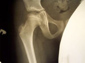
Дисплазия Майера

Для такого генетического заболевания, как эпифизарная дисплазия характерно неправильное развитие эпифизов костей, фрагментация и уплощения костных тканей. Первыми признаками заболевания выступают медленное развитие и окостенение тазобедренной кости и прилегающих суставов. В качестве результата появляется сильная деформация ног, изменение формы суставов и низкорослость.
Причины заболевания
Дисплазия тазобедренного сустава носит генетический характер.
Исследования причин возникновения заболевания ведутся до сих пор. Врачи-генетики сообщают, что больше 50% случаев появлений эпифизарной дисплазии вызывается неизвестными генетическими нарушениями.
Однако известно, что почти половина явлений заболевания провоцируется у тех детей, родители которых обладали врожденным вывихом бедра.
Также существует ряд уже изученных причин возникновения и развития дисплазии, среди них:
- сложная беременность;
- прием тяжелых медикаментов;
- инфекционные болезни матери при вынашивании;
- проблемы со щитовидной железой;
- авитаминоз, гормональный сбой у беременной мамы;
- вредные условия труда при беременности;
- неправильное положение ребенка при родах, родовая травма;
- плохая экология.
Проявления дисплазии тазобедренной кости и суставов
Первый признак патологии тазобедренных суставов у ребенка – асимметричные складки на ногах.
От вида заболевания зависит формирование симптомов и то, в каком возрасте они появляются.
Первые отклонения наблюдаются у детей, так как нагрузка на опорно-двигательный аппарат высока, особенно после начала ходьбы и набора веса. Некоторые суставы не стоят в положенных пазухах, вызывая повышенную подвижность.
К основным признакам отклонения относят:
- Асимметричные складки кожи. Обычно наблюдается три одинаковые складки. При эпифизарной дисплазии их количество на одном бедре увеличивается. Выявляется во время осмотра бедер ребенка и проверки правильности работы сустава.
- Стеснение отведения ноги. В здоровом состоянии конечности можно отвести на 90 градусов. У больного ребенка расстояние уменьшается до 60-ти. Наблюдается исключительно при врожденном вывихе.
- Щелчковый симптом, который присущ в первые недели жизни младенца. При особом надавливании на бедро и вращании ноги в движение слышен щелчок.
- Конечности становятся короче, появляется низкорослость и карликовость. У детей возрастом от года измеряется высота коленей. В младшем возрасте симптом наблюдают в случаях сильной запущенности заболевания.
- Искривление ног Х- или О-образной формы, когда у ребенка развилась дисплазия Майера.
Последствия эпифизарной дисплазии
Из-за такой патологии малыш запаздывает с началом ходьбы.
Дисплазия Майера у детей замедляет окостенение таза и суставных головок, из-за чего ребенок позже начинает ходить. Шаги неуверенные, косые, с легкой хромотой и переваливанием.
При недостаточном внимании и неправильном лечении уже в детском возрасте можно получить инвалидность, что чревато осложнениями во взрослой жизни. Тазобедренный сустав заметно ослабевает и не выдерживает сильных и долгих нагрузок, что является причиной нестабильного и ненадежного опорно-двигательного аппарата.
При запущенном врожденном вывихе бедра сустав сильно деформируется, создавая новый, неполноценный, который не имеет возможности полностью выполнять функции.
Какие существуют методы диагностики?
Когда эпифизарная дисплазия носит выраженный характер, травматолог выносит диагноз уже после осмотра и ряда диагностических тестов. Основным и обязательным путем диагностирования наличия дисплазии, вида и степени, выступает рентгенологическое либо ультразвуковое исследование.
Также проводится осмотр пациента и генетические анализы для уточнения диагноза и назначения верного лечения. В отдельных случаях врач назначает пройти исследования наследственного анамнеза.
Если наблюдается осложнения направленные на работу внутренних органов, может потребоваться осмотр соответствующего врача, сдача дополнительных анализов и прохождение специальных исследований.
Как проходит лечение недуга?
Для устранения патологии больному назначают носить специальный бандаж.
В настоящий момент не существует особенного лечения дисплазии тазобедренного сустава и костей. Для поддержания состояний больного принимают профилактические меры и прибегают к симптоматической терапии.
Основным правилом выступает постоянное использование бандажей и поддерживающих повязок, которые обезопасят позвоночник и суставы конечностей от дополнительной нагрузки. Благодаря чему снижается вероятность появления деформации поврежденного сустава и костей.
