Боли внизу живота

Гинекологи Клинического госпиталя на Яузе проводят подробное обследование при болях внизу живота (консультации гинеколога и смежных специалистов, УЗИ органов малого таза, 3D — 4D-мерное УЗИ при беременности, кольпоскопию и гистероскопию по показаниям), МРТ органов малого таза. Выявление причины болевого синдрома у женщины позволяет назначить своевременное и адекватное лечение.
Женщины довольно часто сталкиваются с болями в животе. Иногда это требует оказания немедленной медицинской помощи.
Болевые ощущения внизу живота обусловлены гинекологической патологией, беременностью или могут возникать при болезнях других органов.
Различают острые и ноющие или тянущие боли в нижней части живота.
- Внематочная беременность — на фоне задержки менструации и положительного теста на беременность острая боль вызвана разрывом маточной трубы;
- Апоплексия яичника — разрыв ткани яичника и внутрибрюшное кровотечение — диагностируется у 0,5–2,5% женщин с болями внизу живота;
- Перекрут ножки кисты яичника или опухолевидного образования сопровождается некрозом тканей, сильной болью, тошнотой и рвотой;
- Острый аднексит (воспаление придатков) — сильная боль и признаки интоксикации. 55–75% болей внизу живота связано с воспалительными болезнями органов половой сферы, четверть из них в будущем приводит к внематочной беременности;
- Наружный эндометриоз — может давать сильные боли, чаще связанные с менструальным циклом;
- Некроз миоматозного узла, рождение субмукозного узла (патологии связанные с доброкачественными образованиями матки);
- Уроза выкидыша, начавшийся выкидыш — схваткообразные боли, кровянистые выделения. По статистике 10–20% всех беременностей заканчиваются выкидышем в первом триместре;
- Угроза преждевременных родов — периодические схваткообразные боли, гипертонус матки;
- Преждевременная отслойка плаценты — очень интенсивные боли, возможны кровянистые выделения из половых путей, гипертонус матки.
- Хронический аднексит — периодические ноющие боли (осенью и весной при обострении), усиливаются при половом акте и движениях;
- Хронический эндометрит (воспаление слизистой матки) — тупые боли, обильные бели с неприятным запахом, возможно с примесью крови;
- Альгодисменорея — боли при менструации;
- Внутренний эндометриоз — тянущие боли при менструации, усиливаются перед ее началом, исчезают после окончания;
- Спаечная болезнь — зачастую развивается после оперативного вмешательства на органах живота и малого таза. Ноющие боли, усиливаются при коитусе, резких движениях, подъеме тяжестей.
- Острый аппендицит — боли справа внизу живота, тошнота, рвота, повышение температуры;
- Кишечная колика, кишечная непроходимость — очень резкие боли, признаки интоксикации;
- Острый цистит, пиелонефрит (воспаление мочевого пузыря, почек), мочекаменная болезнь — боли внизу живота, в пояснице, частое и болезненное мочеиспускание;
- Нарушение пищеварения при беременности — растущая матка приподнимает диафрагму и желудок, сдавливает кишечник, что приводит к повышенному газообразованию и болям в животе.
Консультация гинеколога
Изучение анамнеза и жалоб, гинекологический осмотр, предварительный диагноз, планирование обследования и лечения.
Дополнительное обследование
- УЗИ органов малого таза (для исключения внематочной беременности при задержке менструации, оценки состояния матки и плодного яйца, исключения другой гинекологической патологии);
- 3D — 4D-УЗИ при беременности в поздних сроках;
- кольпоскопия (осмотр шейки матки под увеличением);
- гистероскопия (осмотр полости матки) при необходимости;
- гинекологические мазки (обследование на скрытые половые инфекции);
- общие анализы крови и мочи;
- бактериологический посев мочи (исключить патологию мочевыводящих путей);
- диагностическая лапароскопия (по показаниям);
- пункция брюшной полости через задний свод влагалища (по показаниям — для исключения внутрибрюшного кровотечения);
- рентген, КТ, МРТ органов брюшной полости и малого таза (по показаниям);
- при необходимости назначаются консультации врачей смежных специальностей.
В нашем госпитале можно пройти как консервативное, так и хирургическое лечение заболеваний, явившихся причиной болей внизу живота.
Наши преимущества
- Быстрая и качественная диагностика. В нашем госпитале обследование пациента проводится на новейшем оборудовании, благодаря которому возрастает эффективность диагностики причины болей внизу живота.
- Врачи. Врачи отделения гинекологии Клинического госпиталя на Яузе имеют богатый опыт работы, научные звания и степени, высшую квалификационную категорию, владеют всеми современными диагностическими методами, что позволяет им быстро установить причину болей и провести эффективное и качественное лечение.
- Комплексность. Диагностика и лечение болей в животе, в том числе и при беременности проводится совместно с другими специалистами.
- Оснащенная операционная. Наличие передового оборудования в операционной позволяет при необходимости максимально эффективно провести хирургическое вмешательство (в том числе малоинвазивные — лапароскопические, при гистероскопии, чрезвлагалищным доступом и др.).
Цены на услуги Вы можете посмотреть в прайсе или уточнить по телефону, указанному на сайте.
Статья проверена врачом акушером-гинекологом Глуховой Н.К., носит общий информационный характер, не заменяет консультацию специалиста. Для рекомендаций по диагностике и лечению необходима консультация врача.
Что такое МРТ брюшной полости? Что показывает?

Но, прежде чем начать, ставим лайки и подписываемся на канал. Спасибо!
Диагностическим методом МРТ брюшной полости какие органы проверяют?
Этот вопрос задают большинство людей, которые хоть раз слышали об этом методе исследования. Перед тем, как ответить на поставленный вопрос, разберемся, что представляет собой данный метод исследования и какие органы располагаются в полости брюшины
МРТ органов брюшной полости — эффективный метод диагностики, позволяющий контролировать изменения в органах при проведении терапии и в постоперационный период. Исследование МРТ позволяет следить за состоянием исследуемого органа, получать его четкое изображение на глубоких срезах и в разных плоскостях.
