Метатуберкулезные изменения — что это

Метатуберкулезные изменения в легких формируются после перенесенного туберкулезного процесса. Они не заразны и не опасны для окружающих людей. Но больным с такой патологией следует быть осторожными – в любой момент болезнь может снова дать о себе знать. Поэтому нужно регулярно проходить обследования и соблюдать все рекомендации врача.
Что такое метатуберкулезные изменения
По сути, метатуберкулезные изменения не являются болезнью. Это рентгенологический термин, а не терапевтический.
И чаще всего эта проблема никак не проявляет себя клинически, а определяется только при проведении рентгена или флюорографии. Лечения обычно не требует. Но наблюдение врача-фтизиатра – необходимо.
Метатуберкулезные изменения выявляются при обследовании
Виды метатуберкулезных изменений и их особенности
Этот термин объединяет несколько патологий в бронхолегочной системе, плевре и средостении, обусловленных туберкулезной инфекцией и сопровождающихся избыточным разрастанием соединительной ткани, ее фиброзированием, деструктивными изменениями и т.п..
К ним относятся:
- кальцинаты в легких;
- пневмосклероз;
- рубцовые стенозы бронхов;
- бронхоэктазы в легких;
- цирроз легких;
- фиброателектазы и др.
Чаще всего встречаются первые две патологии, и именно их обычно подразумевают, говоря о метатуберкулезных изменениях в легких.
Пневмосклероз
Метатуберкулезный пневмосклероз характеризуется разрастанием соединительной ткани в легких. Он может носить ограниченный (локальный) или диффузный характер. В первом случае патология выявляется только на ограниченном участке. Во втором – процесс распространяется на все легкое.
Также пневмосклероз может быть прогрессивным или непрогрессивным. Первый тип характеризуется постоянным развитием симптомов и ухудшением клинической ситуации. При втором типе патологический процесс как бы замирает на определенном уровне и не прогрессирует дальше.
Проявляется это заболевание симптомами со стороны органов дыхания, интенсивность которых зависит от вида заболевания и его стадии.
Такие больные жалуются на:
- одышку;
- кашель со скудной мокротой;
- выраженную слабость;
- боли в груди.
Объективно у пациентов отмечается бледность или синюшность кожных покровов и снижение веса.
В случае затормозившегося процесса таким больным требуется только наблюдение. Если же пневмосклероз прогрессирует, прогноз не самый благоприятный.
Со временем появляются и нарастают симптомы дыхательной недостаточности, которые требуют срочных медикаментозных мер. Подобные изменения носят необратимый характер, поэтому нужно тщательно соблюдать рекомендации врача, чтобы максимально замедлить дальнейшее развитие патологии.
Кальцинаты в легких
Чаще всего кальцинатами называют скопление в легких солей с содержанием кальция. Нередко они формируются еще в детстве, когда в организм попадают микобактерии, но иммунитет с ними благополучно справляется, формируя на месте присутствия инфекции гранулемы.
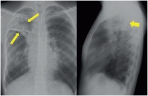
В последствии они трансформируются в отложения солей кальция, которые никак себя не проявляют и диагностируются случайно при прохождении флюорографии или рентгенологического исследования. Как выглядят кальцинаты на рентгеновском снимке показано на фото ниже.
Кальцинаты в легких на рентгене
Сами по себе эти образования не опасны и никак не нарушают функции легких. Однако кальцинаты способствуют снижению местных защитных сил и общей резистентности, поэтому люди с такой патологией более подвержены бронхо-легочным инфекциям. Им рекомендуется регулярно проходить профилактические осмотры и дважды в год делать флюорографию.
Рубцовые стенозы в бронхах
Рубцовые стенозы в бронхах формируются как осложнение активных форм туберкулеза с поражением внутригрудных лимфатических узлов. Эта патология приводит к функциональным и морфологическим нарушениям в легких с образованием бронхоэктазов.
Довольно часто при этом заболевании происходит присоединение вторичной инфекции и развитие гнойного процесса в легких.
Рубцовые стенозы в бронхах при осмотре эндоскопом
В лечении рубцовых бронхиальных стенозов посттуберкулезного характера методом выбора является хирургическое вмешательство.
Бронхоэктазы в легких
Метастатические бронхоэктазы в легких представляют собой патологические расширения бронхов (обычно цилиндрической или мешковидной формы), спровоцированные деструктивным поражением бронхиальных стенок и окружающих тканей.