В случае сильного искривления возможны хирургические правки состояния ткани.
Методы профилактики и прогнозы при заболевании
При своевременном диагностировании назначается ортопедический курс, что снижает шансы ребенка стать инвалидом.
Эпифизарная дисплазия не угрожает и не сокращает срок жизни. Ряд осложнений и тяжелых форм заболевания лишь усугубляют состояние больного, сказываясь на работе внутренних органов. Усложнить состояние может аномалия эндокринной системы.
Предупредить появление заболевания невозможно. Поэтому единственное, что имеет место в качестве профилактики — своевременная консультация будущих родителей на предмет медико-генетических вопросов и рекомендаций по ведению беременности.
Эпифизарная дисплазия

Эпифизарная дисплазия характеризуется неправильным развитием эпифизов костей, их уплощением и фрагментацией. Ранние признаки заболевания проявляются в замедлении развития и окостенения костей бедра и тазобедренных суставов.
Эпифизарные дисплазии протекают с поражением позвоночного столба либо без такового. Многие пациенты имеют клинические признаки, позволяющие отнести их к любой из указанных групп.
Причины формирования
Исследователи разработали ряд основных теорий, объясняющих причины возникновения и развития эпифизарной дисплазии тазобедренных суставов у детей:
- Наследственная предрасположенность – унаследование дисплазии обусловлено на уровне генов.
- Повышение количества прогестерона у беременной женщины в конце вынашивания беременности влияет на структурное формирование мышц и связочного аппарата плода, вызывает его дестабилизацию.
- Мультифакториальная теория дисплазии предусматривает воздействие ряда факторов одновременно. Сюда относится ягодичное предлежание плода, дефицит витаминов и минералов, ограничение подвижности левой ножки плода из-за тесного контакта с маточной стенкой. Налицо последствие – левый тазобедренный сустав новорожденных детей чаще подвержен дисплазии.
- Проведён ряд клинических, морфологических и генетических исследований, по результатам которых установлено, что к развитию болезни приводит тугое пеленание детей. В странах Африки и Азии матери переносят детей свободно, не пеленая чрезмерно туго, ребёнок сохраняет полную свободу движений. Придя к этому выводу, жители Японии отказались от тугого пеленания, которое практиковалось на протяжении многих веков. Потом были проведены повторные исследования, показавшие удивительные результаты – число случаев дисплазии тазобедренных суставов у детей сократилось на порядок.
Дисплазия Майера
Основная симптоматика при виде дисплазии, известном как дисплазия Майера, поражающая область тазобедренных суставов у детей, не отличается значительностью клинических проявлений, если не осложнена асептическим некрозом в области головок тазобедренных суставов. При обследовании ребёнка общее состояние выглядит относительно удовлетворительным. Рост грудничка соответствует возрастным нормативам. Телосложение имеет правильные пропорции, движения во всех суставах сохранены в должном объёме.
Часть пациентов показывает в анамнезе отягощающие факторы в виде наследственной предрасположенности, случаев дисплазии тазобедренного сустава у родителей или ближайших родственников. При сборе анамнеза часто удаётся выявить жалобы на нарушение походки, кратковременные болезненные ощущения в области бёдер.
Клинический осмотр врачом детей позволяет обнаружить имеющиеся отклонения походки, время от времени ребёнок прихрамывает. Объём движений в тазобедренном суставе в большинстве случаев полностью сохранён. В отдельных случаях отмечалось небольшое ограничение при отведении бедра либо его внутренней ротации.
Рентгенографическое исследование тазобедренных суставов у детей, у которых заподозрена дисплазия Майера, позволило обнаружить более позднее по сравнению с нормой появление ядер оссификации. Наблюдается уменьшение в размерах либо недоразвитие хрящевой части эпифиза бедра.
Ядра окостенения появляются с запозданием, может появиться одно ядро и несколько сразу. В ряде случаев подобное приводит к ошибкам в диагностике, такое состояние расценивается, как очаги асептического некроза головки бедренной кости.
При рентгенологическом и ультразвуковом обследовании не удаётся обнаруживать экссудативных процессов в полости сустава.
В конце прогрессирования дисплазии Майера возможно обнаружить на рентгеновском снимке сформировавшийся эпифиз бедренной кости с невыраженным уменьшением его размеров. Структура костной ткани и хрящевого покрытия при этом не имеет отклонений.
