Микроскопия нативного мазка, окраска по Граму

Метод Грама представляет собой метод окрашивания микроорганизмов для исследования, что позволяет дифференцировать бактерии по биохимическим свойствам их клеточной стенке. Данное исследование было разработано в 1884 году датским врачом Гансом Кристианом Грамом.
Для окрашивания мазка по Граму применяется анилиновый краситель — генциановый или метиловый фиолетовый и другие, после чего краситель фиксируют раствором йода.
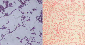
При промывании окрашенного препарата спиртом виды бактерий, которые оказались прочно окрашенными в синий цвет, называют грамположительными бактериями, они обозначаются Грам (+), — в отличие от грамотрицательных, Грам (−), которые при промывке обесцвечиваются.
После промывания растворителем при окрашивании по Граму добавляется контрастный красный краситель, окрашивающий все грамотрицательные бактерии в красный либо розовый цвет.
Данная особенность основана на наличии у бактерии внешней мембраны, которая не позволяет проникнуть красителю внутрь клетки.
Анализ применяется для классификации бактерий, разделяя их на две группы, основываясь на строении их клеточной стенки.
Окраска по Граму имеет важное значение в систематике бактерий, а также для микробиологической диагностики инфекционных заболеваний.
Кокковые и спороносные формы бактерий, а также дрожжи — грамположительны и при окрашивании приобретают иссиня-черный или темно-синий цвет, многие неспороносные бактерии — грамотрицательны и окрашиваются в красный цвет, при этом ядра клеток приобретают ярко-красный цвет, а цитоплазма — розовый.
Окраска по Граму – это достаточно сложный способ окраски, так как в этом случае на мазок воздействуют двумя красителями, один из которых является основным, а другой — дополнительным. Помимо красящих веществ при сложных способах окраски используются обесцвечивающие вещества, например, спирт или кислоты.
При проведении окраски по Граму преимущественно применяются красители трифенилметановой группы, такие как генциановый, метиловый фиолетовый или кристаллический фиолетовый.
Грамположительные Грам (+) микроорганизмы формируют прочное соединение с перечисленными выше красителями и йодом.
При этом они не обесцвечиваются при воздействии на них спиртом, в результате чего при дополнительной окраске фуксином Грам (+) микроорганизмы не изменяют первоначально принятый фиолетовый цвет.
Грамотрицательные Грам (-) микроорганизмы формируют с основными красителями и йодом легко разрушающееся под воздействием спирта соединение, вследствие этого происходит обесцвечивание микробов, благодаря чему они окрашиваются фуксином, приобретая красный цвет.
Показания
Данное исследование назначается:
при заболеваниях мочеполовых органов, например, цистите, уретрите, пиелонефрите, простатите для обнаружения их возбудителя;
при заболеваниях ЛОР-органов, например, отите, синусите, рините, ангине, тонзиллите;
при заболеваниях бронхолегочной системы, таких как трахеит, бронхит, плеврит, воспалительное поражение легких;
при заболеваниях пищеварительного тракта инфекционного генеза, гастритах, энтеритах, а также острых кишечных инфекциях.
Полученные результаты
Метод Грама позволяет дифференцировать бактерии по биохимическим свойствам их клеточной стенки.
Окраска по Граму имеет важное значение в систематике бактерий, не менее важной она является для микробиологической диагностики инфекционных заболеваний.
Грамположительны кокковые (кроме представителей рода Neisseria) и спороносные (за исключением Coxiella burnetii) формы бактерий окрашиваются в иссиня-черный либо темно-синий цвет.
Грамотрицательные многие неспороносные бактерии окрашиваются в красный или розовый цвет.
Предполагаемые болезни
Результаты микроскопии дают возможность ориентировочно судить о характере микрофлоры, ее количественном содержании и соотношении различных видов микроорганизмов в биологическом материале, что также позволяет получить предварительную информацию об обнаружении этиологически значимого инфекционного агента в данном биоматериале, что позволяет специалисту быстро назначить корректное лечение (эмпирическое). Микроскопическое исследование мазка (бактериоскопия), окрашенного по Граму, применяют при исследовании мокроты, гноя, отделяемого из ран, слизистых оболочек, например, мазка из цервикального канала, зева, носа, глаза, уретры, ротоглотки.
