Мрт мочевого пузыря — что показывает и кому необходимо?

Диагностика заболеваний мочевого пузыря включает, по большей части, лабораторные методы исследования.
Иногда больному требуется инструментальное обследование, в частности – инвазивное (цистоскопия).
Но в последние годы ряд неприятных процедур может заменить МРТ мочевого пузыря с контрастом или без такового, при этом томография дает специалисту исчерпывающую информацию об имеющейся проблеме.
Томография мочевого пузыря – зачем назначается?
Обычно МРТ почек и мочевого пузыря рекомендуется при обнаружении заболеваний мочеполовой системы, в отношении которых уже был проведен ряд менее точных исследований. Если данных, что показывают прочие виды диагностики, недостаточно, то магнитно-резонансная томография позволит детализировать имеющуюся информацию. Преимущества МРТ очевидны:
- Высокая эффективность
- Безопасность
- Отсутствие боли и травматичности
Наиболее частое показание для выполнения МРТ на мочевом пузыре – выявление ракового заболевания.
Именно в части диагностики рака томография дает исчерпывающие данные – стадию болезни, вид злокачественной опухоли, ее распространенность, прорастание и метастазирование в регионарные лимфоузлы и близлежащие органы (мочеточники, матку и т.д.).
Отличные результаты обеспечиваются благодаря высокой разрешающей способности томографов и выполнения ими послойных снимков. Это позволяет обнаружить опухоли на самой ранней стадии – от пары миллиметров в диаметре.
Прочие показания к обследованию мочевого пузыря
Принцип действия МРТ основан на работе магнитного поля и получении отклика от тканей организма, поэтому после выполнения процедуры будут получены качественные снимки мягких тканей и полых органов. Данный метод диагностики даст информацию о состоянии и самого мочевого пузыря, и близких к нему структур.
Кроме подозрения на рак, нередко выполняется томография мочевого пузыря у женщины, жалующейся на признаки хронического цистита, если нет объективной картины по УЗИ. Рекомендуется выполнение процедуры и при таких симптомах:
- Затруднение мочеиспускания
- Болезненность мочеиспускания
- Смена цвета, запаха, объема мочи
- Боль внизу живота при нагрузке, в покое
Так как подобную клинику имеет ряд патологий, томография поможет дифференцировать эти заболевания и поставить точный диагноз. Например, болезни простаты и уретры у мужчин тоже дают схожий симптомокомплекс, поэтому МРТ поможет опровергнуть или подтвердить опасения врача.
Прочие показания для диагностики мочевого:
- Врожденные аномалии строения органа.
- Аномалии мочеточников и других частей мочевыделительной системы.
- Увеличение лимфоузлов данной анатомической области.
- Доброкачественные опухоли.
- Инфекционные болезни в хронической стадии, в том числе – туберкулез.
- Необходимость в уточнении зоны хирургического вмешательства и выбора типа операции.
- Потребность в оценке проведенного хирургического лечения или консервативной терапии (чаще – лучевой терапии, химиотерапии рака).
- Травма живота с подозрением на повреждение мочевого пузыря.
Таким образом, направить на процедуру МРТ может не только онколог, но уролог, венеролог, инфекционист и другие специалисты.
Зачем нужно контрастирование во время МРТ?
Экскреторная урография при МРТ представляет собой специальный метод исследования мочевого пузыря и мочевыводящих путей. Он основывается на способности мочевыделительной системы экскретировать (выделять) контрастные вещества, которые были введены в организм. Обычно применяются йодсодержащие вещества, которые перед процедурой МРТ вводят струйно внутривенно в течение 3 минут.
Контрастное усиление необходимо при выявлении новообразования и необходимости его дифференцирования. Проще говоря, специалист может рекомендовать такой метод диагностики при невозможности отличить раковую опухоль от доброкачественной без окрашивания тканей в контрастный оттенок. После введения препарата проводится серия снимков, которые затем анализируются врачом.
Так как мочевой пузырь находится рядом с петлями кишечника, повышенное газообразование может сильно ухудшить визуализацию по снимкам МРТ. Активную перистальтику кишечника надо снизить. Это достигается при соблюдении определенных рекомендаций:
- За 2 суток до обследования убрать из меню еду, повышающую газообразование (чернослив, сливы, яблоки, молоко, капуста, бобовые, свежий черный хлеб).
- Перед обследованием сделать очистительную клизму.
- Не кушать за 6 часов перед исследованием, если предполагается введение контраста.
Также важно не мочиться за 2 часа до процедуры, чтобы мочевой пузырь был наполненным. Еще для этой цели рекомендуется выпить за час до МРТ 1,5 литра воды без газа.
Если подготовка не была тщательной, данные будут неточными, и такое исследование возможно только в экстренных случаях.
Само обследование занимает от 15 минут до получаса, в зависимости от тяжести проблемы и необходимости делать внутривенное контрастирование.