В период, когда ребёнок подрастает и начинает активно передвигаться самостоятельно, может развиваться асептический некроз головки бедра, которая изменена в результате патологического процесса. Это приводило к существенным изменениям в имеющейся симптоматике.
У детей появлялись жалобы на болезненные ощущения в области нижних конечностей. При осмотре обнаруживалось нарушение походки, периодически появлялась хромота, которая постепенно прогрессировала по частоте появления и интенсивности. Хромота связана с интенсивной нагрузкой. Изменение походки происходило по «утиному» типу.
Мышцы ягодичных областей оказывались гипотрофированы, отведение бедра затруднено.
Основные клинические проявления
Клинически эпифизарная дисплазия тазобедренных суставов проявляется в низком росте больных детей, нарушением подвижности тазобедренного сустава. Происходит нарушение окостенения головки. Ноги у детей при заболевании способны болеть и деформироваться.
Различают несколько типов, по которым развивается эпифизарная дисплазия:
- Тип 1. Клинически проявляется врождённым малым ростом, укорочением длины конечностей, дисплазией тазобедренного сустава. Параллельно отмечается укорочение пястных костей и фаланг пальцев, широкие короткие пальцы, объем движений в пальцах существенно увеличивается по сравнению с нормальным. Шейка бедра при этом укорачивается. Тела позвонков имеют овальную форму. Окостенение практически во всех суставах происходит с задержкой.
- Тип 2. Множественная дисплазия тазобедренных суставов. Клинические симптомы начинают обнаруживаться по достижении ребёнком возраста 2,5 лет. Он начинает предъявлять жалобы на боли в коленях и голеностопных суставах. Коленные суставы могут быть увеличены в размерах и деформированы. Эпифизы практически всех суставов уменьшаются в размерах и выглядят сглаженными.
- Тип 3. Самые первые симптомы этого типа дисплазии тазобедренного сустава начинают проявляться при достижении ребёнком пубертатного возраста. Походка у него становится «утиной» или «вперевалку». В коленных суставах развивается ограничение подвижности, начинают беспокоить боли. Ребёнок отличается низким ростом и короткими руками. Эпифизы бёдер сглажены, коленные суставы деформируются и увеличиваются в размерах. С течением времени развиваются признаки остеоартроза суставов.
- Тип 4. Дисплазия с развитием сахарного диабета. Симптоматически определяется карликовый рост, укорочение длины туловища, множественные эпифизарные дисплазии, диабет первого типа. Кости подвержены деминерализации, что является причиной частых травм. Отведение бедра ограничено в значительной степени. Суставы болят, подвижность в них нарушена в значительной степени. Сопутствующим признаками являются гепато- и спленомегалия, недостаточность функции почек.
- Эпифизарная дисплазия в сочетании с миопией и снижением слуха. Может сопровождаться также ранней катарактой и дистрофией сетчатки.
Диагностические обследования
Для постановки диагноза «эпифизарная дисплазия тазобедренного сустава» потребуются следующие обследования:
- Тщательный сбор анамнеза с указанием на осложнения беременности у матери и отягощённый семейный анамнез.
- Клинический осмотр с выявлением характерных симптомов.
- Рентгенологическое исследование суставов и позвоночника. Проводится после достижения ребёнком возраста 3 месяцев.
- Ультразвуковая диагностика тазобедренного сустава и при необходимости органов брюшной полости и почек.
- Компьютерная томография.
- Магниторезонансная томография.
- Генетическое обследование и консультация врача-генетика.
Рентгенограмма и ультразвуковое обследование отображают несовпадение центральной точки головки бедренной кости с центральной точкой в вертлужной впадине.
Осложнения патологического процесса
Если у новорождённого ребёнка не была своевременно замечена и выявлена патология тазобедренных суставов, и не было проведено соответствующее консервативное или оперативное лечение, в дальнейшем заболевание может прогрессировать и повлечь за собой целый ряд серьёзных последствий.
У детей до года может развиваться односторонний вывих головки тазобедренного сустава. Это приводит к асимметричному развитию костей тазового кольца, развитию хромоты, когда ребёнок подрастёт и начнёт самостоятельно ходить. Кроме того, у детей появляются жалобы на сильные боли в суставах и атрофия мускулатуры нижних конечностей и ягодичных областей.
