Узи яичек у мужчин: что показывает, как делают, подготовка и расшифровка

статьи: Всего 20-30 лет назад ультразвуковое обследование органов мошонки было недоступно. С появлением современных аппаратов стало возможным оценить все анатомические структуры этого органа. УЗИ яичек у мужчин при самых различных патологиях в мошонке – стандарт в урологической диагностике.
Необходимо отметить, что обследование абсолютно безболезненное и не требует какой–либо особой подготовки. Вся подготовка к УЗИ яичек у мужчин – гигиенические процедуры. Другое дело, если планируется дополнительно исследовать предстательную железу через прямую кишку (ТРУЗИ).
Перед трансректальной ультразвуковой диагностикой нужно сделать очистительную клизму. Яичко — парный мужской железистый орган, овальной формы. Мужскую железу фиксирует семенной канатик. Яичко имеет придаток: головка, тело, хвост. Анатомически левая железа располагается несколько ниже правой.
Органы мошонки имеют очень богатое кровоснабжение.
Какие существуют показания для проведения УЗИ мошонки
• Бесплодие.
• Увеличение в размерах яичка, изменение его контуров.
Как выполняется процедура
Процедура выполняется при принятии пациентом горизонтального положения. С собой можно принести салфетку или полотенце, чтобы вытереть гель, который наносится на кожу мошонки для облегчения скольжения датчика. Гель имеет нейтральный состав, так что аллергических реакций после его применения практически не встречается.
Датчик устанавливается перпендикулярно к органам мошонки, а исследование выполняется в нескольких проекциях. Обследование редко длиться больше 10-12 минут, при подозрении на опухоль возможно дополнительное исследование органов брюшной полости и регионарных лимфоузлов.
Боль при УЗИ возможна только в том случае, если у мужчины острый орхоэпидидимит.
Иногда обследование, в этом случае, специально откладывают на несколько дней, чтобы снять острое воспаление.
Что оценивают при УЗИ мошонки
Состояния, когда это нужно сделать:
• Варикоцеле.
• Опухолевые процессы.
Размеры яичек у мужчин в норме по УЗИ:
Расшифровка УЗИ яичек
Крипторхизм
При данной патологии целью ультразвуковой диагностики является уточнение локализации «исчезнувшего» яичка.
Крипторхизм – аномалия расположения, при котором мужская половая железа имеется, но в силу каких-либо причин задержалось в брюшной полости. В 90% случаев, «потерявшееся» яичко находят в паховом канале.
Как правило, атипично расположенное яичко — с нечетким контуром, уменьшено в размерах, неоднородной структуры, придаток его не визуализируется.
Варикоцеле
Необходимость своевременного лечения варикозного расширения вен семенного канатика обусловлена вероятностью развития бесплодия у мужчины.
На УЗИ при варикоцеле четко визуализируются расширенные видоизмененные вены, диаметр которых больше 3 мм.
Как известно, существует 3 стадии варикозной болезни. При первой визуализация вен происходит при повышении внутрибрюшного давления либо при диагностики в вертикальном положении, во второй — видоизмененные вены не исчезают и в горизонтальном положении пациента, в 3 стадии вены просматриваются ниже полюса уменьшенного в размерах яичка.
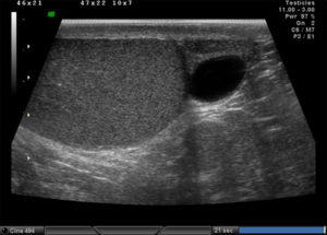
Гидроцеле
При данной патологии между двумя листками оболочки яичка происходит накопление жидкости. Водянка может быть приобретенная, чему способствует целый ряд факторов и врожденная, что обуславливается врожденными анатомическими дефектами.
Приобретенная водянка, как правило, появляется после воспалительных процессов, травм мошонки, оперативных вмешательств. При ультразвуковом осмотре диагностировать скопление жидкости между оболочками не представляет особых трудностей. Водянка на сонограмме выглядит, как анэхогенная зона вокруг яичка и его придатка. У некоторых пациентов встречается многокамерная водянка или в виде восьмерки (если жидкость скапливается и в паховом канале).
Кистозные новообразования яичка и его придатка
Семенные кисты (сперматоцеле) могут быть врожденными и приобретенными. Врожденная киста чаще маленьких размеров, жидкость внутри прозрачная. Приобретенные семенные кисты возникают из-за воспаления или травматизации, благодаря которым произошла закупорка протока с появлением кисты. По данным УЗИ мошонки киста выглядит, как образование округлой формы, с ровным, четким контуром, анэхогенной структуры.
Орхит и орхоэпидидимит
Как правило, воспаление придатка яичко крайне редко встречается изолированно. Чаще орхиты и орхоэпидидимиты развиваются при поражении тканей микробной флорой на фоне сниженного иммунитета.
На сонограмме придаток увеличен, сниженной эхогенности, с неоднородной структурой.
