Что такое субарахноидальное пространство

Субарахноидальное пространство пролегает между мозговыми оболочками, покрывающими нервную ткань – мягкой и паутинной. Пространство заполнено цереброспинальной жидкостью и выполняет несколько важных функций, в том числе защиту нервной ткани от механических повреждений.
Ликвор, которым заполнена область под паутинной оболочкой, служит амортизатором, сглаживающим удары, встряски и другие неблагоприятные внешние воздействия. Расширение области межполушарной щели и зоны субарахноидального пространства нередко свидетельствует о развитии патологии.
Определение
Субарахноидальное – это такое пространство, которое находится между мозговыми оболочками и заполнено цереброспинальной жидкостью, что обуславливает его роль и функции в процессе циркуляции ликвора.
Ликворные пространства обеспечивают защиту и питание вещества головного мозга.
Ликвор содержит питательные компоненты, необходимые для жизнедеятельности нервных клеток, а также выполняет функцию выведения конечных продуктов, образовавшихся в процессе метаболизма.
В местах, где субарахноидальное пространство естественным образом расширено, образуются мозговые цистерны, это значит, что основной объем циркулирующей цереброспинальной жидкости содержится в этих полостях. Подпаутинные цистерны – зоны естественного увеличения объема субарахноидального пространства, которые преимущественно находятся у основания мозга головы. Самые большие цистерны – базальная и затылочная.
В цистерне четверохолмия нередко формируются арахноидальные кисты, которые при разрастании препятствуют нормальному току ликвора, что приводит к повышению значений внутричерепного давления.
Если арахноидальное пространство сильно увеличивается в объеме, происходит сдавление прилегающих тканей (мозговое вещество, сосуды, черепные нервы), что коррелирует с нарушениями в работе мозга и всего организма.
Неравномерное расширение области субарахноидального пространства, расположенного в головном мозге, у взрослых пациентов встречается редко. Чаще патология выявляется у детей младенческого возраста. У новорожденных объем подпаутинной полости в норме меньше, чем у взрослого. Мозговые цистерны представляют собой часть сети, по которой осуществляется циркуляция цереброспинальной жидкости.
Цистерны – внешние резервуары, в то время как желудочки – внутренние. Если процессы продукции и резорбции (всасывание) ликвора уравновешивают друг друга, циркуляция поддерживается в нормальном режиме.
При нарушении баланса между процессами выработки и резорбции ликвора развивается гидроцефалия.
Гипертензионно-гидроцефальный синдром проявляется расширением зоны внутренних ликворных пространств и соответствующей симптоматикой.
Расширение МПЩ (межполушарной щели) у младенцев – это такое нарушение, которое отражает аномалию формирования структур, составляющих головной мозг, что впоследствии может препятствовать нормальному развитию и адаптации ребенка.
Патология выявляется в ходе исследований в формате УЗИ или МРТ. В норме размеры МПЩ не превышают 3 мм. Незначительное увеличение размеров МПЩ не является причиной для постановки диагнозов – гидроцефалия или церебральная гипертензия.
Размеры субарахноидального пространства в норме в 3 месяца не превышают 3 мм у доношенных младенцев, 4 мм – у недоношенных детей. Нормальные размеры мозговых цистерн составляют: большая цистерна, расположенная под мозжечком – до 10 мм (сагиттальный срез), цистерна четверохолмия – до 3 мм. Объем циркулирующего ликвора составляет около 120-140 мл.
Стоит отметить, что незначительная дилатация ликворной системы головного мозга у грудничка или взрослого не требует медикаментозной коррекции, если не сопровождается неврологической симптоматикой. Регулярное наблюдение у невролога позволит контролировать процесс. При наличии патологических симптомов проводится соответствующее лечение.
Причины возможных патологий
Умеренное расширение зоны субарахноидального пространства – это такое нарушение, которое часто указывает на перинатальную патологию, что нередко ассоциируется с гипоксией, родовыми травмами, использованием вспомогательных средств, инструментов (родовые щипцы, выполнение кесарева сечения) для родоразрешения.