Наличие двустороннего вывиха без своевременно проведённого лечения чревато развитием утиной походки, нарушениями функций органов малого таза. Частым осложнением является усиление лордоза в поясничном отделе позвоночника.
Суставы реагируют на длительное заболевание постепенным развитием коксартрозов, приводящих к полному обездвиживанию и инвалидизации.
Профилактические мероприятия
Профилактические меры, направленные на предупреждение развития и прогрессирования дисплазии тазобедренных суставов у детей, имеют ряд своих специфических особенностей. Профилактические меры могут быть как первичными, направленными на предупреждение дисплазии, так и вторичными, с целью недопущения рецидивов и ухудшения состояния.
Чтобы избежать образования вывиха тазобедренных суставов у новорожденных детей, следует отказаться от принципа тугого пеленания и пеленать ребёнка широким свободным способом. Хорошим методом профилактики является ношение одноразовых подгузников и отказ от пеленания в пользу ползунков. Полезно носить грудничка в слинге.
Для детей более старшего возраста очень полезны занятия спортом в умеренном режиме, езда на велосипеде, занятия плаванием в бассейне. Желательно контролировать нагрузочный режим ребёнка и избегать чрезмерного физического напряжения, переохлаждения и развития инфекционных процессов.
Спондилоэпифизарная дисплазия: как определить, причины и лечение, инвалидность, МКБ 10, что такое спондилодисплазия

Спондилоэпифизарная дисплазия – наследственное заболевание из группы остеохондропатий. Патология характеризуется развивающимися пороками в суставах, костях и позвонках. Болезнь встречается у представителей женского и мужского пола, но чаще она поражает именно мальчиков.
Патологические изменения негативно влияют на кости и тазобедренные суставы, способствуют их деформации. Необходима помощь врача и правильно подобранное лечение на основании результатов диагностики.
Что такое спондилодисплазия
Патология характеризуется нарушением роста костной ткани в организме человека.
Болезнь делится на 3 основные разновидности:
- Генерализованная платиспондилия. Дистрофический процесс затрагивает тело позвонка. Проявляется в большинстве случаев, когда ребенок начинает ходить (1,5-2 года).
- Множественная эпифизарная дисплазия (МЭД). Второе название – болезнь Фейрбанка. У больного уплощенные позвонки неправильной формы с замедленным процессом окостенения их тел.
- Эпифизарно-метафизарная дисплазия. Болезнь характеризуется задержкой окостенения эпифизарных центров у новорожденных детей. Они приобретают неправильную, уплощенную форму и фрагментированы.
При спондилодисплазии у человека уплотняются позвонки и приобретают неправильную форму. Определить такие изменения позволяет только рентген. Врачу потребуются несколько снимков разных возрастов, чтобы выявить нарушения и начало болезни.
Причины появления и группы риска
Основной провоцирующий фактор развития спондилоэпифизарной дисплазии (Код МКБ-10: Q77.7) – это генетическая предрасположенность.
Есть другая причина, которая способствуют появлению болезни: неравномерная нагрузка на скелет.
Установить точный диагноз может только врач на основании нескольких снимков, которые были сделаны в раннем возрасте пациента. Спондилодисплазия верхних и нижних конечностей на начальной стадии развития поддается лечению.
Важно! На основании одного снимка определить болезнь невозможно, необходимо длительное наблюдение и обследование пациента.
К провоцирующим факторам относится физическая нагрузка, по причине которой происходит деформация скелета. Врожденная спондилоэпифизарная дисплазия приводит к поражению эпифизов костной ткани, что влечет за собой нарушения роста и развития ребенка.
Симптомы
Основной признак спондилоэпифизарной дисплазии верхних и нижних конечностей – это короткие руки и ноги по причине непропорционального соотношения размеров плеча с бедрами. Патологическим изменениям не подвержены стопы и кисти. Их деформация происходит в редких случаях.
К сопутствующим симптомам спондилодисплазии относятся:
- короткая шея, которая перестает расти,
- постепенно уменьшающаяся подвижность позвоночника,
- ущемление спинного мозга,
- развитие кифоза,
- сдавливание корешков нервных окончаний,
- выраженная миопия,
- грудная клетка приобретает бочкообразную форму.
На небе образуется расщелина. Через некоторое время перечисленные патологические изменения провоцируют другие нарушения в теле человека. Сюда относится искривление позвоночника, развитие выраженного лордоза. Деформируются также суставы в области колена. Выраженная миопия в некоторых ситуациях приводит к дегенеративным изменениям, связанным с сетчаткой.