Человек располагается на кушетке, его пристегивают специальными ремнями для сохранения неподвижности. Далее пациента на кушетке задвигают под дугу (купол) томографа, в течение указанного времени выполняют серию снимков. Перед МРТ необходимо снять все металлические украшения и предметы с тела, в том числе ремни с пряжками, а также убрать съемные зубные протезы.
Цена на томографию мочевого пузыря может колебаться в зависимости от клиники и необходимости введения контраста. Она составляет от 3000 до 8000 рублей.
Противопоказания к процедуре
При проведении контрастирования противопоказаниями станут аллергические реакции на вещества, содержащиеся в препаратах, а также тяжелые стадии почечной недостаточности, бронхиальной астмы, острый гломерулонефрит, гипертиреоз, феохромоцитома.
Отказать в выполнении обследования могут при:
- Наличии кардиостимулятора, прочих электронных устройств и некоторых видов эндопротезов
- Весе пациента более 180-200 килограммов (зависит от типа томографа)
- В первом триместре беременности
- Клаустрофобии, психических отклонениях
Заболевания, при которых назначают МРТ мочевого пузыря:
- Хронический цистит
- Туберкулез мочевого пузыря
- Карцинома или плоскоклеточный рак мочевого пузыря
- Лимфома
- Аденокарцинома
- Доброкачественные опухоли – папиллома, липома, фиброма
- Полипоз мочевого пузыря
- Мочекаменная болезнь с выходом конкремента в мочевой пузырь или мочеточник
- Запущенные стадии ИППП, особенно, сифилиса
- Дивертикулез
- Склероз шейки мочевого пузыря – болезнь Мориона
- Грыжа мочевого пузыря
МРТ мочеточников и мочевого пузыря – очень информативный метод диагностики, позволяющий увидеть самое начало развития любых болезней. Его назначают только по показаниям, ведь многие заболевания мочевого пузыря могут быть обнаружены при помощи менее дорогостоящих методик.
Мрт малого таза в диагностике заболеваний мочевого пузыря

С внедрением в клиническую практику МРТ постоянно проводятся работы по сравнительной характеристике перспективы применения этого метода в диагностике как заболеваний мочевого пузыря, так и окружающих его тканей и органов.
На данный момент большинство авторов убедительно доказывают, что точность, чувствительность и специфичность МРТ в диагностике опухолей мочевого пузыря максимально высока. Особенно важно применять МРТ с целью оценки стадии опухолевого процесса и дифференциальной диагностики поверхностного и инвазивного рака.
На настоящий момент установлено, что внутривенное контрастирование при этом значительно повышает диагностические возможности метода.
Также подавляющее большинство исследователей пришли к выводу о гораздо большей информативности МРТ при оценке экстравезикальной инвазии опухоли.
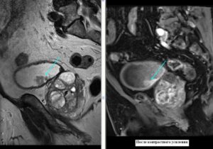
Опухоли мочевого пузыря
Визуализируется экзофитно растущее в просвет мочевого пузыря объемное образование на ножке (папиллярная уротелиальная опухоль).
С целью оценки глубины инвазии опухоли в стенку мочевого пузыря при МРТ исследовании используется внутривенное динамическое контрастирование.
Неинвазивная папиллярная уротелиальная опухоль. Корональное Т2-взвешенное МР- изображение показывает тканевой интенсивности сигнала опухоль (стрелка),растущая в просвет мочевойго пузыря.
При бесконтрастном исследовании создается впечатление о сохранности прилежащих отделов гипоинтенсивной стенки мочевого пузыря.
Однако достоверно судить о степени глубины инвазии можно только по постконтрастным сканам.
При этом важно проведение именно динамического внутривенного контрастирования (в артериальную фазу происходит усиление только ткани опухоли, но еще не успевает произойти усиление интактной стенки мочевого пузыря). На представленном контрастном Т1-ВИ изображении (артериальная фаза) на фоне накопления КВ тканью опухоли, подслизистого слоя, видно отсутствие инвазии прилежащей стенки мочевого пузыря.
Неинвазивная уротериальная карцинома
а) Т2-аксиальное изображение б) DW-аксиаальная плоскость
Мужчина, 49 лет, уротелиальная карцинома.
а) Т2-взвешенное изображение показывает опухоль с тканевой интенсивностью МР-сигнала на заднее-левой стенке мочевого пузыря.
При этом видно легкое повышение интенсивности МР-сигнала от гипоинтенсивной в норме стенки пузыря (стрелки).
(б Диффузинно-взвешенное изобрежение показывает опухоль (тонка стрелка) и ее распространение в подслизистый слой (головки стрелок), без признаков инвазии в мышечный слой.
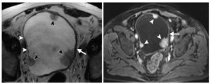
Инвазивная уротелиальная карцинома
а)Т2-tra б) Т1-sag в)Т2-диффузия (DW)
Мужчина, 72 года. В заднее-левых отделах мочевого пузыря визуализирвется объемное образование (уротелиальная карцинома), стадия 3b.
(а) Аксиальное T2-взвешенное изображение показывает больших размеров опухоль с инвазией мышечной стенки и развитием гидроуретера (стрелка). Видна инвазия мышечного слоя, но достовено судисть о паравезикальном распространении невозможно.