Врач-консультант
Данное исследование может быть назначено врачом общей практики, оториноларингологом, инфекционистом, хирургом, терапевтом, педиатром.
Микроскопическое исследование мазка из влагалища с окраской по Граму (с оценкой по шкале Ньюджента)

» [«cito_period»]=> NULL [«cito_period_max»]=> NULL [«cito_period_unit_name»]=> NULL [«group_id»]=> string(5) «31879» [«id»]=> string(4) «2874» [«url»]=> string(80) «mikroskopicheskoje-issledovanije-mazka-iz-vlagalishha-s-okraskoj-po-gramu_110308» [«podgotoa»]=> string(523) «
Мазки не следует брать:
- во время менструации;
- ранее 5 дней после использования вагинальных свечей, тампонов или спермицидов;
- после вагинального исследования (УЗИ малого таза, кольпоскопия), спринцевания;
- ранее 24-48 часов после полового контакта.
» [«opisanie»]=> string(9037) «
Метод исследования: Микроскопия
Бактериоскопия окрашенного по Граму мазка из влагалища – это «золотой стандарт» диагностики бактериального вагиноза. Диагностика бактериального вагиноза основывается на наличии или отсутствии следующих признаков:
- уменьшение количества или исчезновение лактобацилл – грамположительных палочек разной длины и толщины;
- увеличение количества грамвариабельной (смешанной) кокко-бациллярной микрофлоры;
- наличие ключевых клеток, которые представляют собой поверхностные клетки эпителия влагалища с адгезированными на них бактериями, за счет чего эпителиальная клетка имеет зернистый вид, а края таких клеток выглядят нечеткими.
Для оценки результатов исследования препаратов, полученных из отделяемого влагалища и окрашенных по Граму, используется стандартная десятибалльная шкала (критерии Ньюджента). В основе лежит система баллов (очков) от 0 до 4 и их комбинация для диагностики и оценки степени бактериального вагиноза по оценке трех бактериальных морфологических типов (морфотипов) влагалища:
А — Лактобациллы — большие грам-позитивные палочки (Lactobacillus acidophilus:large gram-positive rods)
B — Вагинальная гарднерелла и бактероиды — мелкие грамвариабельные и грамотрицательные кокки (Gardnerella vaginalis and Bacteroides species :small gram-variable or gram-negative rods)
C — Мобилункус — изогнутые грамвариабельные палочки (Mobiluncus species:curved gram-variable rods).
Мазок из влагалища окрашивают по Граму и считают отдельно количество выявленных морфотипов под иммерсионной системой микроскопа в поле зрения:
| более 30 морфотипов | нет морфотипов | нет морфотипов | |
| 1 | 5 — 30 морфотипов | один морфотип | один морфотип |
| 2 | 1-4 морфотипа | 1-4 морфотипа | 1-4 морфотипа |
| 3 | один морфотип | 5 — 30 морфотипов | 5 — 30 морфотипов |
| 4 | нет морфотипов | более 30 морфотипов | более 30 морфотипов |
Количество полученных баллов суммируют (A+B+C)
- 0 — 3 балла — нормальная микрофлора
- 4 — 6 баллов — промежуточная микрофлора
- 7 — 10 баллов — бактериальный вагиноз.
Микроскопическое исследование мазка из цервикального канала и отделяемого из влагалища является необходимым методом в скрининге и диагностике инфекционно-воспалительных заболеваний женских половых путей (цервицит, вагинит), поскольку позволяет оценить степень воспалительного процесса (лейкоцитарную реакцию) и состояние микрофлоры, а также выявить элементы грибов рода Candida, трихомонады, внутриклеточные грам-отрицательные диплококки.
Показания к исследованию:
- Скрининговые исследования при профилактических осмотрах, диспансеризации, ведении беременности, перед проведением гинекологических операций;
- Комплексная этиологическая диагностика патологических выделений из влагалища, клинических проявлений вагинита, цервицита; дифференциальная диагностика бактериального вагиноза;
- Постлечебный мониторинг вагинита, цервицита, бактериального вагиноза..
Интерпретация результатов:
Референсные значения (вариант нормы).
