Лечение воспаления десны около зуба

Слизистая оболочка ротовой полости подвержена воздействиям патогенных микроорганизмов, вызывающих воспалительные процессы мягких тканей. Это приводит к покраснениям, отечности и болезненности десен, отрицательно влияет на физическое состояние и портит эстетический вид улыбки.
Причины воспаления десны около зуба
Воспаление десны возле зуба появляется вследствие множества причин. Они спровоцированы местными и системными факторами. К местным факторам относят:
- механическое повреждение десен во время гигиенических процедур;
- наличие зубного камня;
- прорезывание третьих моляров;
- кариес и пульпит;
- некачественная гигиена ротовой полости;
- протезирование зубов;
- воспаление десны после лечения зуба.
Болезненность десны под зубом может возникнуть из-за зубного корня, пораженного кариесом или пульпитом. Причиной того, что после лечения зуба воспалилась десна, может быть некачественная пломбировка и повреждение каналов.
Провокаторы системного характера:
- сахарный диабет;
- болезни желудочно-кишечного тракта;
- сбои в работе гормональной системы;
- реакция на прием лекарственных препаратов;
- сниженный иммунитет.
Воспаление десны около зуба развивается также из-за аллергических реакций или неправильно подобранных средств по уходу за ротовой полостью.
Симптомы воспаления десны
Симптомы воспалившейся десны носят выраженный характер и проявляются в зависимости от факторов, спровоцировавших патологический процесс.
Общая симптоматика проявляется отёчностью и гиперемией мягких тканей, болезненностью при пережевывании пищи.
К другим симптомам относят:
- появление неприятного запаха из полости рта;
- кровоточивость;
- нарушение целостности зуба;
- наличие гнойного процесса над зубом;
- повышение температуры тела;
- появление белого налета на деснах;
- повышенная чувствительность зубов.
Локализация очагов повреждения разнообразна. При стоматологических патологиях наблюдается воспаление нижней десны в области передних зубов или за передними верхними зубами, а также в области моляров.
Отсутствие терапии поврежденной слизистой межу зубами может привести к образованию глубоких десневых карманов, что ведет к рискам обнажения шейки зуба и его потере.
Виды воспалительных заболеваний десен
Воспаление десен провоцируют различные патологические процессы ротовой полости, которые по этиологическому принципу разделяют на группы:
- Поражение мягких тканей травматического характера, вызванные механическими, физическими или химическими травмами.
- Заболевания слизистой оболочки рта инфекционного или грибкового характера:
- пародонтит;
- гингивит;
- стоматит;
- периостит.
Гингивит
- Болезни ротовой полости, вызванные специфическими инфекциями.
- Поражение слизистых оболочек рта, обусловленные аллергическими реакциями.
Что делать при воспалении десны в домашних условиях?
Что делать в домашних условиях, когда воспалилась десна около зуба? Прибегнуть к использованию подручных средств: аптечных мазей и гелей, растворов для полоскания, рецептов народной медицины.
Полоскания десен
Если воспалились десна между передними зубами или же в другом сегменте зубного ряда, первым действенным методом лечения в домашних условиях считается применение полосканий. Наиболее популярные средства для снятия отека и боли при различных стоматологических заболеваниях в домашних условиях:
- Хлоргексидин – средство в виде раствора для полоскания. Применяется для дезинфекции ротовой полости от вредоносных бактерий. Для борьбы с воспалением мягких тканей ополаскивать рот нужно 4-6 раз в сутки.
- Фурацилин – антибактериальный препарат в форме таблеток, применяемых для приготовления раствора. Для достижения необходимого эффекта нужно развести одну таблетку фурацилина в 200 мл горячей воды и дождаться ее полного растворения. Полоскать полость рта каждые 2-3 часа.
- Ротокан – средство на основе растительных компонентов с противовоспалительным и антимикробным действием. Для приготовления раствора 1 ст. л. концентрированного вещества разводят в 1 стакане воды и ополаскивают десна 3 раза в сутки.
- Стоматофит – препарат, созданный на основе концентратов лекарственных растений. Чтобы снять воспаление десен в домашних условиях, нужно ополаскивать их приготовленным раствором в соотношении 2 ст. л. препарата на 50 мл воды. Ополаскивать полость рта 4 раза в сутки.
Мази и гели
Лечить воспаление десен в домашних условиях можно с помощью стоматологических гелей и мазей.
| Пародонтоцид | Содержит в составе эфирные масла лекарственных растений. Наносится на десна тонким слоем или применяется в качестве аппликаций 2–3 раза в сутки в течение 7–10 дней. |
| Холисал | Гель снимает отечность и покраснение, уменьшает боль.Применяется 2–3 раза в сутки в течение 5–7 дней. |
| Метрогил дента | Противомикробное действие препарата достигается благодаря наличию в составе Метронидазола и Хлоргексидина. При домашнем лечении воспаленных тканей гель наносят тонким слоем на слизистые 2 раза в сутки в течение 7–10 дней. |
Мази создаются на жирной основе, в отличие от гелей, имеющих основу водную, поэтому хуже всасываются в ткани и характеризуются замедленным действием. В связи с этим мазь рекомендовано применять в качестве аппликаций.