(б) Динамическое контрастирование на скане, проходящем перпендикулярно к основанию опухоли выявляет тотальное поражение стенки пузыря, нечеткость заднего контура опухоли.
(в) Поперечное диффузионно-взвешенное изображение демонстрирует большую опухоль с признаками трансмурального роста и инвазии в паравезикальную клетчатку (стрелка).
Инфильтративно растущие опухоли мочевого пузыря
а) Т2 cor FS б) Т2-tra
Женщина, 56 лет. Клинически – гематурия, морфологически верифицированная опухоль мочевого пузыря.
На представленных бесконтрастных Т2-взвешенных изображениях в корональной (а) и аксиальной (б) плоскостях видно асимметричное инфильтративное утолщение левой стеки мочевого пузыря, ригидность и уплощение левой стенки на фоне нормального наполнения пузыря. При этом наружный контур инфильтративно утолщенной стенки имеет нечеткие контуры.
Внутривенное динамическое контрастирование, Т1-ВИ, ранняя (артериальная фаза). Видно выраженное диффузное контрастное усиление всей толщины инфильративно измененной левой (и частично задней) стенок мочевого пузыря, с нечеткостью ее наружного контура и признаками минимального экстравезикального распространения.
Метастазы рака мочевого пузыря
Аксиальное Т1-взвешенное изображение (а), Т2-ВИ с жироподавлением (б) у пациента с раком мочевого пузыря. Определяется мелкое объемное образование шейки левой бедренной кости (стрелки).
При внутривенном контрастном усилении (с) – Т1 c FS определяется усиление данного мелкого образования, что позволяет подтвердить вторичную, метастатическую природу данного очага, несмотря на его малые размеры.
Таким образом, ценность МР-исследования заключается в возможности полипозиционного исследования, выбора любых плоскостей сканирования; многочисленных МР-последовательностях, дополняющих друг друга для повышения диагностической ценности получаемых результатов.
Динамическое контрастное усиление, а также диффузионно-взвешенные последовательности являются неоценимыми в диагностике глубины инвазии стенки мочевого пузыря, оценки экстравезикального распространения. Одновременно появляется возможность исследования паравезикальных тканей и органов; оценки состояния тазовых, паховых, параортальных лимфоузлов, костных структур на уровне визуализации.
МРТ должна предшествовать любому оперативному вмешательству по поводу опухоли мочевого пузыря, являясь на сегодняшний день наиболее информативной из неинвазивных методов диагностики. Диагностика неинвазивной формы опухоли мочевого пузыря делает возможным трансуретральную резекцию образования, т.е. позволяет правильно спланировать радикальное оперативное пособие.
Это локальное выпячивание стенки мочевого пузыря. Преобладают у мужчин, частота их встречаемости увеличивается с возрастом.
Развивается дивертикул, как правило, на фоне длительного повышения внутрипузырного давления при инфравезикальной обструкции (доброкачественная гиперплазия, рак предстательной железы, стриктуры уретры). Существует высокий риск развития уротелиального рака в дивертикуле мочевого пузыря за счет задержки в нем канцерогенных веществ.
При больших размерах дивертикулов показано оперативное лечение. По данным МРТ определяется локализация, размеры и осложнения дивертикула (воспаление или развитие опухоли).
а) Т2-сагиттальное изображение б) Т2-аксиальное изображение.
Незаращение мочевого протока
Урахус — кистозная или трубчатая структура, расположенная по средней линии, на уровне от пупка до верхушки мочевого пузыря. При незаращении мочевого протока могут возникать пупочный свищ, пузырно-пупочный свищ или киста урахуса.
а)Т1-аксиальное изображение б)Т2-сагиттальное изображение
а) Т1-аксиальное изображение показывает слабогипоинтенсивное включение, примыкающее к передней стенке мочевого пузыря (стрелка). б) сагиттальное T2-ВИ показывает гиперинтенсивное овальной формы (жидкостное) образование по средней линии в проекции верхушки мочевого пузыря. Данных за наличие связи между данным жидкостным образованием и полостью мочевого пузыря не выявлено (киста урахуса).
Что может показать МРТ мочевого пузыря?

Когда у врача во время осмотра появляются подозрения на наличие у человека любой патологии малого таза, он отправляет пациента на обследование ультразвуком, а затем может предписать дополнительно пройти рентген, или КТ.
Если полученных данных недостаточно, последним этапом в диагностике становится томография.
МРТ мочевого пузыря представляет собой совершенно безопасный и неинвазивный способ обследовать пациента и получить максимум информации об его состоянии.
Чаще всего его назначают как составную часть общего исследования, куда входят различные анализы (например, цитологические и бактериологические при подозрении на раковые образования).
Что может показать МРТ?
Обычно причинами к проведению такого МРТ становятся следующие моменты:
- Если появляются подозрения на развитие опухолей, как злокачественного (рак), так и доброкачественного характера (папилломы или полипы).
- В тех случаях, когда возможны какие-либо аномалии тканей.