Пример результата исследования:
| Микроскопия мазка из влагалища | |
| Клетки плоского эпителия (влагалище), в п/зр | |
| Соотношение лейкоцитов к клеткам плоского эпителия (влагалище) | 30 (4) |
| Грамвариабельные коккобациллы (влагалище), в п/зр (балл по Ньюдженту) | 5 — 30 (3) |
| Грамвариабельные изогнутые палочки (влагалище), в п/зр (балл по Ньюдженту) | Не обнаружены (0) |
| Сумма баллов по шкале Ньюджента |
Интерпретация результатов по шкале Ньюджента:
- 7-10 баллов — бактериальный вагиноз
- 4-6 баллов — промежуточный тип микрофлоры
- 0-3 баллов — отсутствие бактериального вагиноза
Обращаем Ваше внимание на то, что интерпретация результатов исследований, установление диагноза, а также назначение лечения, в соответствии с Федеральным законом № 323-ФЗ «Об основах охраны здоровья граждан в Российской Федерации» от 21 ноября 2011 года, должны производиться врачом соответствующей специализации.
» [«serv_cost»]=> string(3) «570» [«cito_price»]=> NULL [«parent»]=> string(2) «31» [10]=> string(1) «1» [«limit»]=> NULL [«bmats»]=> array(1) { [0]=> array(3) { [«cito»]=> string(1) «N» [«own_bmat»]=> string(2) «12» [«name»]=> string(55) «Мазок/отделяемое из влагалища» } } [«add»]=> array(5) { [0]=> array(2) { [«url»]=> string(37) «hlamidija-opredelenije-dnk-pcr_010001» [«name»]=> string(96) «Хламидия (Chlamydia trachomatis), качественное определение ДНК» } [1]=> array(2) { [«url»]=> string(53) «mikoplazma-kachestvennoje-opredelenije-dnk-pcr_010101» [«name»]=> string(121) «Микоплазма (Mycoplasma hominis), качественное определение ДНК (соскоб и др.)» } [2]=> array(2) { [«url»]=> string(53) «mikoplazma-kachestvennoje-opredelenije-dnk-pcr_010102» [«name»]=> string(124) «Микоплазма (Mycoplasma genitalium), качественное определение ДНК (соскоб и др.)» } [3]=> array(2) { [«url»]=> string(66) «tipirovanije-ureaplazmy-kachestvennoje-opredelenije-dnk-pcr_010107» [«name»]=> string(127) «Уреаплазма (U.urealyticum / U.parvum), качественное определение ДНК (соскоб и др.)» } [4]=> array(2) { [«url»]=> string(54) «gardnerella-kachestvennoje-opredelenije-dnk-pcr_010201» [«name»]=> string(126) «Гарднерелла (Gardnerella vaginalis), качественное определение ДНК (соскоб и др.)» } }}
Микроскопическое (бактериоскопическое) исследование нативного мазка, окрашенного по Граму (Gram Stain. Bacterioscopic examination of different smears (vaginal, cervical, urethral, sputum, wound, etc)

Интерпретация результатов
Исследуемый материал Смотрите в описании
Бактериоскопия (от лат. — «скопео» — смотрю) — лабораторный метод исследования бактерий под микроскопом. Метод широко используется врачами разных специальностей при подозрении на инфекционный процесс и наличии гнойно-воспалительных проявлений заболевания, а также при диспансерных обследованиях в гинекологической и акушерской практике. При микроскопии в мазках можно обнаружить бактерии, грибы (при кандидозе), простейшие (при трихомониазе). Важными моментами при проведении исследования являются оценка морфологии, т. е. формы бактерий, их размеров и расположения. Важными также являются количество (от скудного до массивного) и отношение к красителям (грамположительные и грамотрицательные клетки). Нормальной флорой при исследовании гинекологических мазков являются грамположительные палочки, которые в результате описываются как лактоморфотипы. При бактериальном вагинозе микробная флора представлена обильной мелкой коккобациллярной грамвариабельной флорой и характеризуется снижением лактоморфотипов. При гонорее в мазке присутствуют грамотрицательные кокки бобовидной формы, расположенные парами внутри и внеклеточно. При других гнойно-воспалительных состояниях (неспецифических ) могут встречаться грамположительные кокки, грамотрицательные палочки. В мазках учитываются также наличие эпителия, присутствие ключевых клеток и количество лейкоцитов. В мокроте имеют значение грамположительные кокки, слегка вытянутые, в капсуле, расположенные парами, морфологически сходные с пневмококками, или мелкие неодинаковой формы грамотрицательные палочки, напоминающие гемофилы, а также грамотрицательные кокки, расположенные поодиночке, что может говорить в пользу наличия бранхамелл. В мазках из ран чаще всего встречаются грамположительные кокки.