Наиболее популярны при домашнем лечении стоматологических патологий следующие мази:
- Траумель С – многокомпонентный гомеопатический препарат, имеющий в составе экстракты календулы и эхинацеи. Мазь применяется 2 раза в сутки. Длительность лечения составляет 3–4 недели.
- Гепариновая мазь – комбинированный препарат с противовоспалительным действием. Мазь снимает отечность десен и выступает в роли анестетика. Для достижения эффекта средство втирают в мягкие ткани 2 раза в сутки.
Лечебные зубные пасты
Лечение воспаления десен вокруг зуба в домашних условиях осуществляется также с помощью правильно подобранной зубной пасты с противовоспалительным эффектом.
Наибольшее количество положительных отзывов после применения получили следующие зубные пасты:
- Lacalut active – имеет в составе хлоргексидин, аллантоин и бисабол, которые уменьшают отек и обладают антисептическими свойствами.
- Parodontax – состоит из растительных компонентов и минеральных солей. Применение пасты способствует уменьшению отечности и воспаления.
- President Exclusive – содержит антисептик гексетидин, экстракты тимьяна и прополиса. Пасту рекомендовано применять в течение 2 недель до исчезновения основных симптомов болезни.
Рецепты народной медицины
Чем лечить воспаление слизистой в домашних условиях, помимо применения лекарственных средств? Использовать рецепты народной медицины. Наиболее эффективными при домашнем лечении считаются:
- Полоскание раствором ромашки.
1 ст. л. сухих цветков растения залить 1 стаканом воды. Поставить раствор на медленный огонь и прокипятить в течение 10 мин. Полученную жидкость процедить и ополаскивать полость рта 3 раза в сутки ежедневно.
- Раствор из зверобоя для полосканий.
2 ст. л. сухой измельченной травы залить 2 стаканами горячей воды и прокипятить в течение 10 мин. Раствор процедить и ополаскивать десна 2–3 раза в день.
Несколько листиков алое измельчить в кашицу. Полученную смесь наложить на стерильный бинт и прикладывать к воспаленным участкам десен утром и вечером.
- Полоскания раствором из соды и соли.
Соединить в одинаковых пропорциях соль и соду. Добавить в стакан с водой. Ополаскивать десна 3–5 раз в день.
Витамины
Лечение воспаления десен зубов в домашних условиях необходимо дополнять приемом витаминных комплексов, поддерживающих состояние полости рта и восполняющие недостающие в организме компоненты.
Воспаление мягких тканей может быть спровоцировано нехваткой витаминов А, D, PP и микроэлементов – фосфора и кальция, поэтому к употреблению рекомендованы комплексы, имеющие в составе данные элементы. А именно:
- Комплекс Асепта;
- Calcium Osteoporosis;
- Кальцинова;
- Аскорбиновая кислота.
Массаж десен
Когда воспаляются десна, в домашних условиях можно применять различные техники массажа для ускорения кровообращения и питания тканей.
Выделяют такие виды массажа десен:
- массаж с помощью зубной щетки;
- массаж пальцами.
Массаж зубной щеткой нужно проводить во время чистки зубов. Движения на нижней челюсти осуществляется снизу-вверх, на верхней – сверху-вниз, затрагивая также края десны.
При массаже с помощью рук задействованы большой и указательный пальцы. Начинать движение нужно от крайних жевательных моляров и постепенно продвигать пальцы к передним резцам. Движения осуществляются с помощью 4 способов, которые необходимо чередовать:
- поглаживание;
- растирание;
- выжимание;
- сдавливание.
Повторять массаж следует ежедневно в утреннее или вечернее время.
Лечение воспаления десен в стоматологии
В условиях стоматологической клиники для лечения воспаления десны вокруг зуба врач подберет лечение с использованием медикаментозной терапии или хирургического вмешательства.
Медикаментозные средства
Если воспалилась десна, назначают антибиотики для остановки развития интоксикации организма. В стоматологии применяются:
- Флемоклав;
- Амоксиклав;
- Ципрофлоксоцин;
- Линкомицин;
- Метронидазол;
Чем снять воспаление десны около зуба, помимо антибиотиков? Применяются нестероидные противовоспалительные препараты, выступающие в роли анальгетиков. К ним относят:
- Кетопрофен;
- Нимесулид;
- Ибупрофен;
- Метамизол-натрий;
- Кеторолак.
Хирургическое лечение
Основным показанием для проведения хирургического лечения является обнажение шейки зуба, ставшее следствием длительного воспаления мягких тканей. Операция позволит закрыть прикорневую часть зуба, очистить десневые карманы и остановить процессы гниения в случае их наличия.
В стоматологической практике используют методы хирургического лечения:
- Лоскутная операция проводится при запущенных формах пародонтита, когда появляются риски потери зубов. Методика заключается в отсечении пораженных участков тканей, что дает возможность удалить бактериальные отложения в пародонтальном кармане, обеспечивая плотное прилегание десны к зубу в дальнейшем.
- Иссечения капюшона применяется при затруднительном прорезывании зубов мудрости, которое провоцирует воспаление тканей. В ходе операции область десны растущего зуба надрезают, что приводит к облегчению прорезывания и устранения болевых ощущений.