Острое воспаление тканей яичка (орхит)
Мужская половая железа резко увеличена в объеме, эхогенность снижена. Часто патологический процесс сопровождает реактивная водянка.
Хронический орхоэпидидимит
Размер яичка – любой, особого значения не имеет. Структура неоднородная, контур неровный. Визуализируется увеличенный придаток. Необходимо проведение дифференциальной диагностики с опухолевыми процессами.
Онкологические процессы в яичке
Семинома Рак яичка встречается относительно редко, и в 95% случаев это герминогенные опухоли (в 50-60% семинома). В зависимости от гистологического типа выглядит картина: гомогенная или негомогенная структура. Патологические новообразования чаще диагностируют в правом яичке. Билатеральные опухоли (с обеих сторон) выявляются в 1-3% случаев.
Опухоль на УЗИ выглядит как образование неправильной формы, иногда состоит из нескольких новообразований, с неоднородной структурой. Размеры больного яичка больше нормы, присутствует реактивная водянка. Если есть подозрение на рак яичка, то в обязательном порядке исследуют забрюшинное пространство и регионарные лимфатические узлы для исключения или подтверждения процессов метастазирования.
Обязательно выполнение биопсии образования.
Абсцесс
Абсцесс яичка выглядит как локализованное образование, с ровными контурами, имеет иную эхогенность, чем кисты и опухоли яичка. УЗ диагностика позволяет оценить распространенность процесса и определиться с тактикой лечения: консервативное или хирургическое.
Туберкулез
Подведем итоги
Ультразвуковая диагностика органов мошонки у мужчин – популярный неинвазивный, но очень информативный метод исследования, который может дать представление не только о тканевой структуре, размерах органа, но и позволит оценить кровоток. Противопоказаний к УЗИ не существует.
Учитывая то, что метод безболезненный и доступный, его можно рекомендовать любому пациенту любого возраста.
Слоновость мошонки: причины, симптомы, диагностика, лечение
Слоновость мошонки (синонимы: слоновая болезнь, элефантиаз, лимфедема, массивная скротальная лимфатическая болезнь) — патологический процесс, который вызывается непроходимостью, аплазией
Подробно Синдром острой мошонки
Синдром острой мошонки объединяет ряд ургентных состояний, требующих немедленной медицинской помощи. Подавляющее большинство случаев обусловлено одной из трех причин: травмой, перекрутом
Подробно Абсцесс мошонки и болезнь Фурнье
Мошоночный абсцесс — гнойно-некротический отграниченный очаг — может быть поверхностным или глубоким. Причины поверхностного абсцесса — инфицирование волосяных фолликулов, ранок, осложнения
Подробно Сперма желтого цвета
Сперма желтого цвета – признак определённых изменений, происходящих в организме: физиологических или патологических. Практически все состояния, при которых эякулят принимает нехарактерный
Подробно
Справочник
Клиники и врачи
- Клиники вашего города
- Врачи вашего города
Анэхогенное образование: причины формирования и методы лечения

Образование, получившее название «анэхогенное», представляет собой включение в какой-либо орган. Оно не отражает, а наоборот, поглощает ультразвуковой луч. Сам термин не указывает на определенный диагноз. Это всего лишь свойство данного включения. Появившееся анэхогенное образование иногда может являться нормой, но в другом случае оказаться тяжелой патологией.
Анэхогенное образование поглощает УЗ-излучение
Понятие о термине
Для правильного понимания термина надо вспомнить, что такое ультразвуковое исследование, на каком принципе оно основывается. Звук, имеющий высокую частоту и получивший название «ультразвук», человеческое ухо расслышать не может.
На излучении, а затем обработке отраженного сигнала (приеме так называемого эха) основан принцип действия прибора, используемого при выполнении УЗИ. Ультразвуковая волна генерируется трансдьюсером – специальным датчиком.
Он сначала ее вырабатывает, а затем выполняет считывание неслышимого человеком звука, который отразился от органов или иных тканей. В зависимости от частотных характеристик эхосигнала на мониторе появляется определенное изображение.
Плотные ткани, а также органы выглядят светлыми. При этом чем выше данная характеристика, тем белее изображение на экране. Самые плотные ткани (кости) обладают наибольшей отражаемостью сигнала.
Если перевести с латыни слово «анэхогенный», то получим термин «не способный к отражению звука». Такие включения на экране монитора выглядят темными участками. Данное свойство присуще жидкости. В связи с этим при проведении УЗИ в случае обнаружения темных участков появляются подозрения на кисту. Именно она обычно заполнена жидкостью.
Во время УЗИ анэхогенное образование на мониторе выглядит как темный участок
Причины формирования
Факторы, влияющие на формирование образования, имеющего анэхогенный характер, во многом зависят от его локализации. Причинные факторы значительно отличаются в разных случаях. Это зависит от того, в каком органе получил развитие процесс.