Бронхоэктазы после туберкулеза
Такие изменения обусловлены не только деформацией бронхов, но и повышенным внутрибронхиальным давлением из-за рубцового стеноза или сдавления дыхательных путей увеличенными лимфоузлами.
Бронхоэктазы увеличивают риск развития гнойного процесса и возникновения легочных кровотечений, поэтому требуют наблюдения и лечения, если процесс прогрессирует или приводит к выраженной дыхательной недостаточности.
Формирование бронхоэктаза
Фиброателектазы в легких
Метатуберкулезные фиброателектазы чаще всего появляются в легких как последствие рубцового стеноза бронхов. В результате этой патологии пораженные участки легких начинаются спадаться и слипаться, выключаясь из дыхательного процесса.
У пациентов появляются и нарастрают симптомы дыхательной недостаточности (одышка, боль в груди, снижение артериального давления, бледность и синюшность кожи). Их интенсивность зависит от количества выключенных из дыхания сегментов легких.
В рамках закупорки основного бронха спадается вся легочная область, при менее значительных проблемах с бронхиальной проходимостью формируется ателектаз одной из долей или сегментарной части легкого.
Таблица 1. Виды ателектаза:
| Виды ателектаза в легких | |
| По распространенности | По происхождению |
|
|
Этот процесс обратимый. Но для того, чтобы справиться с ателектазом, необходимо сначала восстановить деятельность легких и бронхов. Для этого обычно требуется операция.
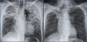
Метатуберкулезный цирроз
Метатуберкулезный цирроз одного или обоих легких проявляется их уменьшением в размерах, неоднородностью их структуры и расширением бронхов с формированием бронхоэктаз. Также выявляются специфические признаки цирроза в виде кальцинированных очагов в зоне поражения или обызвествления лимфатических узлов.
Чаще всего это заболевание, как и другие метатуберкулезные изменения, выявляется лишь при рентгенологическом исследовании и никак не беспокоит больного.
Метатуберкулезный цирроз легких на рентгене
Профилактика осложнений при метатуберкулезных патологиях
Большинство метатуберкулезных патологий не требуют лечения. Но инструкция при таких заболеваниях рекомендует всем пациентам проходить регулярное обследование и осуществлять с помощью врача тщательное наблюдение за сформировавшимися нарушениями и их дальнейшим прогрессом.
Также желательно придерживаться правильного образа жизни:
- отказаться от всех вредных привычек, особенно, курения;
- солюдать диету с полноценным рационом, богатым белками, витаминами и микроэлементами;
- закаляться;
- заниматься спортом;
- много гулять на свежем воздухе;
- выделять достаточное количество времени на отдых и сон.
Здоровый образ жизни поможет предотвратить осложнения после туберкулеза
Дополнительно нужно проходить санаторно-курортное лечение и заниматься дыхательной гимнастикой. Наиболее полезные упражнения подскажет лечащий врач. А самые распространенные из них можно увидеть, посмотрев видео в этой статье.
Метатуберкулезные изменения в легочной ткани развиваются в результате перенесенного туберкулезного процесса. В некоторых случаях они носят необратимый характер и требуют экстренного вмешательства врачей, но чаще не представляют особой опасности для человека.
Во избежание повторной активизации туберкулеза таким пациентам рекомендуется регулярное наблюдение и профилактические осмотры врача фтизиатра. Так удастся избежать осложнений и неблагоприятного исхода при этих патологиях.
Пневмосклероз как следствие метатуберкулезных изменений в легких

Деструкция бронхолегочной системы после перенесенной инфекции – метатуберкулезные изменения в легких, по статистике в более чем 80% случаев их причиной становится палочка Коха.
Кроме того, такие изменения могут возникнуть как последствие тяжело текущей пневмонии или плеврита, микоза или сифилиса, травмы или лучевой болезни.
Они не опасны для жизни пациента, но требуют регулярного наблюдения и обследования.
Что такое метатуберкулезные изменения?
Метатуберкулез не имеет собственного кода в МКБ-10 и относится к заболеваниям туберкулезной природы, включенным в международный классификатор болезней, под шифром А15-А19.