- Метод открытого кюретажа применяют при лечении пародонтита. Он осуществляется путем глубокой чистки пародонтальных карманов. Операция позволяет очистить пораженные участки от грануляций, вредоносных бактерий, отложений зубного камня.
Прогноз и осложнения
При условии соблюдения всех рекомендаций стоматолога и применения медикаментозной терапии, заболевания полости рта имеют благоприятный прогноз.
Длительный воспалительный процесс без своевременного лечения приводит к развитию осложнений:
- расшатывание и потеря зубов;
- развитие гнойного процесса;
- риск инфицирования зубных корней.
Профилактика воспалительных заболеваний десен
Для профилактики болезней ротовой полости достаточно придерживаться рекомендаций по уходу за состоянием ротовой полости:
- регулярная гигиена полости рта с применением зубных нитей и щетки;
- своевременная санация ротовой полости;
- ведение здорового образа жизни;
- полноценный рацион питания;
- прием витаминных комплексов для поддержания организма.
Воспалительные процессы мягких тканей являются следствием ослабленного иммунитета и нарушения правил гигиены по уходу за полостью рта. Применение средств по устранению отека и боли в домашних условиях облегчат состояние и ослабят симптомы, но не гарантирует решение проблемы. Грамотное лечение назначается стоматологом в условиях клиники.
- Дмитриева Л.А. — Современные аспекты клинической пародонтологии, М., 2001.
- Грошиков М.И., Патриков В.К. — Учебное пособие по терапевтической стоматологии, М. 1992.
- Gaurav, Solanki and Renu Solanki — Dental Plaque Forming Bacteria’s Characterization and Stress Responses — М.: LAP Lambert Academic Publishing, 2012.
- Лукиных Л.М. – Заболевания слизистой оболочки полости рта, Н. Новгород: Издательство Нижегородской Государственной Медицинской Академии, 2000.
- Пахомов Г.Н. — Первичная профилактика в стоматологии, М., Медицина, 1982.
- Курякина Н.В. — Терапевтическая стоматология детского возраста, – Медицина, 2004.
- Т. Г. Робустова, В. В. Афанасьев [и другие] — Хирургическая стоматология / 4—е изд., М. : Медицина, 2010.
- Г. М. Барер, Е. В. Зорян. — Рациональная фармакотерапия в стоматологии, М. : Литтерра, 2006.
Отек десны: причины, методы устранения отечности и возможные последствия (115 фото)

Существует множество проблем, которые могут возникнуть в полости рта. Очень часто люди сталкиваются с кариесом, зубной болью и проблемами с деснами.
Уходу за зубами традиционно посвящается большое количество времени, а вот десна, как правило, обделены вниманием. Из-за этого может возникнуть кровоточивость и опухание десны, которые опасны осложнениями. Разберемся, что делать, если появился отёк десны.
Причины отёка
Десна, которые увеличены в объемах, могут сигнализировать о начальной стадии некоторых заболеваний. Специалисты рекомендуют обратиться за медицинской помощью с целью установления точного диагноза.
Болезни полости рта в запущенной стадии могут привести к тяжелым последствиям, вплоть до потери зубов. Воспаления во рту также сказываются на состоянии всего желудочно-кишечного тракта.
Причины появления отёков десны могут быть совершенно разными. Многое зависит от образа жизни человека, а также от сопутствующих заболеваний.
Среди возможных предпосылок к формированию отёка врачи, в первую очередь, выделяют воспалительный процесс. У каждого человека в слюне живёт несколько тысяч бактерий, которые в норме абсолютно безвредны для здоровья.
В период сильного стресса и простудных заболеваний иммунная система может дать сбой. Тогда организм перестает бороться с болезнетворными микробами, и в результате возникает опухание десны. На фото показано, как выглядит отёк.
Еще одной распространенной причиной появления отёка является травма. При неаккуратном использовании зубочистки на десне остаются небольшие ранки, в которые может попасть инфекция. Поэтому следует позаботиться о профилактике воспалительных процессов.
Воспаление в ротовой полости может также указывать на начальную стадию пародонтоза. Часто такое состояние не проходит в течение нескольких недель. В таком случае следует немедленно обратиться к стоматологу.
Последствия
Многих людей интересует вопрос, чем опасны отёки десен. Если воспаление вызвано серьезным заболеванием, то отсутствие лечения приведет к расшатыванию и потере зубов.
Кроме того, очаг инфекции может разрастаться и захватывать слизистую оболочку. Болезнетворные бактерии с пищей и слюной могут попасть в желудок и вызвать нарушения в работе желудочно-кишечного тракта.
Лечение отёка десны
Рассмотрим подробнее, как правильно лечить отёки десны.
На начальной стадии помогут полоскания полости рта лечебными растворами. Для этого можно использовать любое антисептическое средство, растворенное в небольшом количестве воды.
Народные и медицинские препараты от отёков можно использовать без рецепта врача, так как эти процедуры в большинстве случаев не нанесут вред здоровью.