- Если развиваются патологические увеличения лимфатических узлов.
- Когда у человека присутствуют врожденные проблемы развития всей мочеполовой системы.
- Если нужно подготовить пациента к хирургической операции или лучевой терапии.
- Для оценивания действенности назначенной или проведенной терапии, для наблюдения за опухолью.Рак мочевого пузыря
Нужно сказать, что чаще всего томография мочевого пузыря используется именно для того, чтобы выявить рак. Так как это обследование дает подробные высокоточные данные, причем в трехмерном виде, врач составляет полную картину болезни и общего состояния человека.
На снимке будет не только видна сама опухоль (отображается в виде сгустка), но и ее точные размеры, местоположение, степень проникновения в соседние органы и сам мочевой пузырь.
Обследуя пациента, специалист увидит следующее:
- МРТ мочевого пузыря показывает любые доброкачественные опухоли, злокачественные образования и их воздействия на ткани, что показывает врачу полную картину состояния организма. Особенно информативна будет картина, если применяется контраст: специалист увидит не только сгустки опухолей, но и подробные данные о распространении образования, воздействия на другие органы.
- Все аномалии анатомии конкретного пациента.
- Если в мочевом пузыре есть камни, будет видна их форма, а также локализация и точный размер.
- С помощью такого МРТ можно выявить причины проблем с мочеиспусканием.
- Если у человека были травмы живота, на снимках будут в подробностях видны все их последствия.
- Когда врач обследует рак, на снимке будет видна и степень пораженности соседних лимфатических узлов.
- В случае наличия раковой опухоли специалист изучит не только сам пузырь, но и простату, семенные пузырьки. Впрочем, на МРТ мочевого пузыря может отправить не только онколог, но и уролог, если в моче пациента появляется кровь. Обследование в данном случае подтвердит или исключит развитие инфекций мочевых путей, цистита, нефрита, различных венерических заболеваний или гломерулонефрита.
Вообще-то никакой специальной, сложной подготовки перед МРТ проводить не нужно, однако ряд правил все же есть.
- Необходимо уменьшить уровень образования газов, поэтому за неделю до даты обследования придется отказаться от включения в меню любых газированных напитков, овощей, особенно бобовых, капусты, а также хлеба с кисломолочными напитками.
- Если назначено МРТ мочевого пузыря, то подготовка к нему обязательно включает в себя и некоторые приемы очистки организма. Так, перед процедурой кишечник должен быть очищен обязательно. Это достигается либо естественным путем, либо при помощи клизмы или употребления слабительных. Выбирать лекарство самостоятельно нельзя ни в коем случае, его должен назначит врач.
- Обследование проводят обычно при среднем наполнении мочевого пузыря. То есть лучше выпит около полутора литров чистой воды незадолго до назначенного времени. Это касается как женщин, так и мужчин.
- Если обследование будет проводиться с контрастным веществом, водимым в кровь, нужно обязательно уведомить лечащего врача о наличии аллергических реакций на препараты.
Если не провести должной подготовки, обследование все равно состоится (как, например, в срочных случаях, когда времени просто нет), однако это негативно влияет на качество снимков, которые получает врач.
При этом нужно помнить, что, несмотря на универсальность МРТ, у него есть и ряд противопоказаний.
- Если в теле есть любые инородные предметы, сделанные из металла. В ходе проведения МРТ они нагреются и могут серьезно травмировать соседние ткани и органы.
- Проводить обследование нельзя при наличии кардиостимуляторов, автоматических дозаторов лекарств, инсулиновых помп, любых стальных имплантов (включая искусственные клапаны для сердца со стальными элементами), слуховых аппаратов.
- Если вес пациента превышает 130 кг (ему просто будет не поместиться в аппарат).
- Несмотря на то, что пока не установлено негативное влияние МРТ на ребенка, обследование проводится беременным женщинам только в самых крайних и неотложных случаях.
- Так как аппарат сделан в виде закрытого или почти закрытого цилиндра, обследование не назначается людям, страдающим от клаустрофобии.
- В случае наличия судорожных синдромов и любых заболеваний, сопровождающихся неконтролируемыми движениями (в аппарате нужно лежать спокойно, иначе снимки выйдут низкого качества).
Вся процедура обычно занимает около получаса, обследование показывает все тонкости, выдает максимум информации, затем врач пишет заключение и выдает его больному вместе со всеми снимками. Теперь можно отправляться к лечащему врачу или профильному специалисту (в зависимости от того, что именно показало обследование).
Заключение
Описанное МРТ является крайне эффективным и информативным способом обследования. Благодаря высокой разрешающей способности аппарата врач видит мельчайшие срезы тканей, самое начало развития патологий, стадию болезни, все размеры и расположения опухолей, степень их проникновения в близлежащие органы и ткани.
При этом процедура совершенно безвредная и может проводиться даже несколько раз подряд (так как в основе лежит безопасное магнитное поле, а не разрушительное воздействие рентгеновских лучей).