С какой бы формой туберкулеза не столкнулся пациент, легкие всегда вовлечены в процесс и чаще всего в качестве места первичной локализации инфекционного очага.
Исходом туберкулезной атаки становится пневмофиброз – замещение ткани легких соединительными структурами. Это нарушает основную функцию легких, существенно снижает качество жизни.
Пневмофиброз может быть прогрессирующим или нет, делится на 2 типа:
- Ограниченный или локальный с поражением определенной части легкого (функция органа практически не нарушена).
- Распространенный или диффузный, когда процесс поражает все легкое, часто с уменьшением его размера и нарушением функции газообмена.
Есть и еще одна классификация метатуберкулезных изменений. Прогрессирует болезнь медленно, но в процесс постоянно вовлекаются все новые и новые ткани организма.
В какой-то момент распространение изменений может остановиться, и прогрессирующая форма становится непрогрессирующей.
Это происходит при скрупулезном соблюдении всех рекомендаций врача, отказе от вредных привычек и ведении здорового образа жизни.
Пневмосклероз — симптомы, лечение, причины болезни, первые признаки

Пневмосклероз – патологический процесс, характеризующийся замещением легочной ткани соединительной, что сопровождается нарушением эластичности и газообмена в пораженных участках.
Процесс носит необратимый характер, постепенно состояние усугубляется за счет разрастания соединительной ткани, которая не способна выполнять функции, возложенные на легочную ткань.
Такой прогрессирующий процесс требует медицинской помощи, потому как без лечения существует угроза инвалидности и даже смерти от осложнений.
Пневмосклероз развивается как исход воспалительных или дистрофических заболеваний легких, чаще встречается у мужчин в возрасте 50 лет и выше.
Выделяют ограниченный и диффузный пневмосклероз, которые различаются по распространенности патологического процесса в легких. Диффузный пневмосклероз протекает значительно тяжелее за счет большого объема поражения легочной ткани.
По степени выраженности замещения легочной ткани соединительной выделяют:
- пневмофиброз – предшествует пневмосклерозу, характеризуется чередованием воздушной легочной ткани и измененными участками;
- пневмосклероз – уплотнение и замещение паренхимы легких соединительной тканью;
- пневмоцирроз – развивается как исход пневмосклероза, характеризуется полным замещением легочной ткани, сосудов, бронхов соединительной тканью, уплотнением плевры, как следствие легкие уменьшаются в размере, что приводит к смещению органов средостения в сторону поражения.
Пневмосклероз может быть исходом следующих заболеваний:
- ХОБЛ (хроническая обструктивная болезнь легких), хронический бронхит;
- перенесенные инфекционные заболевания легких;
- травмы и ранения грудной клетки, в том числе и легких;
- саркоидоз легких;
- длительное течение плевритов;
- инородные тела в бронхах;
- наследственные заболевания легких.
Несмотря на различные причины возникновения пневмосклероза, механизм заболевания остается единым для всех.
Он заключается в нарушении вентиляционной функции легких и дренажной функции бронхов, также сопровождается нарушением лимфо- и кровообращения.
Такие изменения способны привести к развитию хронической дыхательной недостаточности, поэтому важно не игнорировать симптомы заболеваний органов дыхания, а сразу же обращаться за помощью к врачу.
Симптомы
ceemax.in
Выраженность симптомов заболевания зависит от тяжести процесса, который, в свою очередь, зависит от объема пораженной легочной ткани. Очаговый (локальный) пневмосклероз обычно никак себя не проявляет, и достаточно длительное время человек не подозревает о его наличии.
Иногда пациенты с очаговым пневмосклерозом предъявляют жалобы на незначительный кашель со скудной мокротой. Диффузный пневмосклероз протекает тяжелее, так как патологический процесс охватывает большой объем легочной ткани. Первым симптомом, на который обращает внимание человек, является одышка. Изначально она появляется лишь после интенсивных физических нагрузок.
В таком случае человек не сразу подозревает о возможности заболевания и не обращается к врачу, так как даже у здоровых людей может появиться одышка после длительного выполнения физических упражнений. Однако постепенно состояние ухудшается, одышка начинает беспокоить при легком беге, ходьбе и даже в покое.
Кроме этого, людей с диффузным пневмосклерозом беспокоит кашель. Сначала он редкий, затем становится навязчивым с выделением слизистой или слизисто-гнойной мокроты.