При возникновении серьёзного воспаления потребуется вмешательство врача. Специалист сделает прокол, выведет из раны гной и лишнюю жидкость, а затем тщательно промоет очаг воспаления. Эта процедура должна проводиться в стерильных условиях, так как повторное попадание инфекции в рану может привести к печальным последствиям.
Среди лекарственных препаратов чаще всего используются Мирамистин и Хлоргексидин. Эти средства эффективны против большинства бактерий, вызывающих воспаление. Специально для полости рта фармацевтические компании производят Стоматофит. Это средство безопасно при случайном проглатывании небольшого количества жидкости.
Другие препараты
Ускорить процесс выздоровления помогут препараты против аллергии. К антигистаминным средствам относятся Супрастин и Лоратадин. Перед применением необходимо ознакомиться с противопоказаниями и возможными побочными эффектами.
Народная медицина
Лучшие методы, как снять отёк десны, относятся к народной медицине. Эти средства безопасны для здоровья, так как полностью состоят из натуральных продуктов.
Для устранения воспаления в полости рта хорошо подойдут полоскания отваром лекарственных трав. Шалфей, кора дуба и ромашка успокаивают опухшие десна. Кроме того, можно приготовить настой календулы, который так же хорошо снимет отёк.
При сильной боли поможет алоэ. Это растение содержит большое количество полезных микроэлементов, которые легко справятся с инфекцией.
Еще одним средством является использование прополиса. Этот продукт пчеловодства обладает уникальными заживляющими свойствами.
Для того, чтобы предотвратить заболевания полости рта, необходимо чистить зубы два раза в день и регулярно посещать стоматолога. При появлении воспаления нужно как можно скорее устранить причину отёка, чтобы не допустить формирование осложнений.
Фото отека десны
Помогите проекту, поделитесь обзором
Как самостоятельно вылечить воспаление дёсен: причины и симптомы заболевания, лечение в домашних условиях

Воспаление дёсен — довольно распространённое заболевание, встречающееся и у взрослых, и у детей. Сегодня многие жалуются на повышенную чувствительность и кровоточивость дёсен. Когда дёсны воспаляются и кровоточат, то настроение падает «ниже плинтуса». И есть из-за чего.
Мало того, что улыбка при воспалённых дёснах выглядит, мягко говоря, непривлекательно. Так, ещё и болезненные ощущения, и запах изо рта. И зубная боль может случиться.
С чего уж тут хорошему настроению быть? А как подумаешь, что воспаление дёсен может привести к потере зубов, так и совсем тоска одолевает.
Воспаление дёсен
Если вы почувствовали, что появились отёк дёсен, боль, кровь, болезненные ощущения при приёме твёрдой, горячей или холодной пищи, а иногда и нагноение у основания зубов или их шатание — признак одного из воспалительных заболеваний ротовой полости.
Гингивит — начальный этап воспаления поверхности слизистой деснёвых сосочков между зубами или края десны у зуба. Он проявляется в виде повышения чувствительности, появления болей, покраснения, отёка и кровоточивости дёсен, иногда боль отдаёт в висок или ухо.
Причиной может стать повреждение слизистой при еде, чистке зубов, травмирующей установке пломб, протезов, коронок или брекетов. Может проявиться у имеющих неправильный прикус или короткую уздечку губы.
Гингивит — достаточно распространённое заболевание, к лечению которого нужно подойти серьёзно. Если не лечить гингивит, он может перейти в более серьёзное заболевание пародонтит.
Гингивит может возникнуть как сопровождающее основного заболевания, которое и следует лечить в первую очередь.
Встречается также гингивит беременных, который может сопровождаться опуханием дёсен, кровоточивостью, появлением гноя и запахом из ротовой полости. Могут появиться болезненные язвочки и подняться температура.
Гингивит у детей возникает, если не соблюдаются правила гигиены рта или травмируются слизистые в ротовой полости, в результате чего в неё попадают микробы, вызывающие воспаление. Причиной может стать также недостаток витаминов и минералов в организме и при прорезывании зубов. Лечат детский гингивит так же, как и у взрослых, но более щадящими способами.
Пародонтит
Пародонтит обычно считают запущенным гингивитом. Он сопровождается подвижностью зубов, появляются пародонтальные карманы с вытекающим гноем, кость вокруг зубов атрофируется, пародонтит проникает в кость, а корни оголяются. Если не провести своевременного лечения, со временем зубы выпадут.
При этих заболеваниях воспаление дёсен возникает в районе или одиночных, или всех зубов.
Пародонтоз
Пародонтоз возникает как результат незначительной или неравномерной нагрузки на зубы. Сопровождается небольшим кровотечением, обычно без болей, и небольшим количеством зубного камня. Развивается медленно, но при отсутствии лечения приводит к пародонтиту. Чаще всего встречается у пожилых людей.
При пародонтозе рекомендуется проводить массаж дёсен и включить в питание твёрдые орехи, овощи и фрукты, чтобы увеличить нагрузку на жевательный аппарат.
Кровоточивость дёсен самостоятельным заболеванием не является. Чаще всего наблюдается при чистке зубов как один из симптомов гингивита или пародонтита.
Если дёсны опухают при периодонтите, который вызывает инфекция в каналах зуба, воспаление дёсен лечить бесполезно. Необходимо пломбировать корневые каналы.