Однако, с помощью микроскопического исследования нет возможности дать заключение о названии бактерий. Для определения рода и вида бактерий требуется проведение бактериологического посева.
Материал для исследования:
- гинекологические мазки у женщин (материалом служат отделяемое наружных половых органов, уретры, влагалища, шейки матки, полости матки);
- у мужчин исследуют соскоб из уретры, сперму, секрет предстательной железы;
- материалом для мазков другой локализации могут служить мокрота, плевральная, перитонеальная, суставная и др. жидкости, раневое отделяемое, гной, мазки из зева, уха, отделяемого глаза и др.
Литература
- Энциклопедия клинических лабораторных тестов под ред. Н.У. Тица. Издательство «Лабинформ» — М. — 1997 — 942 с.
- Gobernado M. et al. Bacterial identification methods. Enferm. Infecc. Microbiol. Clin., 2003, v. 21, Suppl 2, pp. 6 — 13.
Условия подготовки определяются лечащим врачом.
Микроскопия мазка

Микроскопия мазка – базовое исследование, которое назначается пациентам с жалобами на симптомы со стороны мочеполового тракта.
Мазок берется из уретры, влагалища и цервикального канала.
Микроскопия урогенитального мазка
Врач берет мазок и помещает на предметное стекло. Затем материал изучается под микроскопом.
При этом мазок может быть:
- нативным (неокрашенным)
- окрашиваться по Граму
- обрабатываться гидроксидом калия
Применяется также окрашивание метиленовым синим, по Леффлеру, Романовскому-Гимзе, Папаниколау. Всё зависит от цели исследования.
Мазки на флору обычно исследуют нативными или окрашенными по Граму. В последнем случае удается разделить всю выявленную флору на две группы. Часть бактерий будет окрашена в розовый цвет, часть – в фиолетовый. Соответственно, они будут грамположительными или отрицательными.
Расшифровка микроскопии мазка
В процессе проведения исследования врач описывает морфологические структуры, которые видит. Обычно это клетки.
Это поверхностно расположенные клетки слизистых человека. Они разные в разных частях тела человека. Вагинальный эпителий многослойный плоский. Клетки наиболее крупные во всем урогенитальном тракте. У них полициклическая форма. Ядра овальные, располагаются по центру. Объем цитоплазмы на 15-25% больше, чем ядра.
В цервикальном канале эпителий цилиндрический. Клетки меньшего размера. Они больше в высоту, чем в ширину. Объем цитоплазмы в три-пять раз больше, чем ядра.
Часто сами клетки остаются невидимыми. Визуализируются только окрашенные ядерные структуры.
В уретре располагается кубический эпителий. Он занимает промежуточное положение между цервикальным и влагалищным. Клетки округлой формы. Чем ближе вглубь уретры, тем более вытянутыми они становятся.
Основной признак воспаления, определяющийся в анализе при микроскопии мазка. Клетки попадают в воспаленный орган из крови. Клетки круглые, хотя в цервикальном мазке могут быть овальными. Внутри визуализируются ядра, разделенные на сегменты.
В мазке можно обнаружить влагалищную трихомонаду. Хотя её называют влагалищной, она может выявляться при микроскопии мазка у мужчин из уретры. Правда, случается это редко.
У представителей мужского пола трихомониаз обычно протекает без симптомов. Выделений мало, простейших – тоже. В поле зрения микроскопа они попадают редко.
У женщин обычно присутствует сильное воспаление и много выделений. Поэтому чаще всего простейшие выявляются в вагинальном мазке.
Трихомонады – это подвижные клетки. При увеличении в 400 раз можно увидеть жгутики.
Увеличение в тысячу раз позволяет рассмотреть:
- ядро, расположенное в боковой части клетки
- жгутики
- цитоплазму с вакуолями
- аксостиль
При микроскопии мазка нередко удается рассмотреть дрожжевые грибки. Они встречаются при кандидозе.
Клетки выглядят овальной формы. На них могут быть почки – дополнительные овалы, отходящие в сторону. Выявляются нити псевдомицелия.