На фоне данных специфических симптомов наблюдаются общие симптомы в виде слабости и повышенной утомляемости, приводящие к снижению трудоспособности, а также нередко заболевание сопровождается снижением массы тела.
Из-за уменьшения объема функционирующей легочной ткани постепенно возникает хроническая дыхательная недостаточность. Внешне данное состояние проявляется цианозом (посинением кожных покровов).
В зависимости от стадии хронической дыхательной недостаточности различна локализация цианоза. Так, например, при субкомпенсированной стадии наблюдается посинение губ и пальцев рук и ног.
В стадию декомпенсации цианоз распространяется на большие участки тела.
Диагностика
likar.info
На каждом приеме врач производит общий осмотр пациента, с помощью которого предварительно оценивается состояние человека. При пневмоциррозе можно обнаружить деформацию грудной клетки, на которую обратит внимание не только врач, но и сам пациент. Аускультируя легкие, врач выслушивает ослабленное дыхание, влажные и сухие хрипы.
Следует отметить, что такая аускультативная картина характерна для диффузного пневмосклероза, при очаговом пневмосклерозе результаты аускультации легких мало отличаются от нормы. Далее врач выписывает направление на рентгенологическое исследование легких.
С помощью данного исследования удается обнаружить изменения в легочной ткани, оценить их распространенность и степень выраженности. На рентгенограмме выявляется усиление легочного рисунка, при циррозе определяется уменьшение в размерах пораженной части или целого легкого, за счет чего происходит смещение органов средостения в пораженную сторону.
Нижние отделы легких могут приобретать вид пористой губки, в таком случае легкое называют «сотовым». Более детальную оценку о структуре легочной ткани дают КТ и МРТ.
При пневмосклерозе уменьшается объем нормально функционирующей легочной ткани, как следствие легкие не справляются на 100% со своими непосредственными функциями. Чтобы это установить, назначается оценка функции внешнего дыхания.
Этот метод исследования помогает оценить вентиляционную функцию легких с помощью графической регистрации и последующей обработкой полученных данных на компьютере. Используя пробу с бронхолитиками (средствами, расширяющими просвет бронхов), можно выявить обратимую или необратимую бронхообструкцию.
Также обнаружить это явление позволяет бронхоскопия. Этот эндоскопический метод направлен на визуализацию трахеобронхиального дерева.
Лечение
sanatoriy-kirova.ru
Чтобы предотвратить развитие пневмосклероза, следует своевременно лечить заболевания органов дыхания, соблюдать меры предосторожности при взаимодействии с пневмотоксическими веществами, не откладывать поход к врачу при возникновении характерных симптомов.
При работе на вредных производствах важно использовать респираторы, которые предотвращают попадание пыли и химических веществ в дыхательные пути. Кроме того, непосредственное начальство производства должно позаботиться об исправной работе вытяжной вентиляции.
При диагностировании пневмосклероза лечение начинается с изменения образа жизни. В первую очередь рекомендуется отказаться от курения, так как сигареты способны усугублять бронхообструкцию.
Все члены семьи должны понимать, что существует понятие пассивного курения, поэтому важно не только самому пациенту забыть о сигаретах, но также и людям, проживающих с ним на одной жилищной площади. Питание должно быть дробным, полноценным, достаточно наполненным витаминами и микроэлементами.
Несмотря на то, что пневмосклероз сопровождается одышкой, в особенности при занятиях спортом, не стоит полностью отказываться от физических упражнений. Необходимо устраивать пешие прогулки на большие дистанции, выполнять лечебную гимнастику.
Учитывая, что при пневмосклерозе легкие не могут в полной мере обеспечить организм необходимым количеством кислорода, используется оксигенотерапия.
Такое лечение помогает насытить плазму крови кислородом, что приводит к уменьшению степени выраженности одышки.
Однако следует соблюдать правила безопасности, так как частое или избыточное применение чистого кислорода или ингаляционных смесей с высокой концентрацией кислорода может привести к кислородной интоксикации.
Для симптоматического лечения кашля используются отхаркивающие средства, способствующие отделению мокроты. С этой же целью назначаются муколитические средства, которые разжижают мокроту, тем самым облегчают ее выведение.
Лекарства
proizjogu.ru
Лекарственные средства не способны избавить пациента от пневмосклероза, они лишь облегчают симптомы заболевания. Кашель при пневмосклерозе малопродуктивный, чтобы это исправить, назначаются отхаркивающие и муколитические средства.