Киста, имеющая анэхогенное свойство, чаще появляется в возрасте, считающимся репродуктивным. После наступления менопаузы она возникает значительно реже. Опухоль яичников в этом случае – редкость из-за снижения уровня эстрогена.
При этом образования чаще имеют доброкачественный характер.
Точно указать причину, провоцирующую рост опухоли, получается не всегда.
Наиболее частым фактором считается дисбаланс гормонов. Он плохо отражается на работоспособности яичников. После климакса киста в яичниках возможна из-за воспалений, возникновения послеоперационных спаек или получения травмы.
Объяснить причину появления почечной кисты урологи также не могут. Но некоторые нефрологи утверждают, что виновником появления кистовых элементов является неправильное развитие плода еще в материнской утробе. Кроме того, данные образования могут возникать из-за воспалений почечной лоханки, камней, образовавшихся в почках, а также вследствие инфицирования органа.
Кисты на яичниках чаще всего образуются в репродуктивном возрасте
Места локализации
Анэхогенное содержимое непосредственно в самой кисте появляется во многих случаях. Новообразование может появиться в следующих органах:
- Молочная железа. Здесь киста обнаруживается часто. Если она однородная, то представляет собой темный участок на экране монитора. Сложная киста видна при выполнении УЗИ в виде объектов, имеющих гиперэхогенное содержимое. В последнем случае врач-маммолог обязательно проводит дополнительную диагностику, чтобы исключить раковую опухоль. Содержимое может образоваться вследствие гормонального дисбаланса, нарушения вещественного обмена, механической травмы или воспалительного процесса в органе.
- Щитовидная железа. Тут врачи могут обнаружить анэхогенное аваскулярное образование или аденому, истинную, коллоидную, или псевдокисту. Для того чтобы определить природу содержимого, пациенту назначается сдача анализов.
Кисты в молочных железах могут образовываться в результате сбоя гормонального фона у женщин
- Матка. Данное образование непосредственно в матке может обнаруживаться при овуляции, дегенеративных болезнях, лейомиоме или в период перед менструацией. Если такое содержимое в области шейки матки имеет маленькие размеры (меньше 5 мм), то это является нормой для женщин, которые рожали. Развитие анэхогенного образования в данном органе возможно также и при раке. Зарегистрированы случаи, когда содержимое обнаруживалось у плода (выявлялась киста).
- Яичники. Выявленный объект в них зачастую указывает на рост кисты. У нее может быть различная структура. Зачастую врач подозревает развитие тератомы, цистаденомы (доброкачественное новообразование) или цистаденокарциномы (злокачественное новообразование).
Небольшого размера кисты, располагающиеся в районе шейки матки, считаются нормой для рожавших женщин
- Почки. В этом органе такое содержимое – это киста, которая является округлым анэхогенным образованием с довольно тонкими стенками. При наличии поликистоза наблюдается множество этих образований, а почки увеличены. Образование зачастую наблюдается и при абсцессе, околопочечной гематоме и кистозной карциноме.
- Печень. Наличие эхонегативной структуры в органе также указывает на кисту. Зачастую требуется дополнительная диагностика для получения полной картины патологии.
Существуют не только однокамерные, но и многокамерные анэхогенные образования, которые выявляются и в яичниках. Киста может быть одиночной, но во многих случаях ее выявляют как множественное новообразование.
Анэхогенное образование, появляющееся при беременности
В период беременности зачастую данное образование обнаруживают на маленьких сроках:
- До шестой недели вынашивания ребенка его обнаруживают вверху матки. Это плодное яйцо. При выполнении УЗИ на краях образования виден гиперэхогенный ободок.
- В яичнике темное пятно указывает на наличие лютеиновой, а иногда фолликулярной кисты. Эти образования впоследствии рассасываются самостоятельно.
- Такую же картину УЗИ показывает при образовании параовариальной кисты – полостного однокамерного новообразования. Оно растет из связок, соединяющих яичники с маткой.
В процессе проведения УЗИ желтое тело тоже определяется как черное пятно. Таким образом, при выявлении образований в матке паниковать не следует. Темное пятно может свидетельствовать о развитии нормальной беременности, указывать на желтое тело или появление кисты, которая исчезнет без усиленного лечения.
Лютеиновая и фолликулярная киста не требует лечения и рассасывается сама
Диагностика
Для адекватной постановки диагноза врачи назначают ультразвуковое исследование. Однако зачастую его недостаточно. Необходимо использование и дополнительных диагностических методов, которыми являются:
Иногда пациентам назначают проведение анализа крови для определения баланса гормонов. А чтобы исключить наличие злокачественной опухоли, врач выписывает направление на допплерографию.
Если обнаружился анэхогенный участок, то чаще всего пациенту проводят дополнительную диагностику спустя месяц. Только после подтверждения его наличия назначается необходимая терапия.