Могут обнаруживаться в любых мазках, за исключением женских уретральных. Это мужские гаметы. У них есть головка и хвост. Сперматозоиды выявляются как в нативных, так и в окрашенных мазках.
Выглядит как тяжи, образующие фон препарата.
Это самые маленькие объекты. Они имеют различную форму. Чаще всего встречаются шаровидные или палочкообразные бактерии.
В мазке из влагалища при микроскопии можно рассмотреть лактобацилл. Они составляют большую часть флоры у здоровых женщин. Иногда биоценоз влагалища нарушается. Тогда лактобактерий становится мало.
По Граму лактобациллы окрашиваются положительно – в фиолетовый цвет. На вид это палочки с тупыми концами. Обычно они небольшой длины, толстые. При бактериальном вагинозе может выявляться другая флора.
Врач может выявить гарднереллы, мобилункусы, стафилококки. Зачастую идентифицировать их не удается из-за большого количества и маленьких размеров. Тогда в результатах мазка просто указывается кокковая флора.
Наибольшее клиническое значение имеют грамнегативные диплококки Нейссера. Это возбудитель гонореи.
Его особенности:
- располагается парами
- форма боба
- вогнутые стороны обращены внутрь
- бактерия грамотрицательная (розовая при окрашивании по Граму)
- располагается не только вне клеток, но и внутри них
Выглядят как круглые объекты. Могут иметь разный размер. Структура однородная.
Попадают из ваты, тампонов. Неопытный доктор может перепутать их с псевдомицелием грибков.
Но ворсинки имеют значительно большие размеры. У них не бывает почек.
О чем говорят лейкоциты при микроскопии гинекологического мазка
Лейкоциты – признак воспаления. Существуют общепринятые нормы их количества. Однако они весьма условны. Потому что у разных женщин количество лейкоцитов во влагалище отличается. Различия обусловлены индивидуальными особенностями.
К тому же, у одной и той же женщины в норме число лейкоцитов может меняться, исходя из:
- дня цикла (во время овуляции их больше)
- половой активности
- методов контрацепции
- гигиены и т.д.
При расшифровке результатов мазка врач старается оценивать соотношение лейкоцитов и клеток влагалищного эпителия. В норме их количество одинаково.
Поэтому, даже если лейкоцитов больше количественной нормы (больше 10 в поле зрения), вполне вероятно, что воспаления нет, если:
- нет жалоб и объективных симптомов
- лейкоцитов меньше, чем эпителиоцитов
Оценка проводится только на тех участках препарата, где лейкоциты располагаются равномерно между эпителиоцитами. Если же лейкоцитов больше в 2-3 раза, это признак воспаления.
Другие признаки воспаления в микроскопии мазка
Существуют другие косвенные признаки воспалительного процесса во влагалище. В норме там эпителий плоский, с крупным ядром.
Количество цитоплазмы больше всего на 20% по сравнению с объемом ядра. Но при воспалении очень часто в препарат попадают клетки эпителия, у которых объем цитоплазмы больше ядра в 4-5 раз. Это недозревшие клетки базального слоя.
Они появляются в результате усиленного слущивания эпителия. В мазке также могут обнаруживаться ключевые клетки.
Они свидетельствуют о бактериальном вагинозе. Ключевые клетки – это эпителиоциты, которые облеплены бактериями. Из-за этого они имеют неправильные, нечеткие очертания.
Какие показатели микроскопии мазка должны быть в норме
Мазок у полностью здоровой женщины из влагалища должен быть таким:
- эпителий плоский
- лейкоцитов не больше, чем эпителия
- лактобациллы доминируют в биоценозе
- нет трихомонад, диплококков, стоспор и псевдомицелия
В мазках у мужчин и женщин из других участков урогенитального тракта:
- не должно быть патогенной флоры
- в уретре лейкоцитов – не больше 5 в поле зрения
- в цервикальном мазке лейкоцитов – не больше 30
Допускается наличие единичных кокков в уретре. В цервикальном мазке бактерий быть не должно.
Микроскопия секрета простаты
Не только мазки, но и секрет простаты исследуют микроскопическим методом.
Его основные показатели:
- Количество – от 0,5 до 2 мл.
При патологическом процессе может быть меньше.
Прозрачный, беловатый. В случае воспаления может становиться белым, желтым, зеленым.