МРТ не требует практически никакой подготовки, что тоже является его преимуществом. Стоимость процедуры является вполне доступной.
Однако нужно учитывать, что если используется контрастный состав, ценник увеличится примерно вдвое.
Мрт мочевого пузыря

Мочевой пузырь – один из важных органов выделительной системы и от качества его функции зависит слаженная работа всего организма. Поэтому при малейших подозрениях на отклонения в деятельности следует посетить уролога и получить консультацию. Как правило, наряду со сдачей анализов назначаются обследования, основанные на компьютерной диагностике.
В случаях, когда рентгенологический или метод компьютерной томографии не приносят достоверных результатов или не дают достаточно информации, чтобы сделать заключительный диагноз для уточнения назначается Мрт мочевого пузыря. С помощью его возможностей врачу несложно дифференцировать многие патологии и назначить соответствующую терапию.
Почему именно МРТ лучше для обследования мочевого пузыря?
Из-за расположения органов в малом тазу не всегда представляется возможным провести диагностику с помощью рентгеновского метода или компьютерно-томографического исследования.
Не получается рассмотреть четкие границы нарушений или определить качество изменения в тканях.
Зато магнитно-резонансная томография, благодаря особенностям, на которых основан метод, позволяет получить точные результаты состояния органа, необходимые для установления диагноза и выбора тактики лечения.
Поэтому во многих случаях для обследования мочевого пузыря приходится прибегать к МРТ. Метод обладает целым перечнем преимуществ – точностью, безболезненностью, неинвазивностью и абсолютной безвредностью и имеет всего лишь один недостаток – высокую стоимость. Это одно из немногих препятствий ограничивающее назначение процедуры в первую очередь вместо КТ, УЗИ или рентгена.
Когда назначается диагностика?
К обследованию мочеполовой системы и, в частности, мочевого пузыря методом магнитно-резонансной томографии прибегают при наличии определенной неспецифической симптоматики, настораживающей как пациента, так и врача.
Это могут быть следующие признаки:
- болевые ощущения при мочеиспускании;
- затрудненное мочеиспускание;
- недержание мочи (дневное или ночное);
- появление неприятного запаха, изменение цвета и объема мочи;
- наличие крови или кровяных прожилок в выделяемой жидкости;
- боли в паховой области при физических нагрузках или в состоянии покоя;
- увеличение лимфатических узлов в паховой области.
Такие симптомы могут быть следствием патологических процессов не только в мочевом пузыре, но и в близлежащих органах малого таза. Это могут быть болезни яичников, матки, прямой кишки, кровеносных сосудов или предстательной железы у представителей сильного пола. Подозрение на наличие опухолевых процессов в мочевом пузыре тоже причина для назначения данной процедуры.
Боли в паху и нарушение мочеиспускания — одни из первых признаков заболеваний мочевого пузыря
Мрт мочевого пузыря применяется для детальнейшего рассмотрения и оценивания врожденных патологий его строения и функционирования. Также процедура назначается для тщательного осмотра и анализа перед оперативным вмешательством по поводу удаления онкологических новообразований.
Какие патологии диагностируются?
Данный метод назначается весьма часто, потому что показывает Мрт мочевого пузыря множество патологий, имеющих различную симптоматику и стадийность, оказывающие влияние на нормальное функционирование органа. С помощью процедуры выявляются:
МРТ органов малого таза с контрастом
- доброкачественные и злокачественные процессы в мочевом пузыре;
- врожденные отклонения развития мочеполовой системы;
- различные тканевые патологии;
- заболевания лимфатической системы (при изучении паховых лимфоузлов);
- наличие конкрементов (камней), их локализация и размер;
- грыжи, дивертикулы, склероз шейки (заболевание Мориона).
В онкологии МРТ применяется для выбора тактики хирургического вмешательства или принятия решения по назначению лучевой или химиотерапии.
Для пациентов, уже прошедших курс противораковой терапии периодически проводят магнитно-резонансное обследование для оценивания динамики опухоли или для предупреждения рецидива.
Благодаря отсутствию при исследовании лучевой нагрузки МРТ стал оптимальным вариантом при диагностике онкологических больных.
Для определения новообразований в мочевом пузыре применяется контрастное усиление, способное выявить данную патологию на начальных стадиях развития.
Зачастую чтобы иметь возможность сделать заключительные выводы относительно постановки диагноза, особенно в случаях подозрений на онкологические процессы в мочевом пузыре, назначается МРТ с контрастом. Так как мочевой пузырь – полый орган, то применение контрастного вещества обеспечит максимальную степень получения достоверных результатов.
Безусловно, процесс диагностирования затянется по времени – уйдет приблизительно около часа, оплата тоже возрастет почти в два раза, но зато будут получены точнейшие данные. Для контраста применяются препараты, произведенные на основе солей гадолиния, позволяющие отследить разницу между пораженными и здоровыми тканями организма.