Методы лечения
Выбираемый врачом вид лечения зависит от стадии развития новообразования. Иногда при выявлении кисты, например, в яичниках терапевтическое вмешательство не требуется. Используемые в медицине виды терапии сведены в таблицу.
| Тактика выжидания | Такой метод используется только при выявлении функционального типа образования. Чаще всего оно исчезает само через промежуток в несколько месяцев. Поэтому врач ведет наблюдение. Если же оно не проходит, то требуются медикаментозные средства. |
| Консервативная терапия | Применяется гормональное лечение. Оно необходимо для снижения выработки половых гормонов. Используются оральные контрацептивы. Восстанавливается менструальный цикл, функционирование яичников. |
| Хирургическое вмешательство | Метод применяется при отсутствии ожидаемого результата или при перерождении кисты в раковую опухоль. |
| Аспирационный метод терапии | Используется, когда у кисты признаки раковой опухоли отсутствуют. При помощи насадки, применяемой для пункции, из образования извлекают его содержимое. После чего в нарост вливается этиловый спирт, который его разрушает. Возможно использование специального раствора. |
Первым этапом лечения становится устранение симптомов. Кроме того, врачи назначают гормональные лекарства и препараты йода. Медикаментозные средства должны быть выписаны лечащим врачом.
При данных заболеваниях самолечение запрещено, поскольку может вызвать негативные последствия. Медикаментозная терапия проводится только в случаях, когда киста маленькая по размерам и не осуществляет рост.
При ее увеличении или инфицировании медики назначают операцию.
Для лечения кисты яичника врач может назначить оральные контрацептивы
Если киста имеет размеры около 7 сантиметров, то хирург выполняет пункцию. Для этого в образование вводится игла, после чего откачивается содержимое. Собранная жидкость направляется на исследование.
Такую процедуру проводят под ультразвуком. Следующий этап пункции подразумевает использование аспирационного метода. Специальный раствор способствует разрушению стенок образования, благодаря чему они замещаются нормальной тканью.
Этот метод выполняется под местной анестезией.
Терапия эхонегативных структур в области яичников чаще всего проводится при помощи медицинских препаратов. Гинеколог назначает гормональные средства, например Дюфастон, Антеовин или Марвелон.
В случае необходимости дополнительно выписываются противовоспалительные лекарства и антибиотики.
Из видео вы подробно узнаете об анэхогенных образованиях в в матке, мочевом и желчном пузыре:
Осложнения и прогнозы
Если обращение к врачу произошло на раннем этапе развития анэхогенного участка, то пациенту можно будет довольно быстро избавиться от него. Только врач после проведения исследований сможет сказать, данная структура имеет патологический характер или нет.
Если не лечить образование, то могут развиться некоторые осложнения, среди которых:
- в матке возможно кровотечение, отмирание тканей миоматозного узла;
- в почках может развиться гидронефроз или уремия, перитонит или почечная недостаточность, а также рак;
- в печени – гепатомегалия, нагноение и даже разрыв образования;
- в щитовидке возможно проявление кистозного зоба, гипо- или гипертиреоза, остеопороза.
Обнаруженное доброкачественное новообразование в молочной железе довольно редко переходит в злокачественное. Если оно имеет малые размеры, то не несет в себе опасности. Обычно осложнения возникают лишь при наличии процесса воспаления и нагноении кисты.
Помогла статья? Оцените её Загрузка…
Образования в яичках на УЗИ (лекция на Диагностере) — Диагностер

Важно!!! Подозрение на опухоль возникает во всех случаях очаговых изменений эхоструктуры паренхимы яичек.
Расширение rete testis яичка — это доброкачественное состояние, которое может быть связано с частичной или полной обструкцией выносящих протоков, что приводит к их кистозной дилатации.
Это состояние чаще всего встречается у мужчин старше 55 лет и часто является двусторонним.
Характерным признаком эктазии rete testis яичка является структура, состоящая из множества небольших кистозных или трубчатых структур, которые заменяют средостение, кровоток не определяется, плотные массы и кальцификаты отсутствуют.
https://www.youtube.com/watch?v=_sT2aKUIBOg
Нажимайте на картинку, чтобы увеличить.
| Фото. На УЗИ нормальное rete testis (А), эктазия rete testis (Б,В). |
Простые кисты яичка на УЗИ
Простые кисты — это округлые анэхогенные образования с четким ровным контуром и усилением сигнала позади. Кисты белочной оболочки могут появиться после травмы, в них часто образуются кальцификаты.
| Фото. На УЗИ простая киста придатка яичка (А), простая киста яичка (Б) и кисты белочной оболочки (В). |
| Фото. А — На УЗИ киста белочной оболочки заполненная кальциевым молочком, которое состоит из взвеси мелких кристаллов карбонатный апатит, гидроксиапатит или карбонат кальция: однородное гиперэхогенное с четкими контурами образование размером 6×4 мм без акустической тени на верхнем полюсе яичка; кровоток в пределах поражения не определяется. Б — Кисты белочной оболочки могут мимикрировать под кисты яичка. |
Эпидермоидные кисты яичка на УЗИ
Эпидермоидные кисты яичка доброкачественные и составляют до 2% всех удаленных опухолей яичка. Эпидермоидные кисты — это безболезненные массы в яичках чаще у молодых людей 20-40 лет. Должна присутствовать онкологическая настороженность, так как у молодых людей злокачественные опухоли зародышевых клеток встречается в 50 раз чаще, чем эпидермоидные кисты яичек.