В 1 мл простаты их должно содержаться больше 10 миллионов. При нарушении функции предстательной железы их мало или нет вообще.
Наблюдаются по 1-2 в поле зрения. При воспалении простаты могут отсутствовать.
Их не должно быть больше 10 при увеличении в 400 раз. При воспалительном процессе их гораздо больше.
Допускаются единичные клетки. Если в позе зрения их попадает больше 10, это говорит в пользу активного воспаления.
Могут выявляться гонококки, трихомонады, грибки. Нормальная флора может присутствовать – допускается наличие единичных бактерий.
Больно ли брать мазок у мужчин
В процессе взятия мазка врач погружает в уретру мужчины ватный тампон. Он несколько раз вращает им.
Процедура неприятная, но не болезненная. Она не настолько плохо переносится, как ПЦР.
Впрочем, в нашей клинике при наличии болевых ощущений применяется обезболивание специальным гелем. Поэтому любые анализы берутся без какого-либо дискомфорта для мужчины.
Что делать, если отклонения в микроскопии мазка
Тактика врача может быть разной. Всё зависит от того, какие именно отклонения обнаружены.
Предложим несколько вариантов.
Устанавливается диагноз гонорея. Проводятся дополнительные исследования, чтобы выяснить, насколько далеко она распространилась. Пациента обследуют на сопутствующие инфекции. Затем проводят лечение.
Устанавливается диагноз трихомониаз. Проводятся дополнительные обследования для выяснения сопутствующих ЗППП. Выполняется топическая диагностика. Назначается лечение антитрихомонадными препаратами.
Устанавливается диагноз урогенитальный кандидоз. Назначаются противогрибковые кремы. Если это рецидив или наблюдаются тяжелые симптомы, применяются препараты внутрь.
- Выявлены признаки воспаления.
К ним относится большое количество лейкоцитов, увеличение соотношения лейкоцитов и эпителиоцитов, появление незрелых эпителиальных клеток. Это означает, что у пациента уретрит, кольпит или цервицит.
Зависит от того участка урогенитальной системы, откуда брался мазок. Если при этом патогенная флора не выявлена, то не известно, чем болен человек. Его необходимо обследовать на половые инфекции.
Для этого назначается ПЦР. Это самый быстрый способ провериться на венерические заболевания.
Уже на следующий день придут результаты, и можно будет приступать к лечению. Иногда венерические заболевания не выявляются. В таком случае диагностируется неспецифическое воспаление. Оно может быть вызвано условно-патогенной флорой. Назначаются антибиотики широкого спектра действия. Если нужно уточнить возбудителя, проводится бак посев на флору.
- Выявлены признаки дисбиоза влагалища.
Не всегда бактерии вызывают воспалительные процессы. Некоторые из них провоцируют дисбактериоз. В этом случае обнаруживается много кокковой флоры, мало лактобактерий, выявляются ключевые клетки.
Требуется уточняющая диагностика для определения преобладающих микроорганизмов. Проводится посев на флору. По результатам назначается лечение.
На первом этапе терапии проводится подавление условно-патогенной (обычно анаэробной) флоры.
На втором этапе проводится заселение влагалища «полезными» бактериями. Для этого назначаются пробиотики.
Когда можно делать мазок после антибиотиков
Увидев подозрительные симптомы (пятна, выделения и т.д.), мужчина часто бежит в аптеку и принимает антибиотики. Так делать нельзя. Потому что антибактериальные препараты искажают результаты анализов.
Желательно обращаться к врачу до начала лечения. Оптимально не принимать их 14 дней до взятия мазка на микроскопию. Иначе результаты могут показать норму там, где имеет место патологический процесс. К примеру, доктор может не обнаружить гонококков, и для их выявления придется проводить дополнительные диагностические тесты.
Когда можно сделать микроскопию мазка после секса
Некоторые люди опасаются, что во время случайного незащищенного секса могли заразиться. Эти опасения вполне оправданы.
Но проверяться на половые инфекции при помощи микроскопии нецелесообразно. Это ориентировочное исследование. Оно может выявить венерическое заболевание, только если имеются выраженные симптомы. Да и то, не все инфекции, и не у каждого пациента. Поэтому для сдачи мазка на микроскопию не стоит приходить раньше, чем возникнут симптомы.
