матки или цилиндрического — клеток цервикального канала. На протяжении жизни женщины эта граница мигрирует и с возрастом уходит внутрь шейки.
Эндоцервицит — воспаление слизистой цервикального канала.
Атипия — клеточные изменения. Могут быть как при онкологии, так и воспалительных реакциях. ASCUS — это как раз означает наличие клеток неопределенного значения.
Анаэробные клетки — бактерии, вызывающие болезнь
Атрофический тип мазка — так проявляется недостаток эстрогенов в организме. Актуально для периода менопаузы. Слизистая шейки легко травмируется, тонкая, кровит.
Эстрогенный тип мазка — норма для женщин репродуктивного возраста.
HPV — вирус папилломы человека или папилломавирусная инфекция. При плохой цитограмме обычно выявляются ее онкогенные штаммы — ВПЧ 16 и 18 типа.