Существует мнение, что эпидермоидные кисты — это монодермальная разновидность тератом с наличием только эктодермы. Эпидермоидная киста обычно заполнена кератином и десквамированным эпителием, а фиброзная стенка кисты, покрытая плоскоклеточными эпителиальными клетками.
Раньше эпидермоидные кисты всегда лечили тотальной резекцией яичка. В последние годы эпидермоидные кисты успешно лечат с использованием щадящих операций — энуклеация или клиновидная резекция. Интраоперационно проводят гистологический анализ, чтобы исключить злокачественное новообразование в опухоли и в соседних тканях.
Эпидермоидная киста на УЗИ: однокамерная киста с гиперэхогенным ободком, размером 1-3 см; внутренняя эхоструктура неоднородна за счет чередование гипер- и гипоэхогенных концентрических полос («кольца лука»), представляющих слои уплотненного кератина и десквамированного эпителия. Очень редко можно наблюдать кальцификацию. В отличии от злокачественных образований, в эпидермоидных кистах кровоток не определяется.
На УЗИ в яичке округлая гипоэхогенная аваскулярная масса, яркий гиперэхогенный ободок, акустическое затенение позади, эхоструктура неоднородная за счет колец по типу кожуры лука. Заключение: Эпидермоидная киста яичка.
| Фото. На УЗИ эпидермоидные кисты яичка (А, В). |
| Фото. Мальчик 17-ти лет с жалобами на ощутимое образование в левом яичке. Опухолевые маркеры, включая альфа-фетопротеин (AFP) и бета-хорионический гонадотропин человека (β-HCG) в норме. На УЗИ определяются неоднородные бессосудистые очаги в обоих яичках: справа очаг 1,5 см × 1,3 см × 1,2 см слоистой эхоструктуры (A); слева мультифокальный очаг 1,9 см х 1,7 см х 1,2 см (Б). Дифференциальный диагноз проводили между эпидермоидной кистой, эктопией ткани надпочечников и опухолью зародышевых клеток. После иссечения образования в левом яичке гистология показала заполненную кератином плоскоклеточную кисту (a); вне плоскоклеточной кисты обнаружен очаг с мерцательным и кишечным эпителием, а так же серомуцинозные железы (b), что указывает на зрелую тератому. Диагноз: билатеральные эпидермальные кисты яичка с тератоматозными элементами. Вероятно у данного пациента двусторонние массы представляли врожденные эпидермоидные кисты с нетипичными элементами. Присутствие тератоматозных элементов в отсутствии зародышевой неоплазии зародышевых клеток считается доброкачественным, было принято решение лечить консервативно и внимательно следить за пациентом. |
Тератома яичка на УЗИ
При тератоме яичко увеличивается в размерах, внутреннее его строение неоднородно за счет узлов повышенной эхогенности с нечеткими контурами. При распаде в узлах появляется кистозный или кистозно-солидный компонент.
| Фото. Мужчина 30-ти лет с массой в ощутимой правом яичке. На УЗИ определяется очаг неоднородная сложная структура с плотным и кистозным компонентами, а также участками кальцификации. На гистологии определяется очаг ограниченный фиброзом с кальцификацией; кистозные полости выстланы кубическим эпителием, присутствуют ресничные и бокаловидные клетки; один узелок 0,5 мм из атипичных эпителиальных клеток. Диагноз: тератома яичка с 90% зрелых и менее 5% незрелых клеток. |
Фиброма и липома яичка на УЗИ
Фибромы яичка — это доброкачественные, безболезненные опухоли, которые чаще всего возникают из влагалищной оболочки, но в редких случаях они могут возникать из белочной оболочки семенного канатика или даже паренхимы яичек.
Фибромы на УЗИ обычно представляют собой четко определенные гиперэхогенные массы, которые исходят оболочки яичка, диаметром от 1 до 3 см. Изредка встречаются гипоэхогенные фибромы с нечетким контуром.
Акустическое затенение позади указывает на ведущий волокнистый компонент.
Гранулема спермы на УЗИ
Гранулемы спермы — это результат хронического воспалительного процесса вокруг спермы излившейся из поврежденных канальцев в окружающие ткани.
Гранулемы спермы обычно находят в придатке яичка или вдоль линии семявыносящего протока у пациентов после травмы, инфекции или хирургического вмешательства.
На УЗИ гранулемы спермы представлены плотным гипоэхогенными образованиями с четким контуром размером до 1 см, часто кровоток по периферии резко усилен, как следствие воспаления.
| Фото. На УЗИ гранулемы спермы. |
Опухоль придатка яичка на УЗИ
Опухоль придатка яичка чаще располагается в хвосте, редко в теле. На УЗИ образование до нескольких см в диаметре, правильная форма и гладкая поверхность характерна для доброкачественных, а бугристая — для злокачественных опухолей.