Отличие МРТ от КТ
Оба метода исследования органов брюшной полости широко используются для диагностики самых различных болезней. Каждый из видов томографии имеет свои плюсы и минусы.
При компьютерной томографии на организм человека воздействуют рентгеновскими лучами. Также в большинстве случаев присутствует необходимость введения в вену контрастного вещества, содержащего в составе йод. Из сказанного можно определить, что КТ противопоказана лицам с патологиями щитовидной железы, почек и склонностью к аллергическим реакциям.
Ввиду того, что метод КТ связан с рентгеновским облучением, часто делать его не рекомендуется.
Преимуществом метода является высокая скорость проведения — снимок делают в течение нескольких минут.
МРТ — исследование, при помощи воздействия электромагнитных волн в полюсе высоконапряженного магнитного поля.
По сравнению с иными методами при МРТ практически отсутствует лучевая нагрузка на человеческий организм, а мягкотканый высокий контраст позволяет получить хорошее изображение тканей без использования контрастных веществ, которые необходимо вводить в организм (в некоторых случаях Эмрте проводят с контрастированием).
Среди недостатков тестирования МРТ следует отметить необходимость длительного нахождения в неподвижном состоянии в замкнутом пространстве. Также данный метод не подходит для обследования очень крупных людей.
Важно: целесообразность проведения МРТ и КТ определяет только лечащий врач.
Что показывает снимок МРТ брюшной полости
На изображении, полученном в ходе исследования, видно клеточные нарушения, повреждения клеточных мембран, определить состояние межклеточного пространства. Также МРТ дает возможность определить верность функционирования клеток того или иного внутреннего органа.
В диагностике онкологических патологий на ранней стадии МРТ является незаменимым исследовательским методом.
Ангиографическое исследование, которое делается МРТ-аппаратом, может показать любые нарушения в сосудистом русле и сосудистых стенках.
Что диагностируют МРТ брюшной полости
Магнитная томография ОБП помогает диагностам получить максимально точные результаты при выявлении различных забоелваний в органах, в том числе злокачественных новообразований на ранней стадии. Кроме того, с помощью томографии есть возможность различить процесс метастазирования.
_____________________________________________________________________________________
Проект НетГастриту создавался с целью предоставления людям точной и актуальной информации медицинской тематики. Статьи пишутся профессионалами и, к сожалению, затраты на развитие тормозят развитие проекта. Если Вы хотите нас поддержать воспользуйтесь формой ниже.
Сделаем мир лучше вместе. Спасибо за внимание.
_____________________________________________________________________________________
Проводя МРТ специалист может увидеть, в каком состоянии находится тот или иной орган и определить следующие патологические процессы:
- патологии печеночных протоков;
- болезни желчного пузыря;
- заболевания селезенки;
- патологические изменения поджелудочной железы;
- новообразования злокачественного или доброкачественного характера, их точную локализацию, масштаб распространения и степень тяжести патологии;
- метаболические нарушения;
- нарушения давления портальной вены;
- дисфункции билиарной системы;
- патологические изменения в желудке, уровень поражения слизистой органа, наличие опухолевых процессов, эрозий и язв;
- кишечные поражения, наличие процесса образования опухолей и язв;
- сосудистые аномалии, спазмы сосудов, патологии кровообращения
- нарушения в кровеносной и лимфосистеме;
- лимфомы с определением их особенностей.
Специалист направляет пациента на МРТ, если подозревает у него развитие каких-либо патологий, особенно это касается онкологических заболеваний.
Показаниями к проведению магнито-резонансной томографии являются:
- подозрение на развитие опухолевого процесса;
- подозрение на образование язвы в органах пищеварения (кишечник, желудок);
- подозрение на увеличение объема селезенки, печени;
- травмы области живота;
- периодические или постоянные боли в животе;
- желтуха (приобретение кожей и склер глаз желтого цвета);
- воспалительные процессы в поджелудочной железе;
- наличие жидкости в полости брюшины;
- подозрение на образования кисты в органах;
- тромбозы крупных и мелких вен;
- увеличение объема лимфоузлов.
Также МРТ проводят перед различными операциями, что позволяет определить:
- аномалии в развитии систем и органов;
- наличие чужеродных тел;
- нарушения кровотока;
- локализацию воспаления;
- возможные дистрофии внутренних органов.
Что НЕ покажет МРТ
Так как магнитно резонансная томограмма предназначена только для исследования мягких тканей, метод не используют для определения камней в почках, желчном пузыре и мочеточниках, а так же отложения солей кальция.
Противопоказания для МРТ брюшной полости
Хоть метод и является наиболее информативным и безопасным, существует ряд противопоказаний к его проведению.
Категорически нельзя прибегать к данному исследовательскому методу в следующих случаях:
- наличие у пациента кардиостимулятора;
- наличие у пациента любого импланта в виде программируемого устройства;
- наличие металла в области головного мозга или глаз.
С особой осторожностью томографию проводят пациентам при наличии в их теле:
- осколков пуль или пули в тканях организма;
- эндопротеза;
- металлических пластин, спиц;
- сосудистых клипс;
- инсулиновых помп;
- любых металлических имплантов;
- пирсинга.
Женщинам настоятельно рекомендуют оповестить специалиста о беременности, особенно в I триместре и лактации.
Также врач должен знать о возможных психо-эмоциональных расстройствах пациента, эпилепсии, судорогах в анамнезе.
Каких-либо специфических мер подготовки к исследованию не требуется.
Незадолго до того, как проверить внутренние органы человека методом МРТ, его обследуют и, если это необходимо, лечат от паразитов.
Перед проведением МРТ человек должен не менее 24 часов придерживаться определенной диеты, включающей в себя отказ от употребления любых овощей и фруктов в сыром или отварном виде, черного хлеба, газированных напитков и кисломолочной продукции. Можно есть перед исследованием не позднее, чем за 4-5 часов до начала его проведения.