В 7 лет у детей появляются следующие признаки спондилодисплазии:
- задержка в росте,
- искривление позвоночника,
- мышечная слабость,
- увеличивается печень,
- ухудшается зрительное восприятие.
Родители замечают задержку не только в физическом, но и в умственном развитии ребенка. Многие дети жалуются на боли в спине. В некоторых ситуациях поражается опорно-двигательный аппарат, но внутренние органы остаются без изменений.
Постепенная деформация позвоночника становится визуально заметной, человек сильнее сутулится и на спине образуется горб. Пациенты жалуются на возникновение болезненных ощущений, особенно в вечернее время или после небольшой физической нагрузки. Бывают случаи, когда нарушается функционирование сердца и легких, возникает острое или подострое сдавливание позвоночника.
Методы диагностики
Важно определить спондилоэпифизарную дисплазию верхних и нижних конечностей на ранней стадии развития, тогда шансы вылечить пациента выше.
Для диагностики заболевания врачи назначают следующие исследования:
- Осмотр пациента у неонатолога, ортопеда, генетика, невролога, офтальмолога и хирурга.
- Рентген верхних и нижних конечностей.
- Ультразвуковое исследование (УЗИ).
- Магнитно-резонансную томографию (МРТ).
- Компьютерную томографию (КТ).
Перечисленные методы диагностики наиболее информативные. Они помогают врачам определить патологические изменения в организме человека на ранних этапах и установить точный диагноз. МРТ и КТ позволяют увидеть изменения структуры костных тканей. Молекулярно-генетический анализ определяет развитие болезни на основании микроскопического исследования.
Методы лечения
Любая форма спондилоэпифизарной дисплазии представляет собой генетическое заболевание. В большинстве случаев лечению патология не поддается, врачи проводят симптоматическую терапию. Пациентам назначают обезболивающие и противовоспалительные лекарства, а также средства, укрепляющие костную ткань.
Если диагноз удалось установить сразу после появления малыша на свет, врачи назначают дополнительно лечебную физкультуру, массаж. Больным старшего возраста они стараются всеми методами облегчить состояние здоровья, чтобы те могли элементарно ухаживать за собой сами.
Ортопедические приспособления
Для укрепления связочного аппарата и фиксации суставов новорожденным и детям до 6 месяцев рекомендуют использовать специальные ортопедические средства – стремена Павлика.
Приспособления, поддерживающие скелет, уменьшают боли и деформацию.
Носить ортопедические средства необходимо длительное время, чтобы качество жизни пациента при спондилоэпифизарной дисплазии улучшилось.
Хирургия
Хирургическое вмешательство применяют в крайне тяжелых ситуациях, поскольку любые операции на позвоночнике создают риск для жизни пациента. Хирург встраивает металлическую пластину, которая выравнивает позвоночный столб.
Хирургическое вмешательство показано пациентам в следующих ситуациях:
- при сильном болевом синдроме, который невозможно устранить обезболивающими средствами,
- при искривлении позвоночника на 75 градусов,
- если появились осложнения, которые нарушают работу сердца, легких, кровообращение.
Также в случае не эффективного лечения врачи вправляют вывихи под общим наркозом, после чего накладывают пациенту кокситную гипсовую повязку. Операция позволяет приостановить деформацию структур, улучшить подвижность определенных сочленений. Пластика суставов и костей выполняется строго при отсутствии противопоказаний.
ЛФК и массаж
Лечение спондилоэпифизарной дисплазии верхних и нижних конечностей предусматривает занятия лечебной физкультурой:
- Для сохранения правильной осанки в стоячем положении соприкасаться с гимнастической стеной ягодицами, икрами и пятками.
- Сохраняя исходное положение, как указано в пункте 1, отойти от стены на 2 шага.
- Лечь на спину, выпрямить голову, туловище и ноги, руки выровнять по бокам. Поднять голову и плечи, сохраняя прямое положение тела. Вернуться в исходную позицию.
- Лечь и поясничную область прижать к полу. Встать, соблюдая правильную осанку и держа поясницу в неизменном положении.
Врачи рекомендуют также массаж, чтобы предупредить осложнения. Поглаживающие, пощипывающие и растирающие движения улучшают кровообращение и предупреждают застойные явления. Лечение пациента допустимо проводить в домашних условиях, но лучше пользоваться услугами квалифицированного мануального терапевта.