Так, например отличия между новообразованиями и здоровой тканью заключаются в наличии у первых более развитой сосудистой сетки, и, следовательно, при вводе внутривенно контраста окрашиваются быстрее и ярче. Это способствует оценить не только присутствие патологий, но и их размер, а также четкие границы. Для выявления онкологических заболеваний МРТ с контрастом – незаменимая диагностика.
Подготовка к исследованию мочевого пузыря не включает в себя сложно выполнимых или существенно изменяющих обычную жизнь пациента действий.
Но определенные рекомендации учесть для получения максимально точных результатов необходимо.
Первым с чего нужно начать, это за несколько дней до планируемого обследования следует придерживаться диеты, состоящей из продуктов не вызывающих газообразование.
К газообразующим продуктам относятся: бобовые, чернослив, сдобная выпечка, черный хлеб, орехи, баклажаны
Так как мочевой пузырь расположен близко от петель кишечника, то усиленная перистальтика может повлиять на ход процедуры. Поэтому для избегания при процедуре подобных неудач из-за активности кишечника, накануне перед обследованием, пациенту необходимо сделать очистительную клизму.
Если у больного в теле присутствуют несъемные металлические предметы (за исключением титановых), то об этом стоит предупредить лечащего врача и принести с собой документы с их характеристикой и принципом работы, чтобы он мог оценить возможность проведения МРТ в такой ситуации.
Исследование мочевого пузыря проводится при его наполненном состоянии, поэтому пациенту в течение 1–2 часов до начала процедуры следует выпить около 2 литров воды без газа и воздержаться от посещения туалета пока не пройдет обследование.
При диагностировании органов малого таза, в которое входит и изучение состояния мочевого пузыря, последний должен быть наполнен наполовину.
Для этого за 2 часа необходимо посетить туалет и не пить никакой жидкости, кроме уже выпитых 1,5 литров заранее.
Непосредственно перед самой диагностикой нужно снять с себя все съемные металлические предметы – украшения, часы, зубные протезы, очки или просто в этот день их не надевать, если это возможно. Также лучше позаботиться о том, чтобы одежда не содержала молний и металлических пуговиц, страз или не была выполнена из люрекса.
Если МРТ назначается с контрастным усилением, то накануне или за несколько часов до проведения обследования пациенту обязательно делают тестирование на появление возможных аллергических реакций от препарата, применяемого для контраста. Как правило, больные не реагируют на ввод препарата, но все равно бывают редкие исключения, поэтому лучше предусмотреть все возможные последствия.
Проведение исследования
Сама процедура длится не более 20-30 минут (с контрастированием до часа) и не выделяется из множества подобных компьютерных диагностик. Отличается лишь довольно громкими шумовыми эффектами и круглой формой аппарата, из-за которой некоторым пациентам сложно пройти обследование.
К таким относятся люди страдающие клаустрофобией или психическими расстройствами, но прием легкого успокоительного средства обычно помогает проведению процедуры без негативных сопровождающих моментов. Для боящихся замкнутых пространств можно выбрать медицинское учреждение предлагающее обследование в аппарате МРТ открытого типа.
Томограф открытого типа подходит пациентам с клаустрофобией
Чтобы пройти процедуру, пациент снимает с себя все металлические съемные предметы и если они содержатся на одежде, то раздевается. Медицинский работник поясняет ему принцип проведения обследования, укладывает на кушетку (аппаратный стол) и задвигает ее в аппарат.
При работе томограф издает шум, о котором пациента предупреждают заранее и дают своеобразную кнопку для связи с диагностом, чтобы в случае необходимости можно было позвать на помощь и прекратить процедуру. По окончании обследования и получения результатов пациент может заниматься своими делами – МРТ на его состояние никак не повлияет.
Показывает ли МРТ онкологию

Преимущество МРТ перед иными методами обследования — возможность определить онкологию с самой ранней стадии заболевания и не только выявить метастазы, но и визуализировать их при локализации вне основного очага.
Послеоперационное сканирование позволяет уточнить влияние хирургического воздействия на основной очаг заболевания. Может ли МРТ показать рак еще до того, как малигнизированные атипичные клетки накопились в лимфоузлах? Какие перспективы в онко-диагностике открывает магнитно-резонансная томография?
Мрт в диагностике онкологических заболеваний
Можно ли на МРТ увидеть рак? Да — на самой ранней стадии, пока атипичные клетки еще не начали разрастаться.
МРТ определяет рак в очагах, размеры которых еще не достигли 1 мм, то есть до появления новообразования.
Если во время сканирования были визуализированы симптомы, указывающие на развитие опухоли, процедуру можно прервать и ввести контраст, чтобы уточнить топографию опухоли и стадию ее развития.
Отметим, что ответ на вопрос, видно ли опухоль на снимке, зависит от режима сканирования — чаще всего такие патологии диагностируются только при введении контрастного препарата в кровь пациента.
Такое исследование позволяет дифференцировать на МРТ-снимках доброкачественную опухоль от злокачественной, оценить ее размеры, связь с другими тканями, полностью оценить объем предстоящего оперативного вмешательства.