Аденоматоид или доброкачественная мезотелиома у мужчин чаще всего возникает из-за хвоста придатка, но может исходить из влагалищной оболочки яичка и семенного канатика. Внутрияичковые аденоматоиды исходят из внутренних отростков белочной оболочки. Опухоли медленно растущие, чаще бессимптомные. Редко появляется боль и воспаление яичек.
Рисунок. Пациент с жалобами на боли в мошонке слева. На УЗИ в мошонке возле левого яичка изоэхогенное неоднородное образование, округлой формы с ровным контуром, размер 40 мм, гиповаскулярное. Заключение по результатам биопсии: Аденоматоид придатка яичка.
| Фото. А — На УЗИ придаток яичка увеличен, почти изоэхогенный. Диагноз: аденоматоид придатка яичка. Б, В — На УЗИ из оболочки яичка произрастает гетерогенное образование, сдавливая паренхиму яичка. Диагноз: аденоматоид белочной оболочки. |
Туберкулез яичка на УЗИ
Туберкулез яичка на УЗИ не имеет специфических характеристик и зачастую выглядит как эпидидимит или орхоэпидидимит. НО наличие двустороннего поражения придатков неоднородными гипоэхогенными очагами с кальцификацией и без может оказаться туберкулезом. Иногда вовлекаются яички.
| Фото. Мужчина 48-ми лет с жалобами на болезненное образование в левом яичке. На УЗИ кожа мошонки кажется утолщеной; гидроцеле; в хвосте придатка с переходом на нижний полюс яичка определяется неоднородный гипоэхогенный очаг округлой формы, размером 3х2 см; кровоток внутри и по периферии очага усилен, низкий уровень сопротивления сосудов в очаге. Диагноз: туберкулезный орхоэпидидимит слева. |
| Фото. В задне-боковых отделах правого яичка прощупывается плотное образование. На УЗИ определяется гипоэхогенный неоднородный очаг овальной формы, размером 3х4 см, с усиленным кровотоком. Обратите внимание, что очаг четко отграничен и расположен на месте придатка яичка. Диагноз: туберкулезный эпидидимит справа. |
Саркоидоз яичек на УЗИ
Саркоидоз — это системное гранулематозное заболевание неизвестной этиологии, которое может поражать разные системы органов. У чернокожих саркоидоз встречается в 20 раз чаще, чем у белых. Соотношение между женщинами и мужчинами составляет 10:1.
Клинические симптомы обычно включают лихорадку, анорексию и артралгии, а в 15% случаев имеет место гиперкальциемия. Легочный саркоидоз приходится на 84% случаев, тогда как урогенитальное поражение встречается в 0,2% случаев (где обычно поражение почек).
Саркоидоз яичек встречается редко, особенно без признаков поражения легких. Трудно исключить малигнизацию даже при наличии легочного саркоидоза.
В результате этого многие авторы высказались за удаление яичек при подозрении на саркоидоз яичек, особенно при одностороннем процессе.
Саркоидоз яичек на УЗИ: одиночные или множественные гипо- или одиночные гиперэхогенные образования в яичке и придатке.
Важно!!! При обнаружении множественных двусторонних очагов в яичках дифференциальный диагноз включает: саркоидоз, эктопию надпочечников и метастазы (включая лимфому и лейкоз).
| Фото. А — У мужчины 27-ми лет при пальпации безболезненные бугристые массы в обеих яичках. На УЗИ яички нормальных размеров, множественные гипоэхогенные очаги небольших размеров. На гистологии определяются множественные неказеозные гранулемы с гигантскими многоядерными клетками и редкие лимфоцитарные инфильтраты. Диагноз по результатам биопсии: саркоидоз яичек. На регтгене грудной клетки легочный саркоидоз не определяется. Б, В — Мужчина 31-ти года с гиперкальциемией и двусторонней внутригрудной лимфоаденопатией. На УЗИ множественные гипоэхогенные очаги в яичках. Диагноз: саркоидоз с поражением легких и яичек. |
Эктопические дольки надпочечника (TART) на УЗИ
TART (testicular adrenal rest tumors) — это объемные образования яичек, состоящее из клеток морфологически и функционально сходных с тканями надпочечников. Предполагается, что TART формируется из клеток надпочечников мигрировавших в яички в эмбриональном периоде.
Вероятно эктопическая ткань также может развиваться из мультипотентных клеток в строме яичка. Эктопические клетки чувствительны к АКТГ и ангиотензину-II и могут вырабатывать надпочечниковые стероиды. Под действием АКТГ и ангиотензина-II эктопические дольки могут разрастаться до приличных размеров.