Новорожденным и детям до 6 месяцев врачи рекомендуют иммобилизирующий ошейник. Комплексная терапия позволяет добиться неврологического восстановления.
Дети с диагнозом спондилоэпифизарная дисплазия находятся под постоянным наблюдением врачей. Во время роста организма увеличиваются физиологические изгибы позвоночника. Грудной кифоз и поясничный лордоз будут постоянно прогрессировать, поэтому установить степень развития патологий и последствия врачам трудно.
Прогноз и продолжительность жизни
Важно определить спондилоэпифизарную дисплазию как можно раньше. Тогда прогноз на дальнейшую жизнь человека будет благоприятным. На поздних стадиях развития болезни у пациента в большинстве случаев проявляются рецидивы.
У детей в возрасте от 8 до 18 лет спондилодисплазия провоцирует воспалительный процесс в области хрящевых тканей суставов. Лечение сложное и длительное, сопровождается болевым синдромом. При достижении положительных результатов после правильно подобранной терапии человеку становится легче. У него появляется возможность жить абсолютно нормально без боли.
Избавиться полностью от спондилоэпифизарной дисплазии можно только в детском возрасте. Тогда ребенок будет расти без визуальных и внутренних патологических изменений. Инвалидность пациент получает, если изменения в суставах значительные.
Заключение
Спондилоэпифизарная дисплазия представляет собой серьезное генетическое заболевание. Важно определить патологию на раннем этапе развития.
Для профилактики врачи предлагают проводить пренатальную диагностику, используя ультразвуковые и молекулярно-генетические методы.
Родителей специалисты также консультируют перед зачатием, чтобы предупредить возможные патологические изменения в организме ребенка.
Литература
Al-Gazali LI et al: Wolcott-Rallison syndrome. Clin. Dysmorph. 4: 227-233, 1995; Beighton P et al: Beukes premature degenerative osteoarthropathy of the hip joint unlinked to COL2A1. Am. J. Med. Genet.
53: 348-351, 1994; Lowry RB, Wood BJ: Syndrome of epiphyseal dysplasia, short stature, microcephaly and nystagmus. Clin. Genet. 8: 269-274, 1975; TrevorD: Tarso-epiphysial aclasis: a congenital error of epiphysial development. / Bone Joint Surg.
32B: 204-213, 1950; Wolcott CD, Rallison ML: Infancy-onset diabetes mellitus and multiple epiphyseal dysplasia. /. Pediat. 80: 292-297, 1972
Симптомы и лечение эпифизарной дисплазии

При неправильном развитии костяных эпифизов и их уплотнении говорят о развитии такого заболевания, как эпифизарная дисплазия. На первых этапах недуга наблюдается отвердевание тазобедренных суставов. При этом могут присоединяться заболевания позвоночника.
Симптоматический ряд варьируется в зависимости от формы болезни, но у большинства пациентов уменьшается рост и искривляются конечности. Для постановки точного диагноза пациент проходит комплексное обследование.
Кроме того, выделяют 4 основных типа эпизиарной формы недуга, а также отдельно рассматривается дисплазия Майера.
Причины развития болезни
- Заболевание считается врожденным, так как до и во время беременности на организм матери влияют различные факторы, которые могут повлиять на развитие плода.
- Появление эпифизарной дисплазии связывают с генетической предрасположенностью, когда болезнь передается малышу на генном уровне.
- При увеличении уровня прогестерона на последних сроках беременности изменяется процесс мышечного формирования плода, что приводит к дестабилизации в связочном аппарате.
- Заболевание проявляется, если на организм матери действует несколько факторов одновременно (нехватка полезных микроэлементов (витаминов, минералов).
- Тесный контакт со стенкой матки, ограничивающий подвижность ног плода;
- Признаки болезни наблюдаются, когда ребенка туго пеленают.
Разновидности
По МКБ 10 заболевание делится на подвиды в зависимости от уровня его развития и симптоматического ряда. Только с помощью УЗИ врач определяет тип эпифизарной дисплазии. При этом для всех форм отклонения характерна плохая подвижность суставов, постоянные болевые проявления и искривление конечностей. Чаще всего у пациентов диагностируют четыре основных степени.
Болезнь Фейрбанка
При болезни Фейрбанка у ребенка короткие конечности при карликовом росте.