Причины врожденных аномалий формирования мозга, приводящие к дилатации (расширению) ликворных путей у грудничка, нередко связаны с интоксикациями, вирусными и бактериальными инфекциями, перенесенными матерью в период гестации. Причина расширенной межполушарной щели нередко кроется в нарушении ликвородинамики, что приводит к скоплению цереброспинальной жидкости в этой области.
Повреждение мозга на ранних этапах онтогенеза является основной причиной смертности в перинатальный период, приводит к возникновению неврологических патологий в детском возрасте в 70% случаев.
Увеличение объема оболочечного пространства развивается вследствие формирования кисты, опухоли, очага кровоизлияния или воспалительного процесса с локализацией в тканях мозга.
Некоторые инфекционные болезни ЦНС, в том числе менингит, провоцируют усиление выработки ликвора.
Кисты и опухоли препятствуют нормальному току цереброспинальной жидкости, что приводит к ее накоплению в субарахноидальном пространстве и дилатации ликворосодержащей полости. Кратковременное усиление продукции ликвора ассоциируется с высокими физическими нагрузками, стрессами, психическим переутомлением. Нарушение продукции и ликвородинамики нередко связано с травами в зоне головы.
Корковая дисплазия
Кортикальная фокальная (очаговая) дисплазия – причина развития эпилептических приступов, часто резистентных к медикаментозной терапии. Расширение субарахноидального пространства лобных и теменных долей нередко является маркером кортикальной дисплазии.
В ходе инструментального исследования конвекситальной поверхности мозга выявляются очаги повреждения нервной ткани, обусловленные компрессией со стороны расширенных ликворосодержащих полостей. МР картина умеренного расширения субарахноидального конвекситального пространства сочетается с типичными для кортикальной дисплазии признаками:
- Утолщение коркового слоя.
- Размытые границы, разделяющие структуры мозгового вещества – белого и серого.
- Патологические изменения в венозных синусах.
- Макрогирия (аномально широкие извилины).
Увеличение объема ликворосодержащих пространств на фоне повторных судорожных приступов – повод для тщательного диагностического обследования с целью выявления аномалий формирования мозга (сосудистые мальформации, глиозные изменения, опухоли, кисты).
Церебральная атрофия
Если конвекситальные борозды расширены – это может указывать на атрофию мозгового вещества, что чревато развитием нейродегенеративных заболеваний, в том числе болезни Альцгеймера. При церебральной атрофии уменьшается плотность мозговой ткани, сокращается объем вещества мозга.
Тенденция к развитию состояния, когда субарахноидальные конвекситальные пространства и борозды неравномерно расширены, является естественным процессом старения организма. С возрастом подобные изменения наблюдаются у большинства людей. По данным исследований, после достижения 40-летнего возраста объем цереброспинальной жидкости увеличивается в среднем на 1 мл ежегодно.
В возрастном периоде 40-90 лет объем ликвора увеличивается на 3-10%, в результате чего расширяются ликворосодержащие пространства. Клинически церебральная атрофия проявляется нарушением высших корковых функций (ухудшение памяти, мыслительной деятельности, двигательной активности, изменение поведения).
Симптоматика
Умеренное расширение наружных ликворных пространств – это такая патология, которая проявляется увеличением объема черепа, глазодвигательными расстройствами, нарушением моторной координации, что является поводом для проведения инструментального обследования. Новорожденным чаще проводится нейросонография, УЗИ, МРТ. Расширение ликворных пространств головного мозга у грудничка сопровождается симптомами:
- Беспричинный плач.
- Психомоторное возбуждение.
- Расстройство сна.
- Частое срыгивание.
- Повышение тонуса мышц.
- Запрокидывание головы в направлении назад.
Новорожденный ребенок поднимается на носочки при попытке опоры на горизонтальную поверхность. Его ручки сжаты в кулачки, что свидетельствует о повышении мышечного тонуса.
Типичные проявления: ухудшение аппетита, отказ от еды, медленный набор веса, отставание в физическом развитии, симптом Грефе (белая полоска склеры между зрачком и верхним веком).
У младенца часто выпирает родничок, может произойти расхождение черепных швов.