Описаны случаи TART у пациентов с болезнью Иценка-Кушинга и при различных формах недостаточности надпочечников. Но наиболее часто TART встречается у пациентов с врожденной гиперплазией надпочечников (ВГПН). При ВГПН снижена способность надпочечников вырабатывать кортизол, что приводит к повышению уровня АКТГ.
TART — это распространенное осложнение ВГПН формирующееся уже у детей в допубертатном периоде.
Повреждение яичек при TART может быть связано как с обструкцией семявыносящих канальцев с последующей атрофией клеток Сертоли, так и с действием предшественников кортизола вырабатываемого клетками опухоли.
В 70% случаев поражение двустороннее. TART редко выявляют при клиническом осмотре из-за парацентрального расположения опухоли. Основным методом диагностики TART является УЗИ.
На УЗИ TART обычно гипоэхогенные очаги, преимущественно расположеные парацентрвльно, с нечеткими контурами и активным внутриузловым кровотоком. TART может быть гипо- или аваскулярным.
Оценить объем опухоли на УЗИ не представляется возможным из-за нечетких границ. С этой целью больше подходит МРТ.
| Фото. Мужчина 25-ти лет с врожденной гиперплпзией надпочечников (подробнее смотри здесь) обратился по поводу бесплодия. На УЗИ в обоих яичках множественные гипоэхогенные очаги с усиленным кровотоком. Диагноз: эктопи ткани надпочечников в яички (TART). |
Кальцификаты в яичках на УЗИ
Обычно микрокальцификаты выявляют случайно у 5% мужчин в возрасте от 17 до 35 лет. Пять или более кальцифицированных очагов на срезе считается ненормальным. Некоторые авторы указывают, что в 18-75% случаев микролитиаз связан с опухолями яичка.
Однако нет доказательств позволяющих рассматривать микролитиаз как предзлокачественное состояние. НО пациенты с диагнозом микролитиаз должны проходить ежегодный УЗИ-скрининг.
Микролитиаз яичка на УЗИ: множественные диффузные гиперэхогенные очаги без заднего затенения размером 2-3 мм.
Кальцификаты, которые свободно катаются между листками влагалищной оболочки, называют жемчужины мошонки или скротолиты. Их происхождение неясно. Обычно их рассматривают как осложнение гематомы или воспалительных изменений в мошонке, или отвалившиеся вследствие некроза, гидатиды яичка или его придатка. Скротолиты на УЗИ: небольшие (
Нормы и патологические состояния по результатам УЗИ яичек. Анэхогенные образования в почках на УЗИ: причины появления, симптомы и лечение

Если яички не прощупываются с одной или двух сторон, ребенка направляют на УЗИ. Обнаружить у ребенка скрытое яичко можно, если его линейный размер больше 10 миллиметров.
Для крипторхизма характерна однородность структуры органа, а потому при наличии каких-либо включений нужно исключить злокачественное образование. Если яичко отсутствует в мошонке, у новорожденного ребенка изучается паховый канал, область возле корня пениса.
Если половые железы не найдены, ребенок направляется к врачам-генетикам для проведения биохимического исследования и определения кариотипа.
Поводом для назначения УЗИ яичек у ребенка может быть не только крипторхизм. УЗИ назначается и при таких расстройствах, как: карликовость, гигантизм, лишний вес, патологический рост волос, задержка физического или психического развития ребенка, врожденные пороки сердца.
Опухоли
Ультразвуковое исследование дает возможность выявить образования на первичных этапах. Обычно опухоли относятся к доброкачественным. У мальчиков до 15-летнего возраста злокачественная опухоль яичка, как правило, – результат метастазирования при лимфомах и лейкозах. Способствуют возникновению опухоли яичка крипторхизм, травмы, патологическое выделение гонадотропинов, синдром Карнея.
Поскольку болевой синдром при данном виде опухолей обычно появляется на поздних стадиях, УЗИ рекомендовано при малейших подозрениях, даже при отсутствии изменений в органе, которые можно пальпировать.
Конкременты
Состояние может развиваться как следствие крипторхизма, химиотерапии, хромосомного заболевания. Во время ультразвукового исследования кальцинаты определяются как эхопозитивные включения высокой видимости.
Орхит
При этом заболевании яички увеличены в связи с их отечностью. Обычно орхит возникает в результате травмы или инфицирования ткани яичка. Инфекция проникает в половые железы из предстательной железы или мочевого пузыря. До наступления половозрелости у ребенка вероятен изолированный орхит, когда инфицирование ткани осуществляется с кровотоком.
При остром воспалении ультразвуковое исследование показывает увеличенный орган при однородной внутренней структуре. Сильное воспаление вызывает выраженную отечность и неоднородность или гомогенное снижение эхо-плотности.
Водянка
При гидроцеле между оболочками скапливается жидкость. Признаком патологии считается накопление в мошоночной полости эхонегативного содержимого с однородной структурой, с явственно различимым яичком, придатком и перегородкой мошонки.