При травмах дёсен в результате неправильной, травмирующей их установки пломб, коронок, протезов или брекетов в первую очередь следует обратиться к стоматологу, чтобы устранить причину. Без этого лечение дёсен не будет эффективным.
Причины воспаления дёсен
Обычно различают внутренние и внешние причины возникновения воспаления дёсен. К внешним причинам как результату воздействия относят:
- плохую гигиену ротовой полости или полное её отсутствие или неправильный уход за нею;
- наличие зубного камня;
- неправильную установку пломб, зубных коронок, протезов брекетов;
- неправильный прикус;
- курение.
Внутренними причинами являются:
- заболевания внутренних систем и органов (ЖКТ, сердечные, гематологические, сахарный диабет и пр.);
- иммунодефицит;
- недостаток витаминов в организме;
- принимаемые лекарственные препараты;
- генетические проблемы;
- иногда беременность.
То есть чаще всего воспаление дёсен связано с инфицированием зубов или другой патологией человеческого организма. Оно может привести к серьёзным осложнениям и нарушениям в организме.
Возможности лечения в домашних условиях
Воспаление дёсен можно лечить, используя разные способы. В любом случае, чтобы не навредить здоровью и предупредить развитие более серьёзных заболеваний, прежде чем начинать лечение, необходимо обратиться к стоматологу для определения диагноза.
В серьёзных случаях врач назначит лечение, в сочетании с которым дополнительные домашние средства обеспечат хороший эффект.
В более простых случаях достаточно применять в домашних условиях средства, обеспечивающие противовоспалительное, антисептическое, противоотёчное и обезболивающее воздействие.
Говоря о способах лечения дёсен дома, различают лечебные средства аптечные (медикаментозные) и народные.
Аптечные средства
К аптечным средствам относят полоскания, спреи, аппликации, зубные пасты и гели. Все аптечные препараты снабжаются инструкцией по применению, которую необходимо соблюдать и следовать рецептуре приёма, чтобы получить нужный результат.
Современная фармакология создала на основе целебных природных средств и лекарственных растений натуральные безопасные и эффективные препараты.
При кровоточивости и воспалении дёсен применяют различные аптечные средства, которые купируют воспаление, обезболивают, устраняют кровоточивость, зуд и жжение, снимают отёк и обеззараживают слизистую от микроорганизмов и бактерий.
Антисептические полоскания включают:
- Листерин (2 раза в день по 30с) — одно из наиболее эффективных полосканий.
- Стоматофит (3—4 раза в день 10—15 дней).
- Фурацилин (2—3 раза в день).
- Хлоргексидин (спрей 0,2% при пародонтозе и 0,05% при детском гингивите — после каждой еды до выздоровления).
- Мирамистин (3—4 раза в день).
- Хлорофиллипт (3 раза в день разведённым раствором).
- Ротокан (до устранения воспаления).
- Перекись водорода (раствор 1 ст. л.в 100 мл воды 2 раза в день).
- Малавит (10 кап./ стакан воды для ополаскивания 1 неделю ежедневно).
- «Лесной бальзам»(после каждой еды до исчезновения симптомов).
Эффект лечения ополаскиваниями можно усилить, используя параллельно компрессы и аппликации лечебными пастами, гелями и мазями.
Лечебные гели и мази образуют на слизистой защищающую плёнку. Их наносят на десну по нескольку раз в день, после ополаскивания. Наиболее эффективные средства:
- Парадонтоцит, включающий мяту, гвоздику, шалфей и душицу (серия из раствора для полоскания или спрея, зубной пасты и геля).
- Генгигель с гиалуроновой кислотой для регенерации ткани. Заживление тканей происходит быстрее в два раза, воспаление уменьшается, а кровоснабжение тканей улучшается.
- Стоматофит А — как обезболивающее средство длительного лечебного воздействия.
- Холисал — гель мгновенного действия для втирания в дёсны 2–3 раза в день 5–7 дней, действующий несколько часов.
- Асепта — бальзам с прополисом, обеспечивающий восстановление тканей и устраняющий кровоточивость.
- Метрогил дента — паста (наносят 2 раза в день, очистив рот).
- Солкосерил — гель или мазь (наносят 2—3 раза в день) для скорейшего восстановления слизистой и анестезирования.
- Дентал (наносят массируя, 3—4 раза в день). Снимает боль и лечит.
Специальные зубные пасты также доказали свою эффективность при лечении и профилактике кровоточивости и воспаления дёсен. В их составе экстракты лекарственных трав и противовоспалительные ингредиенты. При воспалении дёсен рекомендуют пользоваться зубными пастами:
- «Пародонтакс»;
- «Лакалут» (серия включает также ополаскивание);
- «ПрезиДЕНТ»;
- «Мексидол дент фито»;
- Зубные пасты с маслом чайного дерева.
Лечебные зубные пасты не рекомендуется применять дольше одного месяца, по истечении его следует сделать перерыв.
Народные средства для лечения
Чтобы получить действительно положительный лечебный эффект и болезнь не прогрессировала, перед тем, как определиться, чем лечить воспаление дёсен в домашних условиях, рекомендуется обратиться к специалисту не только для установления диагноза, но и при необходимости, сделать чистку, снять зубной камень и получить основные назначения.