Параллельно выявляются признаки: слабая опора на нижние конечности, подавленный шаговый рефлекс (врожденный двигательный автоматизм – если удерживать ребенка в вертикальном положении, с опорой на ноги, слегка наклонив вперед, он непроизвольно совершает нижними конечностями движения, имитирующие походку), задержка психического и физического развития. Признаки нарушения ликвородинамики у детей дошкольного возраста:
- Неусидчивость, чрезмерная подвижность.
- Агрессия по отношению к окружающим.
- Истерические проявления.
- Нарушения речи и психо-речевых функций (заикание, скудный словарный запас, неправильная дикция, трудности при построении сложных, развернутых предложений).
- Нарушение выделительных функций (энурез).
- Зрительная дисфункция (косоглазие).
Проявления у детей старшего возраста включают боли в зоне головы, частые кровотечения из носовых ходов, ухудшение памяти, невозможность концентрировать внимание, невротические симптомы (тревожность, обидчивость, плаксивость), расторможенное поведение. В тяжелых случаях появляются симптомы нарушения психического развития, вплоть до дебильности.
Такие дети испытывают сложности при усвоении нового учебного материала, быстро устают, медленно пишут и читают. Нередко наблюдаются признаки расстройства работы вегетативной системы – повышенное потоотделение, парестезия (расстройство чувствительности в виде ощущения мурашек, жжения, зуда в зоне кожных покровов). Симптомы нарушения ликвородинамики у взрослых:
- Невозможность удерживать равновесие.
- Нарушение двигательной координации и моторных функций.
- Слуховая и зрительная дисфункция.
Расширение затылочной цистерны сопровождается атрофическими изменениями в структурах нервной ткани. При легком локальном неравномерном расширении на участке субарахноидального конвекситального (выпуклого) пространства симптоматика обычно не наблюдается или слабо выражена (умеренная боль в зоне головы, легкая тошнота в утренние часы, преходящие расстройства зрительной функции).
Расширение зоны ликворных пространств, расположенных в головном мозге, умеренной и тяжелой степени у взрослых проявляется болью в области головы, усиливающейся утром, тошнотой, часто сопровождающейся рвотой, головокружением, повышенной утомляемостью, раздражительностью, дневной сонливостью.
Основные признаки нередко дополняются ощущением давления на область глаз, повышенной чувствительностью к внешним раздражителям – яркому свету, громким звукам. Возможно развитие псевдобульбарного синдрома, для которого типичны признаки: речевая дисфункция, связанная с нарушением иннервации мышц речевого аппарата, дисфагия (нарушение глотания), изменение силы и тональности голоса.
Диагностика
Если в ходе исследования в формате МРТ или КТ выявляются признаки расширения зоны наружных ликворных пространств, врач обращает внимание на сопутствующие патологические изменения в мозговой ткани для постановки дифференциального диагноза. При атрофии наблюдается изменение морфологического строения нервной ткани, при кортикальной дисплазии – очаги повреждения мозгового вещества.
Нейросонографию выполняют новорожденным детям – обследование проводится через большой родничок. Цистернография – рентгенографическое исследование мозговых цистерн, в ходе которого выявляются геометрические параметры подпаутинного пространства и причины дилатации полости, содержащей ликвор.
Лечение
Лечение назначают по результатам обследования с учетом причин, спровоцировавших нарушения. При бактериальных инфекционных поражениях назначают антибиотики, при вирусных инфекциях – противовирусные препараты. Лечение опухолей и кист нередко проводится хирургическим способом. При дилатации наружных ликворных пространств назначают группы препаратов:
- Мочегонные (Лазикс, Диакарб, для выведения излишков жидкости из организма).
- Корректоры мозгового кровотока (Винпоцетин).
- Противосудорожные (барбитураты, при наличии судорожных, эпилептических приступов).
- Витаминно-минеральные комплексы, содержащие витамины группы B, D3, калий, магний.
Проводятся терапевтические мероприятия, способствующие укреплению общего здоровья и иммунитета. К ним относят закаливающие процедуры, лечебную гимнастику, организацию правильного питания, прогулки на свежем воздухе, отказ от вредных привычек.
Расширение субарахноидального пространства может быть вызвано разными причинами. Диагностическое обследование позволит выяснить этиологические факторы, которые спровоцировали нарушения, чтобы успешно лечить болезнь.