Амброксол – самый распространенный препарат за счет своей небольшой стоимости и достаточной эффективности. Свой эффект препарат достигает благодаря стимуляции желез слизистой оболочки бронхов. Таким образом повышается содержание слизистого компонента мокроты, что облегчает ее выделение.
Переносится препарат достаточно хорошо, побочные действия проявляются крайне редко. Например, при индивидуальной непереносимости компонентов лекарственного средства развивается аллергическая реакция, которая может проявиться как крапивницей, так и ангионевротическим отеком.
Реже наблюдаются другие побочные эффекты: тошнота, рвота, диарея, боли в животе, головные боли, общая слабость.
Бромгексин – еще один препарат, который используется для разжижения мокроты. Не используется у детей до 3х лет и беременных (1 триместр). Во всех остальных случаях строгих противопоказаний к применению препарата нет.
С осторожностью стоит отнестись людям, у которых имеется аллергическая реакция на действующее вещество – бромгексина гидрохлорид.
Таким людям следует заранее предупредить своего лечащего врача о наличии аллергии на предыдущий прием препарата, чтобы врач подобрал другое лекарственное средство с необходимым эффектом.
Народные средства
s3-ap-southeast-1.amazonaws
Следует понимать, что пневмосклероз – процесс необратимый, соответственно полностью вылечить его невозможно, но можно облегчить общее самочувствие. Для улучшения функции внешнего дыхания и укрепления организма рекомендуются занятия лечебной физкультурой.
Занятия следует проводить в утренние часы, продолжительность составляет 20 – 40 минут. Особое внимание должно уделяться дыхательным упражнениям, которые тренируют фазы вдоха и выдоха. Общеукрепляющие упражнения выполняются с задействованием различных мышечных групп, участвующих в упражнениях попеременно.
Темп занятий должен быть медленным с постепенным нарастанием до среднего, быстрый темп противопоказан. Начинается лечебная физкультура с минимальной нагрузки, постепенно увеличивается до максимально переносимой.
Пациенты с пневмосклерозом быстрее утомляются, чем здоровые люди, поэтому максимально переносимую нагрузку они обозначают самостоятельно, ссылаясь на субъективные ощущения.
Для уменьшения выраженности одышки и кашля существуют различные рецепты народной медицины. В борьбе с одышкой хорошо себя зарекомендовал чай из камыша (метелки).
Для его приготовления понадобится 1 стакан измельченного сырья, который заливается 1 литром кипятка. После настаивания чай готов к употреблению. Рекомендуется принимать по 1 стакану трижды в день.
Курс составляет не менее 3х недель.
Существует рецепт настойки на основе меда, лимона и чеснока. Для приготовления понадобится 1 литр жидкого меда, 10 лимонов и 10 головок чеснока. Мед следует смешать с очищенным и перекрученным на мясорубке чесноком, добавить сок лимона.
Данную смесь необходимо тщательно перемешать, закрыть в банку и дать настояться в темном месте в течение 1 недели. Принимать следует по 4 чайных ложки в день однократно. Особенностью применения является тот факт, что смесь не стоит сразу глотать, нужно держать во рту, медленно рассасывая.
Полный курс применения составляет 2 месяца, после перерыва при необходимости можно повторить прием.
Самый популярный народный рецепт против кашля – стакан теплого молока с медом. Пить этот напиток можно в течение дня в любое удобное для Вас время, особенно рекомендуется принимать его на ночь, чтобы приступы кашля не нарушали сон.
Существует еще один помощник, облегчающий общее состояние и устраняющий кашель.
Для его приготовления необходимо отварить в течение 10 мин 1 лимон, после чего его следует разрезать пополам, выжать сок и соединить с 2мя столовыми ложками глицерина.
Далее добавляется мед в таком количестве, чтобы стакан заполнился практически доверху. Полученный сироп используется по 1 чайной ложке несколько раз в день.
Информация носит справочный характер и не является руководством к действию. Не занимайтесь самолечением. При первых симптомах заболевания обратитесь к врачу.