Как правило, применение народных средств имеет многовековой опыт. Лекарственные растения как в чистом виде, так и в сочетании с другими растениями всё чаще используют для профилактики и лечения заболеваний разной этимологии. Важным преимуществом лекарственных растений является их небольшая токсичность и отсутствие побочного воздействия в большинстве случаев.
Как правило, потребуется приготовить настой, отвар или спиртовую настойку на основе лекарственных растений для полоскания ротовой полости, приготовления компрессов или лечебных аппликаций.
Лечебные травы обладают антибактериальными (календула, ромашка), противовоспалительными и обезболивающими (шалфей, тысячелистник), вяжущими и укрепляющими (кора дуба, зверобой) свойствами.
При простом воспалении может быть достаточно полоскания отваром или настоем. Но травяные настои хранятся недолго, их желательно готовить ежедневно. Наиболее эффективны и безопасны шалфей, кровохлёбка, тысячелистник, ромашка, аир, кора дуба, щавель, зверобой, липовый цвет, календула, эвкалипт и многие другие.
Ниже приводятся несколько наиболее простых рецептов лечения дёсен домашними средствами.
- Алоэ. Лист алоэ хорошо вымыть, обрезать колючки, разрезать вдоль и накладывать 5–7 раз/день на дёсны.
- Морская соль. Растворить 1 ст. л. в стакане воды и периодически ополаскивать рот.
- Дубовая кора. Две ст. л. коры дуба прокипятить 10 мин. в 0,5 л воды, настоять 10 мин. Под крышкой, процедить, остудить и полоскать рот 2—3 раза в день по 0, 5 стакана отвара. Долго применять не рекомендуется, так как начинают темнеть зубы.
- Перекись водорода 6%. В 1 стакане кипячёной воды развести 1 ст. л. 6% перекиси водорода и полоскать раствором рот 5 дней несколько раз в течение дня.
- Календула. Одну ложку цветов календулы настоять в 200 мл кипятка 30 мин. и ополаскивать рот.
- Ромашка. Две ложки цветов заварить в 1 ст. кипятка, настоять 30 мин. И ополаскивать рот.
- Шалфей. Одну ложку цветов залить 1 ст. кипятка, остудить и ополаскивать рот после приёма пищи.
- Зверобой. Одну ложку травы зверобоя настоять в 1 ст. кипятка 30—40 минут или развести в воде спиртовую настойку и полоскать рот.
- Тысячелистник. Кипятить 15 минут 2 ложки цветов в 0,5 л воды, процедить отвар и делать ванночки во рту в течение дня.
- Подорожник. Летом, хорошо вымыв листья, можно жевать их, натирать соком дёсна или полоскать рот настоем. Кровоточить дёсна перестают через 3 дня, и их состояние улучшается. Зимой готовят настой из сухих листьев для полоскания.
Первая помощь при воспалении дёсен
В случае сильной боли, для лечения дёсен в домашних условиях до посещения врача, рекомендуется провести полоскание рта растворами:
- марганцовки;
- питьевой соды;
- хлоргексидина;
- фурацилина.
Или использовать мази, которые уменьшат кровоточивость дёсен, окажут антисептическое воздействие и уменьшат боль.
Главное, ни в коем случае не прибегать к радикальным способам самолечения, так как это может стать причиной более серьёзных последствий.
Для того чтобы приостановить распространение воспаления, лучше всего применять различные настои, обладающие противомикробным действием.
В аптеке без рецепта продаются такие высокоэффективные средства, как «Стоматидин», «Мевалекс» и «Гивалекс». Использовать их следует согласно рекомендации, вложенной в упаковку.
- Людмила Петровна Нестеренко
- Распечатать
Что делать, если воспалилась десна: причины, симптомы и лечение

Воспаление десен является распространенной проблемой для людей любых возрастов. С этим заболеванием не стоит шутить – его необходимо лечить незамедлительно, иначе оно может привести к весьма плачевным последствиям, а также стать причиной ряда других заболеваний.
Доктора до сих пор не могут дать однозначного ответа на вопрос, почему происходит воспаление десны около зуба. Причина воспаления десен может таиться как во внешних, так и во внутренних процессах, происходящих в организме человека.
К внешним факторам, провоцирующим проблемы с зубами, относят:
- Недостаточный уход за зоной ротовой полости.
- Пренебрежение процедурой удаления зубного камня и своевременного лечения больных зубов.
- Курение, чрезмерное употребление алкоголя, кофе, черного чая.
- Механические повреждения десны (нарушение процедуры протезирования или лечения зубов, инъекций в десну, неправильное использование зубной нити или слишком жесткой зубной щетки, ожоги в полости рта).
- Прорезывание зуба мудрости.
Причина воспаления десны также может таиться в следующих внутренних процессах:
- Влияние наркотических и других химических веществ на организм.
- Иммунодефицит.
- Недостаток витаминов и других полезных веществ в организме.
- Гормональные сбои (беременность, прием гормональных противозачаточных препаратов).
- Гормональные заболевания (диабет).
- Проблемы с органами ЖКТ.