Расширение наружных ликворных пространств головного мозга у взрослых

Цереброспинальная жидкость непрерывно циркулирует в замкнутой системе, поддерживая стабильное внутричерепное давление. Расширение наружных ликворных пространств головного мозга у взрослых вызвано скоплением жидкости в подпаутинном пространстве, что приводит к нарушению функциональности центральной нервной системы.
- 1 Что это такое
- 2 Причины и признаки
- 3 Лечение
Что это такое
Головной мозг содержит миллиарды нервных клеток, которые взаимодействуют между собой, поддерживая работу всех органов и систем. Внешнюю защиту органу обеспечивает прочный костный каркас – череп. Внутреннюю защиту обеспечивает спинномозговая жидкость.
Что такое ликвор – это биологическая жидкость, которая выступает в роли амортизатора между оболочками головного и спинного мозга, защищая центральную нервную систему от механического воздействия.
Ликвор выполняет множество функций:
- Поддерживает равновесие внутричерепного давления;
- Поддерживает процессы метаболизма в ЦНС;
- Поддерживает на тканевом уровне онкотическое и осмотическое давление;
- Поддерживает клеточный иммунитет;
- Доставляет питательные вещества.
Жидкость образуется из железистых клеток в желудочках мозга и циркулирует в замкнутой ликворной системе, обновляясь несколько раз в сутки (до 4). Пространства в центрально нервной системе заполненные биологической жидкостью, получили название – ликворные.
Наружное расширение ликворных пространств головного мозга у взрослых, относится к неврологической патологии. Скопление излишнего секрета возникает в желудочках органа и в полости, между мягкой оболочкой и паутинной. Затрудненный отток приводит к сдавлению мозговых оболочек и повышению внутричерепного давления.
Причины и признаки
Гидроцефалия у взрослых относится к приобретенной патологии и подразделяется на формы и степени. Клинические проявления зависят от скорости протекания патологического процесса.
Первопричины патологии:
- Нарушена секреция ликвора и его всасывание ворсинами паутинной оболочки. Циркуляция секрета не нарушена;
- Нарушение в ликвороносных пространствах;
- Нарушение вызвано изменением в мозговой паренхиме (старческий возраст, патологии ЦНС);
- Гиперсекреция ликвора.
Ликворная система в мозге заполняет все свободные полости (желудочки, цистерны, щели между оболочками). Замкнутая система дает ликворной жидкости циркулировать, так как происходит непрерывный цикл образования и всасывания секрета.
Нарушение ликвородинамики может быть вызвано сопутствующими заболеваниями.
Вторичные причины:
- Злокачественное или доброкачественное новообразование, киста;
- Воспаление мозговых оболочек;
- Сосудистая патология;
- Черепно-мозговые травмы;
- Внутричерепное кровоизлияние;
- Интоксикация вследствие отравления (пищевое, тяжелыми металлами, ядами).
Приобретенная наружная гидроцефалия для взрослых достаточно редкая патология. Небольшое скопление ликвора в подпаутинном пространстве имеет смазанную клиническую картину. Больной испытывает только незначительные головные боли и не обращается за медицинской помощью.
Нарастание симптоматики происходит по мере расширения субарахноидальной полости (в желудочках мозга циркуляция не нарушена). Рост внутричерепного давления приводит к повреждению или гибели нервных клеток, что опасно тяжелыми последствиями.
Общие клинические проявления:
- Нарушение биоритмов;
- Усталость и сонливость сразу после отдыха;
- Непрерывные головные боли;
- Расстройство памяти;
- Дезориентация в пространстве;
- Изменение походки (элементарные целенаправленные действия невозможны, движения неуверенные и шаткие);
- Развитие косоглазия;
- Приступы рвоты, после которых наступает уменьшение интенсивности головной боли;
- Метеочувствительность.
Увеличение жидкости приводит к давлению оболочек на жизненноважные центры в головном мозге. Хроническая форма проявляется дополнительными признаками:
- Нарушение в дыхательном центре (от затрудненного дыхания до полной остановки);
- Энурез (недержание мочи);
- Судорожный синдром;
- Парезы или паралич (нижних конечностей);
- Развитие деменции;
- Сбой сердечного ритма.