Ваши отзывы и комментарии о лечении
Метатуберкулезные изменения в легких что это такое: пневмосклероз, пневмофиброз, лечение, лимфоузлах, синдром

Люди, переболевшие туберкулезом, тяжелой пневмонией или страдающие другими заболеваниями органов дыхания, часто сталкиваются с таким понятием, как метатуберкулезные изменения в легких, а что это такое, мало кто знает. Прежде всего это не терапевтический диагноз, а рентгенологическое понятие, означающие наличие изменений в легочной ткани, которое обнаруживается при рентгенографическом исследовании.
Причины возникновения отклонений
Первая и самая частая причина таких изменений — перенесенный туберкулез или другое тяжелое заболевание, затронувшее целостность легочной ткани. После излечения пораженная ткань не может полностью прийти в норму, и кое-где остаются участки в виде рубцов, солевых отложений, фрагментов соединительной ткани и т. д.
Кроме того, причиной микроинфекций в легких может быть общение с больным или зараженным человеком: микобактерии, в том числе и палочка Коха, передаются воздушно-капельным путем.
Если у человека нормальный иммунитет, патогенные бактерии могут быть уничтожены защитными клетками организма прямо в легких.
Болезнь не перейдет в открытую форму, но в легких могут остаться точечные рубцы, которые можно выявить только при следующем рентгенографическом обследовании.
Если же иммунитет по какой-то причине снижен (недавно перенесенная болезнь или операция, общее ухудшение самочувствия, простуда и т.д.), заражение может перейти в открытую форму туберкулеза. В этом случае даже при удачном исходе заболевания метатуберкулезные изменения — это закономерные последствия поражения ткани легких, которых практически никогда не избежать.
Кроме туберкулеза, причиной таких изменений может стать сифилис, сильное микотическое (грибковое) поражение, травматическое повреждение легочной ткани, постоянный контакт с вредными веществами во вдыхаемом воздухе, регулярное курение, облучение радиацией и даже частые воспалительные процессы, затрагивающие органы дыхания.
Группа риска
От заражения туберкулезом не застрахован никто, но отдельные группы населения в силу тех или иных обстоятельств (работа, образ жизни, состояние здоровья) больше остальных подвержены этой опасности. Среди них:
- лица с неблагоприятными условиями проживания, без постоянного места жительства;
- отбывающие или отбывшие наказание в местах лишения свободы;
- медики, контактирующие с больными в лечебных учреждениях;
- люди, злоупотребляющие алкоголем или наркотическими веществами;
- больные диабетом или хроническими заболеваниями дыхательной системы;
- люди с пониженным иммунитетом.
Формы метатуберкулезных изменений после болезни
Наиболее часто встречающиеся метатуберкулезные изменения — это пневмофиброз и кальцинаты. Реже выявляют рубцовый стеноз, бронхоэктазы, циррозные изменения, фиброателектазы.
Пневмофиброз (метатуберкулезный пневмосклероз) — это разрастание соединительной ткани в легком как следствие воспалительного процесса, независимо от его этиологии.
Этот процесс меняет структуру легочной ткани, снижая ее способность нормально функционировать.
Локальный пневмофиброз — это единичные капсулы соединительной ткани, возникшие после местных процессов борьбы защитных клеток организма с воспалением.
Диффузная же разновидность этого нарушения опасна ухудшением дыхательной функции легкого, так как охватывает большую площадь и может поразить весь орган целиком.
Это проявляется такими симптомами: синдром дыхательной недостаточности, одышка, кашель с выделением гнойной мокроты, боли в груди.
Прогрессирующий пневмосклероз может постепенно ухудшать состояние здоровья человека, вызывая новые и новые нарушения работы легких, тогда как при непрогрессивном течении процесс может остановиться на каком-то этапе и больше не развиваться. Такая ситуация характерна для случаев должного соблюдения профилактических мер.
Кальцинаты — это отложения в легочной ткани солей кальция, которые могут образоваться не только после перенесенного туберкулеза, но и вследствие самостоятельной борьбы организма с инфекцией. На участке, где прикрепилась и начала размножаться патогенная бактерия, активизируется отложение солей кальция, после чего данный участок твердеет до образования гранулемы.
Иммунитет не дает болезни развиться до острой формы, подавляя развитие бактерий и нейтрализуя пораженные ими фрагменты ткани путем заключения их в известковую капсулу. Таким образом, заболевание проходит в смазанной форме и в дальнейшем не представляет опасности для здоровья.