- Болезни сердечно-сосудистой системы.
- Наследственность.
- Заболевания инфекционного происхождения.
Симптомы заболевания
К основным симптомам воспаления десен относятся следующие проявления:
- Покраснение десен – покраснеть может не только десна возле больного зуба, но и ткани, примыкающие к соседствующим зубам.
- Кровоточивость десен – красный цвет слюны.
- Припухлость.
- Зуд.
- Болезненность при чистке.
- Неприятный запах изо рта.
- Повышенная температура тела.
- Шаткость зубов.
- Образование язвочек во рту.
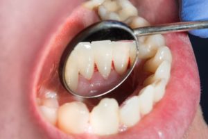
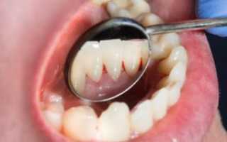
Вот фото больных зубов, наглядно иллюстрирующие воспаленные десна:
Разновидности болезни
Прежде чем лечить воспаление десен, хороший стоматолог должен поставить правильный диагноз. Установление причины воспалительного процесса в дальнейшем будет влиять на тактику лечения и выбор необходимых лекарств.
В стоматологической практике выделяют три типа заболевания:
- гингивит;
- пародонтит;
- пародонтоз.
Подобная градация заболеваний выбрана не просто так. Дело в том, что гингивит — это наименее опасная, начальная стадия воспалительных процессов в полости рта. Пародонтит имеет средний уровень опасности. Пародонтоз же является уже самой сложной, запущенной формой болезни. При диагностировании гингивита лечиться нужно обязательно, но промедление не даст столь тяжелых осложнений. А вот при пародонтозе необходимо незамедлительно предпринимать самые радикальные меры.
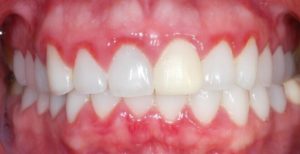
На фото можно увидеть, как выглядят воспаленные десен при каждом из заболеваний:
Проблемы с коронкой
В случае когда воспалилась десна около зуба под коронкой, не стоит пытаться самостоятельно исправить данную ситуацию. Самым правильным решением будет обращение к специалисту, он назначит ее снятие.
Дело в том, что воспаление десны под коронкой в результате неправильной ее установки или нарушения процедуры предварительной очистки каналов невозможно устранить с помощью каких-либо полосканий или лекарств. В данном случае правильнее будет сделать так — снять коронку с больного зуба, тщательно все под ней вычистить и установить ее правильно.
Сразу стоит сказать о том, что адекватное, действенное лечение десен может назначить лишь врач. Так что заниматься самолечением ни в коем случае нельзя.
Традиционные средства
У традиционной медицины есть свой ответ на вопрос, чем лечить воспаление десен. За многие годы развития стоматологии доктора выработали определенную тактику лечения десен:
- диагностировать заболевание;
- выявить причины;
- санировать полость рта;
- снять воспаление;
- устранить сопутствующие симптомы;
- лечить основное заболевание.
Схема лечения
Лечение воспаления десен любой формы и стадии проводится по определенной схеме:
- Полоскание полости рта.
- Использования специального противовоспалительного геля или мази.
- Применение инъекционной терапии.
- Оперативное вмешательство (в случае необходимости).
- Шинирование зубов (подобная процедура проводится не во всех стоматологических клиниках).
Полоскания
Полоскать рот в процессе лечения воспаления десен необходимо для того, чтобы очистить его от остатков пищи и болезнетворных бактерий, способствующих развитию инфекции. Подобная процедура хоть и не способна вылечить болезнь целиком, однако она помогает снять воспаление и покраснение.
Чаще всего доктора рекомендуют полоскать рот на дому следующими препаратами:
- Фурацилин;
- Хлоргексидин 0,05%;
- Мараславин;
- Стоматофит;
- Раствор перекиси водорода;
- Мирамистин 0,01%;
- Пародонтоцид;
- Хлорофиллипт;
- Полиминерол;
- Тантум Верде.
Для того чтобы быстро и эффективно устранить воспаление десны вокруг зуба, необходимо следовать одному золотому правилу – полоскать рот рекомендуется после каждой чистки зубов (2-3 раза в день) минимум на протяжении минуты.
Гели и мази
Применение специальных стоматологических гелей и мазей при лечении воспаления десен на дому позволяет быстро убрать боль, вылечить воспаление, предотвратить распространение инфекции и сменить красный цвет десны на белый.
Использование подобного способа подразумевает наложение аппликаций на десна. Делать такие аппликации необходимо путем втирания средства вокруг зуба с целью дальнейшего его проникновения в пародонтальный карман. Чем дольше препарат будет контактировать с десной, тем более сильным будет эффект.
К самым популярным и проверенным стоматологическим гелям и мазям относятся:
- Холисал;
- Солкосерил;
- Малавит;
- Метрогил дента;
- Дентал;
- Камистад.
Если с препаратами для взрослого больного все понятно, то для многих мам остается открытым вопрос, как снять воспаление десны у их малышей. Для столь специфической категории больных были созданы особые средства:
- Траумель;
- Камистад гель Бэби;
- Холисал детский;
- Калгель.