Первую стадию относят к аутосомно-доминантным недугам. Она является одной из наиболее распространенных форм эпифизарной дисплазии.
Развивается в результате изменений в гене СОМР.
При заболевании у пациентов наблюдается врожденная карликовость, при которой укорочены конечности и шейки бедер, сильно двигаются суставы пальцев, тела позвонков приобретают овальный вид, а кости запястья дольше затвердевают при развитии.
Дисплазия 2-го типа
Эпифизарная дисплазия начинает развиваться у детей в возрасте от 2,5 до 6-ти лет. При этом маленькие пациенты постоянно мучаются из-за болевых проявлений, распространяющихся на коленные и голеностопные суставы. Также деформируются и увеличиваются в размере суставы колен и эпифизы, находящиеся во всех суставах организма. Недуг появляется, когда изменяется ген COL9A2.
Дисплазия 3-го типа
Недуг не особо отличается от второго типа дисплазии. Проявляется еще в детстве или в подростковом возрасте. Больные имеют небольшой рост, короткие верхние конечности. В процессе жизни у них деформируются коленные суставы, но отсутствуют заболевания позвоночника. Кроме этого, люди с такой формой эпифизарной дисплазии ходят вперевалку, временами ощущая сильную боль.
Дисплазия 4-го типа
При патологии 4 типа у детей диагностируют диабет.
Является аутосомно-рецессивным отклонением.
Вследствие изменений, происходящих в гене SLC26A2, появляются наследственные болезни, которые поражают опорно-двигательную систему.
При этом у пациента наблюдается сахарный диабет, маленький рост, короткие конечности, болевые ощущения в суставах. У немногих пациентов параллельно нарушается почечное функционирование, они часто травмируются.
Синдром Майера
Для заболевания не характерны ярко проявляющиеся симптомы, если нет осложнений в области головок суставов таза или бедра. В процессе обследования маленький пациент выглядит довольно хорошо, а показатели роста и веса вписываются в пределы нормы. Но когда малых ходит, то заметно, как он может хромать или проявляется неправильная походка, сопровождающаяся болью.
На начальных стадиях развитие ребенка может сопровождаться некрозом головки бедра. Из-за этого наблюдается хромота и болят нижние конечности. Дисплазия Майера требует тщательного медицинского обследования и лечения, чтобы не появлялись осложнения.
Симптомы при заболевании
Симптомом такого заболевания могут быть х-образные ноги.
Заболевание отличается высокой подвижностью определенных суставов. Для некоторых видов характерно поражение органов и систем организма, например, появляются проблемы с глазами, эндокринной системой и т. д. Как осложнение возможно появление остеопороза или кожной атрофии, а также наблюдают такие симптомы:
- У пациентов искривляются ноги, приобретая Х-образную форму. Это происходит из-за деформаций тазобедренного сустава у детей.
- Люди имеют низкий рост, укороченные конечности. С детства у человека уменьшенное туловище.
- При ходьбе наблюдается хромота.
Способы диагностики
Когда ребенок рождается, врачи осматривают младенца. Если существует подозрение, что развивается эпифизарная дисплазия, маленького пациента показывают ортопеду. В течение первых 3-х месяцев жизни для определения заболевания используют ультразвуковое исследование.
Рентген проводят реже, потому что в процессе обследования организм облучается, а сам рентгенологический способ не может показать состояние хрящевой головки кости бедра.
В качестве дополнительного изучения болезни врач может назначить компьютерную или магнитно-резонансную томографию, а также отправить на консультацию к генетику.
Лечение эпифизарной дисплазии
Для лечения маленьких детей применяются стремена Павлика.
Лечебный комплекс начинается сразу после постановки диагноза. Когда пациент младше полугода, его нужно плотнее пеленать и применять стремена Павлика.
Но если такое лечение не дало результат, используют отводящие шины. Для пациентов старше 6-ти месяцев назначают лейкопластырное вытягивание.
Для укрепления скелета и организма в целом проводится лечебная физкультура, которая позволяет ребенку хорошо развиваться.
Также возможно лечение эпифизарной формы дисплазии с помощью оперативного вмешательства, но в случаях, когда пациенту не менее года. Этот способ необходим, если традиционные консервативные методы не дают необходимого результата, а недуг продолжает прогрессировать. Но чтобы этого избежать, ребенка лечат на первых этапах, пока не присоединились другие болезни.