Тем не менее вероятность кальцинатов в корнях легких и легочной ткани, особенно в большом количестве, может снизить местный иммунитет, повышая тем самым восприимчивость организма к новым инфекциям.
Рубцовый стеноз бронхов возникает, когда течение туберкулеза осложнено поражением близлежащих лимфоузлов: лимфатические узлы увеличиваются в размерах и могут сдавливать бронхи и легочную ткань. Часто это состояние осложняется вторичной инфекцией с гнойным воспалением.
Итогом чаще всего становится нарушения свойств ткани и функции легких с образованием другого вида изменений — бронхоэктазов.
Бронхоэктазы — это участки патологического расширения бронхов из-за поражения ткани их стенок. Могут иметь как цилиндрическую, так и мешковидную форму. Возникают как вследствие рубцового стеноза, так и в результате сдавливания бронхов воспаленными лимфоузлами.
Еще одним последствием рубцового стеноза бронхов становятся фиброателектазы — зоны легких, неспособные участвовать в дыхательном процессе из-за нарушений функции ведущих к ним бронхов.
Воздух не попадает к отдельным участкам легких, вследствие чего ткань в этих местах начинает спадать и навсегда теряет возможность функционировать. Эти участки и называют фиброателектазами.
Они могут поражать большие участки, например, изменения в нижнем сегменте одиночных долей, где очаг в правом легком.
Лечение патологии
При полностью вылеченном туберкулезе метатуберкулезный синдром не считается опасным и не меняет качество жизни пациента: локальный пневмофиброз или кальцинаты в небольших количествах не проявляются никакими симптомами и не требуют лечения.
В этом случае их можно считать лишь последствиями перенесенной болезни, не требующими какой-либо терапии: лечиться после лечения туберкулеза уже не нужно.
Тем не менее контроль состояния здоровья таких пациентов необходим: регулярные рентгенографические обследования легких позволят отследить возможное развитие патологических процессов и избежать рецидива болезни.
Если после полного излечения в бронхах остались участки рубцового стеноза, возможна хирургическая операция по удалению пораженных фрагментов. Это поможет предотвратить нарушения дыхательной функции легких.
Необходимо помнить, что постоянного иммунитета от туберкулеза не бывает, и потому даже после излечения нужна постоянная профилактика рецидивов: отказ от вредных привычек, переход к правильному питанию, необходимые меры по укреплению иммунитета, адекватные состоянию физические нагрузки. При соблюдении этих рекомендаций метатуберкулезные изменения не выйдут из-под контроля и не будут доставлять особых неудобств в дальнейшем, напоминая о себе лишь на рентгеновской пленке.
Что такое метатуберкулезные изменения в легких и методы лечения

Метатуберкулезные изменения в легких – это очаги разрастания соединительной ткани в месте, где до этого был очаг туберкулеза.
Кроме перенесенного туберкулеза к причинам появления отклонений относят другое тяжелое заболевание, которое повредило целостность ткани легкого, общение с зараженным человеком, сифилис, курение, постоянное вдыхание вредных веществ, травмы легкого, облучение радиацией. Если такую патологию не лечить, могут развиться опасные осложнения.
Симптомы и признаки
Проявления патологического состояния зависят от объема поражения ткани легкого. Если имеется одиночный очаг или несколько мелких кальцинатов (скопившаяся в легких соль), симптомы нередко отсутствуют. При обширных изменениях в кровь начинает поступать меньше кислорода, и возникает гипоксия. Это приводит к появлению следующих симптомов:
- утомляемость;
- раздражительность;
- сонливость.
Патология приводит к развитию признаков сердечной и дыхательной недостаточности: одышке, быстрой утомляемости, бледности кожного покрова, сухому кашлю. Болезнь в тяжелых случаях приводит к слипанию легкого. В результате снижается объем газообмена, что провоцирует развитие следующих симптомов:
- асимметрия грудной клетки;
- утолщение дистальных фаланг;
- синюшность носогубного треугольника;
- боль в груди;
- синдром хронической усталости.
При развитии патологического состояния в груди появляется попискивание, как при трении пробки.
Виды и формы
Метатуберкулезные изменения в легких могут иметь несколько форм. Это пневмосклероз, кальцинаты, рубцовые стенозы, бронхоэктазы, фиброателектазы, цирроз легких.