Для детей данная симптоматика характерна при расширении субарахноидальных конвекситальных пространств (область центральной борозды). Для взрослых данная патология не свойственна.
Проблема расширения субарахноидального пространства

Никто не поспорит с тем, что мозг человека устроен достаточно сложно. На него возложено множество задач, которые тот должен стабильно выполнять на протяжении всей жизни. Чтобы мозг правильно функционировал, его нужно обеспечить полноценным питанием посредством правильного кровоснабжения.
Патологии, связанные с работой мозга – это всегда серьезно. Одна из распространенных проблем – расширение субарахноиладьного пространства. Согласно МКБ (Международная классификация болезней), расширение субарахноидального пространства у взрослых встречается редко, чаще такую патологию обнаруживают у новорожденных. Мы расскажем о ее причинах, диагностике, лечении и способах профилактики.
Структурные особенности мозга
Чтобы понять суть данной патологии, важно знать, какие оболочки покрывают мозг. Их три:
- паутинная;
- твердая;
- мягкая.
Субарахноидальное пространство располагается между паутинной и мягкой оболочками. Первая покрывает всю поверхность головного мозга, ее в свою очередь обволакивает эндометрий.
Для связи с остальными тканями используются сплетения под паутинной оболочкой – перепонки. Из подпаутинных сосудистых сплетений состоит система желудочков спинного и головного мозга.
Ее составляют 4 резервуара, в которых постоянно циркулирует спинномозговая жидкость.
Субарахноидальные пространства – это небольшие полости в головном мозге, заполненные особой жидкостью (ликвор). Их задача – питать и защищать мозг.
В ликворе сосредоточены питательные вещества, которые используются для поддержания жизнедеятельности нервных клеток и желудочков мозга. Через ликвор также удаляются продукты жизнедеятельности тканей.
Если субарахноидальное пространство расширено, оно начинает сдавливать прилегающие ткани, сосуды. Страдают клетки мозга, которые не получают должного питания.
Ликвор непрерывно циркулируют в полостях мозга. Это обеспечивают сердечные сокращения, дыхание, положение тела. В норме объем жидкости, заполняющей ликворные пространства, не должен превышать 140 мл.
Что значит этот диагноз
Чаще всего диагноз «Расширение субарахноидального пространства» ставится грудничкам. К такой патологии может привести родовая травма, отклонение в развитии мозга. При подозрении на расширенное субарахноидальное конвекситальное пространство проводится УЗД мозга. Это основной метод диагностики.
Если произошло расширение ликворных пространств головного мозга, ликвор неравномерно распределяется и выливается за пределы субарахноидального пространства. Результатом становится гидроцефалия (водянка), повышенное внутричерепное давление, расширение желудочков мозга. Ликворная система при этом работает неправильно, из-за чего страдают ткани мозга и внутренние органы.
Расширение наружных ликворных пространств приводит к различным патологиям (асимметрия черепной коробки, нарушение зрения, речи, координации, некоторых функций головного мозга, психического развития и т.д.).
Степень развития таких патологий напрямую зависит от того, насколько сильно расширено субарахноидальное пространство. Слабое и умеренное расширение наружных ликворных пространств поддается комплексному лечению, если начать его своевременно.
Если желудочки не расширены, то есть шансы, что к двухлетнему возрасту состояние мозга грудничка нормализуется, гидроцефалия уйдет.
Важно, чтобы родители не ждали, что все пройдет само собой. Можно упустить драгоценное время. Кости черепа укрепятся, а водянка может остаться. Следует обязательно провести полную диагностику и, при необходимости, пройти курс лечения.
Иногда расширение субарахноидальных пространств может наблюдаться при опухоли, кистозном образовании или воспалительном процессе. Это крайне опасно, так как нередко приводит к летальному исходу. Если медицинская помощь оказана вовремя, прогноз достаточно благоприятный.
При воспалительном процессе, например, менингите, ликвора вырабатывается больше, чем нужно. Большое количество жидкости приводит к расширению пространства (дилатация). Если же дело в опухоли, то она мешает правильно циркулировать жидкости внутри мозга, создавая ей физическую преграду. Другими причинами могут быть абсцесс, гематома, из-за которой начался отек головного мозга.