Зубные пасты
Лечение воспаления десен в домашних условиях нельзя себе представить без назначения специальной лечебной зубной пасты.
Такие пасты способны снять раздражение, обеспечить ускоренный процесс регенерации ткани и антибактериальную защиту.
Но использовать подобный вид пасты регулярно категорически запрещено, ведь в силу постоянного антибактериального воздействия в ротовой полости нарушится микрофлора.
Один курс применения лечебной пасты должен составлять не более 21 дня. После терапии рекомендуется делать перерыв на полгода.
Самыми известными лечебными пастами считаются:
- Лесной бальзам;
- Лакалут;
- Сенсодент;
- Парадонтакс;
- Президент эксклюзив;
- Силка.
Анальгетики
Помимо того, чтобы покраснеть и воспаляться, десна еще может и невыносимо болеть. Порой даже взрослый человек не способен справиться с такой болью самостоятельно. Удалить быстро болевой синдром можно с помощью следующих анальгетиков:
- Парацетамол;
- Ибупрофен;
- Анальгин;
- Кетанов;
- Темпалгин;
- Спазмалгон;
- Пенталгин;
- Солпадеин.
В случае с двумя первыми таблетками можно особо не переживать, а вот касательно остальных средств необходимо быть осторожными. Они обеспечивают довольно сильный эффект, но употреблять их много и часто запрещено.
Антибактериальная терапия
Прежде чем лечить воспаление десен в домашних условиях с помощью антибиотиков, следует сначала испробовать все вышеперечисленные антисептические средства.
Только после того, как убрать воспаление с их помощью не удалось, можно задействовать тяжелую артиллерию.
Также антибактериальную терапию можно применять на начальных стадиях лечения в том случае, когда течение болезни носит слишком интенсивный характер или налицо ее запущенность.
Чаще всего из антибиотиков в стоматологии принято назначать такие препараты:
- Сумамед;
- Метронидазол;
- Линкомицин;
- Аугментин;
- Азитромицин;
- Клиндамицин;
- Левофлоксацин;
- Номицин;
- Офлоксацин;
- Тавридин;
- Сифлокс.
Лечение народными средствами
При подобной проблеме народная медицина может дать бесконечное количество советов.
Самыми действенными народными средствами с быстрым эффектом считаются:
- Ромашка;
- Настойка коры дуба;
- Шалфей;
- Календула;
- Эхинацея;
- Зверобой;
- Имбирь;
- Цветы липы;
- Березовые почки;
- Листья земляники;
- Аир;
- Мята;
- Мед и прополис;
- Душица;
- Сода и соль.
Очень полезна для десен ромашка. Она способна убирать воспаление вокруг зуба и вернуть ему белый цвет. Благодаря таким свойствам ромашка довольно часто входит в состав лечебных и обычных зубных паст.
Сделать настой из ромашки или любого другого растения совсем несложно. Достаточно лишь засыпать в стакан кипящей воды несколько ложек травы и дать ей немного провариться. Далее настой рекомендуется процедить, охладить и прополоскать им рот.
Ромашку и вовсе можно не кипятить, а попросту залить ее цветки кипящей водой – вот почему ее так любят.
А вот настой из коры дуба делается несколько иначе – кору в воде желательно проварить около получаса, а затем дать ей остыть.
Промывать рот необходимо лишь настоями комнатной температуры по 3-4 раза в день. Держать жидкость для полоскания во рту рекомендуется не менее минуты. Если прополоскать ротовую полость горячим настоем, десна может заболеть еще больше и начать ныть.
Дело в том, что бактерии любят тепло и при повышении температуры процесс их размножения только усиливается.
Если воспалилась десна, а под рукой нет лечебных трав и растений, могут пригодиться обычные сода и соль.
Их раствором рекомендуется пополоскать полость рта. Еще некоторые люди предпочитают чистить содой зубы. Дело в том, что сода не только снимает воспаление возле зуба, но и позволяет удалить верхний, загрязненный слой, скопившийся на зубах — так называемый налет.
В результате образования зубного налета и камня десны могут как воспаляться, так и болеть.
Профилактика
Людей чаще всего интересует проблема того, что делать, если воспалилась десна. Но мало кто задумывается над тем, почему она воспалилась, и что необходимо предпринять для того, чтобы такого вообще не случилось. Как известно, лучшим способом избавления от заболевания является его профилактика:
- Регулярная, тщательная чистка зубов (не менее двух раз в день).
- Замена щетки раз в три месяца.
- Отказ от вредных привычек (курение, алкоголь).
- Установка коронки только у проверенного дантиста.
- Своевременное снятие верхнего, поврежденного слоя эмали (налета, камней).
- Регулярное посещение стоматолога с целью лечения зубов.
- Полноценное, правильное питание.
- Обогащение ежедневного рациона большим количеством продуктов, содержащих витамин С.
- Ежедневное употребление в пищу твердых овощей и фруктов, позволяющих обеспечивать дополнительную очистку зубов.
- Использование зубной нити.
Воспаление десны зуба – это не просто неприятное явление. С такой симптоматикой необходимо срочно обращаться к врачу. Дело в том, что от воспаления десен может быть воспаление во всем организме.