Людям, склонным к запорам и метеоризму, рекомендуют провести очистительную клизму за 2-3 часа до томографии или принять слабительное мягкого воздействие.
Перед процедурой человеку необходимо принять Эспумизан или активированный уголь (в дозировке 1 таблетка на 10 кг веса).
За 30-60 минут до того, как пациента обследуют, ему следует принять 1-2 таблетки спазмолитического воздействия.
Как проводится исследование
Для исследования пациента помещают внутрь МРТ-аппарата, представляющего собой трубу, открытую с обоих концов.
Магнитное поле, создаваемое внутри аппарата, способствует возбуждению водородных атомов в организме человека, после чего радиоволны, излучаемые клеточными ядрами, формируют картинку на приборном мониторе. После этого процесса наблюдается возвращение клеток в изначальное состояние без каких-либо структурных изменений.
Компьютер производит обработку поступающей от внутреннего органа или сосуда информации и преобразует ее в трехмерное изображение.
Длительность процедуры зависит от того, сколько органов исследуется. На тестирование одного органа затрачивается около получаса.
МРТ брюшной полости с контрастом- это?
Иногда пациенту назначают МРТ с применением контрастирующих веществ. Такое обследование необходимо для определения вида новообразования на внутренних органах человека, процесса метастазирования в животе, нарушений структуры и функций сосудов и для диагностики незначительных образований на органах малых размеров (желчевыводящие протоки, надпочечники и пр.).
Длительность контрастного исследования вдвое больше.
Врач делает снимок обследуемого органа, вводит в вену контрастирующий препарат, после чего делает еще один (повторный) снимок. Далее специалист сравнивает результаты «до» и «после» а на основании полученной картины дает заключение.
Мрт органов брюшной полости: что показывает, как делают

МРТ – безопасная методика проведения исследования состояния тканей, сосудов, внутренних органов. Ее суть заключается в феномене ядерно-магнитного резонанса. Дело в том, что ядра некоторых атомов, при воздействии на них магнитного поля, поглощают электромагнитные импульсы.
Преобразуя энергию в радиосигналы, они в момент, когда импульс прекращается, излучают их. Это фиксируют специальные приборы. МРТ-установки работают на ядрах атомов водорода, входящих в состав воды. А так как человек на 70% состоит из воды и объем ее в разных тканях отличается, то и уровень сигналов разный.
В аппарате создается мощное магнитное поле, которое приводит в возбуждение атомы водорода. Радиоволны, излучаемые ядрами, формируют на приборе картинку. Затем клетки возвращаются в свое прежнее состояние, без деформаций. Компьютер обрабатывает полученную информацию, преобразуя ее в трехмерную картинку.
Поэтому при МРТ исследовании можно получить четкую картинку внутренних органов, увидеть патологические процессы, происходящие в них, дифференцировать опухоли, когда другие методики не позволяют этого сделать.
Что показывает МРТ – диагностика брюшной полости
МРТ брюшной полости относится к безопасным, неинвазивным и высокоинформативным методикам исследования внутренних органов. В основе ее лежит воздействие радиочастотных импульсов и магнитного поля.
МРТ позволяет в некоторых особенно сложных случаях с высокой точностью ставить точные диагнозы.
Применяется данное исследование для контроля над проводимым лечением и в качестве способа диагностики без применения более сложных и болезненных процедур, таких как пункция или колоноскопия.
Какие органы обследуют
Компьютерную томографию назначают при обследовании следующих органов брюшной полости у мужчин и женщин:
- поджелудочной железы;
- кишечника;
- печени;
- желудка;
- селезенки;
- почек;
- желчного пузыря.
Результаты, патологии
Магнитно-резонансная томография позволяет выявить следующие патологии у мужчин и женщин:
- наличие новообразований (доброкачественных и злокачественных);
- врожденные аномалии органов и сосудов;
- размер, строение, расположение органов;
- патологические процессы (воспаления, обструкции);
- деформации сосудов и органов (тромбозы, разрывы, деформации, аневризмы);
- нарушение кровообращения.
После проведения исследования человек примерно через час получает на руки снимки тканей и органов брюшной полости, а также заключение врача – специалиста по радиолучевой диагностике. С этими результатами нужно обратиться к лечащему врачу, который поставит диагноз и назначит терапию при необходимости.
Процедура МР-томографии живота
Магнитно-резонансный томограф – это конструкция, напоминающая по форме камеру или туннель цилиндрической формы. Состоит он из цилиндра с магнитом и стола. Также существуют открытые установки, предназначенные для людей, страдающих от клаустрофобии.
Если говорить о том, какой врач назначает обследование, то направление на проведение магнитно-резонансного обследование выдают различные специалисты. Это зависит от того, какие органы, ткани, сосуды планируется исследовать. Это может быть уролог, онколог, хирург, эндокринолог, гастроэнтеролог.
Расшифровкой результатов занимается врач-рентгенолог.
Исследование включает в себя несколько шагов:
- Пациент заходит в кабинет, где его встречает врач или медсестра, которые рассказывают алгоритм его действий во время процедуры и о порядке ее проведения.
- Человек переодевается в просторную одноразовую одежду.
- При необходимости в вену вводят контрастное вещество.
- Исследуемого укладывают на выдвижной стол, фиксируют конечности во избежание непроизвольных движений, предлагают беруши или наушники, чтобы не слышать шума, который издает аппарат (для детей это обязательно). Задвигают стол в отверстие томографа.
- Врач выходит в помещение с мониторами, на которых он будет видеть результаты сканирования. Он может общаться с пациентом через микрофон.
- Процедура продолжается от получаса до часа. В это время пациенту необходимо соблюдать полную неподвижность. Если чувствуется дискомфорт или самочувствие начинает ухудшаться, необходимо нажать специальную кнопку и врач прекратит процедуру.