Тревожные симптомы
При расширении конвекситальных пространств наблюдаются следующие симптомы:
- постоянная головная боль (она появляется сразу после пробуждения);
- тошнота;
- рвота;
- головокружение;
- ухудшение памяти (у взрослых);
- раздражительность;
- сонливость;
- усталость;
- у малышей увеличивается размер черепа;
- высокая чувствительность к свету, звуку.
Поначалу заболевание протекает без видимых симптомов. Затем они дают о себе знать, но интенсивность может быть разной. Она зависит от степени поражения мозга и количества выделяемого ликвора. Если поражение локальное, незначительное, симптоматика может быть минимальной.
Такое состояние хорошо поддается лечению, но важно начать его при первом признаке патологии, пока не произошли необратимые структурные изменения. Чем больше скопление жидкости, тем эти изменения значительнее. Со временем может наблюдаться увеличение полостей.
У младенцев могут происходить внешние изменения – увеличивается черепная коробка (особенно ее лобная или задняя гемисфера), страдают базальные функции мозга.
Причины появления патологии в разном возрасте отличаются. У младенцев это чаще всего родовая травма, менингит, арахноидит или патологии развития (нарушен генетический код). У взрослых – механическая травма, псевдокиста или опухоль.
Есть разные степени равномерного расширения субарахноидального пространства:
- легкое (1-2 мм);
- среднее (3-4 мм);
- тяжелое (4 мм и более).
Разной бывает и локализация (межполушарная, задняя, передняя и т.д.). Может скапливаться разное количество жидкости, разными будут и проявления снаружи. Порой увеличивается череп, наблюдается его выраженная асимметрия.
Профилактика
Для профилактики патологии у новорожденного важно провести комплексное обследование матери еще до зачатия ребенка. Нужно вылечить возможные инфекции, выявить наличие хронических заболеваний. При беременности важно точно выполнять все указания доктора, избегать стрессов, правильно подготовиться к родам.
Важно тщательно следить за поведением новорожденного. При первых подозрениях стоит получить консультацию педиатра.
Расширение субарахноидального пространства: чем опасно заболевание, норма, симптомы, диагностика, лечение

Расширение субарахноидального пространства – это заболевание, характеризующееся растяжением щели между паутинной и мягкой оболочками головного мозга вследствие нарушения циркуляции цереброспинальной жидкости.
Чаще заболевание диагностируется у детей, но и у взрослых также возможно расширение субарахноидального пространства под воздействием ряда болезней или травм.
Эффективность лечения зависит от стадии, на которой диагностировано заболевание, в целом прогноз благоприятный.
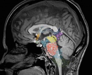
Головной мозг человека окружают три защитные оболочки – твердая, паутинная и мягкая. Последняя непосредственно прилегает к мозговому веществу и обеспечивает его питание. Паутинная оболочка соединена с другими оболочками мозга с помощью соединительнотканных перепонок. В областях, где перепонки отсутствуют, находятся цистерны.
Спинномозговая жидкость циркулирует в 4-х желудочках мозга (третьем, четвертом и двух боковых) и субарахноидальном пространстве. Ликвор выполняет функции питания нейронов, выведения продуктов обмена веществ, механической защиты мозга.
Нормальное количество спинномозговой жидкости у детей составляет 80-120 мл, у взрослых 120-160 мл. За сутки она обновляется 3-5 раз. На скорость циркуляции ликвора влияет положение тела, интенсивность сердцебиения и дыхания.
Расширение субарахноидального пространства возникает вследствие затруднения оттока ликвора. Жидкость скапливается в субарахноидальных пространствах, расширяет желудочки мозга. Механизмы развития нарушения различны: опухоль механически перекрывает пути для тока ликвора, воспаление провоцирует усиленную выработку цереброспинальной жидкости. Может повышаться внутричерепное давление.
Степени расширения
Проявление симптомов нарушения зависит от выраженности расширения. Выделяют три степени тяжести заболевания:
- легкую – размер щели 1-2 мм;
- среднюю – до 4 мм;
- тяжелую – свыше 4 мм.