Рубцовые стенозы
Метатуберкулезные изменения в легких могут проявляться рубцовыми стенозами. Если появился рубец, значит, человек переболел активной формой туберкулеза.
В этом случае воспалительный процесс затрагивает близлежащие лимфатические узлы: лимфоузлы начинают увеличиваться в размере и сдавливают легочную ткань и бронхи.
При этом у больного появляется сильный кашель и одышка, кожные покровы становятся синюшного цвета.
Важная информация: Может ли быть туберкулез от курения
В результате сужения просвета бронхов мокрота перестает нормально выделяться. Она начинает там скапливаться, нагнаиваться, что приводит к развитию бронхоэктазов. Выявляют патологию эндоскопическим способом. Лечение только оперативное.
Бронхоэктазы
Это патологическое расширение бронхов. Происходит это в результате поражения ткани их стенок. Бывают мешковидной и цилиндрической формы. Если на фоне бронхоэктазов начинают прогрессировать бронхолегочные инфекции, в процесс могут вовлечься новые лимфоузлы.
Образуются спайки, присоединяется вторичная инфекция, возникает гнойное воспаление. У больного усиливается дыхательная недостаточность, появляются приступы влажного кашля, возникает слабость, потливость, раздражительность. Бронхоэктазы повышают вероятность возникновения легочного кровотечения.
Фиброателектазы
К последствиям рубцового стеноза относят фиброателектазы – участки легких, которые не принимают участие в дыхательном процессе, т. к. нарушена функция бронхов, ведущих к ним.
Из-за не поступления воздуха в такие зоны ткань в этих местах спадает и навсегда перестает функционировать. Такие участки и называются фиброателектазами. Образуются они в основном в нижних долях или затрагивают только средние доли правого легкого.
У больного наблюдаются тупые боли в груди, кашель с мокротой.
Цирроз легких
Метатуберкулезные изменения могут выражаться циррозом легких. В результате возникновения неоднородной структуры легочной ткани под воздействием различных причин (кальциноз, фиброз, рубцы) уменьшается объем органа.
Это сильно нарушает его функцию и приводит к развитию дыхательной недостаточности.
Нередко возникает сердечно-легочная недостаточность, гипоксия, кашель с кровью. У больного наблюдаются одышка в состоянии покоя, кашель с отделяемой мокротой, перебои в работе сердца, увеличение печени в размере.
Медикаментозное
Терапия остаточных явлений после перенесенного заболевания является симптоматической:
- если у больного одышка, ему назначают бронхолитические препараты: Сальбутамол, Спириву, Беродуал, Эуфиллин;
- при влажном кашле помогают муколитики: АЦЦ, Бронкатар, Бромгексин, Лазолван, Проспан;
- при воспалительных и аллергических проявлениях назначают глюкокортикостероиды: Буденофальк, Преднизолон, Дексаметазон;
- если наблюдается сердечно-легочная недостаточность, применяют сердечные гликозиды: Коргликон, Целанид, Дигоксин, Строфантин.
Хирургическое
Показано хирургическое лечение пациентов с метатуберкулезной патологией в следующих случаях:
- сильном нарушении проходимости бронхов, которое спровоцировано рубцовым стенозом, компрессией бронхов, бронхолитом, лимфобронхиальной перфорацией;
- сосудистых нарушениях, возникших в результате рубцового поражения кровеносных сосудов корня средостения и легкого;
- поражении нервных стволов из-за сдавливания ветвей диафрагмального, симпатического или блуждающего нерва;
- фиброателектазе;
- панцирном плеврите.
Эффективность такого способа лечения зависит от того, в каком объеме были удалены измененные лимфоузлы и пораженные места легочной ткани.
Осложнения и прогноз
Метатуберкулез может привести к развитию осложнений не только со стороны легких, но и со стороны сердца. Это может быть:
- дыхательная или сердечная недостаточность;
- эмфизема;
- ателектаз (спадение легкого);
- приобретенные пороки сердца;
- повышение давления в малом круге кровообращения.
Если у человека диагностирован метатуберкулезный пневмосклероз и другие формы метатуберкулеза, прогноз является сомнительным. Объясняется это необратимыми изменениями в легочной ткани. Нередки случаи, когда человека всю жизнь не беспокоят симптомы патологии. Однако бывает, что изменения в легких приводят к летальному исходу.