А вот если вы хотите провериться на венерические заболевания до появления клинических признаков, сделать это можно другими методами. На ранней стадии диагностика проводится с помощью ПЦР.
Обращаться к врачу можно через 2 недели после секса. Если симптомы появятся раньше – приходите раньше.
Микроскопия мазка после лечения
Анализы используются не только для первичной диагностики патологии урогенитального тракта. Они также необходимы, чтобы подтвердить излеченность.
Микроскопия для этой цели применяется. Но этот метод – не самый чувствительный. По микроскопическому исследованию мазка можно понять, прекратился ли воспалительный процесс.
Но невозможно определить достоверно, ушла ли инфекция полностью. Потому что если симптомы исчезли, микроскопия мазка становится малочувствительной.
Гонококки, трихомонады или кандиды могут быть обнаружены лишь в случае выраженной клинической картины, при большом количестве бактерий, грибков или простейших. Таким образом, отрицательный результат микроскопического исследования мазка на венерические заболевания не может достоверно подтвердить излеченность. Потому что он часто бывает ложноотрицательным.
Лучше для этой цели использовать посев или ПЦР. Для обследования на инфекции урогенитального тракта вы можете обратиться в нашу клинику.
Для проведения микроскопии мазка обращайтесь к автору этой статьи – венерологу в Москве с многолетним опытом работы.
Бактериоскопия мазка: показания, расшифровка

Бактериоскопия (мазок на флору) – метод визуального анализа биологического материала под микроскопом. Название происходит от латинских слов bacteria – бактерия, и skopeo — смотреть.
Это простое, недорогое, но эффективное исследование, которое позволяет выявить местные воспалительные процессы, бактериальное заражение и определить чувствительность патогенных микроорганизмов к определенным видам антибиотиков.
В гинекологии процедура назначается при подозрении на половые инфекции и воспаления.
Когда назначают мазок
Бактериоскопическое исследование в гинекологической практике назначается при следующих симптомах:
- боль в процессе мочеиспускания;
- дискомфорт или боли внизу живота;
- патологические выделения из влагалища;
- зуд или раздражение половых органов.
Этот анализ также выполняют после длительных курсов антибиотиков, даже если нет симптоматики. Это делается в профилактических целях для предупреждения нарушений бактериального баланса на слизистых оболочках половых органов.
Бактериоскопию обязательно проводят во время беременности, чтобы исключить воспалительные процессы и половые инфекции, что необходимо для нормального вынашивания и рождения здорового ребенка.
Мазок необходимо выполнять каждой женщине раз в год при профилактическом гинекологическом осмотре.
Этот анализ относится к достаточно простым. Выполняет его врач-гинеколог или акушерка.
Мазок берется в трех местах:
- со слизистой оболочки влагалища;
- из основания мочеиспускательного канала (уретры);
- шейки матки.
Забор биоматериала проводится специальным пластиковым шпателем. При этом сама слизистая оболочка не травмируется. Процедура не вызывает боли или сильного дискомфорта.
Диагностика невозможна во время менструаций, так как образец будет непригоден для анализа под микроскопом.
Методика проста, но для ее максимальной точности следует соблюдать ряд требований:
- за неделю до исследования прекратить прием препаратов, которые могут повлиять на микрофлору влагалища (например, антибиотики);
- минимум за два дня до сдачи исключить половые контакты;
- исключить введение каких-либо препаратов во влагалище (свечей, мазей, растворов) за двое суток до анализа;
- не принимать ванну за день до анализа, ограничиться душем.
С вечера, перед днем забора биоматериала, необходимо провести гигиену внешних половых органов без применения моющих средств.
Утром в день сдачи анализа не выполняются гигиенические процедуры половых органов.
За 2–3 часа до взятия мазка не рекомендуется мочиться, так как можно смыть из уретры необходимый для исследования материал.
Биоматериал наносится на предметные стекла и отправляется в лабораторию.
Расшифровка мазка
Здоровая микрофлора женский половых органов состоит из симбионтных бактерий. Патогенных микроорганизмов при анализе не должно быть обнаружено.
В мазке в некотором количестве содержатся собственные клетки организма. Это обусловлено тем, что эпителиальные ткани быстро обновляются и отмершие клетки выходят наружу вместе с выделениями.