- После окончания обследования врач сообщает об этом пациенту, выдвигает стол, убирает фиксирующие элементы и помогает человеку подняться.
- Пациент одевается, а врач обрабатывает полученные снимки и составляет заключение. В особо запутанных и сложных случаях он может привлекать других специалистов.
Процедура обследования не вызывает резких побочных действий. Но иногда при введении контрастирующего вещества у человека возникает легкая тошнота, кружится голова, возможны кожные реакции. Об этом следует сразу же сообщить врачу. Такая симптоматика быстро устраняется.
СОВЕТ! Не стоит бояться, если во время процедуры возникает ощущение разливающегося по телу жара. При введении контраста одни пациенты чувствуют холодок, другие – тепло. Также возникает привкус железа во рту. Это все абсолютно нормально.
Обработка результатов занимает от часа до двух часов. После этого результаты выдаются на руки обследуемому человеку, и он отправляется с ними к лечащему доктору. Если нет времени ждать, за результатами можно прийти на следующий день. Современные платные клиники высылают результаты на электронную почту, а снимки можно получить на диске или флешке.
Методы исследования
МРТ брюшной полости имеет несколько видов. К ним относятся:
С помощью этого способа определяют патологии в процессе прохождения крови по сосудам через ткани и органы.
Выявляет заболевания, связанные с обменом веществ.
Позволяет увидеть изменения стенок сосудов, сосудистого русла без применения контраста.
Самым объемным исследованием является обзорная МРТ органов брюшной полости, с помощью которой оценивается размеры, структура, формы органов, их кровоснабжение, воздействие патологических процессов.
Обзорная магнитно-резонансная томография позволяет исследовать состояние кишечника, желудка, селезенки, печени, почек, надпочечников, желчевыводящих путей и желчного пузыря, поджелудочной железы, мягких тканей брюшной полости, лимфоузлов, вен и артерий.
Показания
МРТ органов брюшной полости не используется для скрининга из-за дороговизны процедуры.
Обычно такое исследование назначают в случаях, когда другие методики исследования не позволяют точно поставить диагноз или когда заболевание протекает со значительными осложнениями.
Также сканирование используют для изучения развития некоторых опасных заболеваний (например, опухолей) и контроля эффективности терапии.
Клиническими случаями, при которых врач назначает проведение магнитно-резонансной томографии, являются:
- Скопление жидкости в брюшной полости (асцит).
- Сомнительные результаты других диагностических процедур (КТ, рентген).
- Увеличение селезенки, печени, патологические изменения в их тканях.
- Обнаружение воспалительных процессов (с выявлением очагов), внутренних кровотечений, ишемических изменений в тканях, органах брюшной полости.
- Панкреатит.
- Камни в почках, в желчном пузыре, мочевыводящих и желчевыводящих путях.
- Послеоперационные осложнения, необходимость оценки проведенной операции.
- Врожденные аномалии строения органов брюшной полости.
- Выявление доброкачественных и злокачественных образований, распространение метастаз, контроль их распространения и оценка результатов лечения.
- Противопоказания к проведению других диагностических процедур.
Показаниями к проведению МРТ брюшной полости с введением контрастирующего вещества на основе металла гадолиния являются выявление нарушения кровообращения сосудов и органов, ишемия тканей.
МРТ можно пройти не только по назначению врача, но и по собственному желанию. Делать это следует в следующих случаях:
- частые случаи тошноты, рвоты;
- регулярное ощущение тяжести или боли в районе печени, поджелудочной, желудка, почек;
- пожелтение кожи;
- изменение цвета кала и мочи;
- проверка своего состояния после операций, травм брюшной полости.
В случае самостоятельно обращения за прохождением процедуры МРТ предварительно нужно изучить репутацию клиники, в которой планируется обследование, посмотреть отзывы о врачах. Процедура достаточно дорогая, поэтому нужна уверенность, что результаты будут точными.
Противопоказания
Магнитно-резонансная томография считается безболезненным и безопасным методом исследования. Всемирная организация здравоохранения утверждает, что использование магнитного поля мощностью до 1,5 Тл не наносит вреда организму человека. При обследовании не используют рентгеновские лучи. Контраст на основе гадолиния также не вредит здоровью.
Существует ряд случаев, в которых проведение магнитно-резонансной терапии запрещено. Но запреты могут быть абсолютными, когда категорически нельзя проводить такую диагностику.
К ним относятся:
- Электронные и ферромагнетические конструкции в теле человека (инсулиновые помпы, кардиостимуляторы, дефибрилляторы). Мощное магнитное поле может спровоцировать сбой в их работе или их движение, что приведет к повреждению окружающих тканей и внутренним кровотечениям.
- Детский возраст до 5 лет.
- Болезни, при которых пациент не может сохранять неподвижность.
- Вес пациента более 150 -180 кг (зависит от конкретного аппарата МРТ). Затрудняется нахождение человека внутри капсулы.
МРТ с контрастом не проводится при наличии почечной недостаточности (гадолиний выводится почками, нагружая их, это может спровоцировать обострение), аллергических реакциях на контрастирующее вещество, прохождении гемодиализа.
Существуют относительные противопоказания:
- татуировки, в составе которых использована краска на основе металла. У пациента может возникнуть ощущение жжения и зуда в месте нанесения рисунка;
- беременность в 1 триместре. МРТ может негативно повлиять на развитие эмбриона;
- боязнь замкнутых пространств;
- лактация (при МРТ с контрастом). Гадолиний проникает во все жидкие среды организма, в том числе и в материнское молоко;
- психические заболевания. Человек не может адекватно вести себя в капсуле.
Относительные противопоказания отличаются от абсолютных тем, что их можно преодолеть по усмотрению врача. Проблемы с клаустрофобией решается путем использования аппарата МРТ с открытым контуром. Человеку с психическими заболеваниями процедуру проводят в стадии ремиссии и перед обследованием дают успокоительные препараты.