Обычно расширение субарахноидального пространства выявляют на второй или третьей стадии. Первая, как правило, проходит бессимптомно.
Симптомы заболевания
Расширение субарахноидального пространства у взрослого имеет характерные признаки:
- паралич мышц гортани, отвечающих за артикуляцию и вследствие этого нарушения речи;
- утрата звучности голоса;
- затруднение глотания;
- нарушения зрительного и слухового восприятия;
- сильные боли в голове, в особенности по утрам;
- тошнота и рвота, сопутствующие головной боли;
- головокружение;
- сонливость или нарушения сна;
- деменция;
- ухудшение памяти;
- галлюцинации;
- нарушения ходьбы – больной способен имитировать шагательные движения в положении лежа, но при подъеме ходьба затруднена, походка неуверенная, шаркающая;
- повышенная утомляемость.
У маленьких детей наблюдается аномальное увеличение черепной коробки в результате развившейся гидроцефалии. Более ранними симптомами являются:
- повышенная восприимчивость к звуковым и световым раздражителям;
- обильные срыгивания;
- неодинаковый размер зрачков;
- косоглазие;
- проблемы со сном;
- медленно зарастающий родничок;
- вздутие родничка;
- беспокойное поведение из-за смены погоды;
- тремор подбородка и конечностей.
Интенсивность проявления симптомов зависит от причин заболевания и степени выраженности. При отсутствии адекватного и своевременного лечения расширение субарахноидального пространства у детей грудного возраста опасно возможным развитием гидроцефалии.
то заболевание приводит к отставанию в моторном развитии, появлению судорог, параличей, нарушению интеллекта. Последствия гидроцефалии могут сохраняться на всю жизнь.
Причины расширения
У грудных детей нарушение возникает вследствие врожденных пороков развития, родовых травм, опухолей мозга, инфекционных заболеваний.
В некоторых случаях субарахноидальное пространство и желудочки к двум годам ребенка приходят в норму.
Однако патология нуждается в постоянном контроле специалистов, которые смогут определить дальнейший прогноз болезни и в случае необходимости назначат лечение.
У взрослых людей расширение субарахноидального пространства возникает как последствие перенесенного инсульта, патологий сосудов, травм головы или позвоночника, инфекционных и простудных болезней, опухолевого перерождения клеток. Менингит, энцефалит, вентрикулит, туберкулез, воспаление носовых пазух – заболевания, поражающие головной мозг и способные вызвать нарушение циркуляции ликвора.
Заболевание может свидетельствовать о сопутствующем лептоменингите или арахноидите – воспалительных процессах в тканях мягкой и паутинной оболочках мозга. Вызвать воспаление способно длительное воздействие токсических веществ, например, алкоголя, мышьяка, свинца.
Особенности обследования мозга у детей
КТ и МРТ считаются наиболее эффективными современными методами диагностики, однако, их применение нежелательно для маленьких детей. Ребенку в возрасте до года трудно долгое время лежать неподвижно. Поэтому в случаях, когда все же есть необходимость прибегнуть к КТ или МРТ детям вводят наркоз.
Для выявления расширения субарахноидального пространства у детей используется:
- Нейросонография – ультразвуковое обследование структур головного мозга. Для проведения обследования необходимо наличие у ребенка неокостеневшего родничка. Процедура безопасна, занимает не более 15 мин., может проводиться неоднократно, не требует специальной подготовки. Расшифровкой результатов занимается врач-сонолог.
- Эхоэнцефалограция – метод обследования мозга с помощью ультразвука, применяется у детей с уже заросшими родничками и у взрослых. Может проводиться в одно- и двумерном режимах. Позволяет определить поражение головного мозга и его смещение относительно костей черепа под давлением цереброспинальной жидкости. Не требует предварительной подготовки и не несет вреда здоровью. Недостатком метода является невысокая точность.
Для профилактики поражений мозга вследствие родовых травм, гипоксии, инфекционных болезней нейросонография проводится в роддомах. Также педиатры ведут наблюдения за ростом черепа у детей – эта несложная процедура позволяет выявить гидроцефалию.