При локализации злокачественных новообразований около важных жизненных структур может быть принято решение о консервативном лечении. Благодаря магнитно-резонансному сканированию возможно наблюдать за опухолью в динамике, отслеживать влияние терапевтического воздействия на пораженные ткани.
Диагностика рака при КТ также может показать развитие и стадии онкологического процесса, оценить прогресс лечения, но дополнительное воздействие рентгеновского излучения может оказаться дополнительной нагрузкой на изнуренный болезнью организм. Поэтому при отсутствии противопоказаний предпочтение отдают МРТ обследованию.
Может ли МРТ не показать опухоль?
При возникновении злокачественного новообразования возможность успешного лечения напрямую зависит от того, насколько быстро оно замечено. Магнитно-резонансная томография на сегодняшний день – самый совершенный инструмент аппаратной онкодиагностики.
Томограф помогает разглядеть в любой области организма патологические элементы размером в несколько миллиметров. При такой величине ещё не начинается формирование метастазов, атипичные клетки не успевают отсеяться в лимфоузлы и соседние органы. На этой стадии рак можно победить консервативным лечением.
Поэтому вполне оправдано направление на МР-сканирование при подозрении на злокачественную опухоль.
Чтобы можно было лучше увидеть опухоль на МРТ применяется контрастирование. Это несколько усложняет процесс и требования к подготовке к нему, зато на выходе имеется более чёткая информация о состоянии исследуемого органа. В случае бесконтрастной диагностики чаще всего можно обнаружить опухолевые образования больших размеров.
Магнитно-резонансная томография может не выявить опухоль в случае, если исследование проводилось на аппарате с низкой индукцией магнитного поля.
Качества снимков, выполненных на таком оборудовании, может оказаться недостаточным для распознавания патологического процесса.
Вот почему при подозрении на опухолевые заболевания пациентам категорически рекомендуется проходить обследование на современных высокопольных аппаратах.
Видны ли метастазы на МРТ?
Метастазы хорошо видны на снимках при любой локализации, но для повышения достоверности результатов пациенту вводят контрастное вещество.
Это необходимо делать в случае развития метастаз:
- в забрюшинном пространстве и органов брюшной полости, малого таза;
- в центральной нервной системе — отделах головного и спинного мозга;
- при подозрении на метастазы в мягких тканях, внутриорганные метастазы.
При локализации очагов в костной системе усиление контрастом используется редко.
Как выглядит рак на МРТ снимке?
Вне зависимости от локализации злокачественного процесса, опухоль на снимках выглядит как затемненный очаг среди здоровых тканей. Границы его могут быть как четкими, так и нечеткими — это зависит от характера и стадии процесса.
Внутри злокачественные опухоли содержат кальцинаты, в них часто образуются участки некроза — на фотографии ясно видна «рыхлость» среза. Раковые опухоли разрушают окружающие ткани — на снимке можно увидеть ореол вокруг темного пятна.
Онкологический процесс в сосудистых образованиях можно визуализировать только при использовании контрастного вещества. Злокачественные новообразования накапливают больше контрастного вещества, поскольку характеризуются густой сетью сосудов и интенсивным кровоснабжением.
Однако и при МРТ не всегда можно получить максимально-достоверный результат по поводу злокачественного процесса. В этом случае пациенту рекомендуют дополнительно сделать биопсию.
С помощью магнито-резонансной томографии можно получить достаточно достоверный результат, но диагноз на основании расшифровки результатов не ставится. Поэтому не стоит начинать самолечение по предварительным данным после скрининга. Окончательный диагноз ставит лечащий врач, учитывая жалобы больного и результаты всех обследований.
Как выглядит опухоль на МРТ-фото
МР томограмма – не просто фото, на котором видно, как выглядит опухоль. Специалисту она говорит о величине, конфигурации новообразования, его взаиморасположении с элементами нервной и сосудистой системы, соседними органами.
На экране компьютера создаётся реконструкция поражённого раком участка организма. Бывает, что удалять опухоль очень опасно, тогда МРТ становится щадящим инструментом консервативного контроля состояния.
Проводятся МРТ исследования и для отслеживания реакции на лучевую и химиотерапию, хирургическое вмешательство.
Показания МРТ в исследовании болезней мочевого пузыря: альтернативные методики, подготовка

Магнитно-резонансная томография урогенитального тракта — это вид функциональной диагностики, преимуществом которого является информативность и безопасность из-за отсутствия лучевой нагрузки.
Полученные данные помогают визуально оценить патологические изменения в мочевом пузыре, окружающих тканях, органах и сосудистых структурах в трёх плоскостях.
Точное установление характера болезни и распространения процесса в мочеполовой системе влияет на выбор тактики лечения, от которого зависят здоровье и жизнь пациента.
Заболевания, которые выявляют с помощью томографии
МРТ диагностирует патологию мочеполовой системы воспалительного, деструктивного характера, аномалии развития, приводящие к нарушению функции органов.