Травма
Ультразвуковое исследование позволяет выявить состояния, требующие экстренной хирургической помощи. В случае разрыва органа, при обширном кровоизлиянии, это дает возможность предотвратить ишемическую атрофию или абсцесс.
Сперматоцеле
Ретенционная киста представляет собой безболезненное образование на семенном канатике мужчины. УЗИ проводится, чтобы исключить злокачественную опухоль (если она невелика по размеру) или водянку (если образование крупное).
Эпидидимит
Острый воспалительный процесс в придатке яичка – распространенная причина сильного болевого синдрома и увеличения мошонки. Болезнь развивается после поступления инфекции в придаток из предстательной железы или мочевого пузыря.
В первые часы после возникновения боли можно найти только изменения в придатке, но не в яичке.
Большую информативность несет допплерографическое исследование, которое позволяет выявить диффузную или локальную интенсификацию кровотока в тканях придатка или яичке.
Перекрут яичка
Результат перекрута – сдавливание семенного канатика, что приводит к отечности и сильной боли. Состояние возникает в результате травм, физического напряжения, сексуального возбуждения, генетической предрасположенности. У мальчиков грудного возраста риск возникновения перекрута наиболее велик. Второй пик встречается у подростков в возрасте 13-18 лет.
При перекруте органы на УЗИ неоднородны, но жизнеспособны. Также возможно бессистемное чередование областей с разной эхогенностью, что относится к негативным прогностическим признакам. В случае подострого перекрута потребуется допплерографическое исследование. В случае подтверждения подозрений обнаруживается обеднение, остановка или реактивное усиления кровотока.
УЗИ яичек позволяет дифференцировать перекрут с паховыми грыжами, васкулитами и идиопатическими кровоизлияниями.
Где оперирую?
Клиника К+31. Клиника К+31 — это эталонная медицинская помощь, пример удачного государственно-частного партнерства. Объединяет в себе опыт и традиции высокой медицины, оснащение по последнему слову медицинской техники и высокие стандарты сервиса.
ГКБ №31(клиническая база кафедры урологии и андрологии ФФП МГУ им. М.В. Ломоносова).
— Обследование и лечение по протоколам, используемым во всем мире — в диагностических кабинетах, стационаре, современных операционных, отделении анестезиологии и реанимации. Все, чтобы поставить точный диагноз и провести успешное лечение.
— Полностью оборудованные 1 и 2-х местные палаты, 2-х комнатные люксы. В каждой палате удобный санузел и душевая кабина, холодильник, шкафы, тревожная кнопка. Чистота, дезинфекция, гигиенический уход за пациентами, хорошее питание.
— Поддержка после операции.
Гипоэхогенные образования
Если под гипоэхогенным образованием скрывалась врожденная патология, врач принимает решение о тщательном наблюдении за больным. Когда проблема угрожает нормальному функционированию органа, проводится хирургическое устранение аномалии при помощи пластики почки.
Если больной перенес травму, и в полости почки образовалась гематома, она не требует терапии, поскольку вскоре проходит самостоятельно. Серьезные меры принимаются, когда скопления крови негативно сказывается на почках. Для терапии нагноений в почках применяются медикаменты. Оперативное вмешательство требуется только в крайних случаях. И кисты не требуют радикального лечения.
Принимать решение о том, как лечить больного, может только врач, основываясь на результатах анализов и проведенных исследований.
Эхогенные очаговые образования
Выбор метода лечения напрямую зависит от типа образования и его размера. Когда у больного отсутствуют симптомы и образования небольшие, необходимо постоянное наблюдение врача. Если не происходит разрастания и жизнедеятельности человека ничто не мешает, терапия не применяется.
Изменения, которые приводят к дисфункции почки, активный рост образования считаются сигналами к проведению оперативного вмешательства. Эхоплотные очаги доброкачественного характера удаляются хирургически, при этом врачам обычно удается сохранить почку.
Злокачественные образования требуют радикальной терапии, поэтому проводится полное удаление поврежденной почки.
Помимо оперативного способа лечения, используются химиотерапия и облучение. Они необходимы при наличии раковых опухолей. Чаще всего выступают в качестве вспомогательной терапии для подавления развития злокачественных образований. Применяются до операции по удалению образования и после. Могут быть основой терапии, если невозможно вырезать опухоль.
Локализация новообразований
Изоэхогенная ткань может быть обнаружена в разных частях тела. От локализации формирования напрямую зависит и текущая клиническая картина. Обычно нарушение затрагивает:
- щитовидную железу;
- матку;
- печень;
- почки;
- яичники;
- грудную железу.
Часто подобные образования находят в печени
Самостоятельно распознать расположение образования невозможно. Требуется как можно раньше обратиться за помощью к врачу.
Нарушение в щитовидной железе
Изоэхогенное формирование в щитовидке способно быть бесформенным или иметь четкие контуры. Примерно у 25% заболевших новообразование имеет злокачественный характер. В таком случае форма неправильная, а граница стертая.