В случаях, когда МРТ с контрастом является единственной диагностической методикой, которая позволяет определить состояние здоровья кормящей женщины, его разрешено проводить. Но женщине потребуется сцедить молоко или перевести ребенка временно на искусственное вскармливание, так как в течение 2 суток после проведения процедуры кормить малыша грудью запрещено.
К МРТ органов брюшной полости необходимо заранее подготовиться, чтобы результаты получились достоверными, прежде всего подготовка включает соблюдение диеты. Из рациона за 2-3 дня до назначенной процедуры исключают продукты, способные вызывать повышенное газообразование.
Это черный хлеб, газированные напитки, спиртное, бобовые, кисломолочные продукты, специи, большое количество фруктов и овощей, не прошедших термическую обработку. Если назначено обследование печени, поджелудочной, то необходимо сократить до минимума потребление углеводов, либо вообще от них отказаться на время.
Это позволит разгрузить органы.
При наличии запоров или метеоризма пациенту назначают проведение клизмы, слабительные, ветрогонные препараты (Сорбекс, Эспумизан).
Если планируется проведение МРТ с контрастом, проводят аллергическую пробу на вводимое вещество. При наличии заболеваний почек, следует провести анализы мочи и крови, так как контраст дает сильную нагрузку на органы мочевыделения.
Женщинам стоит убедиться в отсутствии беременности. При гиперподвижности процедуру проводят под местным наркозом. Чересчур беспокойным пациентам врач назначет легкие седативные препараты.
Последний раз человек должен принять легкую пищу за 7 часов до назначенной процедуры. А за 4 часа исключается любая жидкость. Не стоит в день исследования пользоваться косметическими средствами, они могут повлиять на результаты.
Человек приходит с результатами предыдущего МРТ, если таковые имеются. За 40 минут принимает любой спазмолитик (Папаверин, Спазмалгон), посещает туалет. Следует снять все украшения, зубные протезы, парик.
Оставить ключи, банковские карты, гаджеты.
Цены
МРТ органов брюшной полости относится к дорогим процедурам. В целом по России цены на нее составляют от 4 000 до 10 000 рублей. На стоимость влияют рейтинг медучреждения, покупка контрастирующего вещества, ценообразование в регионе, время расшифровки результатов, их запись на носитель информации.
МРТ является одним из лучших диагностических методов, с помощью которого можно увидеть малейшие повреждения органов, тканей, клеточных мембран. Любой квалифицированный медицинский специалист при подозрении на серьезное заболевание у пациента назначает МРТ. Это позволяет выявить патологию на ранних этапах и начать своевременное лечение.
Что можно определить с помощью МР-томографии брюшной полости?

Магнитно-резонансная томография брюшной полости дает представление о состоянии внутренних органов, сосудов, нервов и лимфатических узлов этой области, а также клетчатки и органов забрюшинного пространства.
С помощью магнитного резонанса можно диагностировать заболевания, которые нельзя однозначно определить другими методами визуализации.
Использование контрастирующего вещества или магнитно-резонансной спектрографии делает сканирование более информативным и позволяет избежать применения инвазивных методик диагностики, таких как пункционная биопсия и диагностическая лапароскопия, которые могут нанести организму вред.
МРТ органов брюшной полости
Кому назначают магнитно-резонансную томографию живота?
МРТ брюшной полости часто назначают после предварительного обследования для подтверждения диагноза или его уточнения.
При обнаружении патологии в одном из органов делают прицельное сканирование пораженной области.
Часто патологический процесс удается локализовать на этапе предварительного обследования, в этом случае целесообразно назначать МРТ исследование пораженного органа, а не всех внутренних структур брюшной полости.
Магнитно-резонансное исследование дает общую информацию об изменениях во внутренних органах живота, а также забрюшинного пространства. При обнаружении патологических изменений делают прицельное сканирование пораженного органа.
Делать МР-томографию органов брюшной полости при отсутствии противопоказаний рекомендуют в следующих случаях:
- острые травмы области живота;
- подозрение на наличие доброкачественной или злокачественной опухоли в одном из органов;
- увеличение печени неизвестного происхождения;
- хронические боли в животе, причину которых невозможно увидеть с помощью УЗИ или эндоскопии, или когда эти исследования могут нанести вред или к ним имеются противопоказания;
- для оценки состояния опухоли в динамике после проведенного лечения, хирургического или консервативного, – магнитное поле и радиоволны не представляют вреда для организма, поэтому проводить исследования можно многократно даже этой группе пациентов.
Что включает магнитно-резонансное исследование брюшной полости?
В протокол МРТ брюшной полости также входит сканирование забрюшинного пространства, которые находятся на одном уровне. С помощью этого обследования можно получить информацию о состоянии следующих органов:
- Печени – показывает размеры и изменения во внутренней структуре органа, наличие полостных и жидкостных образований, состояние желчного пузыря и протоков, наличие патологической жидкости в подпеченочном пространстве.
- Поджелудочная железа — дает возможность увидеть воспалительные процессы (как острые, так и хронические), опухоли и кисты в поджелудочной железе, а также злокачественные новообразования. Часто магнитное сканирование показывает бессимптомный рак поджелудочной железы.
- Селезенка – позволяет диагностировать травматические повреждения и опухоли этого органа, многие из которых протекают бессимптомно. Обследование селезенки входит в МРТ органов брюшной полости;
- Почки и надпочечники – диагностика показывает внутреннюю структуру почек и их отделов, состояние мочевыводящих путей, опухоли или кисты. В результате МРТ брюшной полости часто диагностируют бессимптомные опухоли надпочечников.
- Желудок, кишечник – для их предметной визуализации требуется специальная подготовка, во время проведения МРТ органов брюшной полости сканирование этих органов делают в скрининговом режиме.
- Лимфоузлы брюшной полости и забрюшинного пространства, сосуды и нервы.
В каких случаях мрт неинформативно?