Используется для выявления изменений, полученных вследствие травмы и опухолевых процессов. Перечень болезней мочевого пузыря:
- новообразования доброкачественного характера (папиллома, полип, эндометриоз);
- злокачественные неоплазии (переходно-клеточный рак, аденокарцинома);
- инвазия в шейку мочевого пузыря опухолевых клеток у мужчин с раком простаты;
- удвоение органа, дивертикул, контрактура шейки;
- травматический разрыв;
- мочекаменная болезнь;
- цистит.
Мышечно-инвазивная опухоль мочевого пузыря
Когда выбирают МРТ в качестве метода обследования
Если при наличии жалоб и клинической симптоматики болезней мочеполовых органов методы лабораторной и инструментальной диагностики не дали результатов, позволяющих установить диагноз, назначается МРТ.
Томография показана при увеличении и болезненности паховых лимфоузлов, подозрении на опухолевый процесс, в качестве динамического наблюдения за неоперабельными образованиями и для принятия решения о методах лечения (консервативное или хирургическое).
Показания к применению контрастных веществ
МРТ мочевого пузыря с применением контраста на основе хелатов гадолиния помогает получить изображения, где чётко прослеживаются различия контрастности нормальных и патологически изменённых структур и тканей.
Стандартная доза парамагнетика для взрослого человека — 14-20 мл. Введение препарата показано:
- при подозрении на опухолевое заболевание злокачественного генеза;
- для дифференциальной диагностики с доброкачественными процессами;
- для выявления метастазов и прорастания опухоли из мочевого пузыря в окружающие ткани.
Перед исследованием мочеполовой системы для улучшения визуализации органов пациенты проходят подготовку.
Для этого за 2 дня до процедуры назначается диета, цель которой уменьшить газообразование и перистальтическую активность кишечника.
Из продуктов питания исключаются бобовые, капуста, сдоба, молоко, газированные напитки.
Накануне рекомендуется постановка очистительной клизмы. За 2 часа до процедуры пациент выпивает воду в объёме 1,5 л и на диагностику приходит с полным мочевым пузырём.
Детям до 7 лет вводятся седативные препараты после консультации анестезиолога.
Для прохождения МРТ с контрастом, пациент предоставляет результаты биохимии крови с определением уровня креатинина давностью 3-7 дней.
Как проходит процедура
В кабинете МРТ перед исследованием заполняется информированное согласие. Затем рентгенолаборант снимает с пациента металлические предметы (слуховые аппараты, зубные протезы, серьги) и помогает переодеться в специальную одноразовую одежду.
Пациент ложится на подвижный стол и ему накладывают поверхностную катушку на обследуемую зону.
В руку даётся груша экстренного вызова, в случае, если больной почувствует себя плохо и захочет прервать процедуру.
На уши надевают наушники для звукоизоляции, поскольку работа аппарата сопровождается шумовыми эффектами.
Исследование последовательно проводится в трёх проекциях: аксиальной, сагиттальной, коронарной.
Если имеются показания для применения контрастного вещества, устанавливаются катетеры и инфузионные трубки.
После введения контраста выполняется серия сканирований в течение 25-30 минут, затем пациента снимают со стола.
Врач обрабатывает полученные данные, документирует изображения и оформляет заключение.
В каких случаях мрт противопоказано
Пациенты, в организме которых находятся металлические ферримагнитные конструкции (протезы, штифты, проволоки, кардиостимулятор, скобы), не допускаются к диагностике.
Женщинам до 20 недель беременности МРТ проводится строго по показаниям. Ограничение по весу предусматривается для пациентов с массой тела 120-150 кг.
Больным в возбуждённом состоянии, в алкогольном и наркотическом опьянении процедура не проводится.
Для исследования в аппаратах закрытого типа не допускаются пациенты, страдающие клаустрофобией.
Альтернативные методы диагностики
При невозможности выполнения МРТ используют методы, которые обладают диагностической ценностью. К ним относятся:
- КТ мочевого пузыря — даёт послойную картину стенок органа и окружающих тканей. Выявляет образования и инородные тела (инструментальная диагностика с повышенной лучевой нагрузкой ).
- УЗИ — оценивает форму, толщину и контур стенок, наличие песка в полости и уровень остаточной мочи.
- Цистоскопия — исследуется внутренняя поверхность и содержимое органа с помощью эндоскопического аппарата. Выполняется путём введения в полость пузыря через уретру катетера с камерой и осветительной системой.
- Цистография — получение изображения на рентгеновских снимках с помощью контрастных веществ, введённых в кровеносную систему или непосредственно в орган. Диагностирует конкременты, поражение стенок туберкулёзом, опухолевым процессом.
КТ
Сколько стоит МРТ
Цена на МРТ диагностику мочевого пузыря зависит от мощности аппарата, на котором проводится исследование, квалификации врачей и применения вещества для контрастирования. Стоимость процедуры 4000-6000 рублей.
Контрастное вещество оплачивается отдельно, в среднем 2000 рублей за 1 флакон (10 мл).
Достоверность МРТ в диагностике болезней мочевого пузыря составляет 85%, что показывает её преимущество по сравнению с другими видами исследования. Недостаток методики — длительность процедуры и высокая стоимость.