Если наблюдаются местные воспалительные процессы, в мазке могут быть обнаружены клетки, отвечающие за борьбу с микробной инвазией (лейкоциты).
Показатели бактериоскопии:
- Лейкоциты. В норме их количество не должно превышать 10 единиц в поле зрения для мочеиспускательного канала, и 30 единиц для шейки матки. Если обнаруживается превышение этих параметров, это свидетельствует о воспалительных процессах.
- Клетки плоского эпителия. Этот параметр существенно зависит от фазы менструального цикла. Если клетки не обнаруживаются, это указывает на дистрофию эпителиального слоя. Превышение показателей бывает при воспалительных процессах.
- Лактобактерии. Обычно они составляют основную массу бактерий здоровой микрофлоры влагалища и шейки матки (до 90% бактериальных тел). Если их количество снижено, это может быть признаком бактериального вагиноза. «Чужие» бактерии угнетают «свою» нормальную микрофлору и вызывают воспаления.
- Дрожжевые грибки. В норме их количество минимально (на грани обнаружения). Обнаруживаются в острой фазе. В латентной фазе в мазке наблюдаются их споры. Если этот показатель превышен — это признак кандидоза.
- Эпителиальные (ключевые) клетки. Если их количество значительно (20% и более) это является показателем воспалительных процессов (бактериальный вагиноз).
- Лептотрикс. В норме отсутствует, присутствует при кандидозе.
- Трихомонада. Является возбудителем трихомониаза. Не должна присутствовать в образце.
- Хламидии. Патогенные возбудители, вызывающие хламидиоз.
- Кокки. Обычно присутствуют в незначительных количествах, их превышение свидетельствует о воспалительных процессах.
- Гонококк. Если он обнаружен, диагностируется гонорея.
- Золотистый стафилококк — в норме или отсутствует, или представлен в крайне малых количествах. Если его количество значительно, наблюдаются воспалительные процессы во влагалище и матке, возбудителями которых он является.
По результатам бактериоскопии можно выявить или исключить целый ряд заболеваний. Для точной диагностики расшифровку результатов должен делать врач-гинеколог.
Понятие чистоты мазка
По данным микроскопического исследования мазка результат условно разделяют на четыре «степени чистоты»:
- Первая. Бывает только у абсолютно здоровых женщин. Все показатели в норме, отсутствуют посторонние клетки, бактериальное или грибковое заражение.
- Вторая. Всё еще считается нормой. Патогенные возбудители не обнаруживаются. Наблюдаются небольшие отклонения в микрофлоре влагалища.
- Третья. В мазке обнаруживается превышение лейкоцитов, обнаруживаются условно-болезнетворные кокки.
- Четвертая. Обнаруживается значительное отклонение микрофлоры от нормы. Выявляются возбудители заболеваний или половых инфекций. Количество эпителиальных клеток и лейкоцитов значительно выше нормы. Это состояние острого заболевания.
Идеальный результат анализа, такой как первая степень чистоты, практически недостижим. Он встречается редко у молодых здоровых женщин.
Небольшие отклонения, которые наблюдаются при второй степени чистоты, легко корректируются. Именно такой результат исследования получает большинства женщин, приходящих на профилактический осмотр. Такой результат считается нормальным.
Если же наблюдается третья, и особенно четвертая степень чистоты мазка, необходимо лечение.
Мазок обязательно сдается обязательно перед плановыми оперативными вмешательствами. Если степень чистоты не ниже второй, плановая операция допускается. При третьей и четвертой хирургическое вмешательство откладывается до коррекции показателей.
Отклонение от нормы и возможные заболевания
Методика очень результативна – анализируя основные показатели, можно сделать диагностические выводы:
- Если в мазке недостаточно плоского эпителия, вероятно снижение эстрогена или превышение мужских гормонов у женщин. Результат гормонального дисбаланса — атрофия эпителиального слоя.
- Если количество лейкоцитов превышает норму, значит в организме женщины протекают воспалительные процессы. Количество лейкоцитов прямо пропорционально силе воспалительного процесса: чем больше лейкоцитов, тем сильнее воспаление.
Результатов бактериоскопии иногда бывает недостаточно. Тогда врач назначает бактериальный посев. Это исследование необходимо для определения возбудителя заболевания и его чувствительности к антибиотикам. Это поможет подобрать максимально эффективные препараты.