Целесообразно ли проводить МРТ решает врач
Если требуется обследовать желудок на выявление язвы или опухоли железистого слоя, обнаружить конкременты в желчном пузыре или опухоль стенки кишечника, МРТ брюшной полости в это случае менее информативно, чем УЗИ или рентгенография с контрастированием. Вреда от такого обследования не будет, но и пользы — тоже.
Именно поэтому пациентам рекомендуется обращаться к врачу, а не назначать себе исследования самостоятельно. На основании клинических симптомов врач сможет определить показания и противопоказания, назначит оптимальный метод диагностики, который позволит увидеть возникшие изменения.
Не все заболевания органов живота удобно диагностировать с помощью МРТ, есть случаи, когда использование УЗИ или контрастной рентгенографии предпочтительнее.
Что можно увидеть на магнитном скане области живота?
С помощью МРТ брюшной полости можно диагностировать такие заболевания:
- цирроз и жировую дистрофию печени;
- эхинококковые и амебные кисты печени, абсцессы;
- доброкачественные и злокачественные опухоли паренхиматозных органов;
- кистозные образования паренхиматозных органов;
- аномалии развития и дистрофические процессы в почках и мочеточниках;
- скопления крови или серозного выпота внутри брюшины и в клетчатке забрюшинного пространства;
- травматический разрыв печени или селезенки;
- нарушение проходимости сосудов брюшной полости, в том числе мезентериальный тромбоз.
Тромбоз мезентериальных сосудов
Чтобы МРТ брюшной полости было максимально информативным, нужно снизить воздушность петель кишечника и по возможности исключить их движения. Магнитное сканирование требует абсолютной неподвижности исследуемого органа, поэтому любое смещение может создать помехи, которые сделают изображение неточным. В этом случае делать МРТ придется повторно.
МРТ брюшной полости делают на голодный желудок, накануне исследования избегают пищи, стимулирующей перистальтику кишечника. Часто врач назначает медикаментозную схему для подготовки.
Противопоказания к проведению исследования связаны с наличием внутри тела металлических включений или электронных имплантируемых устройств.
Помимо этого, МРТ брюшной полости с контрастированием противопоказано при беременности ранних сроков, во втором и третьем триместре можно делать исследование, но с осторожностью, при условии, что потенциальная польза от исследования больше, чем возможный вред.
Боль внизу живота у женщин

Болезненность внизу живота периодически возникает у всех людей. Единичные случаи, вызываемые расстройством работы кишечника, скоплением газов или предменструальным состоянием, неопасны. Если боль появляется часто или становится интенсивной, нужно искать ее причину.
Боли в нижней части живота слева или справа
О чём говорит боль внизу живота?
При такой локализации у женщины подозревают:
- поражение мочеточников, вызванное их воспалением, продвижением мочевого камня, опухолью;
- сальпингоофоорит. При этом заболевании воспаляются яичник и маточная труба. Боль тупая, тянущая, сопровождающаяся небольшим повышением температуры, усиливающаяся после полового акта. При прогрессировании болезни возникает тубооваривальное образование, состоящее из спаянных между собой яичника и маточной трубы. При гнойном воспалении придатков повышается температура, появляются слабость, головокружение, ухудшение общего состояния женщины. Состояние опасно прорывом гноя в брюшную полость;
- трубный аборт, разрыв яйцевода, яичника или кисты. Эти болезни сопровождаются внутренним кровотечением, резкой, сильной, острой, режущей болью, анемией. Наблюдаются темно-красные выделения из половых путей, учащение пульса, слабость, тошнота и рвота;
- перекрут ножки кисты вызывает острую боль в правом или левом боку, тошноту, рвоту, потемнение в глазах;
- паховую грыжу, возникающую из-за расхождения брюшины и выхода в паховый канал петель кишечника, сальника, мочевого пузыря. Заболевание чаще возникает справа. Беспокоит болезненность в паху, нарушения стула и мочеиспускания. При ущемлении бевые ощущения усиливаются, нарастает кишечная непроходимость.
Болезненность слева внизу живота вызывается сигмоидитом (воспалением сигмовидной кишки). Беспокоят нарушения стула (чередование запоров и диареи), урчание по ходу кишки.
Болевые ощущения в правой нижней части живота – симптом острого аппендицита. При приступе появляются тошнота, рвота, повышение температуры. При надавливании на живот ощущается болезненность, усиливающаяся при отпускании руки. Иногда аппендицит дает нетипичную локализацию, живот болит в области пупка или весь. Все зависит от расположения отростка.
Боль внизу живота в центре
Опасна ли боль при менструациях?
Болезненность часто связана с предменструальным синдром и болезненными месячными – дисменореей. Эти состояния, хотя и вызывают дискомфорт, не опасны. Тянущая боль может продолжаться несколько дней. Она периодически усиливается, отдавая в крестец, поясницу и прямую кишку. Могут быть тошнота и рвота. С прекращением менструации неприятные ощущения исчезают.
Тянущая, ноющая болезненность внизу живота наблюдается у женщины при заболеваниях матки (эндометрите, эндометриозе, опухолях, опущении органа). Часто возникают патологические выделения из половых путей. Такие симптомы развиваются после аборта или диагностических процедур.
Болевые ощущения внизу живота в сочетании с расстройствами мочеиспускания (дизурией) характерны для заболеваний мочевого пузыря. Моча выделяется мутная с примесью крови.
Боль внизу живота без определенной локализации
Такие боли бывают:
- Схваткообразные (пульсирующие) боли внизу живота у женщин могут указывать на непроходимость толстого кишечника. Затрудненное продвижение каловых масс вызывает резкую схваткообразную боль – кишечную колику, точную локализацию которой сложно определить. Просвет кишечника закрывается в результате заворота, закупорки калом или желчными камнями;
- Частые боли в разных частях нижней части живота (летучие) наблюдается при глистных заражениях. Особенно опасны аскариды. Сворачиваясь в клубок, они закрывают просвет кишечника, вызывая непроходимость. Паразиты буравят слизистую, вызывая кровотечения и воспаление;
- При колите и синдроме раздраженного кишечника наряду с «летучими болями» наблюдется чередование запоров и диареи, урчание кишечника, метеоризм;
- Самая грозная причина болезненности внизу живота – злокачественные опухоли. По статистике, в 50% случаев на этот симптом пациентки впервые обращают внимание. Тип и интенсивность болезненных ощущений зависят от размера новообразования и его локализации.
Боль внизу живота при беременности
Чем опасны боли внизу живота при беременности?
Болезненность внизу живота при беременности характерна для угрозы прерывания. При начавшемся самопроизвольном выкидыше или преждевременных родах возникают кровянистые выделения из половых путей.
Боль в сочетании с кровотечением у беременных указывает на возможное отслоение плаценты или ее предлежание. Тянущие болевые ощущения – признак истмико-цервикальной недостаточности.
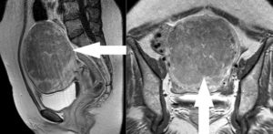
Мрт при болях внизу живота
МРТ органов малого таза
Поскольку болезненность в этой области может быть вызвана множеством заболеваний, обследуют мочеполовую систему и кишечник. У женщины определяют:
- изменение размера, формы и расположения внутренних органов – увеличение, атрофию, отек, смещение, опущение, перекрут;
- наличие воспалительных или опухолевых образований размером от 1,5 мм – их локализацию, форму, размер, степень спаянности с окружающими тканями. Сочетание новообразования с увеличением регионарных лимфоузлов указывает на онкопатологию;
- скопление в малом тазу жидкости, характерно для водянки (асцита), возникающей при заболеваниях почек, печени, злокачественных опухолях. С помощью МРТ определяют наличие крови в брюшной полости;
- пороки развития матки (удвоение, несоответствие размеров), опущение и смещение. При внематочной беременности виден плодный мешок, находящийся в маточной трубе, яичнике, шейке или брюшной полости;
- закупорку просвета кишечника опухолью, желчным камнем, клубком гельминтов, заворот кишок;
- состояние мочевыделительной системы: положение почек, их структуру, проходимость мочеточников, состояние стенок и размер мочевого пузыря, наличие камней и опухолей.
Диагностика проводится на высокопольном томографе силой поля 1,5 Тл. Это дает высокую информативность данных. При обследовании рассматривают органы со всех сторон и даже внутри.
При необходимости размер исследуемого участка увеличивают, чтобы рассмотреть досконально. При МРТ человек не подвергается облучению, а рассмотреть можно сразу несколько органов.
Это увеличивает эффективность исследования, упрощает и облегчает диагностику.
Женщин беспокоит вопрос – не вредно ли проводить МРТ во время беременности. В первом триместре такое обследование нежелательно из-за недостаточной изученности влияния МРТ на закладку органов ребенка. Во втором и третьем триместре томография безвредна для мамы и малыша. Она дает более точную и четкую картину, чем УЗИ. При исследовании можно рассмотреть плод, плаценту, оболочки, пуповину.
Боль внизу живота очень опасна, особенно если она сопровождается лихорадкой, тошнотой, рвотой, ознобом, нарушениями стула, мочеиспускания. Женщине нужно немедленно обращаться к врачу. Очень важно своевременное обращение при болях, возникших во время беременности.
Мрт брюшной полости: что показывает и какие органы проверяют при исследовании?

Современная медицина шагнула далеко вперед и предоставляет новые безопасные способы изучения внутренних органов.
Одним из таких вариантов диагностики заболеваний является магнитно-резонансная томография, или сокращенно МРТ.
Благодаря ей можно получать снимки человеческого организма в разных ракурсах, что обеспечивает специалистов всей информацией о состоянии больного для определения правильного диагноза.
Показания к МРТ диагностике органов брюшной полости
МРТ органов брюшной полости — достаточно дорогостоящий процесс, делающий ее лишь дополнительным инструментом в постановке диагноза. Намного чаще для диагностики патологий внутренних органов желудка применяют другие методы исследования, например, фиброгастроскопию. Однако существует ряд показаний, при которых МРТ живота необходимо, а именно в случаях:
- образования опухоли в желчных протоках и печени;
- цирроза печени;
- гепатитов;
- жировой дистрофии;
- абсцессов;
- паразитарных кист;
- желчнокаменной болезни, или холелитиаза;
- механической желтухи;
- гепатомегалии и спленомегалии;
- травматических повреждений;
- ишемического поражения паренхиматозных органов в брюшной полости;
- острого или хронического панкреатита;
- гепато-церебральной дистрофии;
- наличия в организме камней или инородных тел;
- скопления жидкости;
- скрытого кровотечения;
- аномального формирования органов живота;
- тромбоза или аневризмы;
- нарушений обменных процессов;
- почечных колик.
С помощью МРТ брюшной полости проверяют забрюшинное пространство, ворота печени, селезенки, брыжейку кишечника на наличие увеличенных лимфатических узлов и метастазов. Принцип их обнаружения основывается на подавленном сигнале, исходящем от жировой ткани. Плюс ко всему, магнитно-резонансная томография показывает динамику и эффективность терапии опухолей.
Какие органы брюшной полости обследуются?
Среди всех внутренних органов, которые обследуют таким способом, как МРТ брюшной полости, присутствуют:
- Печень. Целью является исследование аномальных явлений, а именно — выяснение степени проходимости, обнаружение опухолей и отеков, изучение кровотока печени.
- Поджелудочная железа. Благодаря МРТ специалист выявляет злокачественные опухоли уже на начальных стадиях. Ранняя диагностика дает возможность начать необходимую терапию как можно раньше. Также на фото врач видит кисты, доброкачественные новообразования, камни, способен обнаружить фиброз поджелудочной железы и обе формы панкреатита.
- Желчные и панкреатические протоки. С МРТ легко проверить их проходимость.
- Почки. Их обследование проводится при резких болевых приступах в пояснице, мочеиспускании с кровью, снижении объемов мочи, появлении новообразований, наблюдении за динамикой лечения мочеточников. С помощью МРТ осуществляется визуализация срезов почечных тканей.
- Селезенка. Проводится оценка ее структуры, габаритов и положения относительно других органов брюшной полости, что позволяет подтвердить или опровергнуть блуждание селезенки или образование у нее каких-либо дополнительных долей.
Также обследованию подлежат:
- желудок;
- толстый и тонкий кишечник;
- желчный пузырь и желчевыводящие пути;
- кровеносные сосуды и лимфоузлы;
- брюшина и стенки живота;
- мочеточники;
- надпочечники;
- паранефральная ткань.
Когда процедура противопоказана?
Среди противопоказаний:
- Присутствие в теле посторонних предметов, например, пуль, осколков или электронных систем, таких, как кардиостимулятор.
- Беременность, а именно первые 2 триместра, и период кормления младенца грудью (необходим перерыв в 24 часа).
- Клаустрофобия. Однако это ограничение решаемо путем применения седативных или обезболивающих препаратов. В настоящий момент уже существуют томографы открытого типа.
- Вес больше 130 кг.
- Повышенная чувствительность к веществу, используемому при контрастировании.
- Психические расстройства пациента.
- Наличие в организме любых устройств – имплантов. По причине сильного магнитного поля их работа может быть нарушена.
Мрт с контрастом и без
Пройти обследование брюшной полости и забрюшинного пространства, используя томограф, можно двумя способами: с контрастом или без.
При обычной процедуре МРТ применяют магнитные волны, обладающие разной длиной, которые, вступая в реакцию с атомами водорода, обеспечивают просвечивание организма. Для ее проведения требуется томограф – установка, куда помещается обследуемый.
В результате получается трехмерная картинка органов, тканей и отдельных структур с их расположением.
МРТ брюшной полости — безопасная методика исследования, которая проходит безболезненно. Также ее преимуществом перед аналогичными обследованиями типа КТ ОБП или флюорографии является отсутствие лучевой нагрузки.
Если необходимо более детально изучить определенный орган и получить качественное изображение, применяют контрастирование.
В его основе лежит использование внутривенного струйного введения контраста, которым выступает раствор йода, например, препараты Визипак, Омнипак, или медицинский раствор тяжелого металла гадолиния.
Вещество попадает только на патологические или имеющие аномалии участки, не причиняя вред организму. Выводится раствор вместе с жидкостью, что объясняет обильное питье непосредственно после проведения томографического обследования.
МРТ органов брюшной полости можно условно разделить на 2 этапа:
- подготовительные меры;
- сама процедура.
В подготовительные мероприятия входит ряд правил и требований, которые нужно выполнить:
- Не кушать в течение 8 часов перед процедурой. Если желудок будет наполнен, это негативно скажется на качестве изображения.
- Не пить за 4 часа. Причина та же, что и в случае с едой.
- За сутки не употреблять в пищу все то, что может спровоцировать образование газов. Это хлебные и булочные изделия, бобовые, кисломолочная продукция, питье с газом, капуста.
- Выпить 1-2 таблетки Но-шпы за полчаса до отправки в томограф.
- Сходить в туалет, чтобы освободить кишечник.
- Проверка на аллергическую реакцию при контрастировании.
Сам процесс исследования сводится к тому, что больной ложится на двигающийся стол, который перемещает его в томограф – трубу, окруженную магнитами. Пациент обязан быть неподвижным, поэтому руки и ноги могут быть зафиксированы с помощью ремней и валиков.
Длится процедура около получаса. Одежда должна быть свободной и удобной, без змеек, пуговиц или других предметов, сделанных из металла, которые могут сказаться на качестве снимка.
Для общения пациента с врачом имеется двухсторонняя связь, так как в кабинете больной находится один.
Полученные результаты расшифровываются в течение часа. Их описание вместе со снимками передается пациенту без диагностирования заболевания. Этим должен заниматься лечащий врач, направивший на МРТ.
Что показывает снимок?
Расшифровка МРТ брюшной полости направлена на то, чтобы детально описать то, что покажет полученный снимок, а именно — внешний вид исследуемых внутренних органов, сосудов и мягких тканей и видимые изменения в их структуре и расположении. Также на снимке видны метастазы и очаги зарождения болезней. По ним можно установить и характер опухоли.
Особенности магнитно-резонансной томографии органов брюшной полости ребенка
Важным требованием проведения процедуры МРТ является неподвижность обследуемого человека, находящегося в трубе томографа.
Маленькому ребенку, которому еще не исполнилось 6 лет, сложно не двигаться столь долгое время, а тем более оставаться одному в томографе. По этим причинам до этого возраста малышам не делают томографию.
Однако при острой необходимости в ее проведении ребенку делают наркоз, при котором пользоваться контрастом запрещено.
Мрт при беременности
Во время беременности осуществление МРТ ограничено первым триместром. Однако это противопоказание не является строгим. Принимать решение о том, стоит сделать томографию или нет, должна сама беременная женщина.
Данных о том, что прохождение процедуры привело к патологии плода, не существует. Однако именно в первые 12 недель внутриутробного развития идет процесс формирования внутренних органов и систем у ребенка, что увеличивает вероятность появления аномалии при любом внешнем воздействии.
Если есть возможность, лучше отложить процедуру на более поздний срок.
Сколько стоит диагностика?
МРТ – дорогая методика диагностирования заболеваний и обследования органов и сосудов. Ее стоимость выше обычных исследований, так как занимает больше времени.
То, сколько будет стоить процедура, зависит от ее вида и используемых веществ.
Например, обычная магнитно-резонансная томография стоит около 5000 рублей, а с контрастированием — дороже (до 6500 рублей), не учитывая цену на само вещество, которое используется как контраст.
